Cookie Consent byPrivacyPolicies.comAvis esthétique - Eugenol

Avis esthétique

marco17

07/07/2011 à 15h21

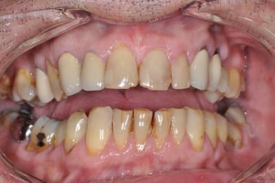
Bonjour,
nouveau sur le forum je me permets de vous mettre à contribution,
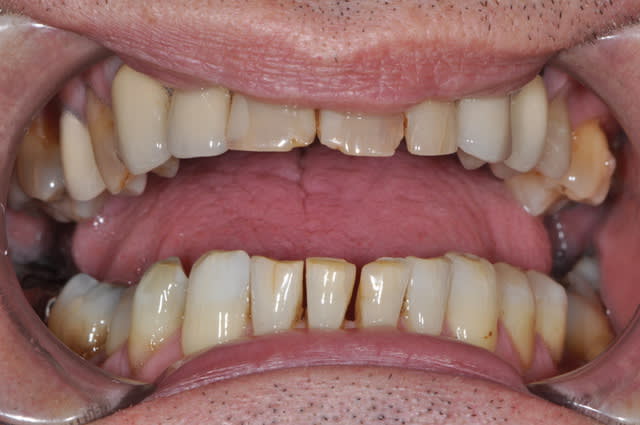
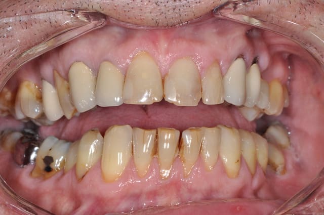
ce patient a une demande essentiellement esthétique,
que me conseilleriez-vous au niveau
des incisives supérieures ?

Dsc 0122 jn7rdh - Eugenol

41467 100000418256397 4215 n ypxyho - Eugenol
belette57

07/07/2011 à 15h41

coucou, ben selon finances... bridges 11-24 ou 24-16...


Squash u44zd8 - Eugenol
steph

07/07/2011 à 15h47

Peut-être aussi réaligner les collets.
Mais sans doute pas de bridges, couronnes unitaires tout céram et facettes sur incisives centrales.
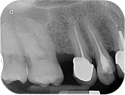
Mais sans radios c'est difficile.


marco17

07/07/2011 à 16h04

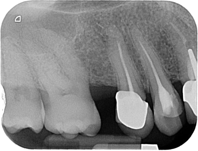
11 et 21 sont vitales.

00906 x 2011 05 19 15 34 35 3 ctbof5 - Eugenol
00906 x 2011 05 19 15 35 04 3 lwnnjd - Eugenol

S2y2o1v7q53ws4r5wy6ou8czrpom - Eugenol
pxav

07/07/2011 à 16h05

steph écrivait:
---------------
> Peut-être aussi réaligner les collets.
> Mais sans doute pas de bridges, couronnes unitaires tout céram et facettes sur
> incisives centrales.
> Mais sans radios c'est difficile.
+1
ceram pressée, mais bouche complète ou rien..

--
xbk
"Si tous ceux qui croient avoir raison n'avaient pas tort, la vérité ne serait pas loin" Dac Pierre


Img 3657 cwjvqm - Eugenol
alapex

07/07/2011 à 16h06

Pxav dit : "mais bouche complète ou rien.."



+1 ou pas loin .


Marque a3 orange fyvhyq - Eugenol
Marc Apap

07/07/2011 à 16h16

Pas du tout d'accord : je suis même choqué de ces réponses. Le patient se fiche de ses dents du bas et s'intéresse aux incisives sup. Ne pas restaurer les dents du bas n'a strictement aucune importance sur le plan médical, donc pourquoi en rajouter.
Pour les 3 antérieures, je proposerais 3 couronnes in céram ou e max. Il faut voir ce que les patients demandent et pas devenir un obsédé compulsif de la perfection.


marco17

07/07/2011 à 16h40

effectivement pour le bas traitement à minima,
éclaircissement en cours puis réalisation de composites proximaux,
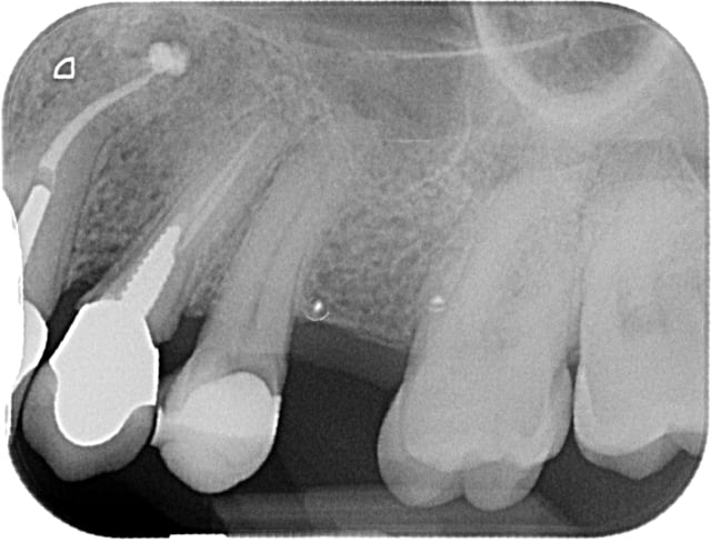
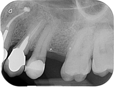
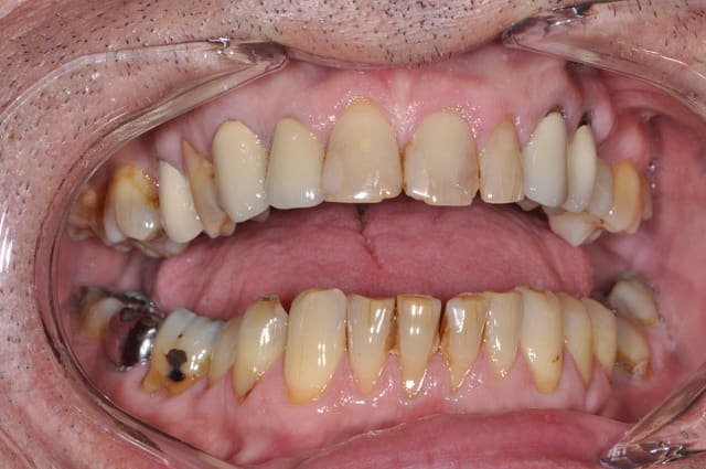
pour le haut je ne suis pas sur que la forme de la 12 soit très esthétique,
ainsi est-ce que refaire la 12 et cc pour 22 21 11 parait pertinent ?
sauf que si on refait 12 en gardant l'inlay-core ( je suis toujours prudent avec les déposes !!), cela vaut-il le coup de faire des cc ?

Dsc 0041 je96ca - Eugenol

003 penrd2 - Eugenol
Cingulum

07/07/2011 à 16h52

22 21 et 11 ce sont des indications de facettes, pourquoi mutiler complètement la dent ?


--
Dr Cingulum
-----Ancien interné----
----Attaché à l'apex----
www.clinic-all.fr formation par passion


Voltaire dali btdyqx - Eugenol
Independentiste

07/07/2011 à 16h53

marco17 écrivait:
-----------------
> "effectivement pour le bas traitement à minima,
> éclaircissement en cours "

Tu éclaircis aussi les calculs tartriques?


Bebe 038 nf8eum - Eugenol
danteyeah

07/07/2011 à 16h56

Pas mal les photos mais on pourrait avoir des vrais photos de sourire pour comprendre comment le patient se voit.
la réalisation d'un traitement global prothétique ou d'ortho se tient au regard de l'affaissement occlusal du bloc postérieur, l'occlusion plus ou moins foireuse de ton patient risque de le placer devant un pronostic esthétique moyen à long terme, c'est déja le cas au niveau 23 et 24, donc se contenter de 12 à 22 me parait léger. Mais bon le terme esthétique est tellement floue!


marco17

07/07/2011 à 17h02

pour Independentiste,
effectivement non,
tu pourras cependant remarquer de "légères" différences,
mais effectivement je n'ai pas été assez vigilant sur son brossage.

Dsc 0121 opew9a - Eugenol
Dsc 0041 pgt5cr - Eugenol

marco17

07/07/2011 à 17h04

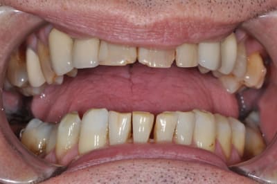
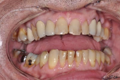
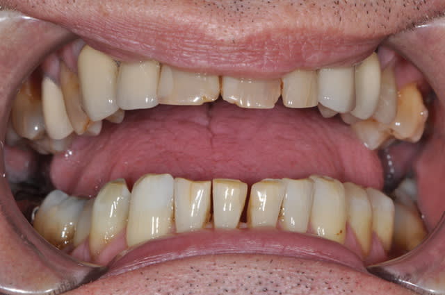
pour danteyeah,
le patient sourit ainsi,
il est complexé par ses dents de devant depuis de nombreuses années ( il a 58 ans )
son souhait n'est pas d'avoir la bouche parfaite mais de pouvoir sourire.

Dsc 0122  2  l9sss7 - Eugenol

marco17

07/07/2011 à 17h07

Cingulum,
tu as surement raison,
c'est pour cela que je demande vos avis,
afin d'aboutir au meilleur compromis.


200106 10150128247663588 709988587 6466236 5598391 n d7mksb - Eugenol
hallboy

07/07/2011 à 17h20

4 facettes.

les couronnes dans la foulée ou +tard suivant ses moyens et envies.


Marque a3 orange fyvhyq - Eugenol
Marc Apap

07/07/2011 à 17h25

Cingulum écrivait:
------------------
> 22 21 et 11 ce sont des indications de facettes, pourquoi mutiler complètement
> la dent ?
>
>
> --
> Dr Cingulum
> -----Ancien interné----
> ----Attaché à l'apex----
> www.clinic-all.fr formation par passion

Pour la 22 qui est intacte, pourquoi pas. Pour les deux autres, à partir du moment où on a un composite proximal qui va également sur la face palatine, j'estime que la couronne est mieux indiquée. Le jour où on aura une infiltration, on sera bien embêté. Pourquoi s'empêcher de soigner totalement quelqu'un sous des prétextes intellectuels.
Vous me faites marrer avec vos notions de mutilation : quand ça vous arrange de le dire, il y a mutilation, et pas de mutilation quand ça ne vous arrange pas (cf le cas de tétracycline que tu voulais traiter par facettes : si c'est pas de la mutilation, c'est quoi ?)


Bebe 038 nf8eum - Eugenol
danteyeah

07/07/2011 à 17h53

marco17 écrivait:
-----------------
> pour danteyeah,
> le patient sourit ainsi,
> il est complexé par ses dents de devant depuis de nombreuses années ( il a 58
> ans )
> son souhait n'est pas d'avoir la bouche parfaite mais de pouvoir sourire.

OK on y voit plus clair, si on prend l'image comme une référence, ce qui me choc autant que le bloc antérieur d'un point de vue esthétique (et là encore c'est une vision subjective donc à faire valider au patient d'abord), c'est la position de 14, 15 ,16, ingressées suite à affaissement occlusal, oui je sais c'est fonctionnel, mais c'est moche aussi!!!!
Ensuite sérieusement les CCM en place font toc, c'est aussi moche, encore une fois ce contenter de 12 à 22 me semble léger, même si dans le shèma du sourire "vrai" l'esthétique de la gencive est tout d'un coup devenue secondaire.
Alors ce battre pour savoir si on fait des couronnes ceramoceram ou des 3/4 ou des facettes, alors que le reste ne ressemble à rien, n'a plus trop de sens non?


olivier

07/07/2011 à 17h56

faut lui proposer la 14.....pour les facettes je ne suis pas pour , cela ne cadre pas avec ce type de patients (hygiène pas top)...comment est il , penses tu pouvoir obtenir qu'il passe des brossettes interdentaires , qu'il n'ai plus de brossage iatrogène ....


olivier

07/07/2011 à 18h03

marco17 écrivait:
-----------------
> pour danteyeah,
> le patient sourit ainsi,
> il est complexé par ses dents de devant depuis de nombreuses années ( il a 58
> ans )
> son souhait n'est pas d'avoir la bouche parfaite mais de pouvoir sourire.


Taratata....pour savoir comment il souri vraiment tire lui un poil (du nez ou ailleurs)


marco17

07/07/2011 à 18h12

olivier -1


olivier

07/07/2011 à 18h35

hum.........c'est une joke mais assure toi de sa motivation à changer de type d'hygiène et financière avant de te lancer dans un travail esthétique pur (facettes.....)


003 penrd2 - Eugenol
Cingulum

07/07/2011 à 18h37

Marc Apap écrivait:
-------------------


> Vous me faites marrer avec vos notions de mutilation : quand ça vous arrange de
> le dire, il y a mutilation, et pas de mutilation quand ça ne vous arrange pas
> (cf le cas de tétracycline que tu voulais traiter par facettes : si c'est pas de
> la mutilation, c'est quoi ?)

Le cas de tetracycline c'est abstention ou facette, si tu veux un résultat esthétique c'est facette... la mutilation commence dés qu'on prend notre fraise... le tout c'est de mutiler le moins possible... chaque tissu conserver est un plus pour le pronostique de la dent, si tu as pas compris ça moi tu me fais pas rire ... (mode Apap On)



--
Dr Cingulum
-----Ancien interné----
----Attaché à l'apex----
www.clinic-all.fr formation par passion


marco17

07/07/2011 à 18h43

c'est un patient de bonne volonté,
pour moi c'est plus un problème d'apprentissage et de technique de brossage.


Marque a3 orange fyvhyq - Eugenol
Marc Apap

07/07/2011 à 19h23

Cingulum écrivait:
------------------
le tout c'est de mutiler le moins possible... chaque tissu conserver
> est un plus pour le pronostique de la dent, si tu as pas compris ça moi tu me
> fais pas rire ... (mode Apap On)

Sans aucun doute en apparence. Très honnêtement, ça mériterait une longue discussion avec de vrais études "evidence based", car je ne pense pas que ce soit si simple. Mais ce n'est pas le propos du jour que de parler philosophie


Img 3657 cwjvqm - Eugenol
alapex

07/07/2011 à 19h44

Marc Apap écrivait:
-------------------
> Pas du tout d'accord : je suis même choqué de ces réponses. Le patient se fiche
> de ses dents du bas et s'intéresse aux incisives sup. Ne pas restaurer les dents
> du bas n'a strictement aucune importance sur le plan médical, donc pourquoi en
> rajouter.


Tu as raison .




12