Cookie Consent byPrivacyPolicies.comContention Abjean? - Eugenol
200106 10150128247663588 709988587 6466236 5598391 n d7mksb - Eugenol
hallboy

08/07/2011 à 15h50

je crois que c'est comme ça que ça s'appelel : en fait ce sont de petits cavaliers associés a un foret avec lequel on fait des puits.

comment determiner la position du deuxieme puitspour qu'il soit a la longueur du cavalier ( donc la distance entre les puts sur 2dents colaterales......

sur un frasacoça me poserait probablement pas rtop de Pb; au maxillaire et en bouche je prefererai aps faire des trous partout si des astuces existent..


Fouilla h6plsy - Eugenol
fouilla

08/07/2011 à 16h31



but de ta contention : blocage dans l'espace d'un problème paro ?

avec ce type de contention tu es obligé de faire des cavités en proximal de chaque dent pour quoi t'e... fait une cavité MOD dans laquelle tu noies un 1/2 jonc .

sinon il me semble qu'il existe un systême de paralléliseur par contre en jauge de profondeur tu peux utiliser un cavalier et tu testes à chaque cavité.

pour le 1/2 jonc perso je le "recuis" cad chalumeau + détrempé dans l'alcool ce qui l'assouplit notablement .
--
.

Img 1065 d42nbc - Eugenol

P1060810  800x600  dlavv9 - Eugenol
Hebken

08/07/2011 à 17h17

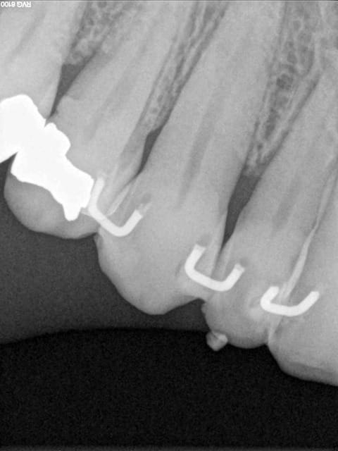
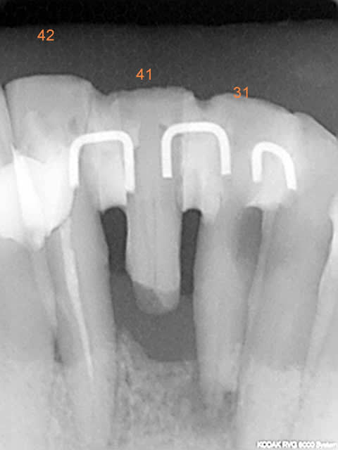
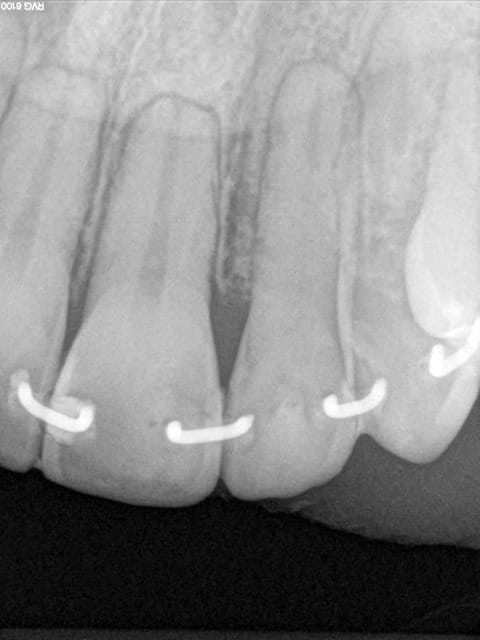
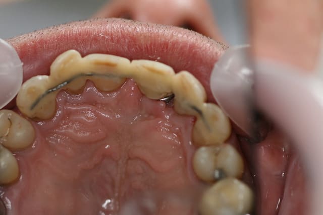
Les attelles d'Abjean j'en pose chaque semaine (ou presque), l'avantage ENOOOOORME par rapport à un "jonc noyé" c'est la rétention 3D que tu n'as pas avec le jonc!

et le délabrement est bcp moindre, en plus quand une attelle lache tu la changes, et pas tout le bastringue!
les miennes tiennent plus de 10 ans...

J'aime beaucoup mon "bridge provisoire" suite à la luxation de la 31 avec fracture de l'apex...^^ elle a tenu 8 ans.

R3 q04jq0 - Eugenol
R1a t4dyuo - Eugenol
R1b gftmxo - Eugenol
R1c yivsgb - Eugenol
R2a parun8 - Eugenol
R1 ugpilh - Eugenol

200106 10150128247663588 709988587 6466236 5598391 n d7mksb - Eugenol
hallboy

08/07/2011 à 17h38

ok.
Ptet que je ferais qu'une MOD par dent ;))


200106 10150128247663588 709988587 6466236 5598391 n d7mksb - Eugenol
hallboy

08/07/2011 à 17h51

j'ai trouvé une bribe de papier là dessus sur le net ( j'ai un petit bouquin sur les contentions mais ils en parlent pas)

tu peux me preciser l'axe d'insertion? ( plutot se rprocher de l'axe radiculaire? ) et comment tu reproduis l'ecartement correspondant a la distance entre les 2picots?

durée du RV a prevoir? tarif?


Smile beach jgh0a1 - Eugenol
Céramik

08/07/2011 à 17h52


Pour moi, c'est du bricolage...faire des trous partout ?

--
Céramik


200106 10150128247663588 709988587 6466236 5598391 n d7mksb - Eugenol
hallboy

08/07/2011 à 18h25

drill fill bill;)

un fil collé suffira pas, je vais qd mm pas faire un bridge decontention, et une atelle collé sera encore plus invasive.


P1060810  800x600  dlavv9 - Eugenol
Hebken

08/07/2011 à 18h37

Céramik écrivait:
-----------------
>
> Pour moi, c'est du bricolage...faire des trous partout ?
>
> --
> Céramik

On le sait bien Céramik ! ;-) on pose une question: on répond à la question; si l'on pouvait faire des bridges complets sur implants à chacun de nos patients ça se saurait.
En attendant, ce type de contention transitoire pendant une phase de guérison parodontale après TT ortho (suite aux migrations dentaires) est idéale à mon avis.

Après tu vois ça comme du bricolage: chez casto y a tout c'qui faut ! ^^


P1060810  800x600  dlavv9 - Eugenol
Hebken

08/07/2011 à 18h46

hallboy écrivait:
-----------------
> j'ai trouvé une bribe de papier là dessus sur le net ( j'ai un petit bouquin sur
> les contentions mais ils en parlent pas)
>
> tu peux me preciser l'axe d'insertion? ( plutot se rprocher de l'axe
> radiculaire? ) et comment tu reproduis l'ecartement correspondant a la distance
> entre les 2picots?
>
> durée du RV a prevoir? tarif?

1) les forêts drill: tu as quelle réf. ???
2) le fil c'est du jonc en 0,8 mm
3) tu fais une gorge horizontale reliant les 2 points de contact jusqu'à la dentine (prof 1 mm) fraise HL 008
4) un léger avant trou à la fraise boule 008 aux extrémités de la gorge (komet H 009)
5) forage basse vitesse prof 1 à 2 mm les puits doivent être le plus parallèle possible (dans le tiers proximal de la dent à distance raisonnable de la pulpe ;-)
6) confection de l'attelle grâce à une pince à bec plat fine modifiée qui te permet de faire toutes les tailles d'entre-axe
7) essayage et puis souvent réessayage et scellement ou collage si tu en as.

C'est comme cela que Le Pr José Abjean nous l'a appris...à la fac.

durée pour 5 attelles mini 1 heure avec l'habitude (très stressant car c tout petit, ça saute des fois, etc.) tarif 76€ par attelle, cotation globale Sc40 (pour ttes les attelles) "contention parodontale scellée discontinue"
certains prats côtent des sc9 (mais attention le CDC peut relever le fait qu'il n'y avait pas de caries avant l'acte! donc pas de justification de sc9)


Smile beach jgh0a1 - Eugenol
Céramik

08/07/2011 à 18h52

Hebken écrivait:
----------------
> On le sait bien Céramik ! ;-) on pose une question: on répond à la question; si l'on pouvait faire des bridges complets sur implants à chacun de nos patients ça se saurait.
> En attendant, ce type de contention transitoire pendant une phase de guérison parodontale après TT ortho (suite aux migrations dentaires) est idéale à mon avis.
>
> Après tu vois ça comme du bricolage: chez casto y a tout c'qui faut ! ^^


+1 pour la réponse à Halboy, info demandée, info reçue

C'est joli, mais je trouve que sur les radio, les trous sont plus prodonds que la contention et je trouve cela invasif vs fil ou contention classique. Pour quelques cas bien précis, ok, mais pas trop fréquente l'indication non ?



--
Céramik


P1060810  800x600  dlavv9 - Eugenol
Hebken

08/07/2011 à 19h11

Céramik écrivait:
-----------------
> Hebken écrivait:
> ----------------
> > On le sait bien Céramik ! ;-) on pose une question: on répond à la question;
> si l'on pouvait faire des bridges complets sur implants à chacun de nos patients
> ça se saurait.
> > En attendant, ce type de contention transitoire pendant une phase de guérison
> parodontale après TT ortho (suite aux migrations dentaires) est idéale à mon
> avis.
> >
> > Après tu vois ça comme du bricolage: chez casto y a tout c'qui faut ! ^^
>
>
> +1 pour la réponse à Halboy, info demandée, info reçue
>
> C'est joli, mais je trouve que sur les radio, les trous sont plus prodonds que
> la contention et je trouve cela invasif vs fil ou contention classique. Pour
> quelques cas bien précis, ok, mais pas trop fréquente l'indication non ?
>
>
>
> --
> Céramik

Ben si en fait, c'est la seule:
1 a être discontinue (donc refaisable sans tt déposer encore une fois)
2 a avoir une rétention axiale, vestibulo palatine, et disto mésiale (3 axes)
3 assez facile à mettre en oeuvre (par rapport à la manipulation d'un long fil que tu colles d'un bout qu'il faut tenir pour ne pas qu'il bouge :(....
4 délabrement moins important et risque de fracture de la dent bcp moindre (bord incisal par exemple)
5 résultat immédiat esthétique et absence d'interférences occlusales car entièrement incluse dans les puits et sillons réalisés.

Ca dépanne super bien dans le cas de la luxation en urgence en attendant la conjointe.


Fouilla h6plsy - Eugenol
fouilla

08/07/2011 à 19h21

Hebken écrivait:

>
> durée pour 5 attelles mini 1 heure avec l'habitude (très stressant car c tout
> petit, ça saute des fois, etc.) tarif 76€ par attelle, cotation globale Sc40
> (pour ttes les attelles) "contention parodontale scellée discontinue"
> certains prats côtent des sc9 (mais attention le CDC peut relever le fait qu'il
> n'y avait pas de caries avant l'acte! donc pas de justification de sc9)

pour la contention si ameli traine par la faut lui demander car sc 40 c'est opposable ...
la ngap précise "attelle métallique " donc ce serait une assimilation .
perso acte HN coût 420 euros temps passé moyen que ce soit avec une gorge ou simle fil de contention environ une heure


--
.


200106 10150128247663588 709988587 6466236 5598391 n d7mksb - Eugenol
hallboy

08/07/2011 à 19h59

Jai une boite de chez Nichominox je pense. 1 seul foret differentes atelles.


dgn

08/07/2011 à 22h02

fouilla écrivait:
-----------------
>> pour la contention si ameli traine par la faut lui demander car sc 40 c'est
> opposable ...
> la ngap précise "attelle métallique " donc ce serait une assimilation .
> perso acte HN coût 420 euros temps passé moyen que ce soit avec une gorge ou
> simle fil de contention environ une heure
>
Tu as raison le temps c'est de l'Abjean


P1060810  800x600  dlavv9 - Eugenol
Hebken

08/07/2011 à 23h21

fouilla écrivait:
-----------------
> Hebken écrivait:
>
> >
> > durée pour 5 attelles mini 1 heure avec l'habitude (très stressant car c tout
> > petit, ça saute des fois, etc.) tarif 76€ par attelle, cotation globale Sc40
> > (pour ttes les attelles) "contention parodontale scellée discontinue"
> > certains prats côtent des sc9 (mais attention le CDC peut relever le fait
> qu'il
> > n'y avait pas de caries avant l'acte! donc pas de justification de sc9)
>
> pour la contention si ameli traine par la faut lui demander car sc 40 c'est
> opposable ...
> la ngap précise "attelle métallique " donc ce serait une assimilation .
> perso acte HN coût 420 euros temps passé moyen que ce soit avec une gorge ou
> simle fil de contention environ une heure
>
>
> --
> .
Ok. Et du jonc pour ortho en 0.8 mm, ce n'est pas du métal? ^^


P1060810  800x600  dlavv9 - Eugenol
Hebken

08/07/2011 à 23h32

hallboy écrivait:
-----------------
> Jai une boite de chez Nichominox je pense. 1 seul foret differentes atelles.

Merci, j'avais entendu parler du coffret sans jamais l'avoir eu,
aurais-tu les références des forêts? fabricant?


J'ai eu bcp de mal à en trouver, j'ai adapté avec des drills servant à autre chose, mais ce n'est pas la panacée.


200106 10150128247663588 709988587 6466236 5598391 n d7mksb - Eugenol
hallboy

09/07/2011 à 01h49

COFFRET DE
CONTENTION
• Réf. 190650 • Réf. 119600
Acier inoxydable Pour la pose des attelles
Conditionnées en tubes individuels par jeu de 10, en U d’Abjean et Genon
soit 1 mètre de grille. 1 jeu de 4 instruments
6 attelles de chaque taille :
1.75, 2.00, 2.25, 2.50, 2.75, 3.00, 3.25, 3.50, 3.75, 4.00
1 boîte inox et téflon avec convertisseur de tailles pour
le rangement et la stérilisation.


Tél. 04 78 74 04 15 - Fax 04 78 01 61 80 - [email protected] - www.nichrominox.fr ...... contention en U d'ABJEAN et GENON

Distributeur :
18, rue des Frères Lumière
F 69720 ST-BONNET-DE-MURE
TÉL (33) 04 78 74 04 15
FAX (33) 04 78 01 61 80
EMail : [email protected]
Internet : www.nichrominox.fr


Voili. va falloir que je les appelle aussi. IL y a un paralleliseur dans leur catlogue pour verifier les puits: utile? pas utile?


200106 10150128247663588 709988587 6466236 5598391 n d7mksb - Eugenol
hallboy

09/07/2011 à 01h57

http://www.praxisinstruments.fr/boutique/recherche_resultats.cfm?marque_nav=7&code_lg=lg_fr


P1060810  800x600  dlavv9 - Eugenol
Hebken

09/07/2011 à 09h34

hallboy écrivait:
-----------------
> COFFRET DE
> CONTENTION
> • Réf. 190650 • Réf. 119600
> Acier inoxydable Pour la pose des attelles
> Conditionnées en tubes individuels par jeu de 10, en U d’Abjean et Genon
> soit 1 mètre de grille. 1 jeu de 4 instruments
> 6 attelles de chaque taille :
> 1.75, 2.00, 2.25, 2.50, 2.75, 3.00, 3.25, 3.50, 3.75,
> 4.00
> 1 boîte inox et téflon avec convertisseur de tailles
> pour
> le rangement et la stérilisation.
>
>
> Tél. 04 78 74 04 15 - Fax 04 78 01 61 80 - [email protected] -
> www.nichrominox.fr ...... contention en U d'ABJEAN et GENON
>
> Distributeur :
> 18, rue des Frères Lumière
> F 69720 ST-BONNET-DE-MURE
> TÉL (33) 04 78 74 04 15
> FAX (33) 04 78 01 61 80
> EMail : [email protected]
> Internet : www.nichrominox.fr
>
>
> Voili. va falloir que je les appelle aussi. IL y a un paralleliseur dans leur
> catlogue pour verifier les puits: utile? pas utile?
>
Je ne m'en suis jamais servi, mais ça permet surtout d'avoir l'entraxe des trous.


Gbazylo1 fvg1vg - Eugenol
Aron

12/07/2011 à 16h35

A noter que ni Abjean ni Genon n'ont jamais touché le moindre centime sur les ventes de Nichrominox. Bravo les commerciaux!

Sinon, c'est une bonne technique, invasive peut-être mais avec de nombreux avantages bien soulignés par Hebken, mais qui nécessite à mon avis un apprentissage par TP pour commencer.


200106 10150128247663588 709988587 6466236 5598391 n d7mksb - Eugenol
hallboy

19/07/2011 à 17h54

C'est fait !
un peu chiant au debut ; ensuite on prend le coup. Par contre c'est long, en tous cas la premiere fois .

Merci les gars pour vos conseils et encouragements;)


P1060810  800x600  dlavv9 - Eugenol
Hebken

19/07/2011 à 18h54

oui surtout le réglage des attelles, le bon entraxe, et paf! l'agrafe qui saute! faut en refaire une: utiliser de très bonnes précelles ! ^^


200106 10150128247663588 709988587 6466236 5598391 n d7mksb - Eugenol
hallboy

19/07/2011 à 20h41

si j'en refais , ptet que je met la digue;)) elle m'en a avalé une;)


200106 10150128247663588 709988587 6466236 5598391 n d7mksb - Eugenol
hallboy

25/08/2011 à 13h49

Merci jeune gens ;)

On y prend gout et comme bcp de choses, c'est plus simple la deuxieme fois

Jerk1 bkanul - Eugenol
Jek2 g3vpec - Eugenol

Amibien

25/08/2011 à 15h44

Donnez-leur des clous et ils en mettront partout... je ne sais plus qui avait écrit ça il n'y a pas si longtemps ?

--
Petit Prince


12