Cookie Consent byPrivacyPolicies.comsourire pas très joli - Eugenol
maz

10/07/2011 à 21h53

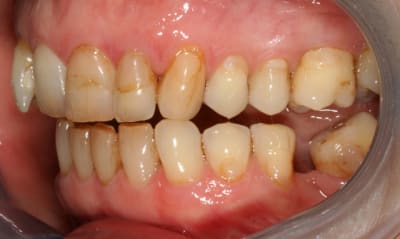
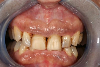
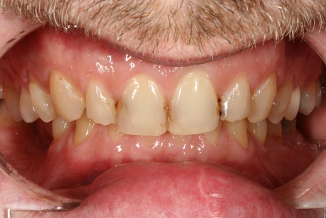
cette patiente que je suis en controle depuis 2 ans, se décide à faire quelque chose pour son sourire.

grosso modo depuis 2 ans, pas de soucis particuliers, pas de caries, faut faire un peu gaffe à la paro mais elle est plutôt motivée et ça se passe bien.

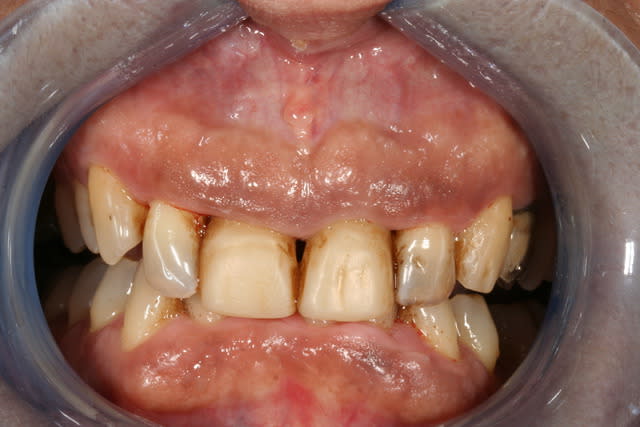
elle a plein de vieux compos d'une mauvaise couleur, au joints colorés, des dents de couleur pas vraiment toutes pareilles ; et un sourire très gingival.
je ne sais pas trop d'ou ça viens, de mylolyses traitées au compo ou d'un épisode de caries au collet ?

elle ne fume pas, bois du thé, un peu de café.

elle n'est pas emmerdante, me demande surtout ce qu'il faut faire, me fait confiance.

que lui proposeriez vous comme plan de traitement ?

Sourire kadakg - Eugenol
 carteurs ghd0kd - Eugenol
Visage svxotk - Eugenol

Smile beach jgh0a1 - Eugenol
Céramik

10/07/2011 à 22h17

Les lésions cervicales sont probablement des abfractions, son occlusion est en cause.
Montre nous une photo en occlusion.

Les caries multiples au collet sont peu fréquentes

Angulation des dents très lingualée, molaires inférieures avec manque d'éruption.

overbite et Cl-2 ??

Je suggère ortho, chirurgie paro, céram



--
Céramik


Marque a3 orange fyvhyq - Eugenol
Marc Apap

10/07/2011 à 22h19

Rien avant d'avoir fait des moulages et un wax up (ou un wax up en composite sur le plâtre)et aussi des radios pour voir la longueur des racines et l'aspect de l'os (je sais je ne me mouille pas, mais bon, ces dents sont déjà longues, s'il fallait faire de la chir ? )
Peut on ingresser des dents comme ça, avant ou après de la chir pour remonter la ligne des collets ?


maz

10/07/2011 à 22h44

l'existence de l'abfraction restant encore sujette à débats, je pencherais plus pour une usure liée au brossage et à l'acidité

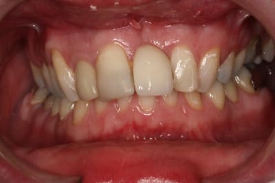
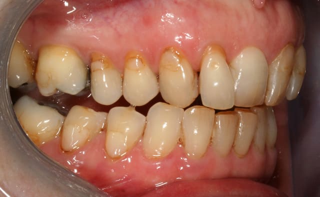
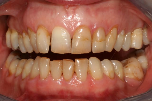
pour l'occlusion, voilà les photos, il y a effectivement une classe II, plus marquée à droite qu'à gauche
il y a l'absence de la 36 depuis quasiment l'enfance, l'occlusion est calée comme ça depuis plus de 30 ans et ça ne bouge pas
il n'y a pas (ou peu) de supraclusion (overbite je crois que c'est ça)

il n'y a aucun problème musculaire ou articulaire

niveau paro si je dis que c'est stable c'est qu'il n'y a pas de poches
quand je disais qu'il faut faire gaffe, c'est que c'est effectivement le risque chez cette patiente avec le parodonte fin mais elle fait attention à ses dents, suis les conseils et viens régulièrement depuis que je la suis (même si nous n'avons pas d'hygiènistes mais c'est un autre débat)

elle a certes un sourire très gingival lié à la classe II, mais est-ce si grave que ça ?

je sais que c'est non pour chirurgie et orthodontie, ne serait ce que parce que je n'amènerais pas une patiente sur ce terrain là si je ne suis pas convaincu qu'il le faille ou si elle avait une demande esthétique visant à tout changer de A à Z, mais ce n'est pas son cas
(juste pour dire que je ne suis pas anti ortho/chir, je viens d'en proposer une a un patient en Classe II2 cette semaine)

 carteurs droit cm321v - Eugenol
 carteurs  pim zjlrfq - Eugenol
 carteur gauche kgjoco - Eugenol

maz

10/07/2011 à 23h01

quand je dis que je ne suis pas convaincu de la nécessité d'une chir dans un cas de cl II stable avec peu de supraclusion et aucune symptomatologie, je reste là pour apprendre et me faire critiquer, alors n'hésitez pas si vous pensez que je dis une connerie :D


Marque a3 orange fyvhyq - Eugenol
Marc Apap

10/07/2011 à 23h19

Moi, je disais la chir pour le sourire gingival parce que je ne connais pas d'autre manière de supprimer ce problème.
Maintenant, si ce n'est pas un problème, je ne vois pas de difficulté particulière : il suffit de préparer les dents (facettes ou couronnes) et de placer des restaurations harmonieuses en composite. D'ici une dizaine d'années, on va de nouveau voir les collets à cause de la fonte osseuse, mais bon, il faut bien faire tourner le commerce...


Img 8465 fqhxid - Eugenol
noahaxeltiger-olivier

10/07/2011 à 23h39

Céramik écrivait:
-----------------
> Je suggère ortho, chirurgie paro, céram

+1


Smile beach jgh0a1 - Eugenol
Céramik

11/07/2011 à 00h43

noahaxeltiger-olivier écrivait:
-------------------------------
> Céramik écrivait:
> -----------------
> > Je suggère ortho, chirurgie paro, céram
>
> +1

:-)

Ortho (sans chirurgie) l'axe des dents est hyper moche pour l'occlusion
Tu auras une meilleure harmonie occlusale, et les secteurs post inférieurs seront en équilibre.
Peut importe l'âge de la perte de la 36, la remplacer dans l'approche globale, est justifié.

Chirurgie paro, si besoin, suite ortho (gummy smile)

Céram, pour la portion esthétique

Les lésions au collet sont en relation avec son occlusion, si tu touches pas l'occlusion, ne fait rien, car tes céram seront pleine de joint dans quelques années.

Le parodonthe mince, vient du fait qu'il y a eu perte de gencive attachée (occlusion) et que les racines sont trop vestibulaires.

L'absence de symptôme, ne veux pas dire qu'il n'y a pas de pathologie occlusale.
--
Céramik


maz

11/07/2011 à 01h08

si j'ai bien compris ce que tu dis, si on lui fait ... (quoi que ce soit en fait d'esthétique) ça partira en couille au niveau des collets parce que l'occlusion entrainera une dégradation des joints
a côté de ça, l'occlusion a déjà entrainé et continue d'aggraver la fragilité paro

peut on lui diagnostiquer un problème paro sur la base d'une recession qui me semble stable depuis que je la vois et sur un parodonte fin ou parle t on juste d'un risque majoré ?
(ou ai je raté quelque chose ?)

(je profite d'avoir ceramik et olivier sur le fil pour poser mes questions !)


Avatar 46 aoi1yc - Eugenol
HononLulu

11/07/2011 à 01h35

Tu n'aurais pas une pano ?
La position de la 12 m'interpelle, ça ressemble à une migration dentaire dans un contexte de parodontite.


maz

11/07/2011 à 01h47

désolé, pas de pano

pour cela ne faudrait il pas qu'il y ait des contacts en occlusion dessus?
or elle ne me semble pouvoir toucher ni en propulsion ni en latéralité

je penchais pour la 11 qui s'est palatoversée pour trouver un contact et la latérale qui se fait dégager (explications made in mon lit à minuit)


Smile beach jgh0a1 - Eugenol
Céramik

11/07/2011 à 04h30

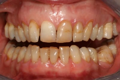
Tu as des photo en occlusion, vue lattérale ?

Tu as noté l'usure des insives du bas ?

Âge de la patiente ?

Merci

Pas de pano ? On n'a pas les même suivis , NP ( nouveau patient) = pano et radio complête.
Examen paro ? sondage et rétro ?

pour la dent 12 , il semble que ce soit lié avec la Cl-2, div-2 ( une des variante). Mais peut-être paro...on manque d'info. Pour le wax-up, c'est trop tôt.


--
Céramik


maz

11/07/2011 à 10h48

Céramik écrivait:
-----------------
> Tu as des photo en occlusion, vue lattérale ?

non

> Tu as noté l'usure des insives du bas ?

oui ;)

> Âge de la patiente ?

50 ans

> Pas de pano ? On n'a pas les même suivis , NP ( nouveau patient) = pano et radio
> complête.
> Examen paro ? sondage et rétro ?

pas de pano au cabinet, pas de systématisation de la pano du coup
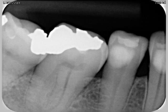
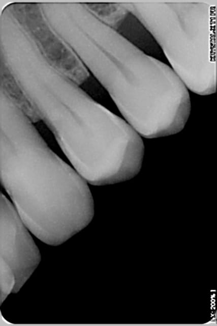
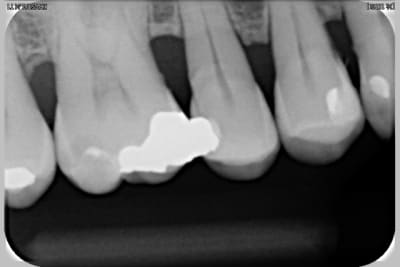
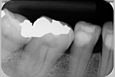
quelques retro faites en 2009 (critiquables, je sais, ça va mieux aujourd'hui)

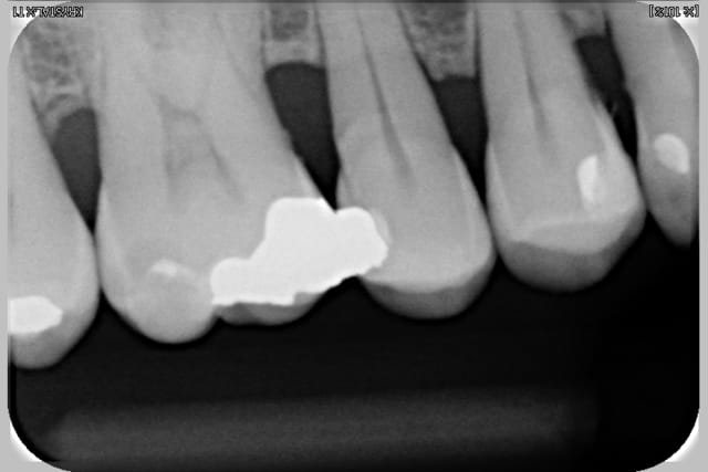
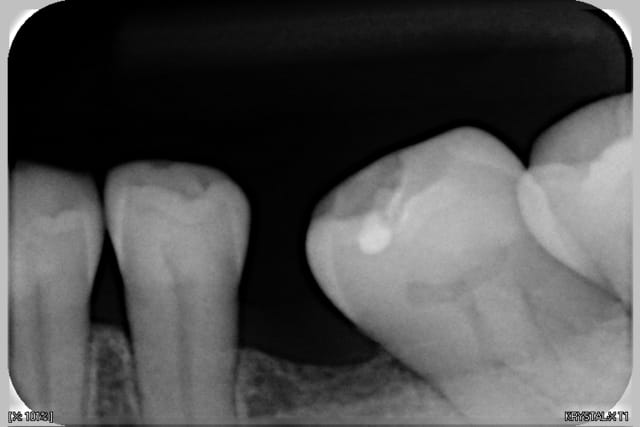
Radio 36 2009 liviaq - Eugenol
Radio 16 2009 alhcqr - Eugenol
Radio 25 2009 pd2mbc - Eugenol
Radio 46 2009 eomewu - Eugenol

Gbazylo1 fvg1vg - Eugenol
Aron

11/07/2011 à 15h56

Même si je ne pense pas que l'occlusion soit un facteur déterminant de ses mylolyses localisées plutôt au niveau des angles de l'arcade, l'ortho me paraît indiquée pour rétablir quelques axes dentaires incompatibles avec une recherche esthétique. Bien sûr, il faudrait un wax up pour en être certain.

Etude esthetique.
Paro.
ODF si possible.
(Et dans ce cas là re-étude esthétique après)
Provisoires
Alignement des collets si nécessaire
Céram

Joli cas si la patiente est bien et motivée

Pour l'age, je dirais: crise de la quarantaine avancée... :)


Smile beach jgh0a1 - Eugenol
Céramik

11/07/2011 à 17h39

maz écrivait:
-------------
> Céramik écrivait:
> -----------------
> > Tu as des photo en occlusion, vue lattérale ?
>
> non


Dommage



>
> > Tu as noté l'usure des insives du bas ?
>
> oui ;)


et ta conclusion ?



> pas de pano au cabinet, pas de systématisation de la pano du coup
> quelques retro faites en 2009 (critiquables, je sais, ça va mieux aujourd'hui)


2009 ?
Tu devrais en refaire pour analyser le cas avec des données précises.


Voir images
On peut y voir une remodelage osseux, de tartre, l'usure de la canine


Tu as des photo en vue occlusale, haut et bas ?



--
Céramik

Montage radio a3l36a - Eugenol

maz

11/07/2011 à 22h26

tout d'abord merci a tous de vous pencher sur ce cas, en particulier ceramik

Céramik écrivait:

> > > Tu as noté l'usure des insives du bas ?
> >
> > oui ;)
>
> et ta conclusion ?

qu'elle les use ;p
en propulsion surement, mais faut il y voir une pathologie ? on voit pas mal de patients qui ont ces incisives usées, pas que des cl II
dis moi à quoi tu penses ??
(au bruxisme ?)


> 2009 ?
> Tu devrais en refaire pour analyser le cas avec des données précises.
> Voir images
> On peut y voir une remodelage osseux, de tartre, l'usure de la canine

certes, mais le remodelage osseux est ancien, le tartre j'espère bien qu'il en reste plus depuis le temps (histoire que je serve à quelque chose)

faut il s'alarmer de tout épisode ancien de parodontite a part en sachant qu'il y a un risque de recidive et en faisant de la prévention ?

> Tu as des photo en vue occlusale, haut et bas ?

non, désolé, j'ai pas fait celles là





maz

11/07/2011 à 22h45

si je résume, on a

un sourire gingival
un parodonte fin
un épisode passé de perte d'attache
une usure de certaines dents
un axe lingualé des dents
une usure au collet
un édentement non compensé ancien

faut il mettre tout cela sur le compte de son occlusion, de sa classe II ?
et surtout tout cela est il pathologique ?

pour ma part, je ne voyais pas tout ça comme pathologique, mais a la vue des réponses concordantes ou tout le monde part sur de l'ortho a fond, je me dis que j'ai du manquer un truc

et du point de vue esthétique, le gummy smile est il une hérésie ?
peut on selon vous envisager un traitement esthétique qui ne cherche pas forcément à corriger ce critère ?

pour tout vous dire, je pensait poster un cas plutôt simple, et me retrouve avec le plan de traitement de la mort avec
ortho sévère et qui sait derrière : avulsions ou chirurgie des maxillaires ?
implants (remplacer la 36), traitement paro, chir paro, céram partout
(il y a même une chirurgie de lèvre qui a été éditée depuis ;p)


marcus

12/07/2011 à 01h45

maz écrivait:
-------------
> si je résume, on a
>
j'ai du manquer un truc
>
>
> pour tout vous dire, je pensait poster un cas plutôt simple,


"Primum non Nocere" Maz , "Primum non Nocere" !

D'aprés toi,de l'ortho à 50 balais ,ça va donner quoi ? ça va lui apporter quoi de mieux dans sa vie de tous les jours ?

De la misère , Maz , de la misère !

Au départ, elle veut quoi ta patiente (titre du post) un plus joli sourire ! Donnes lui donc un "plus joli sourire" fais donc du cosmétique !

Laisse tomber la théorie fumeuse comme quoi , les Mylolyses sont dues à des pbs d'occlusion , sur ce sujet , personne n'a raison et personne n'a tort.

Laisse tomber les adeptes d'un traitement global pour ce cas ! (tant qu'on y est pourquoi pas préconiser un LEFORT maxillaire !)

Elle n'a pas de problème ni phonatoire ni masticatoire (même si elle est en cl II), simplement un problème esthétique , réponds à ce problème , sans en créer d'autres

Pourquoi toujours vouloir forcer un patient à ce qu'il ne veut pas ? Quand bien même ce serait pour "son bien" et dans ce cas présenté ce n'est vraiment pas d'actualité

Chirurgie ! Orthodontie ! Occlusodontie ! Taiaut ! Taiaut ! Sus au patient ! allons y mes braves !

(désolé,trés peu pour moi qui, dans mon petit coin ,quelques années plus tard , suis obligé de faire le rétablissement d'excés que de tous ces beaux parleurs ont créé de manière souvent imprudente , tout en étant persuadés du bien fondé de leur démarche.

Aussi Maz , commence par être TRES à l'écoute de tes patients , de leurs désidératas et pas de ton Ego !

Amitiés

Marcus


Smile beach jgh0a1 - Eugenol
Céramik

12/07/2011 à 02h16

Le grand marcus a parlé...

Tu as surement raison, l'ortho c'est pour les adolescent, et l'occlusion, c'est inutile.
On a quand même le droit de discuter sur le forum, car celui qui a débuté le fil ne semble pas savoir quoi faire.

6 facettes en Cl-2, avec un gummy smile, c'est pas très joli.

Tu nous montres un cas semblable, pour voir et apprendre.

maz, que veux la patiente ? c'est une bonne question, mais aussi savoir éduquer les patients sur les options...sinon, on va faire n'importe quoi en disant c'est le patient qui voulait cela.



--
Céramik


marcus

13/07/2011 à 00h11

Céramik écrivait:
-----------------
> Le grand marcus a parlé...
>
>> Tu nous montres un cas semblable, pour voir et apprendre.
>
> maz, que veux la patiente ? c'est une bonne question, mais aussi savoir éduquer
> les patients sur les options...sinon, on va faire n'importe quoi en disant c'est
> le patient qui voulait cela.


Céramik ,te faches pas et te vexes pas !

j'ai pas un cas , j'en ai quatre , quatre femmes qui , à l'époque , avaient entre 38 et 45 ans.Sur les quatre ,aprés deux ans de traitements ( ortho , chir et occluso simultanées )toutes ont des dents bien alignées
Mais deux ont divorcé (maris lassés )
deux ont font une dépression nerveuse.


Tu comprends maintenant pourquoi je suis debout sur les freins ?

Amitiés

Marcus


maz

13/07/2011 à 00h32

on comprends beaucoup mieux :D

et sur le fond, je suis d'accord avec toi, faire gaffe à ce que veux la patiente, ne pas l'amener beaucoup trop loin pour elle (divorce + depression)
et reste aussi d'accord avec ceramik qui dit qu'il faut guider leurs choix en les informant au moins des risques

jusque là je me mouille pas !!


mais j'aimerais vraiment savoir si risque il y a à rester en cl II ?
va t elle vraiment perdre toutes ces dents dans quelques années ?

quand on a des supraclusions comme ces deux patients en photo, je dis pas, mais on me semble très loin de ça pour ma patiente ici

Img 9257 lz7zgv - Eugenol
Img 9231 savtqx - Eugenol

Smile beach jgh0a1 - Eugenol
Céramik

13/07/2011 à 04h26

maz écrivait:
-------------
> cette patiente que je suis en controle depuis 2 ans, se décide à faire quelque
> chose pour son sourire.
>
> grosso modo depuis 2 ans, pas de soucis particuliers, pas de caries, faut faire
> un peu gaffe à la paro mais elle est plutôt motivée et ça se passe bien.
>
> elle a plein de vieux compos d'une mauvaise couleur, au joints colorés, des
> dents de couleur pas vraiment toutes pareilles ; et un sourire très gingival.
> je ne sais pas trop d'ou ça viens, de mylolyses traitées au compo ou d'un
> épisode de caries au collet ?
>
> elle ne fume pas, bois du thé, un peu de café.
>
> elle n'est pas emmerdante, me demande surtout ce qu'il faut faire, me fait
> confiance.
>
> que lui proposeriez vous comme plan de traitement ?
>


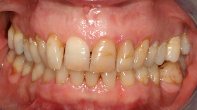
Si on regarde la photo 3, sourire de face, tu doit faire 10 céram en haut, de
5 à 5 (et là, je ne retiens pour pas dire 12...)

Ensuite, tu fais rien pour la couleur en bas ? OK
pour l'attrition ? OK, au pire une goutière nocturne.

Si tu touches 6 dents (3 à 3), ben le sourire ne sera tjs pas trop beau...juste mon pt de vue.

Marcus, engage un psy pour tes patientes !


--
Céramik


maz

13/07/2011 à 22h44

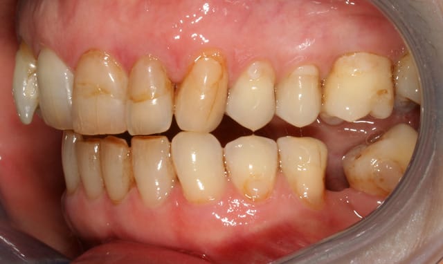
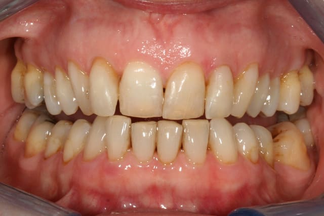
merci à ceux qui ont participé, vous m'avez fait penser à des choses que je n'avais pas imaginé pour le traitement de ma patiente

et effectivement, si on avait voulu faire un sourire parfait, on aurait pu faire ortho, alignement des collets, facettes, voire une chirurgie de la lèvre pour le sourire gingival

la patiente n'est pas du tout venue pour ça, et je ne me vois pas lancer tout ça pour une patiente qui ne se plaint que de ses composites et un peu de sa 12

je lui ai proposé un éclaircissement, de refaire les compos, et de voir après si on pouvait rentrer la 12 avec un moyen ortho amovible (invisalign, inman aligner ou autre)
puisqu'elle a refusé tout net les bagues

je n'avais pas pensé à corriger sa classe II, ni a tout couronner ou facetter pour "ressortir" les dents très rentrées ; ni même a aligner ses collets en fait.
pour cette patiente qui n'avait pas de grandes exigences, je me suis auto limité en voulant être le moins iatrogène possible.
comme quoi poster m'aura été utile, j'avais pas tout vu ni tout envisagé.

je reste content de mon traitement, tout simplement parce que la patiente est très contente.

elle n'a même pas eu envie d'essayer de bouger la 12 après (et tant mieux parce que maintenant qu'on en a discuté, ça aurait surement été galère de ne toucher que ça)

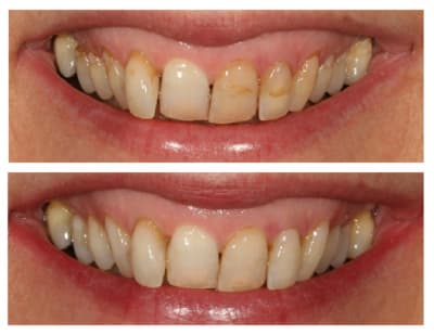
 carteurs apr s zrbnce - Eugenol
Sourire apr s qrpvqr - Eugenol
Visage apr s qxgiln - Eugenol

Smile beach jgh0a1 - Eugenol
Céramik

14/07/2011 à 04h41

maz écrivait:
-------------
> cette patiente que je suis en controle depuis 2 ans, se décide à faire quelque
> chose pour son sourire.
>
>> que lui proposeriez vous comme plan de traitement ?
>

Questions, tu es content du résultat ?
Tu as proposé autre chose ou pas ?

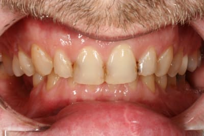
Bon, ton cas est terminé, en voici un dans le mêm style.
Jeune patient, 25 ans, n'aime pas son sourire.
Tu fais quoi ?



--
Céramik

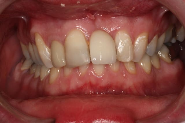
Avant apres sujif0 - Eugenol
Img 3276 qzbokb - Eugenol

Bebe 038 nf8eum - Eugenol
danteyeah

15/07/2011 à 10h52

Arrivant sur le tard pour cause de vacances (ah la Corse!!! quel pied!), j'ai l'avantage d'avoir vu l'avant et l'après, plutôt d'accord avec Ceramik pour traitement global mais aussi avec Marcus pour respecter le choix du patient.
Pourtant a y regarder de plus prés j'ai la sensation d'une amélioration de la qualité des soins précédemment réalisés chez ta patiente, Maz, mais pas d'une amélioration du sourire, juste un peu de Rimmel quoi ! donc tout est question de langage et d'appréciation et d'expérience perso, si dans ton cas tu as réalisé le souhait exprimé de la patiente, alors tu as tout bon.

Céramik: la 21 c'est bridge à ailette? si oui, y reste quoi comme os en dessous. Elle a vraiment 25 ans? Il y aura (y a eu puisque déjà traité je suppose) expansion maxillaire = 9 à 12 mois d'ortho puis traitement ceram pour qui veut je présume.


12