Cookie Consent byPrivacyPolicies.comne jamais faire une jolie provisoire - Eugenol

ne jamais faire une jolie provisoire

Fouilla h6plsy - Eugenol
fouilla

19/07/2011 à 19h09



comme ça la prothèse conventionelle est zolie...

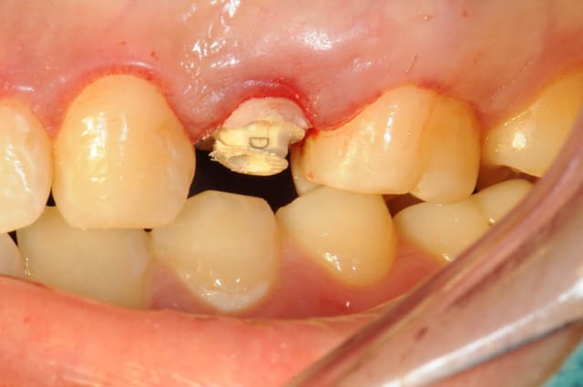
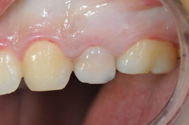
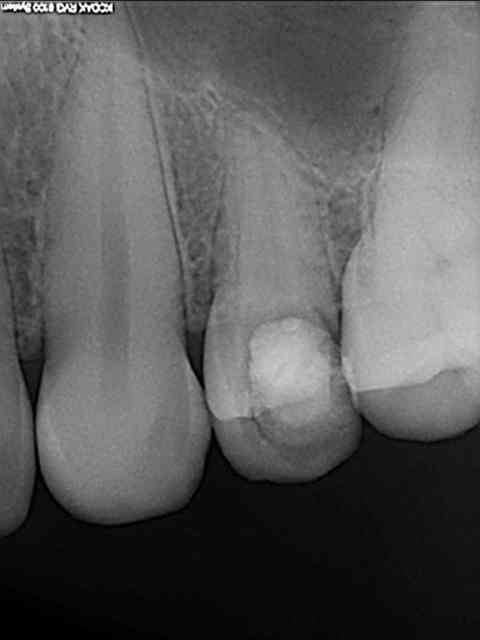
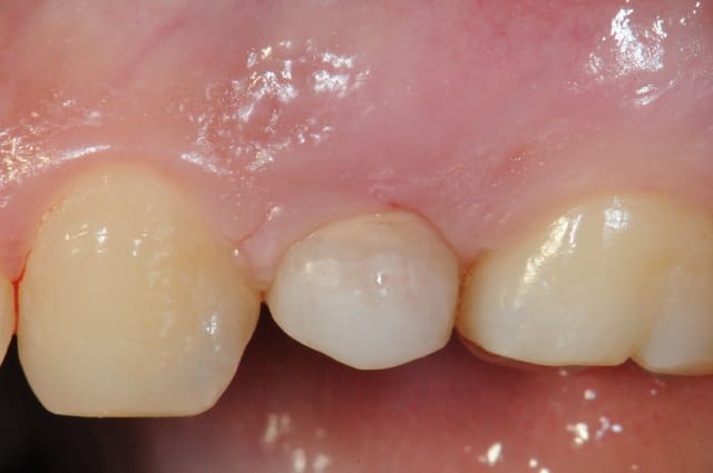
mis à part le liseret gris du collet suis content du résultat et pourtant c'était pas gagné d'avance : pas de GA ou peu et nécessité de faire une rog
donc la EII et ROG (nanobone + collagene +prf)
pas de MCI
à la réouverture déplacement en vestibulaire de la GA palatine pour redonner du "volume"

fouilla content il en faut peu pour être heureux..
--
.

Eii becynz - Eugenol
Eii suite xplczr - Eugenol

Humator t9r5wy - Eugenol
humator

19/07/2011 à 22h02

yes ma fouillette! classe!

--
N.Hum


Fresh watermelon 640x562 udulqz - Eugenol
gulguch

19/07/2011 à 22h04

J'ai copié ta méthode à grille: vachement bien.


Avatar 46 aoi1yc - Eugenol
HononLulu

19/07/2011 à 23h48

Sympa ta provisoire, Fouilla
Tu estimes que ça peut tenir qq mois ??


Fresh watermelon 640x562 udulqz - Eugenol
gulguch

20/07/2011 à 12h51

"L'imitation est la forme la plus achevée de la flatterie", comme a dit Machin.
La ça a tenu 6 mois en tout sur un médecin hypernerveux bruxomane, et de plus c'est collé sur des couronnes céram!

Comme fouilla qolha0 - Eugenol

steg

20/07/2011 à 13h17

salut gulguch ,qu'utilises tu en attelle
merci


bob membrane

20/07/2011 à 15h02

sympa, tu as raison d'être content Fouilla.


Gonzo k0qhwz - Eugenol
matten

20/07/2011 à 16h04

moi je fais faire un inter ceram a ailettes mariland par un labo a l'export et ca coute 70€...
Collé au totalcem ca tient parfaitement les 6 mois.


3f3boxni50k58rq7e9ce9ddqrxgk - Eugenol
dentiste57

20/07/2011 à 16h06

je rebondis sur ton titre" ne jamais faire de jolie provisoire", car ça me rappel une patiente.

25 ans, implanté en 2009
extraction-Summers-implantation- MCI sur une "jolie" provisoire avec du composite montée sur un pilier en pick...
(dernière photo contrôle à 15jours)

je l'ai rappelé il y a un an; pas de nouvelles, la provisoire doit lui convenir...

ps: c'est peu être le seule implant dont j'espère qu'il tombera. NA!

conclusion: ne jamais faire de jolie provisoire

1 dent d labr e wicnaw - Eugenol
2 extraction hfsznx - Eugenol
3 fracture corticale sinusale gacfu5 - Eugenol
5  largissement avec ost otome e8ucor - Eugenol
Dsc 4083 adqldb - Eugenol
Dsc 4087 nwqygr - Eugenol
Dsc 4088 t4payi - Eugenol
Dsc 4093 omht8l - Eugenol
Dsc 4126 qza10t - Eugenol
Dsc 4127 xkwyaa - Eugenol
Dsc 4137 pstyp6 - Eugenol
Dsc 4212 pe6gr3 - Eugenol
7 implant et provisoire en place ac0ywg - Eugenol

3f3boxni50k58rq7e9ce9ddqrxgk - Eugenol
dentiste57

20/07/2011 à 20h13

juste une question;
y en a t'il parmi vous qui ont déjà réalisé ce genre de restauration et qui n'ont jamais revu leur patient pour terminer la prothèse définitive ?


Fresh watermelon 640x562 udulqz - Eugenol
gulguch

20/07/2011 à 23h45

steg écrivait:
--------------
> salut gulguch ,qu'utilises tu en attelle
> merci

..LA méthode à Fouilla, la grille Nichrominox ( voir ses cas).


Toriko ucqp9i - Eugenol
Giantcoco

21/07/2011 à 12h55

dentiste57 écrivait:
--------------------
> juste une question;
> y en a t'il parmi vous qui ont déjà réalisé ce genre de restauration et qui
> n'ont jamais revu leur patient pour terminer la prothèse définitive ?

ça m'est arrive sur 3 implants posés provisoires puis POUFF disparu dans la nature.
3 ans plus tard coup de fil d'un confrère d'une autre region me demandant les références des implants pour réalisations des prothèses d'usage.
je lui pose la question pour les provisoires et ben la deuxième s’était cassée et blessait la gencive d’où le motif de consultation
depuis je m'applique moins sur la partie émergente