Cookie Consent byPrivacyPolicies.comImplants Made In Budapest - Eugenol

Implants Made In Budapest

antares

20/07/2011 à 15h24

Identification des marques d'implants SVP
avis sur le boulot ?

(elle doit encore se faire poser 8 implants au maxillaire, et à déjà passé 4 séjours en Hongrie ...)

Implants hongrois grlqfj - Eugenol

RépondreCiter
Harley davidson fat boy special 2010 2 pqsaxa - Eugenol
elmex

20/07/2011 à 15h49

aucun avis à donner, c la patiente qui te demande ton avis?
pourquoi cette question, et comment tu en es arrivé à avoir cet OPT?
S'il y a un souci, une question post op, direction la Hongrie. et attention aux grèves


Avatar ow44t3 - Eugenol
Chicot

20/07/2011 à 15h49

Une question: elle est venu pourquoi chez toi ?

--
;O)


levm

20/07/2011 à 16h12

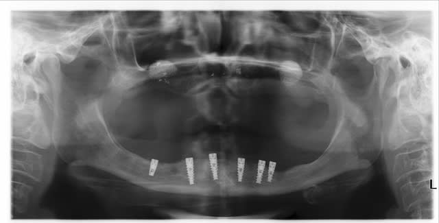
Cette patient vient pour une réhabilitation prothétique implanto portée .
Il y a 6 implants à la mandibule , 2 sinus ont déja été réalisés et il va y avoir 8 implants maxillaires .
Je sens que ce sujet n'est pas dénué d’arrière pensée et que tu comptes faire la prothèse implantaire.
Sur ces 14 implants , il n'est pas improbable qu'il puisse avoir quelques complications (absence d'ostéointégration , peri implantite , ... ).
Qui va endosser la responsabilité en cas de problème avec le patient , Toi et uniquement toi.
De plus ,il parait que normalement c'est le projet prothétique qui guide la pose des implants .
Donc pour avoir un avis , il faut des moulages d'études , un scan , etc.. sinon tes implants restent juste des vis dans de l'os


Jack nicholson bia2w2 - Eugenol
Résistance123

20/07/2011 à 16h31

nnnnnnnnnnnnnnnnnnnnnnn


01 ukhwbq - Eugenol
Bobby

20/07/2011 à 17h18

Non non, c'est pour le crit ça...


3f3boxni50k58rq7e9ce9ddqrxgk - Eugenol
dentiste57

20/07/2011 à 18h14

Chicot écrivait:
----------------
> Une question: elle est venu pourquoi chez toi ?
>
> --
> ;O)

même question.
elle est venue pour la dépose des fils ??

pour ce qui est du sinus gauche, c'est un sinus lift ou un remplissaqe sinusien ?


Avatar ow44t3 - Eugenol
Chicot

20/07/2011 à 22h05

ce qui est bizarre c'est les niveaux osseux en bas par rapport aux implants:

c'est des juxta osseux ou des supra car entre la gauche et la droite c'est pas trop ça

Les sinus, technique du ballonnet ?

--
;O)


Photo pluton1b h9n4ea - Eugenol
pluton

20/07/2011 à 22h48

touches surtout pas à cette merde!!!
les implants sont mal posés, avec +ou- de périimplantite, 2 voir 3 sont dans le NDI...bref: un beau cas d'école...de ce qu'il ne faut pas faire...

donc...retour à l'envoyeur...


Img 3657 cwjvqm - Eugenol
alapex

20/07/2011 à 23h20

+1


romdenice

20/07/2011 à 23h46

Mon préféré c'est l'implant en 46! elle ne t'as pas demandé pourquoi l'anesthésie n'était encore terminée ?


41467 100000418256397 4215 n ypxyho - Eugenol
starsky55

21/07/2011 à 00h32

moi perso, je ferais pas,
renvoies la faire sa prothese la bas...
ou chez un confrere qui en accepte les consequences...
et si ça merde (forte probabilité)...
toute la region en sera vivement avertie...
mais surtout tu n'en seras pas porté responsable.
et ce sera gagné pour les prat' en implanto de ta region
et pour toi qui accepteras la prothese en collab avec eux....

bon courage pour les suites si tu acceptes la prothese la dessus....


marcus

21/07/2011 à 00h56

Au lieu de tirer sur l'ambulance avec des airs pincés et de vous boucher le nez en disant que çà pue

Pouvez vous me dire qu'est ce qu'il faudrait il que l'on fisse à la place de ce qu'on voit devant une telle résorbtion osseuse mandibulaire et maxillaire ?

Allez y , j'attend vos plans de traitement ainsi que vos tarifs


RépondreCiter
antares

21/07/2011 à 01h03

Désolė pour la réponse tardive, je bossais !
La patiente est venue simplement se faire retirer les fils en secteur postérieur droit
Cicat. correcte à 15 jours, pas de perte de sensibilité
Lors des extractions preimplantaires elle aurait eu une hémorragie incontrôlable l'ayant conduit à 3 jours d' observations a l'hôpital. Du coup les as magyars du bistouri ont décidés de posés les implants 2 par 2. Et donc de faire prendre a la patiente une carte de fréquent flyer chez Malev.
Je lui ai proposé une pano de contrôle qu elle a d' abord refusé : elle a eu peur que je la lui facture . Il faut comprendre que quand on fait une si bonne affaire en se faisant soigner pour "pas cher" a l étranger, on veux être gagnant jusque au bout et éviter les dépenses inutiles. Ça la tout de suite rassuré quand je lui ai dit que je lui faisait la pano gratuitement.
Donc pas d' arrière pensée de ma part de faire la prothèse ou quoi que ce soit. Elle a un contrat tout compris avec la Hongrie implants+prothèse . Donc pour ma part juste la curiosité de savoir ce qui se cachait sous la gencive...

Personne ne connait ce type d' implants ?
Ma première réflexion a été identique a celle de Chicot : ce sont des implants censés etre juxta osseux mais placés comme des transgingivaux et laisses enfouis sous la muqueuse. L implant 36 a une spire a nu et l implant 46 semble effectivement en rapport intrigant avec le ndi...
Effectivement le sinus lift gauche est très verticale. D' autre part les densités ne sont pas énormes.

Que diriez vous a cette patiente ? Il faut s imaginer qu elle est en plein ttt et en pleine confiance avec ses thérapeutes actuelles, et qu elle a déjà payer 50% du montant total du devis, qui représente un gros investissement pour elle ... Faut il dresser un tableau noir ?


Photo pluton1b h9n4ea - Eugenol
pluton

21/07/2011 à 01h06

marcus écrivait:
----------------

> Pouvez vous me dire qu'est ce qu'il faudrait il que l'on fisse à la place de ce
> qu'on voit devant une telle résorbtion osseuse mandibulaire et maxillaire ?


déjà sans étude sérieuse, scan, planification c'est pas évident de répondre...(possibilités d'implants courts?)
mais au pire...disons que c'est un cas "à la Pp" très probable...
pour ce qui est des prix...je fais pas de basale, donc je peux pas dire...


antares

21/07/2011 à 01h08

Désole pour les fautes d' orthographes , je tape sur mon iPhone


Photo pluton1b h9n4ea - Eugenol
pluton

21/07/2011 à 01h20

pour la marque des implants...je dirais alphabio...très probable...ou AB dental...

dresser un "tableau noir"?...non, mais si elle te demande ton avis, dis lui ce que tu vois à la radio et tes interrogations...


3f3boxni50k58rq7e9ce9ddqrxgk - Eugenol
dentiste57

21/07/2011 à 01h21

peux tu nous dire ce qu'il en est au niveau de 36 ??

les implants sont juxta (apex)ou tout simplement lingualés vis a vis de V3

(antares réponds à ma question et celle de chicot stp)

je retire ma question, tu y as répondu plus rapidement que je n'ai tapé.


3f3boxni50k58rq7e9ce9ddqrxgk - Eugenol
dentiste57

21/07/2011 à 01h44

antares écrivait:
-----------------
> Désolė pour la réponse tardive, je bossais !
> La patiente est venue simplement se faire retirer les fils en secteur postérieur
> droit

c'est gonflé tout de même! j'espère en HN


> Cicat. correcte à 15 jours, pas de perte de sensibilité
> Lors des extractions preimplantaires elle aurait eu une hémorragie incontrôlable
> l'ayant conduit à 3 jours d' observations a l'hôpital. Du coup les as magyars du
> bistouri ont décidés de posés les implants 2 par 2. Et donc de faire prendre a
> la patiente une carte de fréquent flyer chez Malev.

pas d'examen de la cras sanguine??

> Ma première réflexion a été identique a celle de Chicot : ce sont des implants
> censés etre juxta osseux mais placés comme des transgingivaux et laisses enfouis
> sous la muqueuse. L implant 36 a une spire a nu et l implant 46 semble
> effectivement en rapport intrigant avec le ndi...

c'est bien ce qu'il me semblait.
donc wait and see.

> Effectivement le sinus .....
D' autre part les densités ne sont pas énormes.

normal à j+15.


>
> Que diriez vous a cette patiente ? Il faut s imaginer qu elle est en plein ttt
> et en pleine confiance avec ses thérapeutes actuelles, et qu elle a déjà payer
> 50% du montant total du devis, qui représente un gros investissement pour elle
> ... Faut il dresser un tableau noir ?
>

pas de confraternité avec les pays qui ne la respecte pas. dis la vérité, c'est tout!
pour ce qui est du tact, ta patiente n'en a rien à foutre de toi, tu n'es qu'un technicien pour elle.


41467 100000418256397 4215 n ypxyho - Eugenol
starsky55

21/07/2011 à 02h15

pour la patiente en gros , tu es la bonne cruche qui va oter les fils gratos ou 22 euros remboursés et l'enfoirée qui veut facturer une pano !
bravo l'estime que les patients ont pour leurs praticiens francais !


Avatar ow44t3 - Eugenol
Chicot

21/07/2011 à 10h02

starsky55 écrivait:
-------------------
> pour la patiente en gros , tu es la bonne cruche qui va oter les fils gratos ou
> 22 euros remboursés et l'enfoirée qui veut facturer une pano !
> bravo l'estime que les patients ont pour leurs praticiens francais !

dépose de sutures, c'est pas dans la nomencklaturat ça..... Donc HN sachants qu'en déposant les fils, tu es sensé prendre en charge la fin de la cica.....

--
;O)


Logo m4n3gc - Eugenol
drmarcus

21/07/2011 à 10h47

antares écrivait:
> Que diriez vous a cette patiente ? Il faut s imaginer qu elle est en plein ttt
> et en pleine confiance avec ses thérapeutes actuelles, et qu elle a déjà payer
> 50% du montant total du devis, qui représente un gros investissement pour elle
> ... Faut il dresser un tableau noir ?
>
>
Je me contrefiche total du type d'implant! Pourquoi n'a telle pas un passeport implantaire comme en France poses lui la question.
Elle prefere prendre une carte frequence fly au lieu de payer une pano.
Elle a totalement confiance en la Hongrie; soit! Je ne comprends même pas pourquoi tu insistes. Si tu dis la vérité tu seras un mécréant. Si tu vas dans son sens et que tout tourne mal (ce qui semble bien parti) tu deviendras un incompétent.

Expliques lui qu'à ce stade tu ne vois pas comment ils vont faire, question de protocole bla bla bla, que normalement en Frnace c'est garanti 10 ans pieces et MO que là bas ce doit surement être pareil.

En gros bottes en touche et rapidement!

--
"La vis est à l'implant ce que la carie est à la dent!" (Pozzi)


olivier

21/07/2011 à 11h29

j'avoue que l'implant en 46 sans paresthesie me laisse pantois .
...
A mon avis +1 pour alphabio mais ne touche pas ...........


Björn

21/07/2011 à 12h01

antares écrivait:
-----------------
> Désolė pour la réponse tardive, je bossais !
> La patiente est venue simplement se faire retirer les fils en secteur postérieur
> droit


C'est une blaque?

Quand les patients se comportent comme des patients, il faut les traiter comme des patients.

Mais quand les patients se comportent comme des clients, il faut les traiter comme des clients.


Grueavatar nptrc9 - Eugenol
Le Choixpeau magique

21/07/2011 à 12h35

antares écrivait:
-----------------
> La patiente est venue simplement se faire retirer les fils en secteur postérieur
> droit

Et tu as accepté ? Combien de HN ?

> Je lui ai proposé une pano de contrôle qu elle a d' abord refusé : elle a eu
> peur que je la lui facture

Excellent !

>Ça la tout de suite rassuré
> quand je lui ai dit que je lui faisait la pano gratuitement.

La pano gratuite, c'est pour le fun ? Pour ta collection perso ? Pour ton book "n'allez pas en Hongrie" ?

> Que diriez vous a cette patiente ? Il faut s imaginer qu elle est en plein ttt
> et en pleine confiance avec ses thérapeutes actuelles, et qu elle a déjà payer
> 50% du montant total du devis, qui représente un gros investissement pour elle
> ... Faut il dresser un tableau noir ?

Quelle est sa demande (à part te faire faire le larbin avec ses fils) ?


12