Cookie Consent byPrivacyPolicies.common premier cas microabrasion - Eugenol

mon premier cas microabrasion

Zoe   son arriv e whwqpj - Eugenol
emma

25/07/2011 à 22h45

Modérateur écrivait:
--------------------
> Retour au sujet SVP;)

Cher modo, pour revenir au sujet il faudrait que, lorsqu'un nonolien pose une question, il prenne en compte les informations qu'on a gentillesse de lui distiller au lieu de ne rechercher qu'un blanc seing de la technique qu'il a choisie, même s'il y a mieux.

--
"je préfère vivre en optimiste et me tromper, que vivre en pessimiste et avoir toujours raison"

emma


LT

26/07/2011 à 14h22

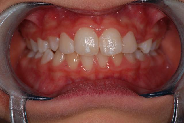
je reviens au sujet
les photos avant et après 3 cycles par opalustre
votre avis svp et la conduite à tenir les prochaines séances

P1070471 a3dnth - Eugenol
P1070470 fhko0p - Eugenol

41467 100000418256397 4215 n ypxyho - Eugenol
starsky55

26/07/2011 à 14h49

les blanchiments, c'est vraiment galere...
je les teste sur moi avant d'en proposer a mes patients...
suis au 5e ou 6e...
en ce moment c'est OH Ultradent a 35 % (ouille, ça fait un peu mal...)
les taches blanches j'en ai eu avec tous les produits...
elles s'estompent dans le temps, comme "l'eclaircissement" en general...

malheureusement, la meilleure des solutions....
c'est d'accepter ses petits défauts !....

mais c'est tjrs genial d'essayer .
confraternellement.


Marque a3 orange fyvhyq - Eugenol
Marc Apap

26/07/2011 à 14h51

Je remarque un changement spectaculaire de la couleur...des écarteurs.
Les dents n'ont pratiquement pas bougé ce qui était prévisible : c'est un joli cas de fluorose. Je suppose que tu exerce au Maroc ou en Tunisie.
Ce genre de problème ne se résout absolument pas avec l'Opalustre qui est un abrasif léger. La modification de texture de l'émail est profonde.
Les techniques de blanchiment n'agissent pas sur l'émail fluorotique, ou alors pour atténuer les colorations brunes, mais le blanc va ressortir encore plus.
On peut penser à faire des composites après avoir éliminé une bonne couche de surface d'émail. Mais il faut mordancer plusieurs fois car l'émail fluorotique résiste plus à l'attaque acide. Ensuite, c'est assez difficile car il faut faire de la stratification avec composite opaque/translucide (amelogen plus Ultradent pour rester dans la même marque).
Les meilleurs résultats seront obtenus avec des facettes ou mieux des couronnes céramique toujours parce que si l'on n'a pas un collage très fort à l'émail, les facettes pourront tomber facilement.
En bref, si tu te sens capable, que tu as un très bon prothésiste et que le patient peu payer, tu peux obtenir un joli résultat mais seulement avec une solution prothétique
Sinon, il vaut mieux s'abstenir et ne pas trop espérer.
Cela soulève le problème des traitement de blanchiment : il faut savoir faire un vrai diagnostic avant de décider d'une technique, sinon, on risque des déceptions.
Amicalement


Marque a3 orange fyvhyq - Eugenol
Marc Apap

26/07/2011 à 14h55

starsky55 écrivait:
-------------------
> les blanchiments, c'est vraiment galere...
> je les teste sur moi avant d'en proposer a mes patients...
> suis au 5e ou 6e...
> en ce moment c'est OH Ultradent a 35 % (ouille, ça fait un peu mal...)
> les taches blanches j'en ai eu avec tous les produits...
> elles s'estompent dans le temps, comme "l'eclaircissement" en general...
>
> malheureusement, la meilleure des solutions....
> c'est d'accepter ses petits défauts !....

Même réponse que précédemment : ne pas jouer les apprentis sorciers et comprendre la cause des taches. L'opalescence à 35% ne blanchit pas mieux, il blanchit plus vite que les formulations à 10, 15 ou 20% en augmentant sérieusement les risques de douleurs dentaires et irritations gingivales.
Ou alors, passe au boost au fauteuil, éventuellement en ciblant les zones foncées, et après avoir bien protégé la gencive avec l'opal dam.


LT

26/07/2011 à 15h03

désolée pour la qualité des photos je débute!
effectivement j'exerce en tunisie
pour le boost c'ce que je me suis dit aussimarc : est ce que je rajoute une autre séance (3cycles) de'opalustre pour encore atténuer la teinte brun au jaunatre (si oui dans quels délais) ou devrais je passer directement au boost sur fauteuil
merci


LT

26/07/2011 à 15h04

mon prothésiste ne s'est pa encore mis aux facettes et d'ailleurs la patiente ne pourra pa se les "permettre"!!


Marque a3 orange fyvhyq - Eugenol
Marc Apap

26/07/2011 à 15h06

Inutile de faire encore de l'opalustre. Passe au Boost directement. En fonction des résultats, tu pourras toujours abraser légèrement l'émail de surface au cas où il y aurait des zones trop blanches (qui sont aussi plus friables et poreuses).


LT

26/07/2011 à 15h13

regarde le dernier cas http://coursdentaire.blogspot.com/2011/04/comprendre-et-pratiquer-la-micro.html
il ressemble au mien et a nécessité une deuxième séance d'opalustre en plus je n'ai fait que 3 cycles par dent alors qu'ils disent qu'il faut dix cycles
je comprends plus rien;)


LT

26/07/2011 à 15h14

marc d'après toi j'aurai du toucher les dents


Marque a3 orange fyvhyq - Eugenol
Marc Apap

26/07/2011 à 15h22

Le cas montré par Amir Chafaie n'est pas un cas de fluorose sévère comme le tien. Les taches blanches n'affectent pas l'émail en profondeur comme sur ta patiente. La micro abrasion avec l'opalustre ne peut pas marcher dans ton cas, même avec 10 séances.


LT

26/07/2011 à 15h41

merci marc je vais la convoquer pour du boost alors:))


Avatar hjdsnm - Eugenol
TiGabi

26/07/2011 à 16h21

Marc a raison : ton cas est une fluorose modérée, l'émail est altéré sur une trop grande profondeur pour obtenir un bon résultat par micro-abrasion.

Pour ce genre de cas, Amir Chafaie te conseillerait peut être des masques composites : ce sont des pellicules de composite réalisées en méthode indirecte constituées d'une couche ultra fine de composite opaque et d'une couche de composite translucide. Réalisées par un prothésiste ou par toi même si tu te sens d'humeur artistique. Avantages : aucun délabrement, bon résultat esthétique. Inconvénients : méthode particulière, très opérateur-dépendante.

Sinon, tu peux proposer des facettes céramique classiques.


Marque a3 orange fyvhyq - Eugenol
Marc Apap

26/07/2011 à 17h54

Ti Gabi, si tu connais Amir, tu dois savoir que c'est un praticien d'un très haut niveau technique. Ce qu'il montre est tellement parfait qu'on se demande s'il y aurait quelqu'un d'autre que lui capable de le faire. Donc pour ces chips de composite, mieux vaut ne pas trop rêver !


Avatar hjdsnm - Eugenol
TiGabi

26/07/2011 à 18h26

Marc Apap écrivait:
-------------------
> Ce qu'il montre est tellement parfait qu'on se demande
> s'il y aurait quelqu'un d'autre que lui capable de le faire.

J'ai eu l'occasion de le rencontrer aux dernières journées de la SFOP : c'est exactement l'impression que j'ai eu en voyant ses photos de cas cliniques.


bilal

26/07/2011 à 23h26

Cher ami :D

> Ayez du talent, on vous reconnaîtra peut-être du génie. Ayez du génie, on ne vous reconnaîtra jamais du talent.
[Sacha Guitry]


TiGabi écrivait:
----------------
> Marc Apap écrivait:
> -------------------
> > Ce qu'il montre est tellement parfait qu'on se demande
> > s'il y aurait quelqu'un d'autre que lui capable de le faire.
>
> J'ai eu l'occasion de le rencontrer aux dernières journées de la SFOP : c'est
> exactement l'impression que j'ai eu en voyant ses photos de cas cliniques.
>


Zoe   son arriv e whwqpj - Eugenol
emma

27/07/2011 à 10h34

Marc Apap écrivait:
-------------------
> Les meilleurs résultats seront obtenus avec des facettes ou mieux des couronnes
> céramique toujours parce que si l'on n'a pas un collage très fort à l'émail, les
> facettes pourront tomber facilement.

Marc, les facettes correspondent aux reconstitutions les plus stables dans le temps , si tu as de l'émail, l'adhésion est bien meilleure que sur la dentine, quant à délabrer des dents parfaitement saines pour poser des couronnes, c'est purement criminel.


"je préfère vivre en optimiste et me tromper, que vivre en pessimiste et avoir toujours raison"

emma


Modifié par le Modo qui commence à perdre patience....


Marque a3 orange fyvhyq - Eugenol
Marc Apap

27/07/2011 à 10h56

Emma, quand tu auras fait un CES de biologie buccale option histologie, que tu auras regardé au MEB de l'émail sous toutes ses coutures, enseigné cette discipline en fac et étudié ce qu'est la fluorose, tu viendras nous donner des leçons.
L'émail fluorotique n'a pas le même comportement que l'émail normal. Et faire des facettes quand on n'y est pas habitué est une cause d'échec assuré.
De toute manière, dans le cas présenté ici, les facettes ou les couronnes ne sont pas envisageables à la fois pour des raisons de coût et de non disponibilité d'un prothésiste compétent.
Il faut savoir comprendre que la dentisterie n'est pas une science exacte et s'exprime de différentes manières selon le contexte.


Zoe   son arriv e whwqpj - Eugenol
emma

27/07/2011 à 15h51

Ok, marc, tu as un bagage impressionnant au point de vue universitaire, à quelle date as tu fait tout ça?

Il faut dire que pour moi, le cursus universitaire c'est pas la vraie vie, comme tu le dis, les cas cliniques sont très différents de ce qui se passe en éprouvette.

Par contre, j'aimerais que tu nous expliques pourquoi une "chips" de composite tiendrait plus qu'une" chips" de céramique sur un émail atteint par l'excès de fluor;

--
"je préfère vivre en optimiste et me tromper, que vivre en pessimiste et avoir toujours raison"

emma


Marque a3 orange fyvhyq - Eugenol
Marc Apap

27/07/2011 à 16h56

Je ne pense pas qu'un chips de composite tienne mieux qu'une particule de céramique. Je pense qu'il faut la plus grande surface possible de collage, donc un fragment de petite surface a moins de chance d'adhérer correctement.
Le problème de l'émail fluorotique c'est qu'il a une structure irrégulière : hypominéralisation par endroits donc plus friable et moins sensible au mordançage (plus de matière organique), et comme il contient du fluor, la dissolution par l'acide phosphorique est plus faible. Il faut donc mordancer plusieurs fois (et non pas seulement laisser plus longtemps le gel sur la dent car il finit pas se neutraliser). Moyennant quoi, on peut avoir une surface plus propice au collage, mais avec moins de certitude que sur un émail normal.
Donc, l'adhésion risque d'être aléatoire, hétérogène (normale par endroits, faible ailleurs).
Pour le reste, c'est à dire le collage de la résine sur la pièce prothétique, c'est la même chose que ce soit un composite ou de la céramique mordancée et silanisée.


Zoe   son arriv e whwqpj - Eugenol
emma

17/11/2011 à 20h45

pour revenir aux résultat de l'ICON sur les tâches de fluorose, voici le cas de Maeva âgée de 10 ans et qui est repartie de mon cabinet avec la banane, le bas sera fait au prochain RV, le protocole préconisé a été suivi à la lettre.

--
"je préfère vivre en optimiste et me tromper, que vivre en pessimiste et avoir toujours raison"

emma

006 fgvezd - Eugenol
009 mwyf0j - Eugenol

12