Cookie Consent byPrivacyPolicies.comLaser CO² et paro - Eugenol

Laser CO² et paro

Img 4593 pnrtmh - Eugenol
teethsurfer

24/07/2011 à 20h22

olivier écrivait:
-----------------
> Bon.....12 pages de posts sur une technique revolutionnaire ...mais personne
> n'aurait de radio et de photo de trt paro laser AVANT/APRES voir des charting
> pour les plus motivés/rigoureux....enfin je dis cela je dis rien...

Il suffit de demander ;o)

Afin d'éviter les confusions et par soucis de cohérence, il me semble préférable de consacrer un fil sur ce sujet au CO².

Ceci est un exemple de traitement de poches par photo-ablation en une seule séance en mode continu sans contact, cette technique diffère des traitements par lasers fibrés.

Après sondage et traitement médical, la gencive non attachée est volatilisée avec stérilisation et hémostase immédiate. La cicatrisation est rapide et la ré-attache se réalise en quelques jours, laissant dégagés les espaces biologiques afin de permettre un entretien aisé par le patient, la texture de la gencive prenant un aspect en peau d'orange et reformant progressivement un feston.

421 kj8s1p - Eugenol
13.01 - Eugenol
13.01 - Eugenol
445 xukec2 - Eugenol
Img 1600.jpg08.02 - Eugenol
13.01 - Eugenol
435 x7afys - Eugenol
437 lppdri - Eugenol
Img 1599.jpg08.02 - Eugenol

Marque a3 orange fyvhyq - Eugenol
Marc Apap

24/07/2011 à 21h18

Ca s'appelle une gingivectomie.
N'importe quelle technique dont l'objet est d'éliminer une frange de gencive enflammée en regard de couronnes plus ou moins iatrogènes aboutit à ce résultat.
Une vue vestibulaire serait appréciée.


Zoe   son arriv e whwqpj - Eugenol
emma

24/07/2011 à 22h20

Effectivement Marc, les rayonnements laser absorbés type CO2 sont utilisés à la superficie des tissus mous pour leurs effets ablatif et coagulant, ce qui permet une cicatrisation plus rapide et sans douleur pour les patients, sache qu'ils apprécient tous énormément le confort de telles interventions.

Pour traiter en profondeur et décontaminer en éliminant les bactéries pathogènes responsables d'infections les rayonnements laser pénétrants sont préférables ainsi que pour obtenir une diminution de l'inflammation et de la douleur en biostimulant la cicatrisation osseuse et gingivale, les parodontites étant dues à des associations de bactéries ne peuvent en aucun cas être totalement éradiquées par un simple curetage.

Donc, en fonction de son absorption dans les différents tissus,chaque laser a des applications privilégiées qui seront dirigées vers les effets ablatifs pour les lasers absorbés (entre 2940 et 10600 nm) et plutôt vers les effets photodynamiques et biostimulants pour les lasers pénétrants (entre 800 et 1340 nm)

pour le traitement des pathologies parodontales les lasers sont devenus, aujourd'hui, irremplaçables, les traitements étant beaucoup plus confortables, sans douleur post opératoires, sans adjonction médicamenteuse importante et avec un résultat pratiquement immédiat.


Sans parler de tous les actes de petite chirurgie des gencives et des lèvres comme frénectomie, rallongement coronnaire traitement d'aphte ou d'herpès et j'en passe, que tu peux faire sans saignement et sans suites douloureuses voire oedèmateuses.




"je préfère vivre en optimiste et me tromper, que vivre en pessimiste et avoir toujours raison"

emma


Avatar 46 aoi1yc - Eugenol
HononLulu

24/07/2011 à 23h06

Emma, doit-on avoir plusieurs lasers ou existe-t-il un laser à vocation paro qui traite tous les stades des parodontites ?

Si oui lequel ?
Je commence à reflechir sérieusement à la question.
Si tu as la gentillesse de développer, je suis toute ouïe.


01 ukhwbq - Eugenol
Bobby

25/07/2011 à 12h45

J'ai fait ma thèse sur le laser en paro. Le laser Er YAG sortait du lot, mais j'en étais arrivé à la conclusion qu' avec ce laser, on arrivait aux mêmes résultats qu'avec des curettes, mais que ça prenait plus de temps, et que ça revenait "un peu" plus cher...

http://www.ncbi.nlm.nih.gov/pubmed/16584335

Ça date un peu, je n'ai pas étudié les dernières publications, mais cet article (revue de littérature) était intéressant. Il traite surtout de paro non chirurgicale.


Marque a3 orange fyvhyq - Eugenol
Marc Apap

25/07/2011 à 12h55

Merci.


Zoe   son arriv e whwqpj - Eugenol
emma

25/07/2011 à 21h48

Bobby écrivait:
---------------

>
> Ça date un peu,

En effet Bobby, avril 2006!!! Il y a 5 ans!!! Une éternité en matière d'avancées technologiques. Depuis de grands progrès ont été réalisés en particulier grâce à Gérard Rey qui a fait tout ce qu'il pouvait pour faire évoluer les lasers dans le bon sens, quelques constructeurs ont écouté ses doléances et actuellement certains lasers diodes avec réglage de la fréquence, de l'intensité et du T-on T-off permettent de réaliser la décontamination bactérienne avec les fibres 400 µ sous H2O2 et la cicatrisation avec la fibre défocalisante. Tu ne peux pas avoir de tels résultats avec un curetage classique!

On commence même à parler de traitement de l'ostéonécrose biphosphonates dépendante, pourquoi ne pas accepter l'avancée technologique en matière de laser comme vous l'acceptez tous en matière d'implantologie alors que c'est tout de même un constat d'echec lorsque l'on doit implanter, non?


--
"je préfère vivre en optimiste et me tromper, que vivre en pessimiste et avoir toujours raison"

emma


Zoe   son arriv e whwqpj - Eugenol
emma

25/07/2011 à 22h13

HononLulu écrivait:
-------------------
> Emma, doit-on avoir plusieurs lasers?

Personnellement j'ai 3 lasers, un diode, un Nd Yap et un Er Yag car j'ai besoin de ces 3 lasers pour réaliser tout ce que je propose à mes patients à savoir, l'endo depuis 2005 avec le lokki, avec 0 problème post traitement je dis bien 0 problème, le Diode pour la paro et la petite chirurgie et l'Er Yag pour les caries, les remaniements osseux et la chirurgie, je n'ai pas de CO2 parce que mon banquier ne veut pas même si je le vaux bien ;);)

Mais si j'avais à choisir j'investirais dans un diode pour commencer, il permet de traiter beaucoup de pathologies, il n'est pas très cher et SURTOUT (là je vais faire plaisir à notre Marc irremplaçable) il est tout petit, un réel must par rapport aux autres lasers très encombrants à mon sens, j'ai pris en location un Wiser de chez Lambda et en suis très satisfaite de part son ergonomie, ses multiples réglages et ses grandes capacités.

Je tiens à préciser que contrairement à certains que j'aurai la bienséance de ne pas nommer, je n'ai aucun avantage pécuniaire ou autre par rapport à mes propos, pas plus que chez Sirona pour le Cerec ou chez Dental Hi Tec pour le quicksleeper, matériels dont je vente souvent les mérites, non je suis une passionnée de technologie avancée et je veux simplement en faire profiter mes patients qui me le rendent bien en m'adressant leur famille, leurs amis ou leurs collègues de boulot, et même en s'endormant sur mon fauteuil massant, je dis bien "en s'endormant", ça c'est grâce, voire à cause de la digue;);).

voilà HononLulu, j'espère que j'ai répondu à tes attentes, si tu as besoin de plus de renseignements, dans la mesure du possible, j'essaierai de te répondre.

--
"je préfère vivre en optimiste et me tromper, que vivre en pessimiste et avoir toujours raison"

emma


Zoe   son arriv e whwqpj - Eugenol
emma

25/07/2011 à 22h33

Marc Apap écrivait:
-------------------
> Merci.

Merci à qui???;););) lol

--
"je préfère vivre en optimiste et me tromper, que vivre en pessimiste et avoir toujours raison"

emma


Img 4593 pnrtmh - Eugenol
teethsurfer

25/07/2011 à 22h59

Marc, évidemment qu'il s'agit de gingivectomie, je dirais même plutôt gingivoplastie, la gencive est sculptée par le laser plus fidèlement qu'avec un bistouri ou une fraise car il suit exactement le trajet et la profondeur de chaque poche sans sectionner à l'emporte pièce.
J'ai rajouté les photos vestibulaires sur mon premier post, les poches étant un peu moins profondes qu'en palatin.

La différence ne s’arrête pas seulement là, car comme te l'a très bien expliqué Emma, le laser représente bien plus qu'un simple instrument de coupe ou de nettoyage, aucun bistouri ni aucune curette n'est capable de stériliser, d'assurer l'hémostase immédiate, d'activer la cicatrisation ou encore de pratiquer une suture avec un confort pour le patient nettement amélioré. Tu pourrais à la rigueur le comparer à un bistouri électrique mais celui-ci n'a qu'un effet de surface limité.

Emma, je suis tout à fait d'accord avec tes remarques mais tu ne sembles pas connaître les possibilités non ablatives du CO² en utilisation défocalisée à faible puissance et ses effets acoustiques à travers les liquides, est-ce que cela a été évoqué au CES?
Nous avons certains points communs, le QS mais aussi les patients qui s'endorment sur le fauteuil, le mien ne masse pas mais c'est peut-être grâce à la musique douce de FIP, de Radio Classique ou de TSF avec lesquelles je travaille...;o)

Hononulu, je peux pratiquement tout réaliser avec mon laser, de la simple cautérisation à l'approfondissement vestibulaire en passant par les bridectomies, gingivoplasties, stérilisations des tissus durs et mous, vitrifications et bien d'autres applications comme la trépanation, les tests de vitalité ou les pré-anésthésies...mais certains laséristes préfèrent investirent dans plusieurs lasers pour disposer de plusieurs modes d'action. Pour ma part je me contente d'un soft HeNe AsGa et du diagnodent en complément.

Bobby, cette étude ne tient pas compte des avantages exposés plus hauts qui sont assez nombreux pour justifier le choix du laser. Ceci ne veut pas dire que sans, on ne puisse obtenir un excellent résultat, c'est une méthode plus complète et confortable à la fois pour le patient et pour le praticien.

Je posterai d'autres cas pour illustrer les diverses applications que j'utilise dans ma pratique quotidienne dès que j'en aurai le temps et j'invite les autres CO2istes à en faire autant s'il y en a sur le forum, car il y a rien de tel que les échanges d'expériences cliniques ;o)


Zoe   son arriv e whwqpj - Eugenol
emma

26/07/2011 à 10h35

Je n'ai fait que retranscrire ce qui nous a été dit au CES de Garancière, toutes les remarques et explications que j'ai donné plus haut sont la conséquence de beaucoup d'années de recherches effectuées par le groupe de l'IMLA, et croyez moi, parmi eux, un grand nombre possède toutes les machines aux différentes longueurs d'ondes simplement parce qu'on ne peut pas obtenir un résultat optimum en profondeur avec un laser absorbé (le CO2 avec sa LO à plus de 10000 nm étant le plus absorbé de tous les types de lasers) qu'avec un laser pénétrant, par contre le résultat en effets ablatifs est bien meilleur avec les lasers absorbés et en particulier le CO2.

Par contre, je suis d'accord, quelque soit le type de laser il aura tous les effets du rayonnement laser, mais avec plus ou moins d'importance, ce qui se fera ressentir sur les résultats, ton cas iconographié montre bien l'effet ablatif du CO2, mais quid de l'effet biostimulant, s'il te plait, montre nous la radio post traitement, y a t-il eu régénération osseuse comme on peut le voir avec les lasers diodes?



--
"je préfère vivre en optimiste et me tromper, que vivre en pessimiste et avoir toujours raison"

emma


Marque a3 orange fyvhyq - Eugenol
Marc Apap

26/07/2011 à 10h53

J'ai surtout l'impression qu'il vous ont bien lavé la tête à ce certificat sur les lasers. Il n'y a que 3 publications répertoriée de Gérard Rey dans pubmed.
Mais bon, je veux bien essayer de croire que l'introduction d'une fibre dans une poche remplie d'un antiseptique puisse agir à distance, de même que dans un canal radiculaire. Mais ça reste encore à démontrer d'une manière un peu moins théâtrale.
Quant à l'effet ablatif du Co2, il n'y a rien à en dire, si ce n'est que c'est de la gentille petite paro qui ne fait qu'éliminer de la gencive inflammatoire sans agir sur les causes du problème.


Zoe   son arriv e whwqpj - Eugenol
emma

26/07/2011 à 16h10

Dis Marc serais tu genevois? je vais te raconter une petite histoire: je me suis rendue à Genève et de là je devais aller à l'aéroport, je demande ma route à un autochtone qui me répond textuellement avec ce charmant accent "quand on connaît pas on va pas!"

Si tu n'as pas trouvé dans ton sacro-saint pubmed de communication de la part de Gérard, c'est qu'il les a faites ailleurs ou qu'il n'a pas eu le temps ou pas eu envie de le faire, mais, de là à parler de lavage de cerveau, tu pousses le bouchon un peu loin Maurice, non seulement cela frise la diffamation, mais de plus tu fais passer les confrères et consoeurs participant à ce CES pour des moutons de Panurge, voire de sombres benêts, la faculté de Garancière pour une piste aux étoiles et les intervenants pour des charlots, modère donc tes propos et arrête de penser et de faire croire au eugénoliens qu'il n'y a que toi qui SAIT


--
"je préfère vivre en optimiste et me tromper, que vivre en pessimiste et avoir toujours raison"

emma


Marque a3 orange fyvhyq - Eugenol
Marc Apap

26/07/2011 à 18h08

Emma, même moi on peut me trouver sur pubmed et je n'ai pas révolutionné le monde.
Je constate que depuis quelques années, nous avons de sérieuses dérives au sein des universités, je ne suis pas le seul à le voir, fréquentant tous les milieux du dentaire. Alors quand un praticien certes multidiplomé ne publie que dans des revues de second ordre mais se trouve positionné comme référence scientifique indubitable, je suis plus que sceptique.


Zoe   son arriv e whwqpj - Eugenol
emma

26/07/2011 à 22h33

Marc Apap écrivait:
-------------------
> Emma, même moi on peut me trouver sur pubmed et je n'ai pas révolutionné le
> monde.

c'est le moins qu'on puisse dire!

. Alors quand un praticien certes multidiplomé

je ne te le fais pas dire.

ne publie que dans des
> revues de second ordre

c'est toi qui le dit.

mais se trouve positionné comme référence scientifique
> indubitable, je suis plus que sceptique.

c'est ton droit. Mais s'il n'y avait que des praticiens comme toi on ne serait toujours pas entrain de faire des couronnes avec la CFAO, on ne ferait pas d'empreintes optiques envoyées directement au prothésiste par Cerec Connect, une révolution pour notre profession et pour les prothésistes dignes de ce nom, on ne poserait pas d'implants, voire on vivrait toujours à l'ère des cavernes et ne se servirait pas du feu;);)
--
"je préfère vivre en optimiste et me tromper, que vivre en pessimiste et avoir toujours raison"

emma


Marque a3 orange fyvhyq - Eugenol
Marc Apap

26/07/2011 à 23h30

Emma, je comprends que tu sois dépitée. Mais ne fais pas d'extrapolation, tu ne sais pas comment j'exerce dans mon cabinet et ce que je pense de la dentisterie en général. Ces façons de généraliser, de penser que parce que l'on n'est pas d'accord sur un point, on est systématiquement et pour tout, à l'extrême opposé de sa propre pratique deviennent lassantes.


Modérateur

27/07/2011 à 00h56

emma écrivait:

> c'est ton droit. Mais s'il n'y avait que des praticiens comme toi on ne serait
> toujours pas entrain de faire des couronnes avec la CFAO, on ne ferait pas
> d'empreintes optiques envoyées directement au prothésiste par Cerec Connect, une
> révolution pour notre profession et pour les prothésistes dignes de ce nom, on
> ne poserait pas d'implants, voire on vivrait toujours à l'ère des cavernes et ne
> se servirait pas du feu;);)


ça, c'est exactement ce qui mérite d'être zappé.
Donc si ça se reproduit, et donc que cela sera zappé,dis toi que tu participes à de l'evidence based zapping, et ce n'est pas valable que pour toi, tranquillise toi.

Le Modo.


Img 4593 pnrtmh - Eugenol
teethsurfer

27/07/2011 à 15h48

Marc et Emma, je comprends bien vos motivations et elles sont certainement sincères, mais c'est l'histoire du scepticisme confronté à la passion qui se retrouvent sur tous les fils où vous vous confrontez. Le débat est même souvent intéressant mais nul ne détient la vérité absolue et cela me concerne aussi, j'essaye juste d'apporter mon expérience et suis ouvert à toute critique.

Je pense qu'il est tout à fait possible de partager nos idées positivement en apprenant de chacun, cela permet même de prendre du recul et d'avoir un regard objectif sur nos convictions et notre pratique en élargissant notre vision.

Comme Marc, il pourrait m'arriver de préférer une méthode plus traditionnelle si le bénéfice s’avérait plus grand et comme Emma, je veux bien utiliser mon laser diode en complément s'il s'avère que la biostimulation est plus efficace sur l'os ou la gencive qu'avec le CO². Il faudrait juste arriver à en démontrer l'intérêt toujours en fonction de la situation et en évitant les polémiques qui campent tout le monde sur ses positions personnelles, en nous permettant surtout d'évoluer ce qui est bien le but de ce forum.


Modérateur

27/07/2011 à 16h06

Que les Dieux te benissent pour ce message de raison; qu'ils bénissent aussi Adhoc, Growler, Cingulum, Fouilla et bien d'autres;)


Img 4593 pnrtmh - Eugenol
teethsurfer

27/07/2011 à 16h09

Merci Modo, l'aide des cieux est toujours bienvenue dans ce type de discussion ;o)

Voici un cas moins gentil avec élimination de la cause du problème pour reprendre les termes de Marc.
Il s'agit d'une patiente de 90 ans sur qui je reconstituais les secteurs postérieurs mandibulaires, ce qui fera l'objet d'un prochain post d'ailleurs, et dont un simple détartrage révélait la présence d'une énorme carie sous le pilier distal d'un bridge reliant la 23 à la 26.
Ayant intérêt à éviter de commencer un gros chantier alors qu'un autre était en cours, j'ai opté pour dégager et éliminer cette carie en conservant provisoirement ce bridge qui tenait bien, avant de traiter ce secteur en tachant de récupérer la racine de la 26 si possible.

228 j4zokx - Eugenol
230 mk4zlg - Eugenol
237 i9mxbn - Eugenol
240 rlmvxo - Eugenol
476 chsgq0 - Eugenol
242 zmtbir - Eugenol
482 nffwbb - Eugenol
484 gks9r9 - Eugenol

200106 10150128247663588 709988587 6466236 5598391 n d7mksb - Eugenol
hallboy

27/07/2011 à 16h25

la pate blanche photo 6 que tu enleves, c'est quoi?


Img 4593 pnrtmh - Eugenol
teethsurfer

27/07/2011 à 16h41

De l'IRM si ma mémoire est bonne, sinon ce ne serait que du cavit.


Grueavatar nptrc9 - Eugenol
Le Choixpeau magique

27/07/2011 à 18h06

teethsurfer écrivait:
---------------------
> en tachant
> de récupérer la racine de la 26 si possible.


Tu espères vraiment faire quelque chose de la racine qu'on voit sur la dernière photo ?


Avatar 46 aoi1yc - Eugenol
HononLulu

27/07/2011 à 18h16

teethsurfer, je comprends mal ton intervention et ce que tu en attends.

Entre ton désir compréhensible de prolonger une situation qui ne posait pas problème sur une personne sur la fin de sa vie et la cruelle évidence d'une dent qui mérite l'extraction, j'ai bien peur que tu te fourvoies.
Mais sincèrement j'espère me tromper ;-))


Img 4593 pnrtmh - Eugenol
teethsurfer

28/07/2011 à 00h44

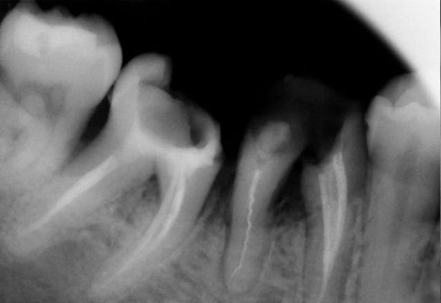
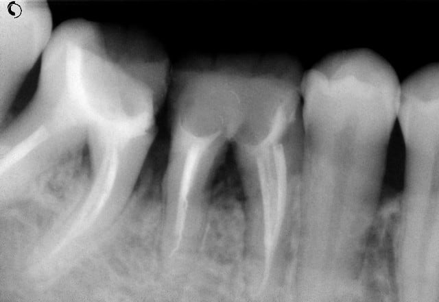
J'ai déjà récupéré de nombreuses racines à ce stade et les ai utilisées comme piliers de bridges ou les ai couronnées, dans la mesure ou l'ancrage alvéolaire était solide et en respectant les furcations pour y assurer l'hygiène.
La gencive lasérisée devient très ferme avec le temps et le déchaussement se stabilise. Ces restaurations se comportent bien sur un recul de plusieurs années.

Un exemple: une 46 avec furcation linguale dénudée après lasérisation et restauration par une endocouronne céromère réalisée il y a 9 ans et sans signe clinique avec une excellente attache gingivale malgré la perte osseuse, les 3 avant dernières images ont été prises lors d'un contrôle en mars dernier ...

9 années pour cette patiente de 90 ans, cela vaut bien le coup d'essayer vous ne croyez-pas? (dernière radio)

Avec le laser, on devient bien plus conservateur...



82 qohr2m - Eugenol
152 e66xbr - Eugenol
160 ax6gkk - Eugenol
169 f5xopb - Eugenol
184 mtnfay - Eugenol
145 uubzyx - Eugenol
215 oaquzi - Eugenol
227 pxkzbx - Eugenol
228 kk1zre - Eugenol
590 qamh57 - Eugenol
591 sqvyej - Eugenol
Sans titre 2 svd4qk - Eugenol

12