Cookie Consent byPrivacyPolicies.comLaser CO² et paro - Eugenol

Laser CO² et paro

Zoe   son arriv e whwqpj - Eugenol
emma

28/07/2011 à 17h02

bravo teethsurfer, tu as tout à fait raison, je réalise souvent des reconstitutions qui paraissent, à priori, complètement tirées par les cheveux mais les résultats dans le temps font que je ne regrette jamais le choix conservateur surtout pour les patients âgés

--
"je préfère vivre en optimiste et me tromper, que vivre en pessimiste et avoir toujours raison"

emma


Img 4593 pnrtmh - Eugenol
teethsurfer

28/07/2011 à 22h49

Merci Emma, alors je pense que la suite va te plaire encore plus...
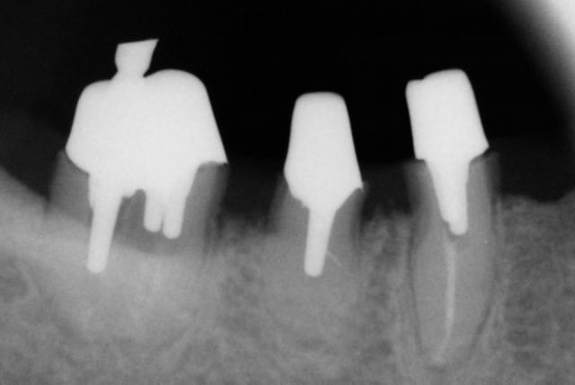
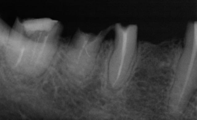
Cette même patiente, pimpante pour ses 90 ans et pleine de gaieté, viens me voir pour son nouvel appareil du bas qu'elle ne supporte pas. Avec surprise, je découvre dessous des chicots abandonnés par son ancien dentiste avec des inflammations gingivales. Radios prises, je lui propose de tenter de les récupérer pour lui réaliser des bridges en remplacement de son appareil, à l'inverse de ce qui se fait habituellement.
La racine résiduelle de la 37 était logée au fond d'un entonnoir gingival au ras de l'os et la 46 était trop délabrée pour la conserver entière. Après quelques séances de gingivoplasties et de tailles, le pari était gagné et les bridges ont pu être scellés, la patiente était radieuse!

350 gdg3o4 - Eugenol
Sans titre 7 vj5gg7 - Eugenol
Img 1335 cqphda - Eugenol
Img 1278 gwdsil - Eugenol
100 zq4i3k - Eugenol
220 ywbdye - Eugenol
104 jnjoow - Eugenol
124 athxpu - Eugenol
67 zrbksi - Eugenol
109 vhknok - Eugenol
308 lneshr - Eugenol
253 wrlbsu - Eugenol
140 ridhgo - Eugenol
251 bwt8lk - Eugenol
359 in6o21 - Eugenol
368 avfsd4 - Eugenol
384 wvropu - Eugenol
Sans titre 6 vcqj1t - Eugenol
Img 1338 czexkw - Eugenol
Img 1340 ai2qth - Eugenol

Marque a3 orange fyvhyq - Eugenol
Marc Apap

28/07/2011 à 23h04

Quoi, des inlay cores métalliques ? Scandale !


Img 4593 pnrtmh - Eugenol
teethsurfer

28/07/2011 à 23h54

Ta réaction est intéressante même si le but est délibérément provocateur et que l'on est hors sujet.

J'envisage de tester des inlaycores céromères réalisés au labo avec tenon en quartz et même clavettés pour des unitaires mais je ne me risquerai pas encore à les utiliser comme piliers de bridge. J'ai déjà réalisé un inlaycore en emax/quartz en indirect pour une antérieure, le résultat est top mais l'assemblage reste assez délicat.

Les couronnes céramiques sur CoCr étant réalisées sans bandeaux métalliques et les racines étant sensées être étanches, une structure métallique intermédiaire scellée n'a aucun impact galvanique ni esthétique.


Zoe   son arriv e whwqpj - Eugenol
emma

29/07/2011 à 10h03

Tu as raison , ça me plait vraiment, je pense à la patiente et à l'état dégradé de son parodonte et de ses dents avant de faire ta rencontre! Elle doit littéralement revivre.

Maintenant ne crois tu pas que tu aurais pu obtenir le même résultat de santé parodontale sans laser?;);););)

--
"je préfère vivre en optimiste et me tromper, que vivre en pessimiste et avoir toujours raison"

emma


zamzam

29/07/2011 à 12h04

Super boulot mais dommage de pas avoir repris les endos


ptitjeune

29/07/2011 à 12h36

t'as fait les endos au laser aussi???


Img 4593 pnrtmh - Eugenol
teethsurfer

31/07/2011 à 14h13

emma écrivait:
--------------
> Tu as raison, ça me plait vraiment, je pense à la patiente et à l'état dégradé
> de son parodonte et de ses dents avant de faire ta rencontre! Elle doit
> Littéralement revivre.

Tu as tout à fait raison et je suis ravi que cela te plaise autant ;o)
Lorsque je lui ai proposé cette solution, elle était très enthousiaste et ses yeux pétillaient de bonheur, mais je n'étais pas certain de réaliser jusqu'au bout le challenge, cela dépendait surtout de la qualité des racines résiduelles et j'ai eu de la chance de pouvoir récupérer la 37 pratiquement enclavée et la 46 en la sectionnant. Il était facile d'imaginer le calvaire qu'elle devait endurer avec son ancien appareil...

> Maintenant ne crois tu pas que tu aurais pu obtenir le même résultat de santé
> parodontale sans laser?;);););)

Franchement non à moins d’extraire toutes les racines ou de passer beaucoup plus de temps avec des techniques que je ne maîtrise pas et bien plus invasives! ;o)

zamzam écrivait:
----------------
 Super boulot mais dommage de pas avoir repris les endos

Merci zamzam.

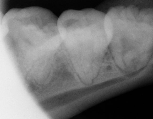
En l’absence de signes cliniques et d’images radio claires, même si certaines obturations auraient pu être améliorées, j’ai préféré ne pas prendre le risque de léser d’avantage ces racines par un surtraitement qui aurait été en outre plus lourd à supporter par la patiente et aurait rallongé la durée du traitement.
Mais c’est une question qui peut se discuter, qu’elle est votre attitude dans ce genre de situation ?

ptitjeune écrivait:
-------------------
 t'as fait les endos au laser aussi???

Si je les avais reprises, je les aurais traitées au laser avant obturation pour stériliser par effet acoustique les canaux humides et les sécher par la même occasion.


Img 4593 pnrtmh - Eugenol
teethsurfer

02/08/2011 à 23h18

Un autre type d'application en paro du CO² est son utilisation sans photo-ablation en défocalisant à faible puissance, ce qui entraine une cautérisation avec stérilisation, décongestionnement par évaporation de l'inflammation, sédation immédiate des douleurs et biostimulation.

Un exemple la semaine dernière: une patiente de 21 ans reçue en urgence pour un accident d'éruption de la 38 ayant entrainé une névralgie et un trismus avec ouverture limitée à 22mm.
Après utilisation d'un diode HeNe AsGa en mode myorelaxation, ce qui a permis une ouverture en quelques secondes à 30mm, un tir en balayage continu du CO² à 1W a fait disparaitre instantanément la douleur et a porté l'ouverture buccale à 40mm. Le tout a pris seulement quelques minutes.

J'ai alors pu lui prendre une radio et ai poursuivi sans problème par son premier détartrage, la jeune fille étant fumeuse (10 cigarettes par jour depuis 2 ans)... je suis alors tombé sur des leucoplasies au maxillaire que je n'aurai jamais découvertes sans l'aide de mes lasers ou avec une prescription d'AB et AI sans la revoir probablement, ses dents étant impeccables.
Je les lui ai montré et ai essayé de lui faire prendre conscience des risques qu'elle prenait en continuant à fumer sans l'affoler évidemment.



10 m936ia - Eugenol
19 dmkdu1 - Eugenol
2 zsbj3d - Eugenol
1 turrpg - Eugenol
6 iregbo - Eugenol
20 tk5ens - Eugenol
21 y2bznq - Eugenol
26 nclisz - Eugenol
3 afwvyj - Eugenol
11 tapxpv - Eugenol
26 27v bmdltq - Eugenol
26p z8v85k - Eugenol
27 efvdcq - Eugenol
0 ctvxps - Eugenol
5 wusxup - Eugenol
4 ynjmde - Eugenol
8 ve10vo - Eugenol
16 jmqano - Eugenol
27p enq6bf - Eugenol
7 loui9w - Eugenol
24 gzd12f - Eugenol

12