Cookie Consent byPrivacyPolicies.comDilemne conservation ou avulsion des 6 - Eugenol

Dilemne conservation ou avulsion des 6

Avatar hjdsnm - Eugenol
TiGabi

27/07/2011 à 17h24

Bonjour,

Je suis fatigué des séances de restauration de 6 très délabrées pour des 7-12 ans : limites infra-gingivales, nécrose partielle, apexification pas forcément évidente, champ difficile à mettre, restauration "acrobatique", devoir convaincre d'un devis de MTA et/ou de coiffe pédo...

Tout ça pour ? Un pronostic médiocre au long terme.

J’essaie au maximum d’être conservateur. Quand je ne peux pas, j'envoie d'abord le patient chez un ortho pour avis et accord (extractions + mise en place des 7).
Cette démarche me semble stérile : l'ortho me répondra toujours qu'il préférerait que l'on conserve les 6 au moins le temps du traitement... C'est du temps perdu pour le patient, ses parents, l'ortho et moi.

J'aimerai avoir vos avis : est-ce vraiment si difficile de mettre en place des 7 ?
Avant 8-9 ans, cela se fait souvent tout seul.
Après 9 ans, est-ce si complexe de redresser une 7 mesialée ?
Quels sont les contre-indications absolues ? Hypodivergence, agénésie des 8 ou germes non visibles, quoi d'autre ?

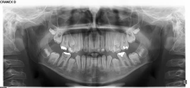
Qui ferait quoi dans le cas ci-dessous : 11 ans, patient en classe I, normodivergent, hygiène médiocre, très coopérant au fauteuil. 36 présente une carie similaire en lingual. Ces deux dents sont vitales.

Idéalement, je ferai un coiffage ou une pulpo au MTA, un moignon en compo ou CVI et une CPP (il fera une couronne à l'age adulte).
Pas possible financièrement (170 euros HN).
Donc soit je fais une séance galère sous digue avec coiffage au Dycal et restauration au composite pour SC17, soit j'extrais...

Merci pour vos avis.

P1010943 sukwth - Eugenol
Ext6 ka1zci - Eugenol

Gbazylo1 fvg1vg - Eugenol
Aron

27/07/2011 à 17h55

Les 2:

Pour SC17, en première intention je fais une éviction carieuse, dycal et gros CVI (avec ou sans digue, au pire tu clampes la gencive en V) avec explications +++ au parent (en general y'en a qu'un) sur l’intérêt de réunir les 170 € avant que ça ne se barre.

En seconde intention et si la première resto capote, si ça n'a pas bougé du côté du porte-monnaie, extraction.

De cette manière, je peux me dire que j'ai tenté l'approche "Mère Theresa", mais que les événements m'ont prouvé qu'il ne fallait pas.

Pour les autres questions, je suis une bonne quiche en odf, alors je laisse la parole à ceux qui savent.


Grueavatar nptrc9 - Eugenol
Le Choixpeau magique

27/07/2011 à 18h02

Eviction carieuse à minima, pose de CVI, et ensuite on discute de l'avenir des dents du patient avec les parents.
Si 170 euros sont hors de portée aujourd'hui, qu'en sera-t-il du traitement ortho demain ?
C'est à EUX de choisir.


Avatar 46 aoi1yc - Eugenol
HononLulu

27/07/2011 à 20h05

+1
Toute façon, tu ne prolongeras la durée de vie de cette dent qu'avec du HN et du ED.
Donc si pas possible, ben pourquoi préserver une dent dont la famille se fout ?
Sauf à aimer les combats perdus d'avance.

Ceci dit j'espère qu'ils te donneront les moyens de bien faire ton boulot parce que ça doit faire mal au cœur d'enlever une 6 à cet âge.


Zorglub

27/07/2011 à 20h08

Certains parents se foutent de leurs dents et se foutent de celles de leurs enfants. Après l'éviction carieuse, si le gosse a mal la dent on va te demander pourquoi tu n'as pas extrait...

D'ailleurs cette carie est-elle survenue en 6 mois ? Le gosse et les parents se brossent-ils les dents tous les jours ?

Hélas, les chiens ne font pas des chats...

Donc tu replaces tout dans le contexte dento-social et probablement, tu extrais...

Je fais aussi de l'ortho et il est vrai qu'avancer les 7, ça dure longtemps mais c'est pas impossible tout de même.

Parfois, j'arrête aussi des traitements orthos pour hygiène insuffisante...

De plus, les 5 peuvent aussi rester bloquées par la bascule des 4 et 7... vu la pano... et les germes des 8 ont l'air pas mal...


Avatar hjdsnm - Eugenol
TiGabi

27/07/2011 à 20h51

Merci pour vos réponses.

Vu cet après-midi : 26 délabrée par MIH et manque hygiène incluse sous 65. La maman consulte car ne veut pas enlever la dent, OK pour le HN.
Je vais avulser 65, cureter, mettre un MTA et un CVI, attendre 1 mois pour avoir un peu d'egression et faire ma CPP. Il faudra ensuite probablement un passage chez l'ortho pour redresser l'axe.

P1010950 wl87ob - Eugenol
Bihi olo21w - Eugenol
P1010948 gs35sg - Eugenol

Avatar 46 aoi1yc - Eugenol
HononLulu

27/07/2011 à 21h26

Tu vas t'amuser pour les clamps ;-)))


Grueavatar nptrc9 - Eugenol
Le Choixpeau magique

27/07/2011 à 21h35

Je me demande si en gardant la 26 tu ne condamnes pas déjà la 25.


Image odged8 - Eugenol
ploc

28/07/2011 à 01h45

au risque certain de vs faire hurler,ds le contexte du 1 er cas,j'enlèverai 46 ET 16
pr le 2è comme toi ,extraction 65 et conservation de la 6 puisque la mère est motivée(en contrôle ts les 3 mois)


1 p3qrc4 - Eugenol
Bjc.

28/07/2011 à 02h43

C’est beaucoup plus facile de mettre une 6 à la place d’une 7, 3 mois après l’extraction que 3 ans ou 10 ans après

Comme il faut pouvoir placer un Bk. sur la 7, c’est lorsque celle ci sera apparue sur l’arcade que l’on pourra extraire la ou les 6. En attendant, il est préférable de les conserver

Les suédois considèrent les 6 comme des dents déciduales

@+ Bjc.



Zorglub

28/07/2011 à 03h13

ploc écrivait:
--------------
> au risque certain de vs faire hurler,ds le contexte du 1 er cas,j'enlèverai 46
> ET 16
> pr le 2è comme toi ,extraction 65 et conservation de la 6 puisque la mère est
> motivée(en contrôle ts les 3 mois)


De toute façon, il faut toujours regarder l'ensemble de la mâchoire, donc ça a souvent plus de sens d'extraire les 4 six que 2 six en bas et 2 pm en haut pour cause d'encombrement car souvent les six sont déjà bien obturées et les pm intactes...


Image odged8 - Eugenol
ploc

28/07/2011 à 16h48

Zorglub écrivait:>
>ça a> souvent plus de sens d'extraire les 4 six

sur mon patient,c'est ce que j'aurai proposé aux parents mais je ne voulais pas faire hurler trop fort :))


Avatar hjdsnm - Eugenol
TiGabi

28/07/2011 à 20h53

ploc écrivait:
--------------
> sur mon patient,c'est ce que j'aurai proposé aux parents mais je ne voulais pas
> faire hurler trop fort :))

Tu ne me fais pas hurler Ploc vu que c'est ce que je pense à chaque fois que je vois des cas avec les quatre 6 délabrées. Je n'ose jamais le faire car j'ai l'impression d'y penser par facilité, pour ne pas m'embêter, en prétextant à moi même "ouais, ce serait pas pérenne de les garder" : je "culpabilise" un peu.
C'est pour cela que je voulais avoir vos avis : qui propose sans culpabiliser des avulsions des 4 premières molaires permanentes ? Dans quels cas ?


1 p3qrc4 - Eugenol
Bjc.

29/07/2011 à 01h13

Je dirais: dans les cas ou malgré un TTT. radiculaire H.N. + reconstitution ou inlay core + couronne, tu penses qu’il faudra extraire dans 10 ans et faire un TTT. Ortho H.N. ou un implant

Il faut parfois savoir s’avouer impuissant devant les circonstances

raisonne comme si c'était ton enfant

@+ Bjc.


Zorglub

29/07/2011 à 03h48

Sans culpabiliser du tout, on peut dire que l'extraction des 4 six est à préférer à l'extraction de prémolaires en cas d'encombrement d'origine dento-dentaire et si les six sont particulièrement détruites mais comme même dans ce cas les extractions de prémolaires sont toujours jugées inopportunes par certains orthodontistes... il faut bosser avec un orthodontiste qui ose encore préconiser les extractions... ou alors faire une formation d'ortho pour prendre la décision en âme et conscience...

Il faut savoir que les cas d'ortho traités avec extraction de prémolaires permettent souvent de conserver les dents de sagesses...


1 p3qrc4 - Eugenol
Bjc.

29/07/2011 à 14h55

il ne faut pas confondre un cas ou les 6 sont très délabrées et plus ou moins condamnées, et ou, quand on aura extrait les P.M., on devra vers 18 ans extraire les 6 (ce qui fera 8 dents perdues)

avec un cas ou toutes les dents sont intactes.

De toute manière, l’extraction des P.M. est beaucoup plus nuisible à l’occlusion que l’extraction des dents de sagesses. il faut faire une formation d’occlusion pour comprendre les Pbs. de l’A.T.M. suite à l’extraction des P.M. il ne suffit pas de bien ranger les dents

l'argument: ça fait moins mal d'enlever des P.M. que des dents de sagesse est une vision à court terme

@+ Bjc.


Zorglub

29/07/2011 à 17h27

Problème d'atm parce que extraction des prémo, c'est de la foutaise, par contre combien d'atm ont été démolies par des extractions musclées des 8 ou par des ouvertures buccales forcées sous AG..., on ne les compte plus...


1 p3qrc4 - Eugenol
Bjc.

29/07/2011 à 18h53

L’extraction des dents de sagesse sous A.G. ne devrait plus être remboursée par la S.S., surtout parce que le risque d’accident sous A.G. ne vaut le pas confort de l’A.G.

Une luxation, douloureuse, d’A.T.M. est réversible rapidement, alors qu’une malposition des A.T.M. dans la cavité glénoïde n’a pas de conséquence immédiate. Il faut attendre 20 ans pour avoir les conséquences, douleurs etc…, et quand on fait des Rx., on voit un ménisque luxé et dégénéré, ainsi que des tètes condyliennes en forme de canne à sucre’

Cela me rappelle ce conférencier, SMITH, qui commençait sa présentation par sa propre bouche
Il avait eu dans sa jeunesse un traitement avec extraction des P.M., il ne s’était jamais senti bien. il s’est refaire un TTT. Ortho pour rouvrir les espaces et s’était fait poser 4 bridges. Il revivait

C’était il y 25 ans

@+ Bjc.


Zorglub

29/07/2011 à 20h40

Il y en aura toujours pour réinventer l'eau chaude...


Image odged8 - Eugenol
ploc

29/07/2011 à 22h39

:


Image odged8 - Eugenol
ploc

30/07/2011 à 00h34

TiGabi écrivait:
----------------
> qui propose sans culpabiliser
> des avulsions des 4 premières molaires permanentes ? Dans quels cas ?

moi,m'sieur
-sans aucune culpabilité avant 8/9 ans qd les racines des 7 ne st pas totalement edifiées(- des 2/3
les 7 se mettront en place quasi sans version)

-avec un temps de reflexion mais tjours sans culpabilité en tenant compte de la motivation,de l'edfication des racines des 7,de la technique endo-prothèses à mettre en oeuvre versus odf si extraction

mais enlever une 6 quasi saine est tjours desagreable:j'avais reussi à trouver un odf refractaire à l'extraction systematique des PM et en discutant avec des pedo -odf,me voilà en train de reculer d'une dent:tabernacle!
tout cela par prevention anti-implantaire...(si plockette qui vient d'être embauchée en collab d'implanto-paro exclusive me lit,comme quoi l'internat peut servir à propos et n'en deplaise à certains.., je suis une mère reniée)


je me répète mais:

""Que faire face à des dents de six ans délabrées dès le plus jeune âge ? Les conserver signifie un traitement endodontique délicat dans son exécution et bien plus encore si l'apexogénese n'est pas achevée. Puis, la restauration coronaire est parfois difficile à réaliser si la couronne est très délabrée ce qui est souvent le cas. Le jeune âge de l'enfant nous contraint à effectuer une reconstitution provisoire, donc peu fiable. La dent de 12 ans qui n'est pas encore en place sur l'arcade ne nous permet pas de coiffer immédiatement de façon permanente cette première molaire (sauf avec une coiffe pédodontique provisoire mais dont le coefficient d'usure est important). De plus, cette dent de six ans n'a pas forcément terminé son éruption… Les extraire très tôt, ne serait-ce pas la bonne solution ? Pour cela, il s'agit d'évaluer le degré d'édification radiculaire de la dent de 12 ans. Si l'édification est moindre, elle va évoluer favorablement en translation pure à la place de la dent de 6 ans. En revanche, si le stade est avancé, la deuxième molaire va opérer un mouvement de bascule peu favorable. Ceci démontre que nous avons grand intérêt à examiner l'enfant très tôt… Cette thérapeutique d'avulsion précoce est une alternative encore plus intéressante lorsque le germe de la troisième molaire est présent. En revanche, lorsque l'extraction de la dent de 6 ans est faite tardivement, l'orthodontie donne la possibilité de mésialer la deuxième molaire."

DR ANNIE BERTHET - Interception au quotidien en Odontologie Pédiatrique




Avatar hjdsnm - Eugenol
TiGabi

30/07/2011 à 01h03

Merci Ploc pour ton avis éclairé !

Aujourd'hui, j'ai reçu un patient de 8 ans avec une cellulite depuis la 46 sur laquelle je tentais une apexification... Bon, il ira peut-être voir Plockette un jour :D


Avatar hjdsnm - Eugenol
TiGabi

30/07/2011 à 15h11

36 : couronne clinique courte. Temporisation par couronne préformée. Les faces vestibulaires et linguales ne sont pas préparées : leurs bombés permet un effet de "bouton pression" avec la coiffe qui est en métal souple. Scellée au Ketac Cem.

Un onlay aurait-il été envisageable ?

P1010989 tr6jft - Eugenol
P1010997 nha0gn - Eugenol
P1010990 fveqkz - Eugenol
P1010993 t0ctqt - Eugenol

003 penrd2 - Eugenol
Cingulum

30/07/2011 à 22h25

Oui....



--
Dr Cingulum
-----Ancien interné----
----Attaché à l'apex----
www.clinic-all.fr formation par passion


003 penrd2 - Eugenol
Cingulum

30/07/2011 à 22h26

.


12...