Cookie Consent byPrivacyPolicies.comclasse III bien avancée - Eugenol

classe III bien avancée

Zoe   son arriv e whwqpj - Eugenol
emma

27/07/2011 à 19h59

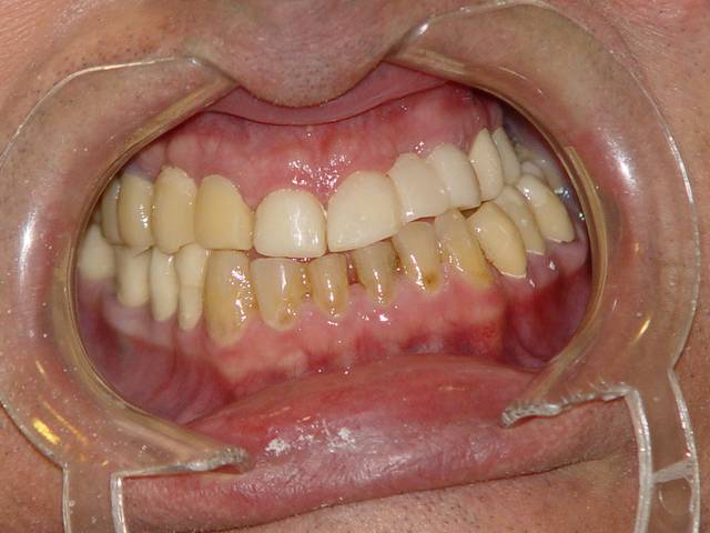
que feriez vous dans ce cas, les photos parlent d'elles mêmes

--
"je préfère vivre en optimiste et me tromper, que vivre en pessimiste et avoir toujours raison"

emma

Classe iii pano1 zgqb5v - Eugenol
Classe iii mjxy8m - Eugenol
Visage classe iii l7gvbv - Eugenol

Grueavatar nptrc9 - Eugenol
Le Choixpeau magique

27/07/2011 à 20h17

Quelle est la demande du patient ?
Quels sont ses objectifs ?


Zoe   son arriv e whwqpj - Eugenol
emma

27/07/2011 à 20h36

bon, si tu as besoin de plus d'explications, le patient aimerait ne plus se mordre la gencive vestibulaire...

--
"je préfère vivre en optimiste et me tromper, que vivre en pessimiste et avoir toujours raison"

emma


belette

27/07/2011 à 20h50


ça manque d'images de profil...teleradio et photos ?

^ ... ^
Ô"""Ô
= o =


Zoe   son arriv e whwqpj - Eugenol
emma

27/07/2011 à 21h18

désolée belette, je ne suis plus au cabinet, je n'ai rien d'autre comme documents

--
"je préfère vivre en optimiste et me tromper, que vivre en pessimiste et avoir toujours raison"

emma


Grueavatar nptrc9 - Eugenol
Le Choixpeau magique

27/07/2011 à 21h36

A-t-il bien compris qu'il n'y a pas de solution hors orthochir ?


belette

28/07/2011 à 00h46

Nouveau cas ou cas traité?
Je serais bluffée si c'est un cas que tu as traité en fonctionnelle... mais ne demande que ça !!!
^ ... ^
Ô"""Ô
= o =J'attends la suite.


ratounes

28/07/2011 à 10h25

Au risque de me faire pendre haut et court...
SI LE PATIENT NE SE PLAINT D'AUCUN PROBLEME ARTICULAIRE, c'est donc qu'il fonctionne comme ça depuis au moins avant-hier ...
effectivement seule la chir peut corriger la cl 3 établie. Néanmoins, je proposerai bien d'essayer de rétablir des déterminants post en relevant la DV par le même coup. Cela devrait débloquer le vérouillage antérieur, corriger la latéro déviation...en y allant progresivement ( gouttière, refaire les fixes côté droit et compenser dans un premier temps l'édentement par stellite ) puis si c'est possible et probant, implanto à gauche...


Zoe   son arriv e whwqpj - Eugenol
emma

28/07/2011 à 11h30

choixpo

toujours en subtilité (cf petit cas de paro)

belette

on ne peut rien te caché

ratounes

j'adore ton pseudo;);)
j'aime bien ton "néanmoins"

--
"je préfère vivre en optimiste et me tromper, que vivre en pessimiste et avoir toujours raison"

emma


belette

28/07/2011 à 13h27


La classe III est alvéolaire ou dentaire , peut-être pas tellement squelettique, mais de face , difficile de juger.

Un peu d'ingression des incisives inf et de vestibulo-version des sup, quelques implants et c'est réglé.
Reste à savoir en combien de temps ???

^ ... ^
Ô"""Ô
= o =... Vas-y, montre-nous !


ratounes

28/07/2011 à 13h27

bon si j'ai bien compris je suis collée et le cas est déjà traité. on peut voir??


Zoe   son arriv e whwqpj - Eugenol
emma

28/07/2011 à 14h45

un peu de patience les filles (au fait ratounes t'es bien une fille???)

--
"je préfère vivre en optimiste et me tromper, que vivre en pessimiste et avoir toujours raison"

emma


ratounes

28/07/2011 à 14h58

tout juste !


Gbazylo1 fvg1vg - Eugenol
Aron

28/07/2011 à 19h04

emma écrivait:
--------------
> bon, si tu as besoin de plus d'explications, le patient aimerait ne plus se
> mordre la gencive vestibulaire...
>
> --
> "je préfère vivre en optimiste et me tromper, que vivre en pessimiste et avoir
> toujours raison"
>
> emma

Si le patient ne veut plus se mordre la gencive, il faut la lui enlever.

Cela dit, ta photo en occlusion montre qu'il ne se la mord pas (en tous cas pas la gencive).

Ajouté au fait que tu ne dises pas dès le début que le cas est traité, on en déduit qu'on joue ici aux devinettes.

Ca semble être la mode en ce moment sur Eugénol: je fais l'ingénue en demandant des avis sur un cas que l'on peut d'ores et déjà -en secret- considérer comme traité et avec succès (bah oui sinon il serait pas posté).

Je laisse les gens proposer... et là: TA-DAM! Je montre mon petit succès, le plus souvent en utilisant des techniques décriées ou du moins sujettes à discussion (je ne le montre pas trop, mais je ne suis pas peu fière de mon petit effet). Ca clôt le bec à la polémique que je n'aurai pas manqué de soulever si j'avais posté avant.

Pour gagner du temps, je te le dis tout de suite: bravo pour ce cas, il m'en bouche un coin.


Zoe   son arriv e whwqpj - Eugenol
emma

29/07/2011 à 12h11

de retour au cabinet je peux vous poster les différentes étapes de ce que j'ai réalisées pour ce patient dans le cadre de l'OSB afin de me faire mousser et non de partager avec vous une expérience qui m'a parue intéressante comme alternative à la cavalerie lourde proposée par certains d'entre vous à savoir la chirurgie...

J'ai reçu ce patient en mai 2006

Tout d'abord évaluation de la hauteur d'occlusion fonctionnelle à l'aide de cire à boxer on laisse le patient avaler sa salive pendant 10 mn, puis arc facial et montage sur articulateur Artex, wax up et reconstitution prothétique temporaire des dents postérieures.

Validation de cette nouvelle occlusion par le patient pendant 6 mois puis si tout baigne prothèse fixe céramique, globale dans ce cas.

Cas terminé en décembre 2006, revu la semaine dernière, ce qui m'a donné envie de vous le montrer.

désolée, je ne peux pas poster les photos de l'ordi avec lequel je bosse, je vois si c'est possible avec un autre PC.

voilà les photos excusez moi d'en avoir doublé une, , quant à la dernière, c'est celle de la semaine dernière.
--
"je préfère vivre en optimiste et me tromper, que vivre en pessimiste et avoir toujours raison"

emma

016 rqi15b - Eugenol
Classe iii pano fin de traitement eca3yn - Eugenol
003 atwnjc - Eugenol
002 y122zu - Eugenol
008 z2mexz - Eugenol
010 nnnb6n - Eugenol
Classe iii traitement termin  2007 dtsa6c - Eugenol
Classe iii traitement termin  2007 oa3nd5 - Eugenol
Classe iii 2011 fttrsx - Eugenol
011 ufrzkp - Eugenol
014 dhpckm - Eugenol

Icon poker h4nm2d - Eugenol
jeff

29/07/2011 à 15h08

Salut Emma,

C'est que ces toujours interressant d'avoir une vision alternative des choses ( et non, la chir n'était pas obligatoire ).

J'ai quand même l'impression que tu n'a vraiment reconstruit a la dv donné par la cire de déglutition.

Utilise tu encore cette technique ? Il faudrait peut être une cire un peu plus molle.

A+


Zoe   son arriv e whwqpj - Eugenol
emma

29/07/2011 à 17h42

jeff écrivait:
--------------
> Salut Emma,
>
> C'est que ces toujours interressant d'avoir une vision alternative des choses (
> et non, la chir n'était pas obligatoire ).
>
> J'ai quand même l'impression que tu n'a vraiment reconstruit a la dv donné par
> la cire de déglutition.

la photo a été faite au moment de la mise en place de la cire et non après les 10 minutes de déglutition. .
>
> Utilise tu encore cette technique ?

pour les classe III systématiquement, je n'ai pas encore trouvé mieux, pour les classes II, non, j'utilise l'Artex en surélevant et en alignant les milieux et en me servant de ses plaques de courbe pour orienter l'axe de mes reconstitutions prothétiques par rapport à la courbe de spee et celle de wilson.


Il faudrait peut être une cire un peu plus
> molle.

>son elasticité est vraiment parfaite pour cette technique

> A+


--
"je préfère vivre en optimiste et me tromper, que vivre en pessimiste et avoir toujours raison"

emma