Cookie Consent byPrivacyPolicies.competit cas de traitement paro laser assistée - Eugenol

petit cas de traitement paro laser assistée

Zoe   son arriv e whwqpj - Eugenol
emma

27/07/2011 à 20h33

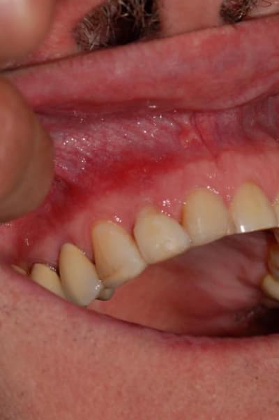
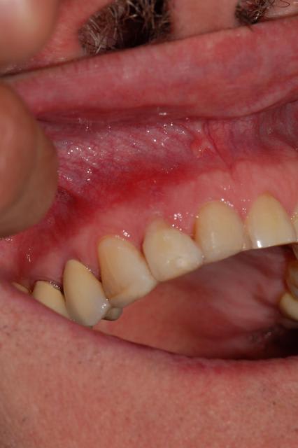
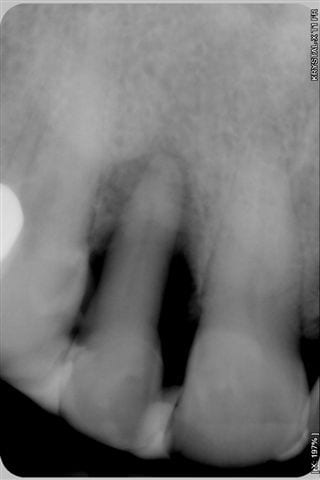
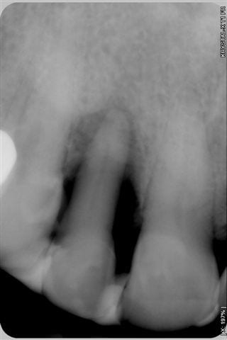
cas d'un patient arrivé vendredi en urgence, volumineux abcès vestibulaire sans fistulisation, au sondage poche de 8 mm en proximal: mésiale et distale, gencive attachée en vestibulaire,mobilité 3 pas le temps de prendre des photos, mais simplement une radio.

Traitement: assainissement par débridement des poches et de l'abcès à la povidone iodée diluée, puis au calbénium dilué, aéropolissage de la zone au bicarbonate puis injection dans les poches et dans la fistule crée au laser diode fibre 300µ, d'eau oxygénée à 10 volumes, attente 5 minutes puis activation au laser diode fibre 400µ et enfin biostimulation au laser diode fibre défocalisante pendant 1 mn. J'ai solidarisé 12 à 11 et 13, au composite flow.

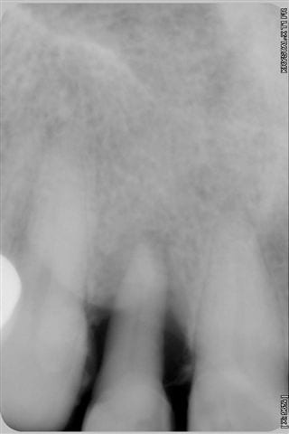
patient revu le 25 aout pour biostimulation, 4ème radio prise lors de la séance montre un début de régénération osseuse.

La 5ème radio prise ce jour avec biostimulation en post op, montre que la régénération, que beaucoup d'entre vous pensait impossible, est bien entrain de se faire.

Merci au laser diode, à Gérard Rey pour ses excellents conseils et à mon patient qui suit à la lettre mes recommandations d'hygiène bucco dentaire.

emma, qui ne regrette pas de jouer avec ses joujoux comme le dit avec tant de condescendance Marc Appap.

Radio 1 paro s632kw - Eugenol
Radio 2 paro ls8vsl - Eugenol
Paro laser assist e c68eei - Eugenol
005 mnhglk - Eugenol
038 ivxpjo - Eugenol
039 bbdkik - Eugenol
040 pimth2 - Eugenol

Marque a3 orange fyvhyq - Eugenol
Marc Apap

27/07/2011 à 21h10

C'est bien. Mais comme tu as aussi fait un gros débridement et irrigué avec un antiseptique, va savoir.
Sinon, évite la contention au flow, ça ne vaut rien. Mieux vaut utiliser du super bond mis au pinceau (trempé dans le liquide puis dans la poudre). La prise est longue (8 min) mais la tenue bien meilleure car c'est un matériau élastique alors que le flow a tout ce qu'il faut pour que ça ne tienne pas : rigide, cassant et pas très résistant à la traction (faible pourcentage de charges). Ou alors faut mettre une bande fibrée derrière pour soutenir le composite.


Zoe   son arriv e whwqpj - Eugenol
emma

27/07/2011 à 21h30

merci Marc, je sais tout ça, mais une urgence ça urge, j'ai donc privilégié l'assainissement à la contention, d'ailleurs la dent ne bougeait plus, bien que le collage ait laché.

2 jours pour une guérison, ne trouves tu pas que ça vaut le coup pour le patient de traiter avec un laser, montre moi le même résultat avec la même rapidité avec un simple curetage et là, tu m'auras convaincue que j'ai eu tort d'investir dans un laser.

--
"je préfère vivre en optimiste et me tromper, que vivre en pessimiste et avoir toujours raison"

emma


Marque a3 orange fyvhyq - Eugenol
Marc Apap

27/07/2011 à 21h56

OK c'est chouette. Attention quand même, ce n'est pas une guérison, mais une cessation de la phase inflammatoire aigue. Celle-ci semble être survenue très rapidement. C'est le résultat définitif à long terme qui compte (quoique avec la perte osseuse autour de la dent, le pronostic est un peu réservé, non ?) M'enfin, moi aussi, j'en ai qui tiennent comme ça, juste sur un fil.


Grueavatar nptrc9 - Eugenol
Le Choixpeau magique

27/07/2011 à 22h19

emma écrivait:
--------------
> 2 jours pour une guérison, ne trouves tu pas que ça vaut le coup pour le patient
> de traiter avec un laser

Tu trouves que sur la radio 2, la dent a l'air guérie ?


sisterofmercy

28/07/2011 à 00h04

l'irrigation de la poche au calbénium, c'est la première fois que j'entends ça. c'est l'eau de ton unit? Une autre concentration?

--
je plie et ne romps pas.


200106 10150128247663588 709988587 6466236 5598391 n d7mksb - Eugenol
hallboy

28/07/2011 à 00h23

Le Choixpeau magique écrivait:
------------------------------
> emma écrivait:
> --------------
> > 2 jours pour une guérison, ne trouves tu pas que ça vaut le coup pour le
> patient
> > de traiter avec un laser
>
> Tu trouves que sur la radio 2, la dent a l'air guérie ?

Pareil.

C'est deja difficile de comparer differents types de traitements qd il n'y en a qu'un de fait, pour être aussi affirmatif au bout de 48h. Par contre j'aimerai bien que tu nous postes les RX a intervalle reguliers qu'on ait l'evolution. Je saias bien que ça depend aussi de son suivi quotidien perso du germe du genotype etcetc, mais puisqu'on est parti pour ne s'occuper que du clinique autant le suivre.


Img 4593 pnrtmh - Eugenol
teethsurfer

28/07/2011 à 01h06

Cela semble être une bonne indication du laser diode fibré en synergie avec des antiseptiques, un débridement et une solidarisation transitoire afin de permettre d'assainir le secteur, mais la situation osseuse semble bien compromise. Penses-tu pouvoir l'améliorer par bio-stimulation?


Zoe   son arriv e whwqpj - Eugenol
emma

28/07/2011 à 11h21

à hallboy:
c'est prévu, j'ai fait un prélèvement avant traitement, au microscope ça grouillait, pour le reste j'attends le résultat.

Le problème paro était pour l'instant localisé à la 12, mais nous allons tout de même engager un traitement prophylactique global avec toute la panoplie des conseils d'hygiène bucco dentaire et des maintenances

à teethsurfer
biensûr

--
"je préfère vivre en optimiste et me tromper, que vivre en pessimiste et avoir toujours raison"

emma


olivier

28/07/2011 à 11h49

Excusez moi mais en voyant tous ces cas de paro avec des traitements au laser ,il y a une question d'ordre general qui me traverse l'esprit et j'aimerai connaître vos avis .
Quels sont pour vous les critères objectifs de la réussite d'un traitement parodontal: absence de mobilité (sans contention), arrêt des saignements, reconstitution d'une lamina dura etc.....


Zoe   son arriv e whwqpj - Eugenol
emma

28/07/2011 à 14h43

olivier, tout ça à la fois;)

--
"je préfère vivre en optimiste et me tromper, que vivre en pessimiste et avoir toujours raison"

emma


Img 4593 pnrtmh - Eugenol
teethsurfer

28/07/2011 à 15h07



> à teethsurfer
> biensûr
> emma

Quel protocole vas tu employer avec quel laser et sur combien de temps?
As tu eu des cas similaires déjà traités?


Grueavatar nptrc9 - Eugenol
Le Choixpeau magique

28/07/2011 à 15h37

olivier écrivait:
-----------------
> Quels sont pour vous les critères objectifs de la réussite d'un traitement
> parodontal: absence de mobilité (sans contention), arrêt des saignements,
> reconstitution d'une lamina dura etc.....

A moyen terme, disparition des poches, arrêt du saignement au sondage.
A long terme, guérison radio.
Mais ça ne se mesure pas à 48h, et je serais étonné qu'on arrive à sauver cette dent, sauf importante cause occlusale.


Grueavatar nptrc9 - Eugenol
Le Choixpeau magique

28/07/2011 à 15h40

ou endo, bien sûr.


Zoe   son arriv e whwqpj - Eugenol
emma

28/07/2011 à 16h14

Choixpo:
et si c'était morphologique?

quant à ton pessimisme, ma signature te montre que je ne le partage pas!

comme je ne veux pas me faire zapper, je vais laisser gentiment le modo éditer mon post, qui pourrait faire croire que je le prend pour un imbécile.

--
"je préfère vivre en optimiste et me tromper, que vivre en pessimiste et avoir toujours raison"

emma


Édité par le modo


Zoe   son arriv e whwqpj - Eugenol
emma

28/07/2011 à 16h22

teethsurfer écrivait:
--------------
>
> Quel protocole vas tu employer avec quel laser et sur combien de temps?
> As tu eu des cas similaires déjà traités?

biostimulation toutes les semaines laser diode 980nm, lentille défocalisante 2.5W à 3W en continu pendant 1mn, puis toutes les 3 semaines avec contrôle rd, mais surtout pas de sondage, pour ne pas léser l'attache néoformée.
--
"je préfère vivre en optimiste et me tromper, que vivre en pessimiste et avoir toujours raison"

emma


Img 4593 pnrtmh - Eugenol
teethsurfer

29/07/2011 à 00h17

emma écrivait:
--------------
> olivier, tout ça à la fois;)

Ce sont de bons critères mais ce que j'apprécie particulièrement après un traitement laser et qui m'indique son aboutissement, c'est le rebond de la sonde paro au contact du sillon gingivo-dentaire.
Cependant, il peut aussi y avoir parfois des lésions internes para-radiculaires asymptomatiques dues à des fissures en général avec une excellente attache sulculaire. Le silence radio est donc déterminant.


Zoe   son arriv e whwqpj - Eugenol
emma

19/09/2011 à 18h32

emma écrivait:
--------------

petit rappel


> cas d'un patient arrivé vendredi en urgence, volumineux abcès vestibulaire sans
> fistulisation, au sondage poche de 8 mm en proximal: mésiale et distale,
> gencive attachée en vestibulaire,mobilité 3 pas le temps de prendre des photos,
> mais simplement une radio.
>
> Traitement: assainissement par débridement des poches et de l'abcès à la
> povidone iodée diluée, puis au calbénium dilué, aéropolissage de la zone au
> bicarbonate puis injection dans les poches et dans la fistule crée au laser
> diode fibre 300µ, d'eau oxygénée à 10 volumes, attente 5 minutes puis activation
> au laser diode fibre 400µ et enfin biostimulation au laser diode fibre
> défocalisante pendant 1 mn. J'ai solidarisé 12 à 11 et 13, au composite flow.
>

et voilà le résultat en radio lors des recalls du patient pour biostimulation:

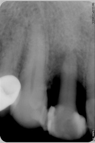
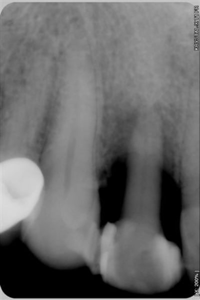
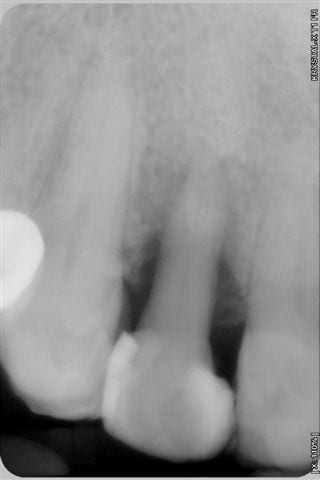
patient revu le 25 aout pour biostimulation,2ème radio prise lors de la séance et qui montre un début de régénération osseuse.

La 3ème radio prise ce jour avec biostimulation en post op, montre que la régénération, que beaucoup d'entre vous pensait impossible, est bien entrain de se faire.

Merci au laser diode, à Gérard Rey pour ses excellents conseils et à mon patient qui suit à la lettre mes recommandations d'hygiène bucco dentaire.

emma, qui ne regrette pas de jouer avec ses joujoux comme le dit avec tant de condescendance Marc Appap.


038 queizx - Eugenol
039 zptfxi - Eugenol
040 amtnjt - Eugenol

Smile beach jgh0a1 - Eugenol
Céramik

19/09/2011 à 18h58

Je trouve cela très intéressant, mais j'ai de p'tites questions :


1-Le temps entre 1ere et 3e radio

2-Les radio ne semblent pas très standardisées au niveau des contrastes. La 1ere est très foncée, donc le défaut osseux peut sembler plus grave et la 3e est pâle, ce qui montre plus d'os. Ou bien je me trompe...

Merci



--
Céramik


Björn

19/09/2011 à 18h59

Net différentiel de contraste et/ou exposition entre la 3ème et les deux premières, non?

Edit: je me suis fait ceramiké! :-)


Smile beach jgh0a1 - Eugenol
Céramik

19/09/2011 à 19h22

Björn écrivait:
---------------

> Edit: je me suis fait ceramiké! :-)


;-)

--
Céramik


Zoe   son arriv e whwqpj - Eugenol
emma

19/09/2011 à 20h21

Céramik écrivait:
-----------------
> Je trouve cela très intéressant, mais j'ai de p'tites questions :
>
>
> 1-Le temps entre 1ere et 3e radio

première radio le 22/07 et la 3ème aujourd'hui
>
> 2-Les radio ne semblent pas très standardisées au niveau des contrastes. La 1ere
> est très foncée, donc le défaut osseux peut sembler plus grave et la 3e est
> pâle, ce qui montre plus d'os. Ou bien je me trompe..

Je me demandais ce qui pourrait encore vous faire douter, bingo "la première radio est plus sombre que la 3ème" eh bien en voici une prise le 22/7 en urgence et moins sombre, aurez vous encore des doutes quant au bien fondé d'un traitement conservateur laser assisté???

Désolée, mais l'implant n'est pas pour demain et j'en suis fort aise

j'ai oublié de vous dire que la dent n'est plus du tout mobile et que la gencive n'a plus d'aspect inflammatoire.
--
emma

037 udu5tz - Eugenol
040 evdniu - Eugenol

Smile beach jgh0a1 - Eugenol
Céramik

19/09/2011 à 23h00

emma, je ne remet pas en doute ton laser, tu sais très bien que j'utilise aussi le lasr.

Je ne placerais pas un implant dans ce cas.

J'aime par contre obtenir un peu plus d'info et je crois que le commentaire sur les radio, est au pire une remarque/question et non une attaque sur ton tx avec laser.

Le service rendu est bon, la radio un peu moins, et un résultat à 6-12-18 mois serait plus intéressant.

As-tu des cas semblables à 1-2 ans ?

Merci


--
Céramik


Avatar ow44t3 - Eugenol
Chicot

22/09/2011 à 22h23

emma écrivait:
--------------

>
> j'ai oublié de vous dire que la dent n'est plus du tout mobile et que la gencive
> n'a plus d'aspect inflammatoire.
> --
> emma

et au microscope, je parie qu'il n'y a plus d'amibe, de globule blanc ni de spiro, bacile,....

bravo

--
;O)


pelé

03/11/2011 à 12h28

moi je peux te le prouver ,tu obtiens des résultats similaires mais sur l'ensemble de la bouche, et tu fais l'économie de l'achat d'un laser!
cordialement.