Cookie Consent byPrivacyPolicies.comde l'interet d'expliquer son état de santé au patient... - Eugenol

de l'interet d'expliquer son état de santé au patient...

Soudeur dentiste uqhaxr - Eugenol
dr-madd

01/08/2011 à 14h03


je vois cette patient de 62 ans pour la premiére fois en novembre 2010, elle me demande une rehabilitation des secteurs édentés, sont absentes 14, 15, 47,et 36 toutes les autres dents sont ultra saines, pas de tartre, un excellent controle de plaque, seul "hic" la patient à une valvulopathie qui la classe dans les patients à risque A...
je lui explique donc qu'une solution fixe est inenvisageable, mais refuse la solution mobile, ce que je peux comprendre..., je propose donc l'abstention. Mais elle insiste pour du fixe, j'ai du la voir 3 fois pour lui expliquer et lui rééxpliquer le pourquoi du comment, que je lui ferais pas de brigde, courrier et recommandation du cardio à l'appui.
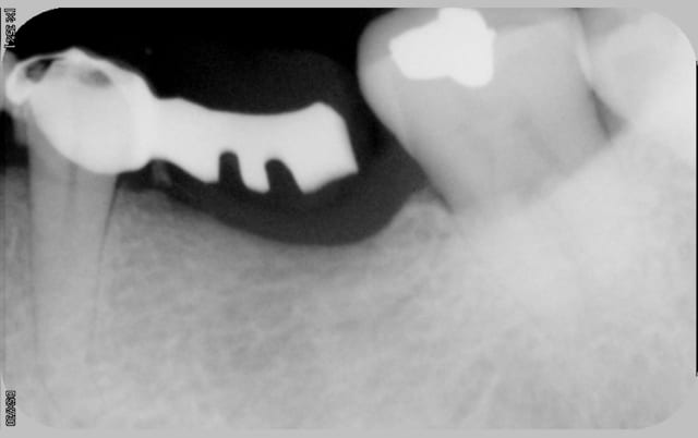
Puis le temps passe, elle reviens en urgence la semaine derniére pour une pulpite et saignement des gencicves,
et là je découvre ça...(cf radio) fait au bled il y a un mois, pour une fortune là bas en depis de tout ce qu'on s'est acharné à lui expliquer. dommage.

07224003 pdyxrs - Eugenol
07224004 fcyswh - Eugenol
07224005 nate81 - Eugenol
07224006 hdip0r - Eugenol

41467 100000418256397 4215 n ypxyho - Eugenol
starsky55

01/08/2011 à 14h40

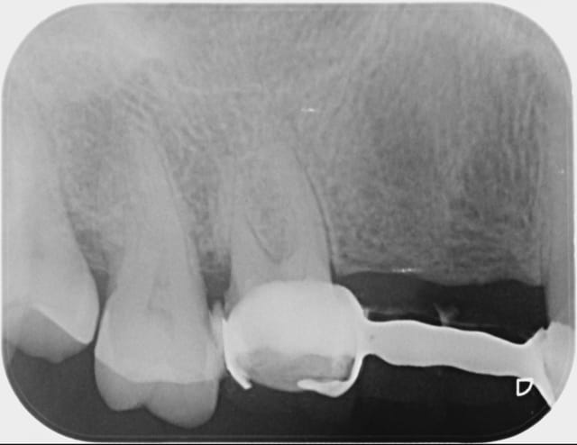
et pas d'endo....
reste a faire des extrac supplementaires et un stelitte encore plus grand que celui de nov 2010.... bravo !
j'ai eu le meme genre de demande, mais le mien s'est résigné ! ouf


king_zoulou

01/08/2011 à 15h38

Perso, ça me gonfle tellement les gens comme ça...

Sinon, j'en ai déjà démonté des merdes comme celle-là, te fais pas trop de souci, un coup de fraise dans la couronne et tu es déjà dans la dentine... enfin dans l'émail vu l'épaisseur de la "préparation".
Le seul défaut, c'est que la merde qui sert de chape (sous l'espèce de résine dégueulasse qui sert de céramique, et qui est probablement responsable de l'état de la gencive) colorie les dents en noir façon dent enduite de pétrole.


Marque a3 orange fyvhyq - Eugenol
Marc Apap

01/08/2011 à 15h56

Perso, je ne m'aviserais pas de démonter : tant pis pour le patient, car après tu vas être dans la merde pour faire autre chose qu'il ne voudra pas. Fais un trou sur la face occlusale traite les canaux, et basta.


Soudeur dentiste uqhaxr - Eugenol
dr-madd

01/08/2011 à 16h21

de toute façon là il n'y à plus rien à faire, valvulopathie à risque d'endocardite il n'y a pas de trt radiculaire qui tienne c'est l'avulsion directe (sauf eventuellement pour la 35)en cas de pathologie pulpaire. ce qui m'embete c'est le bridge 14-16 qui génère une gingivite chronique ce qui n'est pas moins dangereux au regard du risque d'endocardite.
et dire qu'il n'y avait aucun soucis avant...


Gbazylo1 fvg1vg - Eugenol
Aron

01/08/2011 à 16h28

Expliquer la même chose 3 fois, c'est déjà trop. A la deuxième fois tu aurais probablement dû la mettre dehors sans acceptation du devis de mobile.
Le fait qu'elle ose revenir te voir est à mon sens une preuve de la "spécificité psychologique" de ta patiente.

Il y a des indications, tu avais fait ton boulot.

Si elle pas contente, elle aller voir ailleurs.

Pareil que MA: traiter à travers la "couronne" et pas plus, mettre sous AB et bdb pour les saignements, extraire si saignements persistent.


Img 3657 cwjvqm - Eugenol
alapex

01/08/2011 à 16h47

"Puis le temps passe, elle reviens en urgence la semaine derniére pour une pulpite et saignement des gencicves,
et là je découvre ça...(cf radio) fait au bled il y a un mois, pour une fortune là bas en depis de tout ce qu'on s'est acharné à lui expliquer. dommage. "



Bin oui , ne t'inquiète pas , elle est très satisfaite de ce qui a été fait au bled . Le retour aux sources c'est le top . Des heures de palabres dans une arrière boutique ou sur un bout de trottoir et le travail qui se fait sans anesthésie car la femme ne ressent pas la souffrance . Là_bas ....ah les odeurs d'épices tout ça .
Bon à part ça tu trouves ça dommage...j'aurais dit autre chose mais je crois que ça passerait pas ...)))


king_zoulou

01/08/2011 à 17h28

C'est vrai qu'au vu du mépris généralisé pour notre profession, un petit "ah vous avez mal ? bien fait pour votre gueule, je vous avais prévenu !" serait mérité.
Surtout que la patiente ayant mal, elle sait très bien que si elle ose répondre, c'est la porte.
Aaaaah, ça me détendrait d'en caser un de temps en temps...


Zorglub

01/08/2011 à 21h36

Perso ce qui me gonfle, c'est que les patients gardent des problèmes paros, des granulômes et des kystes parfois alors qu'on leur a découvert des valvulopathies...

Alors, surtout pas d'implant...

Avec la précisions des exams, on a presque tous des valvulopathies et à un implanté total chez qui on trouve tt à coup une valvulopathie, vous enlevez tout le matos et retour au baveux ?


Image001 e0kg9q - Eugenol
clemsdent

02/08/2011 à 00h23

dr-madd écrivait:
-----------------
>
> je vois cette patient de 62 ans pour la premiére fois en novembre 2010, elle me

> je lui explique donc qu'une solution fixe est inenvisageable, mais refuse la
> solution mobile, ce que je peux comprendre..., je propose donc l'abstention.



Je suis d'accord avec tous ce qui a été dit. Travail pourri bien sur fait au bled.

Mais je ne comprends pas quel est la pathologie valvulaire qui contre-indique une solution fixe et qui indique une solution amovible?????

Il me semble que c'est un sujet qui est même contradictoirement discuté dans la littérature.

Si j'avais 62 ans je ne voudrais pas de prothèses amovible non plus!
je pense même personellement qu'il y a beauoucoup plus de risque de créer une bactérie-aemie avec un stellite qu'avec des prothèses fixes.


Je pense qu'il aurait été possible, dans le contexte dentaire que tu présentes, de proposer une solution fixe , au moins pour 14 et 15.
ça peut-être un bridge sur dents vivantes? ou des implants?

il y avait pas moyen de faire des soins et travaux sous couverture antibiotique?

mais bon, j'avoue que ce doit être difficile pour un dentiste de contredire, si le cardio est catégorique.
Alors que j'ai encore des cardios, qui disent au patient d'arrêter le cardegic 4jours avant l'extaction....!

bon courage pour la suite...









levm

02/08/2011 à 00h37

Tu as fait ton rôle de thérapeute en fournissant a ta patient des conseils .
En allant réaliser ces merdes au bled , elle a rompu le contrat de confiance qui vous unissait .
Vire la avec le sourire , ou il va t'arriver des emmerdes .

Maintenant tu vas avoir plus de dents a virer qu'au départ.


legars

02/08/2011 à 00h48

http://www.consensus-online.fr/IMG/article_PDF/article_a931.pdf


cagagne

02/08/2011 à 00h52

Moi à ta place j'irais bosser au bled
Je m'y prendrais moins la tête.
Tout le monde il est gentil, tout le monde il est content.
Sur 1 dent j'ti monte un bridge complet
Certains partent dans les pays de l'est pour des implants, d'autres au bled pour des bridges tataouines.
Chacun suivant son porte-feuille.
Enfin aujourdhui tu auras la paix pour 1 mois, ouf!


--
Utilisez les pouces dans l'angle en haut à droite pour voter SVP
Kikcéti kiadi quélénonol nété pas une arène
Avé César


Marque a3 orange fyvhyq - Eugenol
Marc Apap

02/08/2011 à 01h09

Tout fout l'camp ! De mon temps, le bled, c'était une référence...

Grammaire zshqir - Eugenol

Img 3657 cwjvqm - Eugenol
alapex

02/08/2011 à 01h17

ptdr...)))


Image001 e0kg9q - Eugenol
clemsdent

02/08/2011 à 10h12

legars écrivait:
----------------
> http://www.consensus-online.fr/IMG/article_PDF/article_a931.pdf


merci, ceci confirme ce que je pensais! La valvulopathie n'est pas une contre-indication à la prothèse fixe ou implantaire !


Gbazylo1 fvg1vg - Eugenol
Aron

02/08/2011 à 11h22

clemsdent écrivait:
-------------------

>
> merci, ceci confirme ce que je pensais! La valvulopathie n'est pas une
> contre-indication à la prothèse fixe ou implantaire !

Euh... pardon mais d'où sors tu que ce texte fait autorité?

C'est pas parce que tu lis un truc sur le net que c'est subitement vrai, c'est pas parce que c'est écrit "consensus" dessus que consensus il y a!

La conférence de consensus de 2002 n'a pas encore été révisée, que je sache.

Maintenant, je comprends que tu aies envie de poser des implants sur les porteurs de cardiopathies A et B, ça me démange aussi souvent, mais ne sois pas si sûr que ce texte te couvrira en cas de pépin.


Gbazylo1 fvg1vg - Eugenol
Aron

02/08/2011 à 11h22

clemsdent écrivait:
-------------------

>
> merci, ceci confirme ce que je pensais! La valvulopathie n'est pas une
> contre-indication à la prothèse fixe ou implantaire !

Euh... pardon mais d'où sors tu que ce texte fait autorité?

C'est pas parce que tu lis un truc sur le net que c'est subitement vrai, c'est pas parce que c'est écrit "consensus" dessus que consensus il y a!

La conférence de consensus de 2002 n'a pas encore été révisée, que je sache.

Maintenant, je comprends que tu aies envie de poser des implants sur les porteurs de cardiopathies A et B, ça me démange aussi souvent, mais ne sois pas si sûr que ce texte te couvrira en cas de pépin.


209209668 fh2mys - Eugenol
fredo667

02/08/2011 à 15h03

Un texte non, travailler avec un cardiologue qui sait ce que c'est qu'un implant oui.

Ca lui permet d'évaluer la situation en connaissance de cause.

Je vous rapelle qu'il y a dix ans on voyait encore des extractions totale pour les pontages.

Les cardios sont de moins en moins obtus, et les contre indications absolue se restreignes.

Tant mieux pour les patients.

Quand à nous, un de plus ou de moins va pas nous empecher de dormir


Gbazylo1 fvg1vg - Eugenol
Aron

03/08/2011 à 13h21

fredo667 écrivait:
------------------
> Un texte non, travailler avec un cardiologue qui sait ce que c'est qu'un implant
> oui.


Tout à fait d'accord.

Maintenant, les cardiologues
1. qui savent ce que c'est qu'un implant et
2. qui sont prêts à dire PAR ECRIT qu'ils sont d'accord pour valider une intervention implantaire contre-indiquée par le texte de 2002 ne sont pas légion.

Personnellement, je n'en connais pas.


Img 1392 s73srk - Eugenol
Guttaman

03/08/2011 à 13h34

La position de l'association américaine d'endodontie ainsi que celle des cardiologues américains montre clairement que l'on peut faire ces traitements sous antibioprophylaxie.
Je sais, on est en France, et ce sont les lois françaises qui font référence. Mais d'un point de vue strictement médical, ce qui est vrai aux USA, l'est aussi au Japon, au Brésil ou en Norvège. Il s'agit là d'un véritable consensus qui s'appuie sur une vaste revue de la littérature. Chacun choisit son camp (Juridique vs Medical), mais je pense quand cas de problème, il serait facile de démontrer que médicalement, il n'y a pas eu de faute.

Je vous met une copie de la recommandation de l'AAE :

***Endocarditis Prophylaxis Recommended***
Preventive antibiotics prior to a dental procedure are advised for patients with:
• Artificial heart valves • Infective endocarditis history • Certain specific, serious congenital (present from birth) heart conditions, including:
○ Unrepaired or incompletely repaired cyanotic congenital heart disease, as well as those with palliative shunts and conduits
○ Completely repaired congenital heart defect with prosthetic material or device, whether placed by surgery or by catheter intervention, during the first six months after the procedure
○ Any repaired congenital heart defect with residual defect at the site or adjacent to the site of a prosthetic patch or a prosthetic device
• Cardiac transplant that develops a problem in a heart valve

***Endocarditis Prophylaxis Not Recommended***
Patients who have taken prophylactic antibiotics routinely in the past but no longer need them include people with: • Mitral valve prolapse • Rheumatic heart disease
• Bicuspid valve disease • Calcified aortic stenosis • Congenital heart conditions, such as ventricular septal defect, atrial septal defect and hypertrophic
cardiomyopathy


Björn

03/08/2011 à 14h08

Guttaman écrivait:
------------------
Mais d'un point de vue strictement médical, ce qui est vrai aux USA, l'est aussi
> au Japon, au Brésil ou en Norvège.

Donc, ce qui est vrai en France l'est aussi aux US?

Chacun choisit son camp
> (Juridique vs Medical), mais je pense quand cas de problème, il serait facile de
> démontrer que médicalement, il n'y a pas eu de faute.

Ouais, c'est sûr, on n'a vraiment que ça à foutre.
"Je vous jure, Monsieur le Juge, aux Staaaaates, ils disent qu'on peut, lisez ça!"

Personnellement, si c'est ma mère, je lui fais l'endo (ou plutôt je te l'envoie, si tes délais de plusieurs mois sans plages d'urgence ne constituent pas une perte de chance supérieure au gain apporté par la meilleure qualité de tes traitements... ;-) ).

Si c'est un patient lambda, j'avulse sans états d'âme.


Gbazylo1 fvg1vg - Eugenol
Aron

03/08/2011 à 19h43

De toutes façons, ça ne dépend pas du juge (qui ne bite rien aux problèmes de dents, et n'a pas la moindre envie de biter à quoi que ce soit en dehors du Droit d'ailleurs), mais de l'expert.

Déjà, si celui ci connaît la conférence de 2002, c'est bien.
Ensuite, s'il admet qu'on puisse aussi se référer à des articles et consensus américains, c'est encore mieux.
Et des experts qui sont sensibles aux publis qu'ils ne connaissent pas, c'est le top!

Donc oui, on doit pouvoir y arriver.

Mais si ce n'est pas le cas... n'oublions pas qu'on a affaire ici à des ayants droit d'un disparu (par notre faute, puisqu'on en est là) qui veulent... des sous! Je ne crois pas qu'ils lâchent leur proie si facilement.

Moi, pour l'instant, je crois que je ne prends pas le risque, jusqu'à preuve d'un jugement inverse en France.


Img 1392 s73srk - Eugenol
Guttaman

03/08/2011 à 21h37

Aron écrivait:
--------------
> Mais si ce n'est pas le cas... n'oublions pas qu'on a affaire ici à des ayants
> droit d'un disparu (par notre faute, puisqu'on en est là) qui veulent... des
> sous! Je ne crois pas qu'ils lâchent leur proie si facilement.
>
> Moi, pour l'instant, je crois que je ne prends pas le risque, jusqu'à preuve
> d'un jugement inverse en France.


Sauf qu'il faut prouver que les bactéries sont d'origine buccale et que c'est ton traitement qui les a libéré dans la circulation sanguine et non pas un défaut d'hygiène ou le brossage des dents etc, c'est à dire tout ce qui crée généralement davantage de bactériémie qu'un traitement endo bien conduit. Même l'avulsion en provoque une plus grande. Ce qui est donc surtout embêtant, c'est de passer à côté de lésion (cf 3D vs cliché 2D) et de laisser des patients avoir une mauvaise hygiène sans leur dire qu'ils courent à la catastrophe.