Cookie Consent byPrivacyPolicies.comPerplexe, douleur étrange... - Eugenol

Perplexe, douleur étrange...

Shala77

03/08/2011 à 16h48

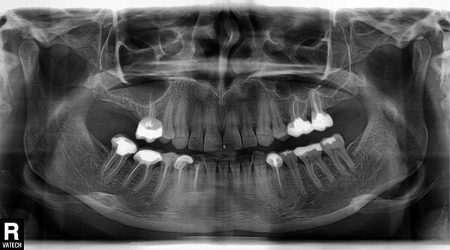
J'ai reçu ce midi une patiente en urgence, pour des douleurs provoqué (à l'eau) au niveau du secteur 3.

Test au froid normal sur 37-36-35
Negatif sur 34

Percussion normale sur 37-36-35-34.

Volumineux Amalgame sur 36, mais les limites sont correctes.
Pareil pour les restaurations sur 37-35.

A la panoramique, j'ai noté une carie sista 2-2 en distal de 37 et une parodontite apicale chronique sur 34 (asymptomatique)

Par contre, à l'eau, apparement vive douleur (étrange qd meme)

Donc en gros, rien qui explique ces douleurs.

Si vous avez une idée?

Pano y25nly - Eugenol

JUAN

03/08/2011 à 16h56

-l'apex de la 34 est louche sur la pano... est ce la superposition avec le foramen mentonnier???
-heureusement que le test est négatif sur 34 sinon le smorts ressucitent...
- je pense à une hypermémie sous le volumineux ag de 36
- sinon c'est le déchaussement de 35 qui la rend sensible.
- dernière réponse: obiwan kénobi


Nouveau image bitmap fz77zh - Eugenol
Sethef

03/08/2011 à 17h04

Dans un cas comme ça, éliminer les causes une par une, dans l'ordre de probabilité:
-d'abord la carie sur 37
-puis si ça ne passe pas, dépose de l'amalgame sur 36 et temporisation eugénate (fêlure?)
-Évidemment retraiter la 34, mais celle-là a effectivement peu de chance d'être responsable dans le cas présent.

Ensuite, si ça ne passe toujours pas, on peut commencer à se poser des questions.

Enfin, si il y a réellement une carie sur la 37 (toujours se méfier des images sur pano), ça a quand même des bonnes chances de venir de là hein...


@+ Sethef


Nouveau image bitmap fz77zh - Eugenol
Sethef

03/08/2011 à 17h18

JUAN écrivait:
--------------
> -l'apex de la 34 est louche sur la pano... est ce la superposition avec le
> foramen mentonnier???


Je peux me tromper, mais le trou mentonnier semble ici situé en regard de l'apex des 5, des 2 côtés.



@+ Sethef


Shala77

03/08/2011 à 17h37

J'ai bien cureté la carie sur la 37.
Aucune douleur lors du curetage (anesthésie tronculaire ok, avec signe de vincent), mais à peine, j'ai voulu rincer mon etching, que la patiente s'est plaint de vive douleur.

Ce qui est me parait bizarre, c'est que les tests au froid sont totalement normaux (sensation de froid, sans douleur, identique a ceux effectué sur les autres dents).

En cas d'hyperémie pulpaire sur la 36, il serait douloureux non?

Ensuite, je pense qu'il s'agit du forament mentonnier, au niveau des 5, on a la meme chose au niveau de 45.


Shala77

03/08/2011 à 17h46

Voila les "retro-alveloaires"

Radio 36 35 37 iy6agl - Eugenol

Avatar 46 aoi1yc - Eugenol
HononLulu

03/08/2011 à 18h13

Teste aussi la 33 et les dents du haut.


Shala77

03/08/2011 à 18h33

J'avais aussi testé tous le secteur 2, et la 33. RAS

(26-27 traité endodontiquement) et rien sur les autres.


ratounes

03/08/2011 à 18h52

la 37 est bien atteinte non? mais il y a aussi une atteinte paro sur 36m, teste au froid en lingual de 36 et 37, tu auras sans doute une réponse plus précise. Comment ets la gencive? inflammatoire?
La poisse ce genre de cas !


Shala77

03/08/2011 à 18h59

oui, la 37 était bien attente, j'ai bien nettoyé, et composite.


Shala77

03/08/2011 à 19h00

Gencive legerement inflammatoire, j'ai voulu detartré, mais vu "la douleur à l'eau", j'ai prescrit brossette et elugel a passer entre chaque dent.


ratounes

03/08/2011 à 19h05

au risque de déplaire à certains, sous le compo tu ne peux pas mettre d'eugénate qui calmerait bien la 37 si celle ci est responsable des douleurs à l'eau. L'hyd. de Ca soulage la pulpe aussi mais quand trop profond, sa résistance à la pression n'est pas suffisante.Ca , c'est pour la 37.
Pour la gencive autour de 36 , elle peut être responsable des douleurs à l'eau ( qui s'infiltre partout, y compris dans le sulcus et sur les collets dénudés, ouille ouille ouille !)bien les brossettes et elugel, vois le parodontax en brossage qui soulage bien les inflammations puis duraphat devrait tordre le coup à ces douleurs.
Bon courage !


mat2t

03/08/2011 à 19h46

Passe ta souflette sur les collets les un après les autres , tu repéreras vite d’où ça vient.


Nouveau image bitmap fz77zh - Eugenol
Sethef

03/08/2011 à 21h33

Shala77 écrivait:
-----------------
> Gencive legerement inflammatoire, j'ai voulu detartré, mais vu "la douleur à
> l'eau", j'ai prescrit brossette et elugel a passer entre chaque dent.

Ne te prends pas trop la tête; si ton composite va bien, 9 chances sur 10 que les sensibilités disparaissent rapidement, voire tout de suite.

Si elle revient, il sera alors bien temps d'aviser.

Malheureusement, les Spix ne sont pas toujours suffisantes pour anesthésier totalement une 7 du bas, même lorsqu'elle semble avoir bien pris. Par ailleurs, au cours du protocole op, c'est lors du rinçage de l'etching qu'une dent est la plus sensible: anesthésie insuffisante+ etching= sensibilités à l'eau, confirmant par là même que cette dent était bien responsable de ses malheurs.

Temporise,et éventuellement rappelle-là dans 1 semaine pour confirmer que tout va bien.

@+ Sethef


Fouilla h6plsy - Eugenol
fouilla

04/08/2011 à 16h05


entre temps s'il te plait apprends à centrer tes rétroalvéolaires.

les capteurs c'est super mais b....l mets un angulateur comme ça tu auras la couronne et l'apex .aucune des deux n'est "correcte" je sais ce n'est pas gentil mais tellement vrai.

au début on pensait faire réellement des "économies" d'exposition au patient en réduisant les doses mais on multiplie tellement les clichés car pas centrés etc... qu'au final c'est loin d'être le cas même avec la digue on arrive à centrer AVEC un angulateur , le doigt c'est fini depuis longtemps

--
.


Humator t9r5wy - Eugenol
humator

04/08/2011 à 17h23

une autre piste:
quand le diagnostic est imprécis ou contradictoire (exemple: douleur percussion et froid), toujours chercher la fêlure.
si ça peut t'aider...
bon, je retourne à la plage, les vagues sont trop allechantes! bossez bien les biquets!
foufouille, tu trimes encore?

--
N.Hum


Fouilla h6plsy - Eugenol
fouilla

04/08/2011 à 17h44

ratounes écrivait:
------------------

> L'hyd. de Ca soulage la pulpe aussi mais quand trop profond, sa résistance à la
> pression n'est pas suffisante.

l'apposition dentinaire ne se fait elle pas sous l'effet de l'hydroxyde de calcium ? de par son coté "irritatif" donc de la à dire que ça soulage ça c'est une connerie non ?

shalabidule nous dit que lors du rinçage de l'acide la patiente a eu mal donc lui coller son compo dans la foulée c'est pas une autre connerie ça ?

bon je dis ça mais je sais pas bien hein

bon pi pour les vacances NAN pas encore (mon chiffre est pas bon donc le patron me les a pas donné !) et c'est p't être pour ça que les conneries m'énervent ...

--
.


ratounes

04/08/2011 à 19h43

Il me semblait que le pH hautement basique conférait à l'hydroxyde de ca une action anti inflammatoire...
désolée si ce sont des inepties ; en tous cas, le manque de vacances n'autorise pas la vulgarité.


Shala77

04/08/2011 à 23h28

Coucou, vi mes radios sont pas centrés, mais j'ai l'habitude de l'argentique sous angulateur.
La je travaille avec un enorme capteur RVG (au moins 8 mm d'épaisseur, donc j'y arrive pas :x) et il y a pas d'angulateur adapté. Toutes mes radios sont totalement merdiques, je te parle meme pas pour avoir les apexs de prémo-canines maxillaires..

Sinon, pour le compo, vi j'ai pas pensé a temporiser, mais bon, il y a pas de Dycal, et je ne sais pas si un Cavit aurait été top. De plus, les dents (37 notament) réagissaient normalement au test au froid, je comprenait pas cette sensibilité à l'eau bien plus chaude que mon pulpotest.


Nouveau image bitmap fz77zh - Eugenol
Sethef

05/08/2011 à 01h12

fouilla écrivait:
-----------------

>
> shalabidule nous dit que lors du rinçage de l'acide la patiente a eu mal donc
> lui coller son compo dans la foulée c'est pas une autre connerie ça ?


Pourquoi ça? au contraire: collage de qualité = tubulis obturés = plus de sensibilité. Éventuellement attendre que l'inflammation pulpaire diminue, ce qui sera rapide si la pulpite n'était pas irréversible.


Shala77 écrivait:

>De plus, les dents (37 notament) réagissaient normalement au test au froid, je comprenait pas cette sensibilité à l'eau bien plus chaude que mon pulpotest.

Ton test au froid, tu l'as appliqué au niveau du collet j'imagine? Collet intact, bien isolé par une couche d'émail parfaitement fonctionnelle.
A l'inverse, ton eau a pu s'infiltrer au niveau de la cavité, imprégner les tissus carieux, et se trouver beaucoup plus proche de la pulpe, éventuellement légèrement hyperhémique. Imagine en plus une fois tous les obstacles supprimés, tes tubulis grand ouverts par le mordançage, sans vaso-constriction à l'apex pour limiter les mouvements liquidiens (puisque tu as fait une loco-régionale).
C'est purement mécanique, rien de biologique là-dedans.

Je ne te dis pas que c'est ça à 100%, mais ça y ressemble quand même très fort.

"Si ça ressemble à un chien, que ça aboie comme un chien, et que ça coure après sa queue comme un chien, y'a quand même de bonnes chances que ce soit un chien"

@+ Sethef


Shala77

05/08/2011 à 02h23

Merci pour vos conseils! je vous tiens au courant de
s que je revois la dame.


Fouilla h6plsy - Eugenol
fouilla

05/08/2011 à 11h50

un truc qui me sidère quand même

avant d'aller chercher des explications "intellectuelles" sur vos thérapeutiques faites preuve de bon sens et de pragmatisme

si ça fait mal on mes en oeuvre une thérapeutique non agressive en temporisation puis on réévalue

si le matériel ne va pas on apprends à le faire fonctionner on va pas revenir à l'age de pierre sous prétexte qu'on ne sait pas allumer l'interrupteur.

sur le coup du cavit je ne connais pas de cabinet sans irm ou eugénate...

le cavit c'est une vraie daube ça ne tient pas chez nous y en a pas on ne travaille qu'avec des verres ionomères ou de l'eugénate . en plus un pot de cavit faudra un jour m'expliquer comment on le tient propre sur la durée du pot (en étant sincère bien sur)



--
.


Nouveau image bitmap fz77zh - Eugenol
Sethef

05/08/2011 à 12h06

fouilla écrivait:
-----------------
> un truc qui me sidère quand même
>
> avant d'aller chercher des explications "intellectuelles" sur vos thérapeutiques
> faites preuve de bon sens et de pragmatisme
>
> si ça fait mal on mes en oeuvre une thérapeutique non agressive en temporisation
> puis on réévalue



Ca c'est bien ce que je disais: quand ça fait mal, d'abord on bouche les gros trous, ensuite les petits trous, et enfin on discute.




>
> si le matériel ne va pas on apprends à le faire fonctionner on va pas revenir à
> l'age de pierre sous prétexte qu'on ne sait pas allumer l'interrupteur.
>


C'est vrai... Mais Shala est en 5... première expérience du cab... On est chaque jour un peu meilleur.



> sur le coup du cavit je ne connais pas de cabinet sans irm ou eugénate...
>
> le cavit c'est une vraie daube ça ne tient pas


Ca je suis bien d'accord, surtout sur une dent vivante. Ca s'effrite, c'est pas étanche... mais ça se dépose facilement.


chez nous y en a pas on ne
> travaille qu'avec des verres ionomères ou de l'eugénate .

Pareil

en plus un pot de
> cavit faudra un jour m'expliquer comment on le tient propre sur la durée du pot
> (en étant sincère bien sur)


Ben on demande à l'assistante un Cavit, et il apparaît comme par magie dans le champ visuel. Si elle se sent surveillée, il est même possible qu'elle utilise une spatule propre ;-).

Pour la petite histoire, on a voulu tester le cavit en tube, pour éviter l'effet gros pot dans lequel on pioche. Toujours pas réussi à le sortir du tube.

@+ Sethef




l adan

05/08/2011 à 12h38

Shala77 écrivait:
-----------------
> oui, la 37 était bien attente, j'ai bien nettoyé, et composite.


As tu fait le test de la morsure pour détecter une felure sur une des dents ?


Nouveau image bitmap fz77zh - Eugenol
Sethef

05/08/2011 à 12h49

l adan écrivait:
----------------
> Shala77 écrivait:
> -----------------
> > oui, la 37 était bien attente, j'ai bien nettoyé, et composite.
>
>
> As tu fait le test de la morsure pour détecter une felure sur une des dents ?


D'abord boucher gros trou on t'as dit.


12