Cookie Consent byPrivacyPolicies.comBlanchiment encore besoin d'un etat des lieux - Eugenol

Blanchiment encore besoin d'un etat des lieux

Encore un marchand du temple qui vient nous rendre visite.

Pas du tout HallBoy tu vas sur Eugénol et tu fais comme Améli, tu surfes tout en etant payé.

--
Le CNO a tué Bessis, Eugénol Narik.


Smile beach jgh0a1 - Eugenol
Céramik

07/02/2012 à 05h15

hallboy écrivait:
-----------------
>
> Accessoirement on s'emm..comme un rat mort en faisaint ces seances au fauteuil

vive les jolies hygiénistes !
elles me font 2-3 Zoom par semaine, ça me prend zéro minutes de mon temps.


Et au fauteuil, ça marche plus, car avec les gouttières, on n'a pas de controle sur les patients, qui font n'importe quoi...



--
Céramik


Marque a3 orange fyvhyq - Eugenol
Marc Apap

07/02/2012 à 09h03

Impayable ce Ceramik ! Ils sont tous comme toi dans ton pays, ou bien tu es un spécimen unique ?


Avatar ow44t3 - Eugenol
Chicot

07/02/2012 à 21h07

hallboy écrivait:
-----------------
> Zero difference a qq semaines entre gouttiere et fauteuil. Moins de sensibilité,
> cout inferieur pour le patient et le dentiste. Et moins de sensibilité. Revois
> tes publications.
>
> Accessoirement on s'emm..comme un rat mort en faisaint ces seances au fauteuil

à quelque semaines peut être mais à quelques mois on voit une GROSSE différence

après soit tu vends du 'express' qui dure pas très longtemps pour faire plaisir (à qui ???), soit tu fais un boulot de pro.

Dans les bars de blanchiment ils ont choisit leur camp: faire du fric sur un traitement efficace quelques semaines (voir articles de René Serfati & Co)

--
;O)


Marque a3 orange fyvhyq - Eugenol
Marc Apap

07/02/2012 à 22h19

Tu pourrais t'expliquer un peu plus précisément ?
Veux tu dire que le blanchiment au fauteuil ne dure pas très longtemps par rapport à celui en gouttières... ou le contraire ? Je penche pour la première hypothèse.
Quant aux articles de Sarfati, as tu des références ?


Bebe 038 nf8eum - Eugenol
danteyeah

08/02/2012 à 02h30

Marc Apap écrivait:
-------------------
> Tu pourrais t'expliquer un peu plus précisément ?
> Veux tu dire que le blanchiment au fauteuil ne dure pas très longtemps par
> rapport à celui en gouttières... ou le contraire ? Je penche pour la première
> hypothèse.
> Quant aux articles de Sarfati, as tu des références ?

C'est pas Madame Sarfati......(Elie Kakou), mais René Serfati MCU-PH à Strasbourg et responsable du DU esthétique de Strasbourg, et "and Co" c'est généralement Eric Bonnet (que tu connais). Et effectivement pour obtenir un pronostic à long terme d'un éclaircissement dentaire il faut arriver à saturation (dixit les interressés) lors du traitement, d'où 2 à 3 semaines de ports de gouttière, ou un bon paquet de séances au fauteuil (c'est tout de suite plus contraignant).
Moi je garde ton idée de Très White avec contrôle hebdomadaire!!! L'éclaircissement au fauteuil c'est pour les cabinets ayant plusieurs postes et du personnel pour le réaliser, mais chut!!!! c'est interdit en France ça ;-)......Les canadiens sont peut être impayable, mais sont bien moins con que nous!


Avatar ow44t3 - Eugenol
Chicot

08/02/2012 à 15h43

Bon tout a été au dessus !


--
;O)


387658 285645131467567 178493338849414 912435 1067789649 n e7hcpr - Eugenol
Djuls

05/01/2015 à 16h16

Bonjour,

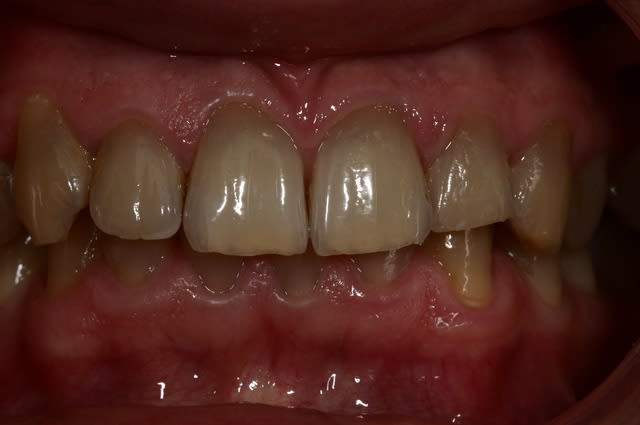
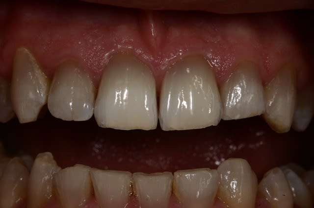
je déterre ce post car j'ai une patiente qui souhaiterait refaire un éclaircissement sur des dents touchées par des tétracyclines.
Elle en avait fait un au fauteuil chez son ancien dentiste avec soi disant du produit uniquement sur les zones a éclaircir... mouai...
J'ai aussi une lampe mais je suis plus partisan des traitements ambulatoires pour les raisons évoquées plus haut.

Est ce que je peux espérer avoir un résultat satisfaisant avec un traitement ambulatoire ?

Merci pour vos avis.

Img 0105 wmipmx - Eugenol

003 penrd2 - Eugenol
Cingulum

05/01/2015 à 20h16

Tu vas avoir un éclaircissement de la partie clair, et par contraste une accentuation de l'impression de coloration ...
ça peut plaire ou pas au patient... il faut le prévenir
La meilleur solution est la réalisation de facette ....

--
Dr Cingulum
-----Ancien interné----
----Attaché à l'apex----
http://www.clinic-all.fr/ formation par passion

Img 0050 r960vw - Eugenol
Img 0130 a1zibb - Eugenol

S2y2o1v7q53ws4r5wy6ou8czrpom - Eugenol
pxav

06/01/2015 à 10h43

Cingulum écrivait:
------------------

> La meilleur solution est la réalisation de facette ....
>
> --
> Dr Cingulum
> -----Ancien interné----
> ----Attaché à l'apex----
> http://www.clinic-all.fr/ formation par passion

Tout à fait d'accord, avec éventuellement un blanchiment avant pour attenuer un peu la teinte des racines
--
xbk
"Si tous ceux qui croient avoir raison n'avaient pas tort, la vérité ne serait pas loin" Dac Pierre


12