Cookie Consent byPrivacyPolicies.comPetit cas de pédo - Eugenol

Petit cas de pédo

Avatar hjdsnm - Eugenol
TiGabi

05/08/2011 à 15h17

Bonjour,

Azzeddine, 4 ans.

20/06/11 : 1ère consultation.

- RAS au niveau santé générale.

- Respiration buccale exclusive et ronfle la nuit : adressé à ORL (végétations ?).

- Aucune hygiène bucco-dentaire. Beaucoup de grignotage. Boissons occasionnelles.

- Brosse à dent et dentifrice offerts. Apprentissage hygiène avec révélateur de plaque, devant le miroir, maman à coté.

- Nettoyage avec Tooth Mousse. Examen endo-buccal. Demonstration des instruments (aspiration, contre-angle...). Examen radiographique. 11 dents cariées sur 20. Fluorose légère.

- Motivation : "Votre enfant a besoin de ses dents pour manger, parler, sourire : c'est votre responsabilité. Il n'en aura pas d'autres avant 11 ans. Dans 2 ans, ses premières dents d'adulte vont sortir : si elles arrivent dans une bouche cariée, elles vont rapidement être contaminées et votre enfant deviendra un jeune adulte ayant déjà des problèmes dentaires."

- Devis pour fluorations et coiffes pédodontiques préformées (CPP).



Rant w1mnr1 - Eugenol
R11 eiruhh - Eugenol
R23 fpag7m - Eugenol

Avatar hjdsnm - Eugenol
TiGabi

05/08/2011 à 15h24

15/07/11 : secteur I.

Bonne hygiène : je félicite l'enfant et je le fais remarquer à la maman.

Prémédication sédative : Atarax sirop, 0,5 ml/kg.

53 : résine composite face vestibulaire.

54 : pulpotomie à l'IRM. Restauration au Fuji II (CVI modifié par adjonction de résine).

55 : pulpo. Moignon en CVI. "Slide" des faces proximales (réduction droite, sans congé). Faces vestibulaire/palatine non touchées : leur bombé permet un effet "bouton pression" pour la CPP dont le métal est souple.

Fluoration topique du secteur (Duraphat).

En fin de séance, l'enfant choisit un petit cadeau dans un bac "car tu as été sage".

12 ijfpyk - Eugenol
13 hnspd8 - Eugenol
14 niswlj - Eugenol
11 se47io - Eugenol

Avatar hjdsnm - Eugenol
TiGabi

05/08/2011 à 15h28

20/07/11 : secteur II.

Hygiène toujours très bonne sauf en postérieur des secteurs II/II car 75 très douloureuse. (Je ne me suis rendu compte qu'à la fin de la séance de la saleté en vestibulaire de 65: heureusement nettoyée avant scellement CPP !).

65 : Pulpo. Moignon CVI. CPP.

Fluoration.

23 qb9uiu - Eugenol
24 rcgkv0 - Eugenol
21 ytexa6 - Eugenol
22 mloic7 - Eugenol

Avatar hjdsnm - Eugenol
TiGabi

05/08/2011 à 15h34

27/07/11 : secteur III.

75 : polype pulpaire. Dent conservable mais nécessitant une pulpectomie dans un contexte difficile. Dent stratégiquement importante pour empêcher la mésialisation de 36.
Décision d'avulser, peut être à tort.

74 : Pulpo, moignon CVI, CPP.

Fluoration.

31 nfo54k - Eugenol
32 aiykgg - Eugenol
33 lrmdgs - Eugenol
34 fqrbmu - Eugenol

Avatar hjdsnm - Eugenol
TiGabi

05/08/2011 à 15h39

05/07/11 : secteur IV.

85 n'a plus de parois vestibulaire/linguale. 84 n'a plus de paroi linguale.

J'utilise un composite plutôt qu'un CVI pour une meilleure adhésion et résistance mécanique sur ces dents très délabrées. J'essaie de recréer des bombés sur les moignons.

Semaine prochaine : les antérieures.

43 hqhckb - Eugenol
41 wbavgv - Eugenol
42 pngtb6 - Eugenol
44 ejw0bf - Eugenol
45 gqzltj - Eugenol

Avatar hjdsnm - Eugenol
TiGabi

05/08/2011 à 15h42

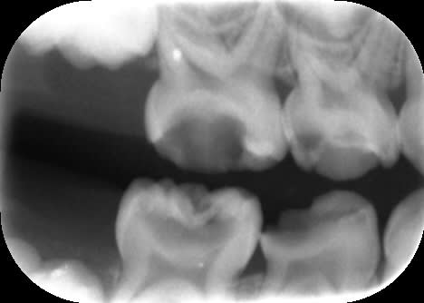
Radios de contrôle.

Pour 65, on voit sur la vue clinique une large canal palatin ovalaire. L'image radiographique correspond probablement à la fusée d'IRM dans l'entrée de ce canal. Je ne pense pas avoir perforé (j'espère !).

R12 bjaliu - Eugenol
R21 a6y8eh - Eugenol

Fouilla h6plsy - Eugenol
fouilla

05/08/2011 à 17h22

une affaire rondement mené
plan de traitement bien carré
un plaisir à voir
merci tigabi pour cet ensemble très didactique

quant à l'avulsion qui aurait pu faire mieux ?


--
.


PTL

05/08/2011 à 17h59

Tu as du courage de soigner les enfants!

Moi je peux pas, sont trop chiant!


Rorschachwhite tx6rqr - Eugenol
Candide Candida

05/08/2011 à 18h00

Bonjour Tigabi,

Merci pour le cas clinique.

Je me pose la question du devenir de ces pulpoT, quelle est ton expérience sur la nécrose après pulpoT ?

- elle n'a pas le temps d'arriver la DL involue plus vite
- elle arrive quelquefois sans réaction infectieuse
- il n'y en a jamais

J'ai souvent entendu de mauvais échos sur les pulpoT sur terrain polycariés surtout lorsque l'atteinte carieuse a atteint la pulpe (à l'inverse où lorsque c'est lors du nettoyage qu'un coup de fraise ou d'exca accroche une corne).

CC.


Img 1744 z0evts - Eugenol
dumaille

05/08/2011 à 18h15

salut TiGabit, n'as tu aucun problème à laisser les préformes métalliques de dent provisoire (moule ion) pendant plusieurs années?


--
La vie est une fête!


Avatar hjdsnm - Eugenol
TiGabi

05/08/2011 à 18h56

dumaille écrivait:
------------------
> salut TiGabit, n'as tu aucun problème à laisser les préformes métalliques de
> dent provisoire (moule ion) pendant plusieurs années?

Ce ne sont pas des moules mais de vraies petites couronnes métalliques dont on adapte la forme avec une pince et des ciseaux, scellées au Ketac Cem.
Ce sont des traitements ayant une très bonne durée de vie (85% durent jusqu'à la chute physiologique).


Avatar hjdsnm - Eugenol
TiGabi

05/08/2011 à 19h02

Candide Candida écrivait:
-------------------------
> Je me pose la question du devenir de ces pulpoT, quelle est ton expérience sur
> la nécrose après pulpoT ?

C'est rare. Une pulpotomie est une thérapeutique sure avec des taux de succès de plus de 95% dans la littérature.

Il y a deux causes principales d'échec :

- La pulpe radiculaire était également infectée. On s'en aperçoit cliniquement après éviction de la pulpe camérale : les moignons pulpaires radiculaires sont soit gris et sans saignement (nécrose), soit avec un saignement très abondant qui n'est pas arrêté par compression (pulpite).

- Contamination de la pulpe radiculaire : mauvaise isolation (salive au contact de la pulpe), éviction pulpaire avec la même fraise boule ayant servi à l'éviction carieuse.

Une pulpotomie est un acte indispensable dans 80-90% des caries amélo-dentinaires sur dent temporaire.

Dans le cas ci-dessous, la 1ère photo est prise après début d’éviction carieuse : sur la 4, on voit déjà la pulpe par transparence. Les tubuli dentinaires d'une dent temporaire sont beaucoup plus larges et nombreux que sur une dent permanente. Ainsi, une carie dentinaire infecte très rapidement la pulpe camérale. Faire une restauration sans pulpotomie dans ce cas aurait probablement abouti à une nécrose à moyen terme.

P1010955 lkrpua - Eugenol
P1010959 qtf3fy - Eugenol
P1010962 ddzmfk - Eugenol
P1010966 tt9pyf - Eugenol
P1010974 bokjpr - Eugenol

Fouilla h6plsy - Eugenol
fouilla

05/08/2011 à 19h23



juste une remarque il me semble que tu clampes systématiquement sur la gencive ou c'est une impression photo ?
--
.


Bagheera tudzjy - Eugenol
bagheerra

05/08/2011 à 19h32

Chapeau bas. Tout le monde n'en ferait pas autant, et c'est toi qui a raison.

L'Atarax est-il systématique à cet âge pour ce genre de soins ?
L'enfant était-il "vierge" de toute (mauvaise) expérience chez un dentiste ?
La coopération est-elle toujours bonne avec un enfant de 4 ans ?
Quel type d'anesthésie ?


Avatar hjdsnm - Eugenol
TiGabi

05/08/2011 à 20h09

fouilla écrivait:
-----------------
> juste une remarque il me semble que tu clampes systématiquement sur la gencive
> ou c'est une impression photo ?

C'est une mauvaise habitude que j'ai pris : la ligne de plus grand contour des faces vestibulaire étant souvent juxta gingivale, j'obtiens facilement une bonne rétention en clampant en dessous.
Dans le cas présenté ici, j'ai aussi clampé très bas car délabrement juxta-gingival.


Avatar hjdsnm - Eugenol
TiGabi

05/08/2011 à 20h28

bagheerra écrivait:
-------------------
> L'Atarax est-il systématique à cet âge pour ce genre de soins ?

C'est selon le comportement en 1ère consultation : à 4 ans, dans environ 2 cas sur 3. Pour moitié par nécessité, pour moitié par confort/précaution.

> L'enfant était-il "vierge" de toute (mauvaise) expérience chez un dentiste ?

Oui : ça change tout...

> La coopération est-elle toujours bonne avec un enfant de 4 ans ?

Ça ne se passe pas bien dans les cas où l'enfant est de tempérament hyper anxieux, qu'on ne peut pas lui expliquer, lui montrer. J'ai déjà vu une petite terrorisée par le sèche-cheveux et l'aspirateur à la maison : même avec beaucoup de patience, ce sera difficile de faire quelque chose.

Pour les enfants qui ont connu de mauvais expériences de soins, si ils sont de tempérament normal, ils comprennent progressivement que tout se passe bien et se détendent au fil des séances. Il est important de commencer par une 1ère séance très simple (un secteur maxillaire, soins rapides, pas d'avulsions).

MEOPA pour 20-30% à cet age.

> Quel type d'anesthésie ?

Topique puis para-apicale, transpapillaire entre 4/5 puis intraligamentaire en vestibulaire et palatin. Adré 1/100000ème. Injection lente au SleeperOne (environ 3 min pour une carpule).


mat2t

05/08/2011 à 21h53

Ca me donne presque envie de me remettre à la pédo !!


Image odged8 - Eugenol
ploc

06/08/2011 à 01h39

:)))
c'est comme cela qu'il faut mener les ttt de pedo,histoire de ne pas degouter l'enfant,lasser les parents et d'être tant qu'à faire rentable et efficace

la prochaine fois prevoies soit une CPP avec un guide d'eruption soudé dessus,soit remets un mainteneur sur ta CPP avec une forme de guide d'eruption que tu enleveras au moment de l'arrivée de 36(la longueur de ton guide te sera donné radiologiquement)

il y a une boite de mainteneurs préformés achetable en Belgique
la ref est sur un filque j'avais fait et que l'un de nos genie en recherche va retrouver,tout comme le dessin du guide d'eruption(post de newone)
j'ai lu sur un de tes posts que tu adressais tes mainteneurs en odf: ne te prive pas de les faire,c'est niveau chimpanzé 3 mois ou blonde 50 aire et evite la perte de temps propice à une mesialisation:souvent je le mets ds la seance de l'extraction


levm

06/08/2011 à 02h20

Les photos sont faites avec la camera chinoise d'ebay ?
Quand fais tu la pulpectomie sur DT ?
Dans mes souvenirs c'était atteinte furcation en signe radiologique (difficile visible ) ou absence d'hemostase apres pulpo , quand la dent n est pas au stade R .


Photo pluton1b h9n4ea - Eugenol
pluton

06/08/2011 à 02h49

très chouette TiGabi...;-)

malgré les vacances, on dirait qu'un vent nouveau souffle sur le forum....le retour à des présentations de cas cliniques, çà fait du bien et çà change des "coups de becs" (trop souvent) habituels...;-)


Avatar hjdsnm - Eugenol
TiGabi

06/08/2011 à 12h50

ploc écrivait:
--------------
> il y a une boite de mainteneurs préformés achetable en Belgique

Je me souviens bien du cas intéressant que tu avais posté.

> j'ai lu sur un de tes posts que tu adressais tes mainteneurs en odf

Cela fait partie des actes que je veux faire prochainement. Les deux orthos à qui j'adresse font régler les mainteneurs en "utilisant une partie d'un semestre d'ortho". Est-ce normal, légal ? Les cab de pédo que j'ai visité le font en HN.


Avatar hjdsnm - Eugenol
TiGabi

06/08/2011 à 12h54

levm écrivait:
--------------
> Les photos sont faites avec la camera chinoise d'ebay ?

Non, un bridge Panasonic DMC-FZ38.

> Quand fais tu la pulpectomie sur DT ?
> Dans mes souvenirs c'était atteinte furcation en signe radiologique (difficile
> visible ) ou absence d'hemostase apres pulpo , quand la dent n est pas au stade

Tes souvenirs sont bons. Pulpectomie en cas de nécrose ou de pulpite de la pulpe radiculaire. Acte pas toujours évident et au pronostic relativement aléatoire.


levm

06/08/2011 à 13h03

Non pas de pulpectomie en cas de nécrose mais traitement canalaire ;)


king_zoulou

06/08/2011 à 13h07

Tigabi, tu es un virtuose de la dent temporaire :)


olrik

06/08/2011 à 16h03

Bravo à toi... j'avoue détester la pédo mais je sens que je vais faire un effort grâce à toi TiGabi...


12