Cookie Consent byPrivacyPolicies.comapex très large - Eugenol

apex très large

Ariou

11/08/2011 à 17h51

Bonjour à tous,
j'aimerais vous demander conseil à propos de ce cas.
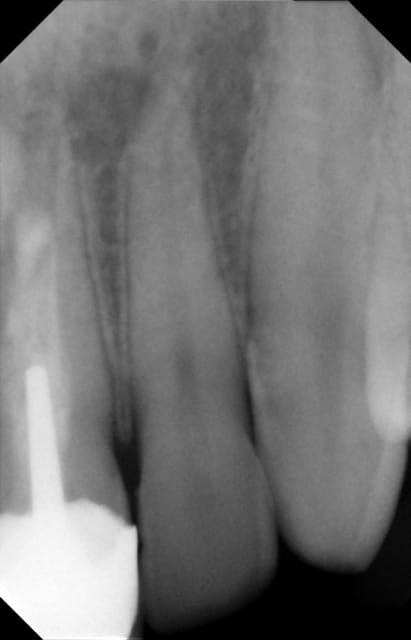
Monsieur R se présente en consultation avec pour motif douleur au niveau apical de 21 22. Adolescent il avait subi un trauma sur 21 qui avait été dévitalisée et couronnée.
Palpation: je sens une 'boule' au niveau apical entre 21 et 22.
Puis test de vitalité sur 22: positif
Radio: lésion endo et canal très large, et mal obturé.
Donc je prescris ATB
Une semaine plus tard je dépose la couronne tant bien que mal, c'était une Richmond (qui n'atait plus ajustée au niveau des limites) et je dépose l'obturation canalaire, j'irrigue bien et je mets de l'hydroxyde de calcium. En plus je ne suis pas arrivée à bien sécher car il y avait un fort suintement. Puis j'ai fait mon provisoire.
Mon problème est le suivant: le diamètre apical doit être de 100/10ème.
Je dois renouveller l'hydroxyde de calcium combien de séances ?
Dois-je faire un bouchon apical ai MTA ? ou je dois adresser à l'endodontiste pour faire une chir à rétro ?
je pensais qu'il fallait dans un premier temps obturer par voie classique, faire une couronne bien étanche et dans un deuxième temps si la lésion ne guérit pas faire une obturation à rétro.
Quel est votre avis ?
Ci joint les radios préop et après avec obturation hydroxyde et provisoire. Je n'ai pas joint la radio lime en place : la LW est 20mm
Merci d'avance pour vos conseils

Monsieur r1 geu5pq - Eugenol
Monsieur r2 knnzpj - Eugenol
Monsieur r3 wzacoh - Eugenol

Bagheera tudzjy - Eugenol
bagheerra

11/08/2011 à 18h41

Bonjour,
la radio finale est bizarre : on dirait une fusée de ciment à l'apex, voire un dépassement de gutta. Es-tu sûr de ne pas avoir projeté un morceau de l'ancienne obturation canalaire au-delà de l'apex ? Si c'est le cas, je conseille un curetage et une obturation a retro just'après ton obturation canalaire.
Sinon, le protocole classique consiste à renouveler l'CaOH assez souvent au début, surtout si ça suinte, puis de moins en moins fréquemment sur plusieurs mois jusqu'à avoir une matrice apicale, puis obturation avec la technique de ton choix (on m'a appris à privilégier le cône moulé dans ce cas).
Tu peux aussi, après avoir résolu le suintement, faire une apexification plus rapide avec un bouchon de MTA, puis obturation canalaire.

L'obturation classique directement sera difficile sans matrice apicale. A titre personnel je resterai en couronne provisoire (avec un tenon un peu mieux adapté) jusqu'à résolution du problème apical.

Préfère quand-même l'avis des pros de l'endo au mien qui n'en suis pas un !

A titre de curiosité cf radio ci-jointe (ma propre dent) : ouverture, parage et obturation A LA PATE seule en une séance. Il y avait un kyste gros comme l'ongle du pouce qui englobait 11 et 12. Le kyste a disparu et c'est stable depuis 22 ans. La nature est bonne mère quand elle veut.

11 trauma s2xoth - Eugenol

levm

11/08/2011 à 18h47

MTA sur 3 ou 4 mm puis obturation classique à la gutta .


Little shop of horrors brzqjx - Eugenol
chatondecarte

11/08/2011 à 19h01

Ou idem avec de la biodentine (un peu moins cher et qui durcie en 12 min)


Squash u44zd8 - Eugenol
steph

11/08/2011 à 20h20

Le MTA est la solution de choix, parce que l'hydroxyde va provoquer une fragilisation de tes parois dentinaires et il semble très diffficile d'obtenir un stop apical efficace.


Dent clr a8dwyo - Eugenol
Lounille

11/08/2011 à 23h40

Dans ce cas, plusieurs séance d hydroxyde jusqu'à arrêt du suintement (sur les enfants je fais trois renouvellements).
Ensuite MTA sur 3 MM. Et obturation gutta, avec technique du cône moulé et bonne condensation

pS: projection de gutta lors de la desobturation ?? Dans ce cas...plus délicat



--
Lounille


zamzam

12/08/2011 à 11h27

Comment tu fais avec la biodentine pour l'amener à ta Lt ?


Little shop of horrors brzqjx - Eugenol
chatondecarte

12/08/2011 à 12h32

zamzam écrivait:
----------------
> Comment tu fais avec la biodentine pour l'amener à ta Lt ?

Comme pour le MTA


Ariou

12/08/2011 à 19h33

Merci pour vos réponses
Très honnêtement je ne pense pas qu'il s'agisse de Gutta car je viens de regarder mes radios perop et avant l'obturation au CaOH2 je n'avais pas cette ligne blanche.
En plus quand j'ai désobturé la dent, il n'y avait pas de gutta mais uniquement des restes de ciment (ça craint pour le pauvre patient).
Mon CaOH2 est radio opaque (ultra calXS): en fait c'est allé au delà de l'apex. A la fac, mon prof m'a dit que quand ça arrivait ça n'était pas grave...
oui effectivement j'ai de la biodentine au cabinet, je m'entrainerais sur d'autres dents avant de la mettre en place sur le patient. Je trouve que ce n'est pas facile ce genre d'endo.
Je n'ai donc pas besoin de commander du MTA?
Autre question: comment coter cet acte ? Réalisez-vous des dépassements d'honoraires car les matériaux et le temps passé ne sont pas négligeables!
Merci à tous pour v


Avatar hjdsnm - Eugenol
TiGabi

12/08/2011 à 20h55

Ariou écrivait:
---------------
> Autre question: comment coter cet acte ? Réalisez-vous des dépassements
> d'honoraires car les matériaux et le temps passé ne sont pas négligeables!

"dépassement d'honoraires" n'est pas un terme juste pour les médecins et n'existe tout simplement pas pour les dentistes. Pour nous, il existe des actes qui ne sont pas pris en charge par la SS : ils sont Hors Nomenclature.
Un traitement d'apexification n'est pas codifié dans notre nomenclature : il est HN et tu es libre de fixer tes honoraires avec tact et mesure.

Calcule ton objectif de CA par heure, calcule le temps que tu va passer pour cet acte et les contrôles qui suivront : tu as le montant HN à demander.

Pour faire une apexification au MTA ou à la biodentine, il faut impérativement un MTA Gun, non ? Comment amener le matériau à l'apex autrement ?


Squash u44zd8 - Eugenol
steph

12/08/2011 à 21h25

Avec un porte-amalgame, tu foules avec un cône de gutta ou une pointe de papier, et le top insert US type pro-ultra.


nadeemmontpellier

15/08/2011 à 15h20

Patiente de 35 ans. Trauma à l`age de 8 ans. On a drainé l`abces par voie coronaire. Hydroxyde de Calcium pendant 3 semaines. Obturation technique cone roulé et à la pate.

Je précise que le MTA pour cette patiente est hors de prix, et que je ne suis pas en France. Cela marche bien depuis 2 ans, touchwood.

Io1 0 nfr4jf - Eugenol

WeCriGo

15/08/2011 à 17h20

Bonjour,

Concernant la fermeture de l'apex, seul le MTA ou la biodentine permettront de réaliser la constriction apicale artificielle dans ce cas, et absolument pas l'hydroxide de calcium.

En effet l’hydroxyde de calcium est recommandé dans un cas d'apexoGENESE chez un patient jeune avec une capacité de fermeture naturelle.
Ici il s'agit bien d'un patient adulte, donc l'hydroxide de calcium a bien un intérêt certain dans ce cas : arrêter ce suintement, mais pas créer un bouchon apical. Donc avant d'obturer tu devra bien passer par une phase de MTA (ou biodentine) apres avoir bien nettoyé le canal et après disparition (ou en tout cas évolution dans ce sens) de toute symptomatologie apicale (au sens clinique (qui devrait être rapide), car au niveau radiologique, la restitution ad integrum mettra plus de 6 mois)

Cordialement


Avatar hjdsnm - Eugenol
TiGabi

15/08/2011 à 20h40

WeCriGo écrivait:
-----------------
> Concernant la fermeture de l'apex, seul le MTA ou la biodentine permettront de
> réaliser la constriction apicale artificielle dans ce cas, et absolument pas
> l'hydroxide de calcium.

Non. Il est vrai que le CaOH induit un pont dentinaire plus mince que le MTA in vitro comme in vivo. Cependant, il n'y a pas de différence de résultat clinique pour une apexification avec ces deux matériaux :
http://www.ncbi.nlm.nih.gov/pubmed/21778090

Comme dit plus haut, le CaOH fragilise la racine dont les parois sont déjà minces. De plus, il est souvent nécessaire de renouveler la mise en place de CaOH : le traitement est plus long, le patient ne suit pas forcément.

Le MTA est donc préférable pour ce traitement, mais le CaOH peut également être utilisé.




Ariou

21/08/2011 à 11h08

Bonjour!
merci encore pour vos réponses!
en effet quand j'ai mis le CaOH2 c'atait dans le but premier de désinfecter le canal. Je suis bien consciente que cela fragilise les parois canalaires mais vu le suitement et la lésion , on est obligé de passer par cette étape avant d'obturer au MTA ou Biodentine + cône de Gutta Moulé.


Avatar hjdsnm - Eugenol
TiGabi

09/11/2011 à 17h58

Que penser d'un "dépassement" de CaOH en vue d'une apexification ? La matériau allant au delà de l'apex va t-il empêcher la fermeture de celui-ci ?

Merci.

Apex kemqns - Eugenol

Avatar transparent iqadnc - Eugenol
adhoc

09/11/2011 à 18h14

>lésion endo et canal très large, et mal obturé. <

On ne dit pas "mal obturé" mais "perte progressive d’étanchéité " (plus conf.)
Pfffff, ces jeunes, on ne leur apprend plus rien :-)))


Ariou

09/11/2011 à 20h18

Bonjour,
Ti Gabi je pense que le dépassement de CaOH2 ne crée pas de problème par la suite. En effet à la fac mes professeurs m'avaient toujours enseignés que ce n'était pas un problème car il se résorbe dans le temps.
Voilà sinon je n'ai pas raconté la suite de mon cas : j'ai obturé avec l'aide de mon confrère à la biodentine et puis j'ai réalisé mon inlay core et ma coiffe pour l'étanchéité. Il y a une disparition des signes cliniques et la lésion radio semble commencer à se résorber. j'effectue des contrôles réguliers et j'ai bien averti le patient qu'en cas de récidive ou de résorption il faudra réaliser une obtu à rétro. En tout cas j'ai essayé au mieux de rétablir une étanchéité par voie antérograde!
voilà croisons les doigts