Cookie Consent byPrivacyPolicies.combilan avant prothèse de hanche - Eugenol

bilan avant prothèse de hanche

marco17

18/08/2011 à 17h51

Bonjour,
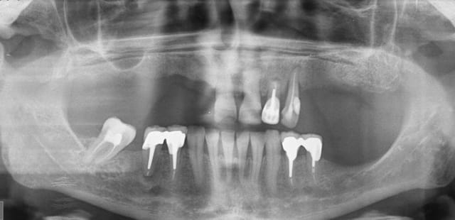
quel serait votre attitude thérapeutique quant aux 45 et 22 ?
en sachant que son opération est prévue le 01/09.
Merci d'avance

01113 x 2011 08 18 15 41 20 3 ryezye - Eugenol
01113 x 2011 08 18 15 43 36 4 oucjsj - Eugenol

Bagheera tudzjy - Eugenol
bagheerra

18/08/2011 à 18h53

marco17 écrivait:
-----------------
> Bonjour,
> quel serait votre attitude thérapeutique quant aux 45 et 22 ?
> en sachant que son opération est prévue le 01/09.
> Merci d'avance

Impossible de donner une réponse définitive sans plus de données, mais rapidement, d'après les radios :
Je laisse 22, le risque est essentiellement mécanique.
Pour 45, si asymptomatique depuis de nombreuses années, je laisse aussi.
Surveillance radiologique bien sûr, et stabilisation occlusale de 23.


marco17

18/08/2011 à 19h07

patiente diabétique,
aucune symptomatologie bucco-dentaire
sauf que le radiologue qui a fait la pano ( ordo faite par le chir ) note image apicale au niveau de 45 et de 22.
Si je les laisse en place sur le certificat je mets quoi ?


sisterofmercy

18/08/2011 à 19h55

c'est pas souvent que les radiologues notent quelque chose de pertinent. en plus je ne sais pas si ça vient du chirurgien ou du patient que tu as une pauvre quinzaine évaluer l'état bucco-dentaire et traiter, mais c'est dérisoire.

à ta place, j'aurai été beaucoup moins conservatrice et je me serais engagée sur l'extraction de 22 et 45, voire 23. quand on dit problème mécanique sur une racine, on dit risque de fêlure et d'infection. ces dents ne posent sûrement aucun problème, mais je fais passer ma qualité de sommeil avant tout.

--
je plie et ne romps pas.


marco17

18/08/2011 à 20h01

pour l'instant elle a un rdv le 26/08 pour exo sous AB de la 22 et de la 45,
j'en appelle à vos avis pour savoir si c'est la meilleure chose à faire.


Enigma

18/08/2011 à 21h05

j'ai posé en gros la meme question car j'avais des doutes sur la CAT sur ce meme forum ya qq temps,

en gros quand ya un doute ya pas de doute.
normalement c'est le chir qui t'adresse le patient pour recherche de foyer infectieux. Si yen a comme c'est le cas ici tu lui reponds par exemple :

parodontite apicale asymptomatique chronique sous 45 necessitant retraitement endo et evaluation a 3 mois de la guerison ou bien extraction et reevaluation a 1 mois de la bonne cicatrisation.
bref perso je laisse le patient et le chirurgien prendre la decision d'operer, malgré tout ou de faire l'un des 2 choix et attendre, ma reponse me couvre et ensuite on voit avec le chir orthopedique avant de faire qq chose.

De toute façon dans mon coin yen a encore qui n'envoie pas le patient voir un dentiste, c'est l'anesthesiste qui interprete la pano et roule ma poule.. ( dernier en date avant hier, a annulé le rendez vous car le commentaire du radiologue qui a fait la radio a l'hopital lui suffisait et voulait pas se deplacer au cab)

pour la 23 tt paro qd meme + occlusal, c'est plein de bacterie la dedans..

en esperant que mon modeste avis puisse t'aider.


Björn

18/08/2011 à 22h43

marco17 écrivait:
-----------------
> pour l'instant elle a un rdv le 26/08 pour exo sous AB de la 22 et de la 45,
> j'en appelle à vos avis pour savoir si c'est la meilleure chose à faire.


Non.
1 mois de cicatrisation minimum après avulsion.

"Madame, si vous voulez que je vous prenne en charge, il va falloir différer votre intervention orthopédique".

Généralement, les patients ne diffèrent pas et se font opérer avec leurs merdes en bouche.


Canin

18/08/2011 à 23h23

en l'état actuel des choses 22, 45 et 23 sont à extraire ce qui va sans doute amener à modifier le plan de traitement prothétique et envisager d'extraire d'autres dents ??

diabète => plus de rigueur, pas le temps de temporiser, surveiller...

RTE, paro, oubliez tout ça. virer les dents pourries, y'a que ça qui fonctionne.

--
Canin


Bebe 038 nf8eum - Eugenol
danteyeah

19/08/2011 à 03h57

Tout à fait d'accord avec Bjorn et Enigma: on ne te laisse pas assez de temps pour assainir la situation, ne prends aucun risques, explique simplement la situation dans ton rapport au chir. , qui si il n'est pas prétentieux diffèrera son opération ( c'est une hanche, pas un coeur ou un organe noble: ça peut patienter un peu), en parlez avec le patient (en général pour une hanche: c'est la patiente), si il est en mesure de comprendre, permet aussi de repousser l'opération; cela m'est déjà arrivé, et on y a tous gagnés!


marco17

19/08/2011 à 11h22

ok merci,
j'annule le rdv du 26/08 et je fais un courrier pour le chir,
ensuite on fera un joli complet !

Pano tykkha - Eugenol

Dent masqu e petite f0pbaj - Eugenol
dudule

19/08/2011 à 13h02

Björn écrivait:
---------------
> marco17 écrivait:
> -----------------
> > pour l'instant elle a un rdv le 26/08 pour exo sous AB de la 22 et de la 45,
> > j'en appelle à vos avis pour savoir si c'est la meilleure chose à faire.
>
>
> Non.
> 1 mois de cicatrisation minimum après avulsion.
>
> "Madame, si vous voulez que je vous prenne en charge, il va falloir différer
> votre intervention orthopédique".
>
> Généralement, les patients ne diffèrent pas et se font opérer avec leurs merdes
> en bouche.

1 mois me parait long, je penche plus pour minimum 2 semaines comme pour la prise en charge des patients avant radiothérapie.
Ceci dit dans le cas présent cela ne change rien vu le délai.
Sinon entièrement d'accord avec toi.


Björn

19/08/2011 à 19h20

Y avait ça sur le site de la SOP:

[Attitude du chirurgien dentiste face à une demande de recherche de foyers infectieux avant la pose de prothèse orthopédique
par Bruno Baillet(page 1 sur 18)

Nous sommes de plus en plus fréquemment amenés à rédiger des certificats indiquant l’existence ou non de foyers infectieux dentaires avant la pose de prothèse orthopédique(prothèses fémorales, de hanches ou de genoux).

Exemple de demande de recherche de foyer infectieux :
En effet, les risques post-opératoires orthopédiques peuvent être importants en cas de bactériémie : le descellement de prothèse est le plus craint.

Aussi plusieurs questions se posent à nous :

1. De quelles infections peut-il s’agir ?
2. Comment les détecter ?
3. Comment peut-on les traiter ?
4. Quand considère t’on qu’elles sont traitées ?
5. Avons-nous un délai pour le traitement ?
6. Y a-t-il un gradient d’importance des infections ?
7. Sommes nous objectifs dans notre décision ?
8. Comment rédiger le certificat ?
1. De quelles infections peut-il s’agir ?

Granulomes
Kystes
Péricoronarites
Lésions parodontales
Caries pénétrantes
Mortifications
Péri-implantites
Piercings
2. Comment peut-on les détecter ?

a) A l’examen clinique :

dents
muqueuses
langue
recherche d’adénopathie

b) A l’examen radiologique :

Le cliché panoramique est systématique, complété éventuellement par des clichés rétro-alvéolaires et parfois d’ un examen tomo-densitométrique.
3. Comment peut-on les traiter ?

a) Soins conservateurs

caries profondes
traitements endodontiques
reprises de traitements endodontiques

b) Chirurgie conservatrice

chirurgie péri-apicale
traitements parodontaux

c) Extractions et exérèses

des dents non conservables
des lésions tumorales bénignes ( kystes d’origine dentaire en particulier)
4. Quand considère t-on que les lésions sont traitées ?

La question est délicate, cependant il faut essayer de s’appuyer sur un protocole estimant que :

après des extractions, nous attendrons 1 mois
après une chirurgie parodontale, apicale ou un retraitement endodontique, il faudra patienter 3 mois après un contrôle radiologique...]

T'as les reco de la sfmbcb?


Dent masqu e petite f0pbaj - Eugenol
dudule

19/08/2011 à 20h44

http://www.sso.ch/doc/doc_download.cfm?uuid=956505CBD9D9424C43FC2748DD45F975&&IRACER_AUTOLINK&&

Page 3 Tableau I

Ils proposent même 10 jours.
Je pense que ce qui est vrai pour la radiothérapie est encore plus vrai pour les prothèses de hanche car le risque est principalement dû à la bactériémie transitoire.


Grueavatar nptrc9 - Eugenol
Le Choixpeau magique

19/08/2011 à 21h24

Dans tous les cas, il est sans doute trop tard pour une opération le 01/09.
Si ton patient veut se faire opérer par la suite, il y a amha plus que trois dents à extraire.


Gutt-A

20/08/2011 à 04h39

Surtout ne pas demander aux medecins, ils savent quedalle et puis on a une fierte, on va tout de même pas se rabaisser non plus. Source: Bjorn et coll.; 2011.


Bagheera tudzjy - Eugenol
bagheerra

20/08/2011 à 10h59

Gutt-A écrivait:
----------------
> Surtout ne pas demander aux medecins, ils savent quedalle et puis on a une
> fierte, on va tout de même pas se rabaisser non plus. Source: Bjorn et coll.;
> 2011.

Il y a des fiertés mal placées !


Dent masqu e petite f0pbaj - Eugenol
dudule

20/08/2011 à 13h17

bagheerra écrivait:
-------------------
> Gutt-A écrivait:
> ----------------
> > Surtout ne pas demander aux medecins, ils savent quedalle et puis on a une
> > fierte, on va tout de même pas se rabaisser non plus. Source: Bjorn et coll.;
> > 2011.
>
> Il y a des fiertés mal placées !

Oui moi aussi je leur demande souvent combien de temps ils pensent qu'il faut attendre après une avulsion et puis j'en profite pour leur demander la météo pour les 5 jours à venir... ça peut toujours servir.

Si vous voulez connaître le niveau de connaissance de votre confrère (qui n'en ai pas un d'ailleurs) médecin, demander lui quels sont pour lui les critères qui orientent vers un anesthésique local à base amino amide ou amino ester...
Les MG font très régulièrement des anesthésies locales pour faire des sutures ou de la petite chirurgie et devraient pouvoir vous répondre sans aucun problème.


 mg 0207 xwjxcl - Eugenol
Tillc

22/08/2011 à 19h18

Plus vous demandez aux medecins des choses sur votre job plus vous passerez pour des cons ! Vous me faites pitié .
Serieux c'est qui les professionnels ? J'ai fait annuler des chir orthopediques , des greffes de valves, fait retirer transitoirement un patient d'une liste d'attente de greffe pour une bouche pourrie. Si on vous demande votre aval c'est que c'est vous le patron !
Tu crois franchement que ton correspondant orthopediste va risquer une putin d'osteolmyelite pour ne pas attendre 6 mois ? Bein non ! Y'a que les dentistes pour poser des prothèses sur des organes infectés .


Voila un courrier d’échange entre un cardio et un dentiste, qu'un patient ma montré . Si ca c'est pas la honte internationale :


Cher confrère cardiologue,
puis je poser des implants a Mme trucmuch qui présente de l'HTA traitée depuis 15 ans .

Réponse => Cher Dr gogole
je peux tout a fait vous renseigner sur l'etat cardiovasculaire de notre patient . Mais ne connaissant pas les tenants et aboutissants de VOTRE metier je ne puis me substituer a vous . Auquel cas j'aurais posé moi meme ces implants .
En esperant que vous validiez rapidement votre diplome . Cordialement Dr Cardiologue.



Canin

23/08/2011 à 09h19

Tillc écrivait:
---------------
> Plus vous demandez aux medecins des choses sur votre job plus vous passerez pour
> des cons ! Vous me faites pitié .
> Serieux c'est qui les professionnels ? J'ai fait annuler des chir orthopediques
> , des greffes de valves, fait retirer transitoirement un patient d'une liste
> d'attente de greffe pour une bouche pourrie. Si on vous demande votre aval c'est
> que c'est vous le patron !
> Tu crois franchement que ton correspondant orthopediste va risquer une putin
> d'osteolmyelite pour ne pas attendre 6 mois ? Bein non ! Y'a que les dentistes
> pour poser des prothèses sur des organes infectés .
>
>
> Voila un courrier d’échange entre un cardio et un dentiste, qu'un patient ma
> montré . Si ca c'est pas la honte internationale :
>
>
> Cher confrère cardiologue,
> puis je poser des implants a Mme trucmuch qui présente de l'HTA traitée depuis
> 15 ans .
>
> Réponse => Cher Dr gogole
> je peux tout a fait vous renseigner sur l'etat cardiovasculaire de notre patient
> . Mais ne connaissant pas les tenants et aboutissants de VOTRE metier je ne puis
> me substituer a vous . Auquel cas j'aurais posé moi meme ces implants .
> En esperant que vous validiez rapidement votre diplome . Cordialement Dr
> Cardiologue.
>
>

c'est clair ça craint

--
Canin


Grueavatar nptrc9 - Eugenol
Le Choixpeau magique

23/08/2011 à 14h37

Tillc écrivait:
---------------
> Réponse => Cher Dr gogole
> je peux tout a fait vous renseigner sur l'etat cardiovasculaire de notre patient
> . Mais ne connaissant pas les tenants et aboutissants de VOTRE metier je ne puis
> me substituer a vous . Auquel cas j'aurais posé moi meme ces implants .
> En esperant que vous validiez rapidement votre diplome . Cordialement Dr
> Cardiologue.


Si ce cardio existe vraiment, il est à ajouter dans nos carnets d'adresse, car en général c'est plutôt l'inverse:

- cher Cardio, devant réaliser XXX sur M Patient, pourriez vous m'indiquer les pathologies précises de ce patient ainsi que la liste de ses prescriptions médicamenteuses ?

Réponse très très très courante (et qu'on ne me dise pas que je délire)

- cher Dentiste, sur ce patient la réalisation de XXX est déconseillée
(et aucune réponse aux questions posées)

autre version:

- cher Cardio, devant réaliser XXX sur M Patient, acte comme vous le savez contre indiqué chez les patients à haut risque d'endocardite, pourriez vous m'indiquer l'état précis de ce patient qui me dit avoir un "problème de valve" sans plus de précision, et m'indiquer si il est à haut risque d'endocardite.

réponse:

- cher Dentiste, ce patient présente une schtroumpfix de 24 avec un boulbouga de 72 sans perlimpimpite et je suis en train de surveiller la cékoidon qui m'inquiète.

(et donc, il est à risque ou pas ?)


Sans compter tous les praticiens qui ne te fournissent pas de réponse écrite et te font dire par le patient qu'il ne faut surtout pas faire d'extraction/d'implants/de prothèse, tellement le tableau clinique est grave et d'ailleurs ça va pas la tête, vraiment inconscients ces dentistes.

Une des "solutions" serait de ne pas dire quel traitement on envisage de faire, mais ça me semblerait d'un manque de respect absolu.


Gutt-A

23/08/2011 à 14h54

Tillc écrivait:
---------------
J'ai fait annuler des chir orthopédiques , des greffes de valves, fait retirer transitoirement un patient d'une liste
d'attente de greffe pour une bouche pourrie


Mamma mia...

Primo: Les infections à distance ne sont pas prouvés scientifiquement et la littérature est encore floue à ce sujet.

Deuxio: Il y a un RISQUE VITAL pour le patient de repousser des greffes de valves, et le pire de tout retirer de la liste d'attente de greffes!!!!! Alors que...relire le primo.

Tertio: A ton avis pourquoi les cardios et orthopédiste opèrent tout de même des patients avec des bouches dégueu? Réponses:
1. pour des raisons urgentes. Et j'ai pleins de nx patients qui se sont faits opérés avec des bouches dégueu en urgence et se porte merveilleusement bien.
2. Parce que....relire le primo.


Grueavatar nptrc9 - Eugenol
Le Choixpeau magique

23/08/2011 à 17h06

Gutt-A écrivait:
----------------
> Primo: Les infections à distance ne sont pas prouvés scientifiquement et la
> littérature est encore floue à ce sujet.
>
> Deuxio: Il y a un RISQUE VITAL pour le patient de repousser des greffes de
> valves, et le pire de tout retirer de la liste d'attente de greffes!!!!! Alors
> que...relire le primo.


On ne demande pas au dentiste de décider si le patient doit se faire opérer ou pas, mais de la présence ou non de foyeux infectieux ou de dents à risque de le devenir.
Donc si il y en a on dit qu'il y en a, si ce n'est pas le cas on dit qu'il n'y en a pas, et chacun reste dans son domaine de compétence.


marco17

23/08/2011 à 17h21

effectivement je me suis contenté de décrire :

je soussigné Dr ------------------- certifie avoir avoir examiné Me --------- en vue d'une intervention pour une prothèse de hanche.
Je note au niveau des dents 22 et 45 une parodontite apicale asymptomatique chronique nécessitant extraction et réévaluation à 1 mois pour s'assurer de la bonne cicatrisation.
certificat remis en mains propres.....


en aucun je lui dis si il doit opérer ou pas, je constate et après il prend la décision et ses responsabilités qui vont avec.


sol38

30/07/2012 à 00h02

Bonjour à tous,
Je relance le sujet suite à une consultation d'une patiente de 86 ans, ce vendredi, pour un bilan pré-op en vue d'une pose de prothèse totale de hanche ce jeudi 2 aout. Bien évidemment, présence de lésion apicale sur 15, dents à l'état de racine et caries : du coup j'ai eu une interne au téléphone et l'opération va être repoussée (elle se déroulera à priori au 22 aout, date qui avait été proposée à la patiente en première intention mais qui avait été avancée par le chirurgien compte tenu des souffrances de la patiente...)

En re-lisant ce post, je me dit qu'effectivement, je vais préconiser davantage un mois de cicatrisation post-extraction dans mon courrier. Ce qui devrait encore plus repousser la date d'opération mais bon ça après, c'est le chirurgien et la patiente qui font leur choix en connaissance de causes.

Je vais donc extraire toutes les racines et très probablement la 15 (compte tenu l'age et l'état d'urgence de la réalisation de la prothèse, je ne pense pas me lancer dans le retraitement endo et annoncer à la patiente qu'elle va devoir encore attendre minimum 3 mois...)
Par contre j'ai une énorme carie pénétrante sur 36, asymptomatique (en même temps la patiente est sous lamaline en permanence et n'a aucune douleur dentaire...). Du coup je suis sceptique : extraire ou laisser telle quel sous surveillance et traiter après la chirurgie ????
Votre avis et vos conseils sont les bienvenus !
Merci à tous


Canin

30/07/2012 à 00h29

Si la dent est necrosee, tu extraits.


--
Canin


12