Cookie Consent byPrivacyPolicies.comgrosse bourde - Eugenol

grosse bourde

prémol

26/08/2011 à 17h26

Guttaman : je pense comme toi pour l'aléa thérapeutique, je ne pense pas du tout que dans mon cas on puisse parler de cela.

On peux pas dire d'un gynéco qui a mal fait les points de suture suite à une césarienne (malgrès toute sa bonne foie) que c'est un aléa...c'est une faute selon moi.

C'est pourquoi on fait un métier assez difficile : oui on a de grosses responsabilités je trouve (après faut relativiser, y'a pas souvent mort d'homme), et on voit tout de suite les conséquences de nos actes. C'est aussi pour ça qu'on est "bien" payé.

Moi j'arrive chez le dentiste pour un contrôle, on me trouve une dent à couronner et on me la flingue, je pense que je n'aurais peut-être pas été aussi compréhensive que la patiente.

Par contre je suis très contente sur un point : je vais vraiment faire de gros efforts pour que ça ne se reproduis plus. J'ai ressorti ma digue tout à l'heure, et c'est vrai que c'est tout de même plus confortable pour bosser...

Je vous aurez bien mis des radios, mais j'y arrive pas... je vais persister!


NB : je poste ce message à 15h27 alors que je l'ai écrit ce matin...je vois qu'entre temps il y a eu des messages....


johnnybegood

26/08/2011 à 17h30

Mario180 écrivait:
------------------
> cyber_quenottes écrivait:
> -------------------------
> > précision : la déclaration a titre conservatoire n'entraine pas forcement de
> > "procedure"
> >
> > c'est un peu comme une "main courante"
> >
> > il y a prise de date simplement
> >
> > --
> > --------------------------
> > merci à tous ceux qui m'ont soutenu
>
> Je dirais même plus : tant que le patient ne demande pas l'intervention de
> l'assureur par écrit, celui-ci ne lève pas le début d'un sourcil, il classe
> l'affaire.

bon mario arrête de glander sur eugenol et retourne au boulot je te rappelle que t'as un cabinet a payer


prémol

26/08/2011 à 18h04

Mario180 écrivait:
------------------
>
>
> oui tu as raison, c'est de toute évidence ni la faute du patient, ni celle du
> mauvais génie.
>
> Celà dit certaines anatomies radiculaires et certaines difficultés endodontiques
> peuvent faciliter "l'erreur".
>
>
>
> Je considère cela comme un aléa thérapeutique au sens où on fait son boulot avec
> conscience professionnelle, mais que des circonstances opératoires font parfois
> que le modeste humain que nous sommes est dépassé par la difficulté technique.
> C'est rarissime, mais c'est pas au dentiste de se battre la coulpe. C'est la
> vie, on se contente d'aller de l'avant, et de passer un peu de temps pour
> comprendre ce qui s'est passé.
>
>
>
>
>
>
> RCP ou pas RCP ? Telle est la question : que pense ta patiente : a-t-elle besoin
> d'être épaulée pour surmonter cet évènement ? A-t-elle toujours confiance en toi
> ? Si oui, j'ai pour habitude de mettre en oeuvre tout ce qu'il faut en facturant
> le minimum, dans l'esprit "à circonstances exceptionnelles, moyens
> exceptionnels". Tant pis si tu perds de l'argent. Les gens apprécient, et ont le
> temps de tourner la page si au bout de x mois de surveillance on échoue.
> Faire une déclaration à titre conservatoire ne mange pas de pain. Si c'est rare,
> il faut bien profiter d'être assuré. Mais la patiente va être forcée d'aller
> faire établir un devis ailleurs si elle veut aller au bout de cette procédure,
> et si elle t'aime bien c'est dommage alors que tu peux le gérer "en interne".
> A voir...



J'ai pas d'excuses anatomiques : canaux bien droits... j'ai vraiment pas senti le coup venir.
J'ai de la chance, la patiente est très compréhensive, c'est même elle qui en voyant ma mine assez déconfite m'a dit : "vous faites pas de bile, on verra bien ce qu'il se passera." Je lui ai dit pour la perfo, je lui ai dit pour le compo. je lui ai aussi dit que pour le moment on attends, on fait une surveillance radio, et que il est probable que sa racine distale soit à extraire. Je ne sui spas vraiment rentrée dans les détails concernan l'éventuel kyste osseux qui pourrait apparaitre...
J'ai pas eu le temps d'appeler ni dentiste conseil ni RCP. Je vais commencer par le dentiste conseil...

En tout cas, MERCI de m'avoir lu et de m'avoir répondue! ça fait vraiment du bien de partager ses erreures avec d'autres confrères, on se sent pas moin coupable, mais on se sent moin seul, et c'est déjà pas mal!


Mario ycg44a - Eugenol
Mario180

26/08/2011 à 18h42

> bon mario arrête de glander sur eugenol et retourne au boulot je te rappelle que
> t'as un cabinet a payer

euh, certes... Mais c'est pas de ma faute, le proto est en vacances !

"Bonjour, je m'appelle Mario et je suis accroc au nonol..."


prémol

26/08/2011 à 18h47

Voici les radios :

Avant :


prémol

26/08/2011 à 18h53

j'y arrive pas, je retente!


J'y arrive pas


Photo pluton1b h9n4ea - Eugenol
pluton

26/08/2011 à 18h56

prémol écrivait:
----------------
> j'y arrive pas, je retente!
>
>
> J'y arrive pas

quel navigateur internet?
si c'est IE changes...passe sous firefox ou chrome...;-)


prémol

26/08/2011 à 18h57

Vous faites comment pour mettre une radio en pièce jointe...j'ai beau l'enregistrer dans mes documents, l'ordi me dit que le dossier n'est pas bon..


X ray 03 medium zvq18j - Eugenol
cyber_quenottes

26/08/2011 à 18h59

prémol écrivait:
> J'ai pas eu le temps d'appeler ni dentiste conseil ni RCP. Je vais commencer par le dentiste conseil...



qué ? dentiste conseil ?

pkoi faire ?
conseil de quoi ? de qui ?
--
--------------------------
merci à tous ceux qui m'ont soutenu


Photo pluton1b h9n4ea - Eugenol
pluton

26/08/2011 à 19h16

prémol écrivait:
----------------
> Vous faites comment pour mettre une radio en pièce jointe...j'ai beau
> l'enregistrer dans mes documents, l'ordi me dit que le dossier n'est pas bon..

tu ouvres ton image radio tu dois ensuite avoir une option d'exportation d'image dans ton logiciel de radiologie
tu fais exporter sous "mes images" en mettant bien le format de l'image en jpeg

ensuite sous nonol (avec firefox conseillé) tu clics en bas dans la fenêtre pièce jointe, là tu vas dans mes images tu clics sur la pièce jointe et "ouvrir"...là nonol importe ton image, te fais une prévisualisation et si c'est bon tu postes...;-)

P.S: n'oublies pas de modifier les noms avant de les importer...;-)


sisterofmercy

26/08/2011 à 21h39

une erreur est non intentionnelle : c'est le cas ici.
une faute est intentionnelle (du coup l'expression "faute d'orthographe" est une erreur!).

--
je plie et ne romps pas.


prémol

26/08/2011 à 21h59

Ben , le dentiste conseil, je pensais "bêtement" qu'il pourrait me conseiller...

Pour la radio, en effet, j'ai pas réussi à la mettre sous le bon format, je retente demain.

J'ai appelé ma patiente ce soir, histoire de savoir si tout va bien pour le moment : tout va bien, elle ne sens rien du tout et trouve super pro que je la rappelle.
Elle reviens dans 1 mois pour la radio, je vous donnerais des suites à l'affaire, histoire de savoir que répondre à quelqu'un qui un jour, injecterai du compo dans l'os!


Mario ycg44a - Eugenol
Mario180

26/08/2011 à 23h28

prémol écrivait:
----------------
> Ben , le dentiste conseil, je pensais "bêtement" qu'il pourrait me conseiller...
>

On n'est jamais à l'abri d'une bonne surprise. Mais je mise pas cher dessus : faudrait pas prendre le terme "conseil" au pied de la lettre.


freeman

26/08/2011 à 23h45

Hahahahaha dentiste "conseil"! Elle est géniale celle-là merci, ça m'aura fait rire un bon quart d'heure!


Grueavatar nptrc9 - Eugenol
Le Choixpeau magique

27/08/2011 à 02h40

prémol écrivait:
----------------
> Ben , le dentiste conseil, je pensais "bêtement" qu'il pourrait me conseiller...

C'est un peu comme les mecs à Guantanamo, ils sont là pour t'écouter....


X ray 03 medium zvq18j - Eugenol
cyber_quenottes

27/08/2011 à 09h48

sisterofmercy écrivait:
-----------------------
> une erreur est non intentionnelle : c'est le cas ici.
> une faute est intentionnelle



voilà on dira que t'as fait erreur

et contacter le CDC est une faute !

--
--------------------------
merci à tous ceux qui m'ont soutenu


prémol

27/08/2011 à 11h01

Bon bon, OK, le dentiste conseil ne me conseilleras pas...
Je l'appelle tout de même de temps en temps lorsque j'ai des doutes sur la nomenclature, et en général, il est de bon conseil...

Oui, c'est vrai qu'après réflexion, je vois pas trop comment il pourrait m'aider.

Au moins je vous aurai fait rire, et c'est déjà pas mal!


Allez, je vais retenter de vous mettre une radio de mon oeuvre...


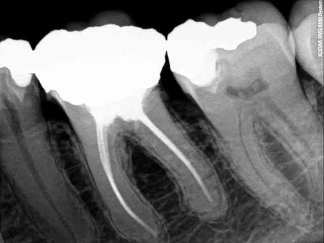
prémol

27/08/2011 à 12h58

Radio pré-bourde :

R1 umjaml - Eugenol

prémol

27/08/2011 à 12h59

Radio post-bourde :

R3 l4egli - Eugenol

Mario ycg44a - Eugenol
Mario180

27/08/2011 à 14h33

Montre-nous l'ostéointégration de ton implant composite dans 3 mois ;)



J'aime assez le fait que tu ne te laisses pas démonter, c'est une qualité qui te servira sans doute. En tout cas il vaut mieux rire de tout ça qu'en pleurer, ça ne fait avancer le schmilblick de cette pauv' dame dans les 2 cas, mais ça détend quand on est déçu de son travail.


freeman

27/08/2011 à 14h57

Ah ouais quand même! Quelqu'un connait les conséquences de particules composite dans la circulation? Il est flow et pas du tout polymérisé, et dans le noir? Je sais pas si j'attendrais beaucoup avant extraction quand même...


mat2t

27/08/2011 à 15h50

Extrait et offre lui un implant tu seras plus tranquille.


003 penrd2 - Eugenol
Cingulum

27/08/2011 à 17h36

Je vois pas comment ça pourrait bien se passer...
La perfo en elle même à environ 30% de chance de guérir avec un pronostic à long terme pas terrible...
Pour le compo, là tu viens de faire une expérience originale.
Quand on pense que ces matériaux n'ont même pas d'AMM... :)

Ce serait ma patiente, j'extrait, je nettoie, et j'offre l'implant, la couronne qui était prévu restant à sa charge...

Le risque c'est quand même une belle infection avec perte osseuse plus ou moins importante avec du compo qui va se balader on ne sait où....

Après parfois la nature est bonne mère... Mais la bonne mère tu l'as bien chargée...

Tu as de la chance, ta patiente est compréhensive. Surtout reste sure de toi, dans tes propositions, et ne fait pas trop la coupable... la patiente va sinon s’engouffrer dedans...



--
Dr Cingulum
-----Ancien interné----
----Attaché à l'apex----
www.clinic-all.fr formation par passion


Mario ycg44a - Eugenol
Mario180

27/08/2011 à 18h22

Cingulum écrivait:
------------------
> Je vois pas comment ça pourrait bien se passer...
> La perfo en elle même à environ 30% de chance de guérir avec un pronostic à long
> terme pas terrible...
> Pour le compo, là tu viens de faire une expérience originale.
> Quand on pense que ces matériaux n'ont même pas d'AMM... :)
>
> Ce serait ma patiente, j'extrait, je nettoie, et j'offre l'implant, la couronne
> qui était prévu restant à sa charge...
>
> Le risque c'est quand même une belle infection avec perte osseuse plus ou moins
> importante avec du compo qui va se balader on ne sait où....
>
> Après parfois la nature est bonne mère... Mais la bonne mère tu l'as bien
> chargée...
>
> Tu as de la chance, ta patiente est compréhensive. Surtout reste sure de toi,
> dans tes propositions, et ne fait pas trop la coupable... la patiente va sinon
> s’engouffrer dedans...
>
>
>
> --
> Dr Cingulum
> -----Ancien interné----
> ----Attaché à l'apex----


> www.clinic-all.fr formation par passion

+ 1

Mais en cas d'incompréhension, il y a la RCP pour une sortie sans embrouilles. C'est fait pour! Alors reste zen...


prémol

28/08/2011 à 11h01

Le composite est flow mais il est dual, donc il a polymérisé je pense.

Pour moi, il va de soi que je paierais les conséquences de mes actes, aucune hésitation la dessus.

J'en ai parlé autours de moi, stomato, anciens profs qui sont resté des potes... : abstention pendant 1 mois, radio, et on avise.

Mais c'est sûr, j'ai pas l'esprit serein!

Merci pour vos avis.


12