Cookie Consent byPrivacyPolicies.comOriginal - Eugenol
Logo qw3xdt - Eugenol
dds

25/08/2011 à 01h01

Il y a quelques mois, j'envoie un jeune patient de 80ans pour avulsion de la 38 cassée qui le gêne.
Le patient préfère aller voir un stomato qui le suit depuis des décennies que celui que je lui conseille.
Il revient 4 mois plus tard car sa couronne sur 13 a cassée (patient bruxomane +++) et son stomato lui a conseillé de revenir me voir.
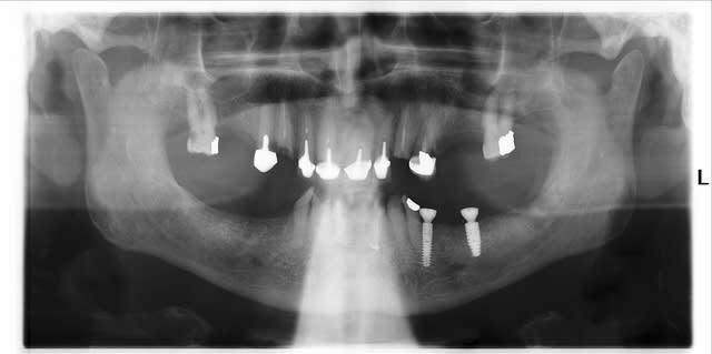
Je découvre 2 corps étrangers secteur 3.
- le stomato lui a conseillé d'en mettre pour mieux manger et va le revoir pour lui poser un bridge.
- le reste il lui dit que ce n'est pas grave, mais que sinon il peut me revoir...
- dans le secteur, il n'y pas d'antagonistes puisque rien ne va être remis et que les dents sont délabrées.
- le papi a claqué tout son pognon et n'a plus un rond pour caler ses dents avec quelque chose...

Tout va bien dans le meilleur des mondes

Gentiment je lui ai demandé de retourner voir son stomato pour la suite du traitement de sa bouche...

Pano k53umr - Eugenol

Images 1 qtgoxf - Eugenol
ciwil

25/08/2011 à 01h06

Après le All-On-Four, voici le Nothing-On-Two


41467 100000418256397 4215 n ypxyho - Eugenol
starsky55

25/08/2011 à 10h35

2 beaux stellites auraient fait l'affaire....
et pas la ruine de papi...


Amibien

25/08/2011 à 11h43

Et en plus il lui a flingué la 34

--
Petit Prince


prémol

01/09/2011 à 00h40

!!!

là je dit bravo!!!

Dingue!!!


Blason dql7mj - Eugenol
growler

01/09/2011 à 10h46

ciwil écrivait:
---------------
> Après le All-On-Four, voici le Nothing-On-Two

t'exagères, il y a quand même 2 vis de cicatrisation :)