Cookie Consent byPrivacyPolicies.comchir et biphospohonate - Eugenol

chir et biphospohonate

Image h0nqdy - Eugenol
yannou17

31/08/2011 à 17h08

bonjour a tous,
je dois réalisé des extractions multiples sur une patiente agée de 62 ans sous traitement de biphos depuis 3 ans ( une prise par semaine).
quelqu'un aurait il des infos sur le protocole a suivre.
je connais parfaitement les risques d'ostéonécrose, mais y a t il un moyen de les éviter.
merci

--


Photo pluton1b h9n4ea - Eugenol
pluton

31/08/2011 à 17h43

quel biphospho, quelle dose, quel mode d'administration?

sinon c'est extrac sous AB sutures hermétiques (et pas tout à la fois) et croiser les doigts ou plan B adresser à un stomato si tu veux éviter toutes les emmerdes...


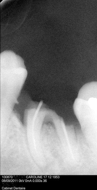
Image h0nqdy - Eugenol
yannou17

31/08/2011 à 18h54



bon alle rje vous en dis plus parcque vous n'avez pas l'air super motiver pour répondre
actomel 35 mg 1 fois par semaine depuis 2007.
voici la pano en plus .
extrac de 17/15/13/12/11/24/31/41/42/45/46/47...ça fait du monde.
atteinte paro avancée, avec forte mobilité des dents pré cités.

Chauvin joelle ohk90m - Eugenol

Image h0nqdy - Eugenol
yannou17

31/08/2011 à 18h55

par voie oral


Image h0nqdy - Eugenol
yannou17

31/08/2011 à 19h50


bon ben jme suis débrouillé et pour ceux que cela interesserais voici un lien tiré des recommandatioon de l'afssaps
http://www.actions-traitements.org/spip.php?breve4089


Mianchan

31/08/2011 à 23h48

Bon alors moi j'ai lu hier les nouvelles recommandations de l'AFFAPS (juillet 2011) pour tout ce qui ATBprophylaxie et ATBthérapie) et à mon grand étonnement j'ai cru comprendre que en cas d'extractions dentaire chez un patient sous bisphosphonates pour ostéoporose par voie orale les ATB n'étaient pas nécessaires !
Quelqu'un peut me confirmer ça (p19 des recommandations)?

http://www.afssaps.fr/Infos-de-securite/Recommandations/Prescription-des-antibiotiques-en-pratique-bucco-dentaire-Recommandations-de-bonne-pratique


G-P

01/09/2011 à 02h18

C'est un risque d'ostéochimionécrose je ne vois pas ce que les ATB pourraient faire de particulier.


sisterofmercy

01/09/2011 à 14h35

on disait anciennement ostéoradionécrose, et on dit aussi radio-ostéite nécrosante.

--
je plie et ne romps pas.


prémol

07/09/2011 à 22h52

Les antibios doivent permettre de limiter une infection locale, qui rendra la cicatrisation plus difficile, etc...


flicflac

13/09/2011 à 04h37

avec ces dosages risques inférieurs à 1%
risque d.environ 4% avec Zometa en injectionééé
antibiotique ne donne riené
demande chirurgie le plus atromatique possible avec fermeture complète si possible.
Dr Marx, chirurgien buccal de la Floride, a été le premier a faire la relation entre biphosphanate et ostéochimionécrose.
Il recommande de vérifier le taux sérique de C-télopeptide,
ce taux doit ètre idéalement supérieur à 150 picogrammeé par ml.


Images qct94b - Eugenol
themumbly

15/09/2011 à 12h18

Patiente sous LYTOS depuis 2 ans...je ne sais pas quoi faire, mais il faudra bien l'extraire cette dent ( infection )
Vos avis??

Ros uyf4ky - Eugenol

sine63

15/09/2011 à 15h02

J'ai eu un cas similaire l'année dernière : contact médecin traitant et/ ou médecin prescripteur pour évaluation de la nécessité REELLE du traitement par biphosphonates.
Si on peut, arrêt du traitement 3 mois avant l'intervention et reprise 3 mois après le geste, chir atraumatique et sutures. Evidemment il faut que les extractions ne soient pas urgentes!! Sinon stomato. Avec une prise per os le risque est plus limité qu'en IV biensur ...
N'oublions pas que ces traitements sont "à la mode" et à plusieurs reprise j'ai eu des patientes qui prenaient ces médicaments sur prescription du généraliste alors que leur gynéco par exemple estimait que c'était inutile dans leur cas. Un arrêt de 6 mois n'est donc pas impossible ou nuisible dans un certain nombre de cas.


sine63

15/09/2011 à 15h05

heu je parle biensur d'une interruption du traitement prescrit dans le cadre d'une osteéoporose par exemple et non pas en oncologie...


Images qct94b - Eugenol
themumbly

15/09/2011 à 15h55

justement c'est un traitement prescrit par l'oncologue , la patiente est maintenant en phase de surveillance apres cancer du sein
je vais donc le contacter
merci de ta réponse


Img 9301 q0yyqn - Eugenol
Art-dent

15/09/2011 à 21h23

La demie-vie (osseuse) des biphosphonates est estimée à un an au minimum, voire plusieurs années... (plus de 10 ans pour l'alendronate)
Quel est l'intérêt d'arrêter le traitement sur des périodes de quelques mois?

--


Canin

16/09/2011 à 15h04

Art-dent écrivait:
------------------
> La demie-vie (osseuse) des biphosphonates est estimée à un an au minimum, voire
> plusieurs années... (plus de 10 ans pour l'alendronate)
> Quel est l'intérêt d'arrêter le traitement sur des périodes de quelques mois?
>
> --
> 

les choses ne sont pas aussi tranchées que cela. arrêté les bisphosphonates peut se traduire au bout de quelques mois par une meilleure vitalité osseuse(apposition-résorption) et ainsi un risque de nécrose moindre.

il faut le vérifier par certains tests du métabolisme osseux, à faire sous-traiter par un rhumato par exemple.

--
Canin


Img 9301 q0yyqn - Eugenol
Art-dent

17/09/2011 à 15h08

Merci pour ta réponse Canin,
Connais-tu les tests dont tu fais référence? par curiosité

--


Canin

17/09/2011 à 15h24

Art-dent écrivait:
------------------
> Merci pour ta réponse Canin,
> Connais-tu les tests dont tu fais référence? par curiosité
>
> --
> 

le test le plus spécifique serait le "CTX" pour la mesure du "télopeptide-C"

Sans plus de détails, il s'agirait d'un produit de dégradation du collagène et traduirait ainsi la dynamique du métabolisme osseux. Les bisphosphonates entraînant un arrêt ou ralentissement de ce métabolisme.

--
Canin


Björn

17/09/2011 à 16h08

themumbly écrivait:
-------------------
> Patiente sous LYTOS depuis 2 ans...je ne sais pas quoi faire, mais il faudra
> bien l'extraire cette dent ( infection )
> Vos avis??

Retour au CHU qui la prend en charge globalement.
Tu ne vas pas prendre de risques parce que ce qui devait être fait ne l'a pas été.


exodont67

17/09/2011 à 22h29

un peu de lecture issue de l'Information Dentaire qui ne dispense pas de réaliser une recherche pubmed.com

J Periodontol. 2010 Apr;81(4):479-84.
Osseointegration of dental implants in patients undergoing bisphosphonate treatment: a literature review.
Javed F, Almas K.



J Oral Maxillofac Surg. 2008 Feb;66(2):223-30.
Outcomes of placing dental implants in patients taking oral bisphosphonates: a review of 115 cases.
Grant BT, Amenedo C, Freeman K, Kraut RA.


Smile beach jgh0a1 - Eugenol
Céramik

02/11/2011 à 03h58

Article à lire
en anglais, mais bon, très récent

--
Céramik


Séverine

02/11/2011 à 13h53

Je pense que les médecins commencent à prendre acte des problèmes que ce trt nous pose : pour la première fois il y a un mois, une patiente m'a été adressée pour un bilan avant début de trt par biphosphonates. J'étais assez étonnée car c'est la première fois !!!



--
Séverine


aterman

02/11/2011 à 16h17

On recense 70000 cas de fractures du à l osteoporose pour 9millions d'habitants par an.
Après 75 ans, cela sent souvent le sapin pour le patient car hospitalisation, dépression etc etc
D ou un traitement par bisphosphonate qui diminue de 50% ce risque de fracture.(vertebre,hanche,bras)

Selon les études, des millions de patients ont été traité au BP et la prévalence de BRONJ ( Bisphosphonate related Osteonecrosis of the jaw" est relativement faible.
Généralement c est une femme de plus de 60 ans(80%) ayant subi des traitements dentaires invasifs avec des foyers infectieux.

Risque important/
Patient traité à haute dose en IV de BP dans le cas de cancer. (Généralement le patient vient nous voir avant le traitement pour enlever tout foyer infectieux dentaire)
- Eviter: *extractions, chirurgie paro, chirurgie apicale et les implants.
Si extraction: Abprophylaxie et information importante au patient.

Si une BRONJ s est déclarée, être le plus conservatif possible, pas de débridation, informer l endocrinologue responsable du traitement, rincer 3 fois par jour avec de la chlorhexidine et prendre un traitement antibiotique uniquement en cas de douleur et orienter vers un service de chir maxfaciale ou stomato.

Risque modéré

Dans les cas d ostéoporose si le traitement par voie orale a été débuté il y a moins de 3 ans.(Bon pronostic)

Si le traitement par voie orale est supérieur à 3 ans et il y a des traitements adjscents ( diabete mal controlé, traitement immunossuppresseur, prise de stéroid.)
Essayer d arreter les BP 6 mois et reprendre le traitement 3 mois apres l intervention... Etre le plus conservateur possible.

Petit résumé du topo que j ai eu la semaine dernière en formation continue au service de chirurgie maxillo faciale.
Apparemment cela évolue en permanence et il n y a aucune vérité comme bien souvent dans notre domaine.