Cookie Consent byPrivacyPolicies.comles antibiotiques c'est pas automatique! - Eugenol

les antibiotiques c'est pas automatique!

Zoe   son arriv e whwqpj - Eugenol
emma

05/09/2011 à 19h56

ou comment gérer une urgence en 2011.

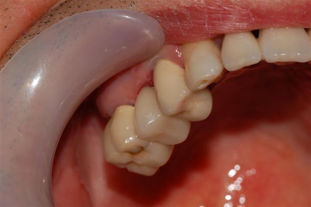
patient reçu un mardi soir en urgence, se plaint d'une voussure persistante et douleureuse en regard de la 15 couronnée en céramique depuis une dizaine d'année.

ce patient a consulté,6 jours plus tôt un autre cabinet dont le titulaire n'a fait que lui donner des AB et un rendez vous à 3 mois!!!

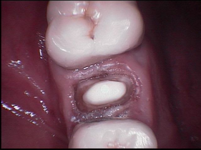
Le soir même je repère l'entrée de la fistule grâce à mes loupes, je fais sous anesthésie un débridement au laser diode sous eau oxygénée à 10 volumes.

Je donne un devis au patient et lui propose de traiter la dent en endo et en prothèse la semaine suivante, il accepte et le vendredi suivant, je le reçois afin d'executer le traitement prévu, il m'annonce que la voussure et la douleur avaient disparu spontanément le mercredi matin.

Sur le poste d'où j'écris, je ne peux pas insérer de pièces jointes va savoir pourquoi? Je joindrai donc plus tard d'un autre poste, la radio prise le mardi ainsi que les radios pré et post opératoires du vendredi.

pour ceux qui sont intéressés par le cerec, je posterai également les photos de l'inlay fibré et de la couronne cerec, le tout ayant été réalisé le jour même de l'endo.

Le cabinet a été monopolisé 30 minutes le mardi et 2H30 le vendredi entre 12H et 14H30 et le tout pour quelques 1000€ contre 22€ pour une consultation chez le confrère trop débordé pour prendre ce patient en charge rapidement et efficacement...
--
"je préfère vivre en optimiste et me tromper, que vivre en pessimiste et avoir toujours raison"

emma

168 mcajcs - Eugenol
169 qwlvzj - Eugenol
040 wttvvh - Eugenol
041 lkwwzy - Eugenol
164 pymsv4 - Eugenol
042 xwacr6 - Eugenol
047 u2c6zp - Eugenol

Gbazylo1 fvg1vg - Eugenol
Aron

05/09/2011 à 20h46

Et le patient qui débourse 1000E pour une CR moche sans remboursement, il est content longtemps, tu crois?

(à ta décharge l'endo m'a l'air belle et l'obturation par dessus a été rapide)


Cuisinier2 vnbbxx - Eugenol
jeff2

05/09/2011 à 20h48

Les couronnes tout ceram sont remboursées! faut te tenir au courant!
Et pour info, la 15 ressemble à la 12 et c'est 14 et 16 qui sont moches!!


Marque a3 orange fyvhyq - Eugenol
Marc Apap

05/09/2011 à 21h03

Peut être pas les CEREC qui ne sont pas faites comme les autres ? Mais bon, encore une question d'interprétation de la nomenclature sans doute.
Il est certain qu'entre le traitement " a minima" par un dentiste légèrement incompétent et débordé, et un traitement complet en quelques heures, le patient a bien pigé la différence.
Moralité, faut s'installer à côté de branques. Le problème, c'est que ça le fait en province, mais par chez nous, la concurrence est sévère car le niveau global se révèle assez haut.


Gbazylo1 fvg1vg - Eugenol
Aron

05/09/2011 à 21h15

(il me prend pour un américain celui là?)
Pas celles avec une pathologie apicale à la radio. Faut te tenir au courant, ça m'éviterait de répondre des évidences alors que j'ai eu une dure journée (ça se sent sur le ton de mon premier message, non?)...

Bref pour moi c'est plus que bof comme traitement, au final, pour super cher (pour le coin que je connais un peu, j'habitais à côté). Un avis que vous n'êtes pas obligés de partager...


sisterofmercy

05/09/2011 à 21h16

Au vu de la perte de substance, n'y avait t' il pas indication d'inlay-core?

--
je plie et ne romps pas.


Marque a3 orange fyvhyq - Eugenol
Marc Apap

05/09/2011 à 21h45

Bof, c'est discutable (quoique perso, je préfère assurer avec un IC dans ce cas).
Mais tiens, juste pour emmerder le monde : à force d'irriguer à l'hypochlorite, qui est fortement oxydant, n'y aurait il pas un risque de voir le collage du tenon légèrement compromis ? Emma, as tu terminé ta préparation avec une irrigation à l'EDTA pour neutraliser ce fichu CloNa qui pourrait réduire l'adhésion ? (j'adore semer des doutes)


Smile beach jgh0a1 - Eugenol
Céramik

06/09/2011 à 01h53

moi c'est le doigt, sans gant, de la photo 6 qui me dérange

;-)

le reste, bof, les couronnes 14 et 16 sont moches, et il manque un implant pour la 17...

1000 euro, je trouve cela OK, car environ 1400€ pour la même chose chez moi...

--
Céramik


Gutt-A

06/09/2011 à 02h09

Seul point positif dans ce cas, c'est la prise en charge rapide du patient.
Après, vu qu'il y a déjà eu des "bof" et "bof bof..", je dirais "mouais..", du travail de cerec quoi, une dent avec une teinte homogène et une anatomie grossière, faut pas être difficile...


WeCriGo

06/09/2011 à 15h24

Le cerec sort effectivement des couronnes aux teintes uniformes, mais il y a des parades :

-Des blocs de céramique avec dégradé de teinte
-Le maquillage (qui peux être réalisé par l'assistante si elle est un minimum formé pour), et qui donne de superbe resultat !


Oui la courbe d'apprentissage est longue, mais au final, on peut faire de tres belles couronnes au cerec !


Zoe   son arriv e whwqpj - Eugenol
emma

06/09/2011 à 16h29

Marc Apap écrivait:
-------------------
> Bof, c'est discutable (quoique perso, je préfère assurer avec un IC dans ce
> cas).
> Mais tiens, juste pour emmerder le monde : à force d'irriguer à l'hypochlorite,
> qui est fortement oxydant, n'y aurait il pas un risque de voir le collage du
> tenon légèrement compromis ? Emma, as tu terminé ta préparation avec une
> irrigation à l'EDTA pour neutraliser ce fichu CloNa qui pourrait réduire
> l'adhésion ? (j'adore semer des doutes)

En effet Marc, irrigation EDTA pendant 5 minutes puis eau oxygénée 10 volumes + laser puis séchage au laser puis obturation, ce qui risque de compromettre le collage c'est surtout l'eugénol du sealite, mais depuis 5 à 6 ans où je fais ce type de reconstitution aucun descellement.

--
"je préfère vivre en optimiste et me tromper, que vivre en pessimiste et avoir toujours raison"

emma


Grueavatar nptrc9 - Eugenol
Le Choixpeau magique

06/09/2011 à 16h45

Marc a raison, l'hypochlorite est gênante pour le collage par dégradation du collagène de la dentine, maintenant ce n'est pas parce que c'est diminué que ça ne marche pas.

Ce qui est surtout intéressant dans ce cas, c'est la démarche de tout faire de A jusqu'à Z en une seule séance, effectivement cela doit plaire à de nombreux patients.


ceel

06/09/2011 à 17h11

perso, je pense qu'il faut arréter de tout critiquer.
effectivement ce n'est pas un cas présentable par un conférencier en esthétique. mais le résultat est plus que correct.
pour reprendre les messages entre fouilla et guttaman d'un post en endo, à ce rythme là peu de gens vont oser poster leurs photos.
d'aprés vous quel est le pourcentage de praticiens en france qui font du tout céram ( en sachant ce qu'ils font)? pas tant que ça ?

emma, comment as-tu fait l'eviction gingivale ?


Toriko ucqp9i - Eugenol
Giantcoco

06/09/2011 à 17h16

le problème ici c'est la non temporisation entre la reprise du traitement endo et la finalisation de la prothèse.
je ne critique absolument pas ce qui a ete fait, mais comment savoir que le retraitement va donner satisfaction? la lésion est peut être due a un sous traitement mais aussi bien a une anatomie canalaire particulière ou d'autres causes et meme si l'image radio semble bonne je pense que 2 mois sous provisoire afin d'objectiver radiologiquement une réussite de la réobturation aurait été plus sécurisant.


ceel

06/09/2011 à 17h25

Giantcoco écrivait:
-------------------
> le problème ici c'est la non temporisation entre la reprise du traitement endo
> et la finalisation de la prothèse.
> je ne critique absolument pas ce qui a ete fait, mais comment savoir que le
> retraitement va donner satisfaction? la lésion est peut être due a un sous
> traitement mais aussi bien a une anatomie canalaire particulière ou d'autres
> causes et meme si l'image radio semble bonne je pense que 2 mois sous provisoire
> afin d'objectiver radiologiquement une réussite de la réobturation aurait été
> plus sécurisant.

tu as raison, je suis d'accord avec toi


Zoe   son arriv e whwqpj - Eugenol
emma

06/09/2011 à 17h28

Aron écrivait:
--------------
> Et le patient qui débourse 1000E pour une CR moche sans remboursement, il est
> content longtemps, tu crois?
>

trop cher 1000€ par rapport à quoi?

-le traitement de débridement et d'assainissement au laser après quoi le patient a pu enfin dormir?

-la dépose de la couronne et du tenon faux moignon, la pose de la digue sur une dent très délabrée, le retraitement canalaire assisté au laser et terminé par de la gutta condensée au tarif prohébitif de la SS?

-la pose d'un inlay fibré sous digue et la taille du moignon au tarif SS?

L'empreinte, la façon et le collage d'une couronne tout céramique au multilink automix après silanisation de l'intrados le tout remboursé par la SS et sa complémentaire?

-le tout dans un cabinet aseptisé et confortable où, malgré la configuration d'urgence on l'a pris à l'heure .
Bon d'accord ce jour là je n'ai pas déjeuné, mais je trouve que ça vaut le coup (coût) non??

Ben oui, je crois que le patient est content et en plus il a été bluffé par la technicité du laser et du cerec!!!


"je préfère vivre en optimiste et me tromper, que vivre en pessimiste et avoir toujours raison"

emma


Zoe   son arriv e whwqpj - Eugenol
emma

06/09/2011 à 17h35

Giantcoco écrivait:
-------------------
> le problème ici c'est la non temporisation entre la reprise du traitement endo
> et la finalisation de la prothèse.

Je ne prends pas ta réflexion pour une critique, ce que j'ai fait, je l'ai fait parce que j'ai 60 berges bientôt et que la seule consolation à cet âge canonique, c'est l'expérience que cela m'a apporté, j'utilise toujours cette démarche lorsque je peux assécher le canal et ce fût, en l'occurence, le cas.

Si jamais il y a un problème, il sera toujours temps de faire un résection apicale, les couronnes temp pendant plusieurs mois ne me font pas réver.

--
"je préfère vivre en optimiste et me tromper, que vivre en pessimiste et avoir toujours raison"

emma


Fouilla h6plsy - Eugenol
fouilla

06/09/2011 à 17h52

amusant de voir que l'on puisse être choqué par tes tarifs emma

1000 roros compte tenu du temps passé et de l'investissement en matériel moi je dis po cher !

qu'est ce que recherchait ce patient ?

vite et efficace : il a ce qu'il veut

j'ai les mêmes doutes sur la temporisation ceci étant si on réfléchit avant on nous enseignait (20 ans ) que sur un retraitement avec image apical on temporisait six mois pour voir avec une provisoire puis depuis 10 -15 ans on fait l'inlay core immédiatement sinon pas étanche pourquoi serait on davantage choqué par la réalisation simultanée de la couronne ?

tout au plus emma serait "ennuyée" lors d'un contrôle d'activité en fonction des radios et de leur date mais emma aime vivre dangereusement(:-))

ou le grand frisson que tu as la !
bises

ce matin j'ai mis trois petits clous j'ai pris 3000 roros pour une heure de temps passé technologie moindre : des forêts des mains des yeux un coup(coût) de crayon pour les axes et roule
bin désolé je ne rougis pas et j'ai pas 60

--
.


marco17

06/09/2011 à 18h06

fouilla écrivait:
-----------------
> amusant de voir que l'on puisse être choqué par tes tarifs emma
>
> 1000 roros compte tenu du temps passé et de l'investissement en matériel moi je
> dis po cher !


+1


Little shop of horrors brzqjx - Eugenol
chatondecarte

06/09/2011 à 18h45

Aron écrivait:
--------------
> (il me prend pour un américain celui là?)
> Pas celles avec une pathologie apicale à la radio. Faut te tenir au courant, ça
> m'éviterait de répondre des évidences alors que j'ai eu une dure journée



C'est quoi cette histoire encore??


Grueavatar nptrc9 - Eugenol
Le Choixpeau magique

06/09/2011 à 19h00

fouilla écrivait:
-----------------
> pourquoi serait on davantage
> choqué par la réalisation simultanée de la couronne ?

C'est juste un problème "commercial", comment gérer si trois mois après la dent doit être extraite (la chir apicale sur ce coup-là je ne la sens pas trop, la dent peut très bien être pétée).

> ce matin j'ai mis trois petits clous j'ai pris 3000 roros pour une heure de
> temps passé technologie moindre : des forêts des mains des yeux un coup(coût) de
> crayon pour les axes et roule
> bin désolé je ne rougis pas et j'ai pas 60

Les dentistes sont comme la population générale.
Ils sont habitués à prendre 2000 euros pour couronne implant, mais ça les choque quand une consoeur prend 1000 euros pour rte + reconst + ccc.
Ils sont habitués à prendre 600 euros pour une couronne, mais ça les choque quand un confrère prend 600 euros pour un retraitement endo (pourtant beaucoup plus complexe) ou quand un autre prend 100 euros pour un rescellement....


Fouilla h6plsy - Eugenol
fouilla

06/09/2011 à 19h25

Le Choixpeau magique écrivait:
------------------------------
>
> C'est juste un problème "commercial", comment gérer si trois mois après la dent
> doit être extraite (la chir apicale sur ce coup-là je ne la sens pas trop, la
> dent peut très bien être pétée).

j(imagine facilement qu'elle ne l'a pas joué "mon petit monsieur chez moi c'est 1000% de réussite" et qu'elle lui a expliqué les tenants et aboutissants

par ailleurs elle a un peu de bouteille l'emma et elle saura gérer t'inquiète mais il est vrai que tout le monde ne peut s'amuser de la sorte.

> > ce matin j'ai mis trois petits clous j'ai pris 3000 roros pour une heure de
> > temps passé technologie moindre : des forêts des mains des yeux un coup(coût)
> de
> > crayon pour les axes et roule
> > bin désolé je ne rougis pas et j'ai pas 60
>
> Les dentistes sont comme la population générale.
> Ils sont habitués à prendre 2000 euros pour couronne implant, mais ça les choque
> quand une consoeur prend 1000 euros pour rte + reconst + ccc.
> Ils sont habitués à prendre 600 euros pour une couronne, mais ça les choque
> quand un confrère prend 600 euros pour un retraitement endo (pourtant beaucoup
> plus complexe) ou quand un autre prend 100 euros pour un rescellement...

ceux ce la même qui au bout d'un certain temps trouve que c'est dur de faire du HN...


--
.


Gbazylo1 fvg1vg - Eugenol
Aron

06/09/2011 à 20h22

Pour fouilla et emma:

1000€, c'est donné, on devrait tous être à 1500 minimum on est d'accord, vive la France. Je ne parle pas du tout de ça.

Mais le truc c'est que le patient, s'il était allé 2 ou 3 portes à côté (juste à côté y'a des cons, mais faut faire 5 bornes de plus), il aurait eu un boulot certes plus longh, mais beaucoup plus beau et tout aussi durable pour probablement un peu moins cher. Alors je me mets à la place du patient:

emma écrivait:
--------------
> Ben oui, je crois que le patient est content et en plus il a été bluffé par la
> technicité du laser et du cerec!!!

Oui oui ok tes joujous sont supers, il n'est absolument pas prouvé (loin s'en faut) que le laser ait eu un quelconque effet par rapport à un simple débridement mais le plus important c'est que tu en sois persuadée, et donc ton patient aussi, ce qui l'aide à mettre la main à la poche au rdv suivant.

Mais si on passe au delà du clinquant des objets et de leur utilité réelle ou plutôt supposée, si le patient avait été réellement informé que pour un moindre prix il aurait pu avoir aussi bien et BEAUCOUP plus beau (c'est juste la loi, l'information, pas plus, pas moins), gageons qu'il aurait pris une autre piste.

Bref ton laser et ton Cerec sont utilisés exactement comme il faut: pour enfumer le patient et l'empêcher de lui laisser le temps de réfléchir.

Sinon, je ne t'en veux pas personnellement du tout, au contraire j'aime bien les gens passionnés, mais pour les bonnes choses ;)


sisterofmercy

06/09/2011 à 20h51

Ayons une pensée pour le confrère booké sur trois mois qui peut-être fait des pulpos et des pâtés d'amalgames à des mômes, avec un taux horaire lamentable. Et lui aussi, il rends service à des gens...

--
je plie et ne romps pas.


belette

06/09/2011 à 21h05

... et il n'a pas le temps de poster ici !

^ ... ^
Ô"""Ô
= o =


RépondreCiter