Cookie Consent byPrivacyPolicies.comavis sur le wave-one. - Eugenol

avis sur le wave-one.

spartacus

18/09/2011 à 10h33

Gutt-A écrivait:
----------------
s'il faut y aller avec
> plus de pincettes qu'avant pour pas péter, on aura rien gagné.

C'est pas pour pas "péter" qu'il faut le nettoyer, c'est pour pouvoir progresser. Vu qu'il n'a qu'un seul instrument, ça génère obligatoirement plus de débris d'un seul coup et les spires sont vite "remplies".

C'est LA grosse différence avec un mouvement de rotation continue (où on a pris l'habitude de "pomper" pour descendre l'instrument).

Ici on progresse par "piqués" progressifs de quelques mm à chaque fois avec un nettoyage de l'instrument entre chaque "piqué".

Et ça marche du tonnerre !!!


Gutt-A

18/09/2011 à 19h55

spartacus écrivait:
-------------------
C'est pas pour pas "péter" qu'il faut le nettoyer, c'est pour pouvoir progresser.

pété de rire.
Admettons que tu ne le nettoie pas, tu ne progresses pas, les spires s'enduisent de dentine ramollie, tu forces et çà pètes!
C.Q.F.D.


Utilisateur banni

20/09/2011 à 01h54

Marc Apap écrivait:
-------------------
> En première approximation et au vu de la maigre expérience que j'en ai, si tout
> est optimisé pour ne pas perdre de temps (moteur placé comme il faut,
> instruments bien disponibles), je dirais qu'on peut gagner de 10 minutes à un
> quart d'heure selon la dent. Je ne raccourcirais pas les rendez-vous qui sont
> toujours pour moi d'une heure dans ce cas, mais j'en profiterais pour faire un
> peu plus d'autres choses dans la même séance.

De l'endo par exemple?


Marque a3 orange fyvhyq - Eugenol
Marc Apap

20/09/2011 à 09h57

Tout simplement l'obturation coronaire avec ou sans tenon. J'ai déjà expérimenté : ça marche !


Rorschachwhite tx6rqr - Eugenol
Candide Candida

20/09/2011 à 11h54

Gutt-A écrivait:
----------------
> spartacus écrivait:
> -------------------
> C'est pas pour pas "péter" qu'il faut le nettoyer, c'est pour pouvoir
> progresser.
>
> pété de rire.
> Admettons que tu ne le nettoie pas, tu ne progresses pas, les spires s'enduisent
> de dentine ramollie, tu forces et çà pètes!
> C.Q.F.D.

Gniii ?

Pas vraiment non, vu que les spires sont pleines de débris, les angles d'attaques n'accrochent plus, l'instrument ne descend pas, par contre a chaque cycle il se désengage quand même, donc il fait du sur place.

SI tu restes comme un poney comme ça, oui au bout de X cycles de torsion détorsion (en imaginant que tu fais tout cela dans une courbure) tu risques une fracture en fatigue.

Donc oui, en utilisant l'instrument n'importe comment tu vas le casser.

CQFD

CC.


Dsc 3167 ff43tz - Eugenol
Xenophon

26/09/2011 à 20h04

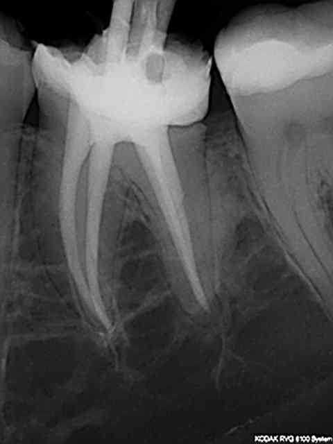
J'ai lu un peu rapidement tous les messages précédents et il me semble qu'il manque quelques notions.
La réciprocité du Wave one est différente de la réciprocité telle qu'on l'entendait voilà maintenant quelques années (= aller-retour). L'instrument fait 160 degrés dans un sens et 120 dans l'autre d'où une progression dans le canal. Donc inutile de vouloir utiliser les moteurs précédents.
Deuxième point intéressant avec le Wave one et les nouveaux concepts de "réciprocité" ( on l'aura compris, ce n'est pas une vrai réciprocité), c'est que , et là les études semblent le confirmer, le trajet initial du canal est beaucoup moins déplacé. D'où beaucoup moins de fragilité des racines dans les courbures notamment.
Enfin dernier point, un de mes amis qui l'utilise me disait samedi pouvoir faire une endo molaire en 15-20 minutes. Évidemment ce dernier point demanderait à être vérifié....Si c'est réellement le cas, je crois que le cout de l'instrument à usage unique pourrait être amorti.
Désolé si je viens répéter les posts précédents mais il m'a semblé que cela avait été oublié.


Motion

29/09/2011 à 15h19

Xenophon écrivait:
------------------
> J'ai lu un peu rapidement tous les messages précédents et il me semble qu'il
> manque quelques notions.
> La réciprocité du Wave one est différente de la réciprocité telle qu'on
> l'entendait voilà maintenant quelques années (= aller-retour). L'instrument fait
> 160 degrés dans un sens et 120 dans l'autre d'où une progression dans le canal.
> Donc inutile de vouloir utiliser les moteurs précédents.
> Deuxième point intéressant avec le Wave one et les nouveaux concepts de
> "réciprocité" ( on l'aura compris, ce n'est pas une vrai réciprocité), c'est que
> , et là les études semblent le confirmer, le trajet initial du canal est
> beaucoup moins déplacé. D'où beaucoup moins de fragilité des racines dans les
> courbures notamment.
> Enfin dernier point, un de mes amis qui l'utilise me disait samedi pouvoir faire
> une endo molaire en 15-20 minutes. Évidemment ce dernier point demanderait à
> être vérifié....Si c'est réellement le cas, je crois que le cout de l'instrument
> à usage unique pourrait être amorti.
> Désolé si je viens répéter les posts précédents mais il m'a semblé que cela
> avait été oublié.


Quoiqu'il en soit Ghassan Yared parle de "reciprocating motion" donc rendons à César ce qui est à César.Maintenant tout le monde a adopté terme .
Par contre moi qui m'intéresse à la réciprocité depuis longtemps j'aurais aimé ,comme toi,être aussi dans le secret des dieux concernant les valeurs des angulations ( 160 degrés dans un sens et 120 dans l'autre d'où une progression dans le canal)!
En fait plusieurs auteurs ,bien avant dentsply ,avaient étudié la réciprocité (de Deus etc...)avec des angulations variables : 160/90 ,60/45, ou encore 140/90 pour les coréens et enfin 162 /90 pour Ghassan Yared le pionnier.
Ces angulations étaient adaptées aux protaper F2 et F1. 160°ccw étant la limite avant la fracture potentielle.

Pour que l'instrument avance bien ce qui compte c'est le temps de pause entre les deux mouvements, plus il sera long plus l'instrument aura des difficultés à avancer .C'est le problème avec le pocket ou le siroendo sur unit de sirona (fabriqué par atr lui même racheté par dentsply avant la sortie du waveone!!).
Pour ceux qui les possèdent essayez avec le CMA 20/06 et 25/06 à 300 tours et en réduisant l'écart entre les deux mouvements,(par ex 60/40)ça marche relativement bien mais attention à l'aspiration .De plus le cma est très solide .Essayez aussi le race 25/06.

Si le nouveau moteur de Satelec a prévu un réglage de ce temps de pause tous les instruments du marché seront utilisables et cela fera avancer rapidement ce concept génial actuellement confisqué .Donc pas de précipitation pour acheter.

D'autres moteurs vont sortir..

Dernière chose j'ai lu hier dans le dernier journal de la sop un petit article de Martin qui vante les mérites du waveone jetable tout affirmant,sans la citer, qu'une étude a montré qu' instrument peut être utilisé jusqu'à 6 fois dans des canaux courbés sans fracture(en fait c'est la fameuse étude coréenne). Etonnant non ?......

Bonne journée à tous



Marque a3 orange fyvhyq - Eugenol
Marc Apap

29/09/2011 à 15h28

Merci pour cette intéressante contribution.
Pour ce qui concerne la remarque de D Martin, il a sûrement raison. Tout le monde dit qu'on peut faire une dizaine de canaux s'ils n'ont pas été trop difficiles.
Remarque dénuée de tout intérêt ou publicité déguisée pour le produit, on n'en sait rien. En tous cas, c'est un excellent argument pour en développer les ventes.
Cela ne me gêne pas pour une fois, ce système est vraiment exceptionnel. Cependant, après quelques essais, je trouve le Reciproc globalement plus intéressant que le Wave one.


Grueavatar nptrc9 - Eugenol
Le Choixpeau magique

29/09/2011 à 15h43

Marc Apap écrivait:
-------------------
> Cependant, après quelques essais, je trouve le Reciproc globalement plus
> intéressant que le Wave one.

J'aurais tendance à être d'accord, par contre hier j'ai pété mon premier reciproc, un petit bout de la pointe qui est partie je ne sais où (pas pu la retrouver ni déterminer à quel moment ça s'est produit, peut être que j'ai juste tapé le plancher avec).
Donc ça peut pas casser sauf quand ça casse...


Motion

29/09/2011 à 15h58


Tu as raison Marc,le Reciproc est plus efficace(c'est d'ailleurs celui développé par Ghassan lui-même).

Petite précision,l'étude coréenne montrait qu'aucune fracture ne s'était produite en deça de 6 utilisations sur canaux courbes de molaires ( pour un F2 en alliage classique )donc ,oui, on peut extrapoler( mais avec une certaine prudence) .

Mais vivement la concurence pour faire baisser le coùt prohibitif et améliorer le profil et l'efficacité de l'instrument car tout doit évoluer.




Marque a3 orange fyvhyq - Eugenol
Marc Apap

29/09/2011 à 16h29

Pareil que Choixp, mais c'était lors du 6 ou 7 ème canal traité avec le même reciproc.
Motion, je suis bien d'accord avec toi. Mais pour moi, la seule véritable nouveauté qui me fera sauter le pas, ce sera un contre-angle sans fil.


burnax

15/12/2011 à 16h40

Peut-on prévoir la casse d'un Reciproc, comme on peut le deviner sur un Hero, qui présente un défaut dans les spires ?


Marque a3 orange fyvhyq - Eugenol
Marc Apap

15/12/2011 à 16h55

Je ne suis pas sûr que tu aies bien compris : on ne se sert qu'une fois de cette lime, çà prend deux ou trois minutes et on la jette (3 fois plus pour une molaire). A moins d'avoir un canal particulièrement tortueux et de pousser comme un malade, je ne pense pas qu'on ait le temps de voir quoi que ce soit car l'occasion de regarder l'extrémité est assez rare en si peu de temps d'utilisation.


burnax

15/12/2011 à 17h03

Je sais , que les limes sont à usage unique, mais bon, dans les posts précédents, il a été suggéré 6.7 utilisations, évidemment à rapporter à la difficulté du canal.


Smile beach jgh0a1 - Eugenol
Céramik

15/12/2011 à 17h29

burnax écrivait:
----------------
> Je sais , que les limes sont à usage unique, mais bon, dans les posts
> précédents, il a été suggéré 6.7 utilisations, évidemment à rapporter à la
> difficulté du canal.

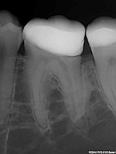
Avec le wave one, lorsque tu les stérilises, le mandrin fond, car une portion est en plastique non résistant à la chaleur...

J'ai fais un cas, molaire, ça va bien.

http://www.eugenol.com/sujets/391302-reciproc-one-file-endo?page=14#post_593083
--
Céramik


Capture d  cran 2015 03 12 12.28 - Eugenol
chicot29

16/12/2011 à 13h23

Ben ouais, mais tu le vires. Pour info how much ta pulpec ?


Smile beach jgh0a1 - Eugenol
Céramik

16/12/2011 à 13h42

chicot29 écrivait:
------------------
> Ben ouais, mais tu le vires. Pour info how much ta pulpec ?

C'est pas une pulpec, c'est une endo, une bio vous dites ?
Dent partiellement nécrosée, carie pulpaire au distal.

Nos tarifs d'endo sont bcp mieux que chez vous, j'y peux rien.
C'est au moins 5 ou 6 X vos tarifs sécu.

--
Céramik


Capture d  cran 2015 03 12 12.28 - Eugenol
chicot29

16/12/2011 à 13h55

Et pourtant moins c'est cher et plus on en fait !))) Cherches l'erreur ))))
Score perso 2011: 149 molaires, 106 prémolaires, 124 incisives

Mais c'est des soins conservateurs hein !


Grueavatar nptrc9 - Eugenol
Le Choixpeau magique

16/12/2011 à 15h03

chicot29 écrivait:
------------------
> Et pourtant moins c'est cher et plus on en fait !))) Cherches l'erreur ))))
> Score perso 2011: 149 molaires, 106 prémolaires, 124 incisives
>
> Mais c'est des soins conservateurs hein !

Bah oui, en France l'endo est gratuite donc pourquoi se priver ?
Quand aux US tu dois annoncer au patient qu'il va devoir aller voir l'endo à 800 dollars parce que tu viens de choper une corne, les patients font la gueule (et d'ailleurs le terme "root canal" est connu de l'homme de la rue), ce qui explique qu'ils fassent un peu plus d'effort pour préserver la vitalité (coiffages directs, etc...).


Capture d  cran 2015 03 12 12.28 - Eugenol
chicot29

16/12/2011 à 15h40

Le Choixpeau magique écrivait:
------------------------------
> chicot29 écrivait:
> ------------------
> > Et pourtant moins c'est cher et plus on en fait !))) Cherches l'erreur ))))
> > Score perso 2011: 149 molaires, 106 prémolaires, 124 incisives
> >
> > Mais c'est des soins conservateurs hein !
>
> Bah oui, en France l'endo est gratuite donc pourquoi se priver ?
> Quand aux US tu dois annoncer au patient qu'il va devoir aller voir l'endo à 800
> dollars parce que tu viens de choper une corne, les patients font la gueule (et
> d'ailleurs le terme "root canal" est connu de l'homme de la rue), ce qui
> explique qu'ils fassent un peu plus d'effort pour préserver la vitalité
> (coiffages directs, etc...).

Hier un patient original : quelques onlays ceram en bouche.
Il revient des etats unis ))))
Pan lingual fracturé sur 36 (l'onlay est resté en place) et vu qu'on est en france c'est ........ pulpec, puis ic et couronne métal (accroches toi pour lui fourguer un onlay non remboursé). La 16 c'est un autre patient , j'arrive pas à la virer. Elles sont traitées en finition au r40 pas forcément mieux que le r25 mais au moins l'aiguille de la seringue d'irrigation va à l'apex !)
Si les pulpecs étaient à 800 euros (et encore c'est gentil une autre patiente venant des us c'était 1000 dollars pour une pm 1 canal)les onlays seraient mieux remboursés !









R17 y9nbgk - Eugenol
R1 wnapix - Eugenol
R4 bitdxi - Eugenol

Smile beach jgh0a1 - Eugenol
Céramik

16/12/2011 à 23h51

Le Choixpeau magique écrivait:
------------------------------

>
> Bah oui, en France l'endo est gratuite donc pourquoi se priver ?

Ou pourquoi pas en abuser pour faire des couronnes ?
Sorry, tu as ouvert la porte bien large...





--
Céramik


Capture d  cran 2015 03 12 12.28 - Eugenol
chicot29

17/12/2011 à 00h16

Entre la carie moyenne qui peut être traitée en soin (amalgame ou composite) et la grosse carie qui nécessite d’être traitée en restauration indirecte, en France on a zappé les onlays en ceram au niveau des remboursements. Comment expliques tu que mon patient d'hier soigné avec des onlays aux states décide de faire une couronne ni-cr une fois revenu au pays si ce n'est que ça lui coûte moins cher une fois les remboursements sécu et mutuelle effectués ? Total des courses une couronne métal-ic sur pulpec coûte plus cher qu'un onlay mais est mieux remboursée, ailleurs c'est l'inverse. On marche sur la tête !


Smile beach jgh0a1 - Eugenol
Céramik

17/12/2011 à 02h51

chicot29 écrivait:
------------------
> Entre la carie moyenne qui peut être traitée en soin (amalgame ou composite) et
> la grosse carie qui nécessite d’être traitée en restauration indirecte, en
> France on a zappé les onlays en ceram au niveau des remboursements. Comment
> expliques tu que mon patient d'hier soigné avec des onlays aux states décide de
> faire une couronne ni-cr une fois revenu au pays si ce n'est que ça lui coûte
> moins cher une fois les remboursements sécu et mutuelle effectués ? Total des
> courses une couronne métal-ic sur pulpec coûte plus cher qu'un onlay mais est
> mieux remboursée, ailleurs c'est l'inverse. On marche sur la tête !

Couronne Ni-Cr, je rêve, ça existe en 2011, ce truc ?
Quand je pose une CCM, je me trouve vieux jeu..




--
Céramik


RépondreCiter
Capture d  cran 2015 03 12 12.28 - Eugenol
chicot29

17/12/2011 à 10h57

Excuses moi, Chrome-cobalt. Le nickel étant un peu trop lourd a été interdit il me semble. ))


Pierre2 tep0nh - Eugenol
endomontreal

17/12/2011 à 19h24

Les endo molaires réussies en 15 à 20 minutes ça existe, mais cette vitesse d’exécution de l’acte est beaucoup plus dû à la facilité du cas clinique (canaux larges et droits avec une belle constriction apicale) qu’au type de système utilisé en endodontie.
À mon avis l’industrie dentaire a compris (en lisant, entre autres, les commentaires sur des forums) que ce que le dentiste veut en général, c’est une sorte de recette universelle à moindre coût de revient pour faire une endo rapidement avec un résultat potable. De là surgit une profusion de systèmes qui vous promettent ce que l’on veut entendre : le tour de main, eh bien, ça s’achète ! Épargnez-vous donc l’effort de le développer ! Il vous suffit d’y mettre le prix et l’on vous fournira un système qui le maîtrisera à votre place.
Au risque de froisser certains confrères (à nouveau), l’habit n’a jamais fait et ne fera jamais le moine.