Cookie Consent byPrivacyPolicies.comAvis sur le Vertise Flow - Eugenol

Avis sur le Vertise Flow

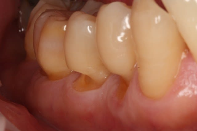
Smile beach jgh0a1 - Eugenol
Céramik

02/01/2012 à 23h45

Je fais un peu de ménage dans mes photo...
Pour ce cas, 2 questions :

1-Indication pour le Vertise flow ?

2-Éthiologie de ces défauts ?

PS , photo lors de l'examen en décembre, pas de tx fait

--
Céramik

Img 8326 2  desktop resolution  ac3efq - Eugenol

flicflac

03/01/2012 à 04h23

Étiologie, coup de "h" (Éthiologie)
Il nous manque de l'information occlusion dents antagonistes...
abfraction=occlusion

indication pour une greffe conjonctive lol


maz

03/01/2012 à 09h13

erosion (il me semble qu'on retrouve sur les pointes des cuspides de la molaire des érosions en creux aussi)
et abrasion (brossage très probablement)
et usure due au frottement des dents sur face occlusale

abfraction, théorie de plus en plus contredite par des papiers sérieux aujourd'hui


Smile beach jgh0a1 - Eugenol
Céramik

03/01/2012 à 16h05

maz écrivait:
-------------
> erosion (il me semble qu'on retrouve sur les pointes des cuspides de la molaire
> des érosions en creux aussi)
> et abrasion (brossage très probablement)
> et usure due au frottement des dents sur face occlusale
>
> abfraction, théorie de plus en plus contredite par des papiers sérieux
> aujourd'hui


Tu peux me dire comment brosser de façon sélective les prémolaires, surtout la 2e, sans trop abimer la gencive ?

Alors, personne ne place du Vertise Flow la dessus ?


--
Céramik


Bebe 038 nf8eum - Eugenol
danteyeah

03/01/2012 à 16h17

Céramik écrivait:
-----------------
> Je fais un peu de ménage dans mes photo...
> Pour ce cas, 2 questions :
>
> 1-Indication pour le Vertise flow ?

Si on tient à mettre un composite, c'est sous digue ou rien, donc Vertise flow ou autre chose.....tant que ça colle.
>
> 2-Éthiologie de ces défauts ?

Serait-il possible qu'il y ait une origine iatrogène (fraisage un peu zélé d'un prat. désirant augmenter la surface de collage, y en a, surtout chez les réfractaire au composite) ?
Sinon: occlusion, bruxisme, brossage horizontal à la débroussialleuse, gerboulade et bouffage d'acide, enfin le topo habituel quoi!

Comme Maz, on aimerai bien voir la situation clinique dans son ensemble.
>
> PS , photo lors de l'examen en décembre, pas de tx fait
>
> --
> Céramik


Smile beach jgh0a1 - Eugenol
Céramik

03/01/2012 à 17h55

danteyeah écrivait:
-------------------
>> Si on tient à mettre un composite, c'est sous digue ou rien


Ben c'est les rares cas où je ne place pas souvent la digue...
;-)


> > 2-Éthiologie de ces défauts ?
>
> Serait-il possible qu'il y ait une origine iatrogène (fraisage un peu zélé d'un
> prat. désirant augmenter la surface de collage, y en a, surtout chez les
> réfractaire au composite) ?


Le patient n'a jamais eu de compo placé sur les racines (selon lui...)



> Sinon: occlusion, bruxisme,

Abfraction, je suis en accord avec cette "théorie"


brossage horizontal à la débroussialleuse,
> gerboulade et bouffage d'acide, enfin le topo habituel quoi!

mais ce topo devrait affecté toutes les dents...

> Comme Maz, on aimerai bien voir la situation clinique dans son ensemble.

Sorry, pas d'autre photo, mais je confirme, bruxisme et pour l'instant le patient ne semble pas prêt à faire des traitements...ça ne le gêne pas...encore...


--
Céramik


Grueavatar nptrc9 - Eugenol
Le Choixpeau magique

03/01/2012 à 18h12

Céramik, c'est vrai que la théorie occlusale est séduisante, mais en même temps on retrouve aussi ces lésions chez des patients en béance de 6 à 6 !


Ico v for vendetta08 jzhpep - Eugenol
Arnaud Go

03/01/2012 à 18h49

Moi j'ai besoin d'un cours !
Comment vous placez la digue autour ? Je n'y arrive pas.

Ou alors un champ opératoire aménagé aux ciseaux et étanchéifié avec du silicone (t'avais posté Céramik dessus je crois) ou autre mais on n'isole plus du fluide sulculaire (je me fais en même temps la réflexion que je peux poser un fil de rétraction qui absorbera ce qu'il pourra).

D'où l'intérêt dans pareil cas de réduire le risque de contamination avec un produit deux en un, mais encore faut-il qu'il fasse bien son boulot. Je choisis le CVI pour cette raison, j'avais lu mais ce papier date et est peut-être complètement dépassé que le CVI de par une rigidité plus faible que le compo permettait de mieux accompagner la flexion de la dent à cet endroit quand s'exerce une force mécanique.


Grueavatar nptrc9 - Eugenol
Le Choixpeau magique

03/01/2012 à 19h12

Arnaud Go écrivait:
-------------------
> Moi j'ai besoin d'un cours !
> Comment vous placez la digue autour ? Je n'y arrive pas.

Je l'ai fait... à la fac.
Depuis que je suis en cabinet ça a dû m'arriver une ou deux fois, c'est vraiment chiant.
Il faut utiliser un clamp qui repousse la gencive style 212.
Un truc pas mal quand une gingivectomie est nécessaire, on anesthésie avec vaso++, clamp sur la genvive à la hauteur où on veut couper, puis on coupe au ras du crampon, je l'ai fait une fois ça n'a pas saigné du tout grâce à l'action de blocage de la circulation sanguine (comme un clamp quoi !).

>Je choisis
> le CVI pour cette raison, j'avais lu mais ce papier date et est peut-être
> complètement dépassé que le CVI de par une rigidité plus faible que le compo
> permettait de mieux accompagner la flexion de la dent à cet endroit quand
> s'exerce une force mécanique.

C'est surtout les composites flow. L'avantage effectivement du CVI c'est que ce n'est pas aussi dramatique qu'un collage si un peu de fluide contamine la zone. Dans tous les cas c'est un peu du bricolage.


Smile beach jgh0a1 - Eugenol
Céramik

03/01/2012 à 19h16


Je veux bien voir des cas avec béance de 6 à 6 ...
Avec des dents usées en "V" , comme la 2e prémolaire de la photo.


Pour moi, c'est tjs sur des sujets avec prématurités en occlusion, du moin dans mon coin de pays.


Pour le choix du matériel, j'utilise jamais de cvi comme matériel restaurateur, question d'habitude, j'ai jamais vu l'utilité dans avoir en inventaire...

Je place un compo flouide comme couche de base, puis un compo micro fin, ou bien nano.
Le fine de surface étant bcp mieux qu'un compo régulier ou qu'un horrible cvi.

En général ça tient très bien.
Si j'utilise un SAM, je fais un petit biseau sur l'émail coronaire et je etch avec acide , ensuite SAM-2.
Sinon, total etch et adhésif.
Je modifie souvent aussi l'occusion.




--
Céramik


Bebe 038 nf8eum - Eugenol
danteyeah

03/01/2012 à 20h10

Arnaud Go écrivait:
-------------------
> Moi j'ai besoin d'un cours !
> Comment vous placez la digue autour ? Je n'y arrive pas.

Si quelqu'un sur le forum a une illustration de la digue "à la marseillaise", ce serait gentil d'en faire profiter les copains!
On utilise un crampon pour incisive (papillon) que l'on déforme pour rallonger la partie vestibulaire par rapport à la linguale, on affute les pointes pour qu'elles "glissent" le long de la racine (on passe pas à travers la gencive hein!), cette digue est unitaire et c'était une sorte de spécialité de l'école esthétique marseillaise: Mimesis (d'où son appellation officieuse), je n'ai malheureusement pas d'illustration à fournir, mais si je retrouve je posterai. J'ai l'impression que Choipx. a fait comme ça, si tu as des images.....

Sinon d'accord pour étiologie = occlusion traumatique, si personne ne s'est amusé à fraiser avant.


jacques

03/01/2012 à 20h19

J'utilise un composite flow en fine couche en fond de cavité avant de placer le composite d'obturation.

1°) Le vertise peut-il également être utilisé en flow comme sous-couche?

2°) Est-ce une hérésie de le placer après mordançage et bonding, ou est-il préférable de s'abstenir de bonding?


Ico v for vendetta08 jzhpep - Eugenol
Arnaud Go

03/01/2012 à 21h53

Un prof en paro me parlait aussi que le patient utilise deux-trois semaines une brosse dure verticalement juste sur la dent si carie au ras de la gencive avec un espace biologique pas trop atteint. Mais bon on s'éloigne du sujet.


aldo74

03/01/2012 à 23h24

pas un problème pour moi de poser un vertise flow sur les lésions présentées par Céramik après mise en place d'un fil rétracteur.


Smile beach jgh0a1 - Eugenol
Céramik

03/01/2012 à 23h49

aldo74 écrivait:
----------------
> pas un problème pour moi de poser un vertise flow sur les lésions présentées par
> Céramik après mise en place d'un fil rétracteur.



Le volume est quand même grand non ?
Quid de la contraction ? de la manipulation pour donner une forme adéquate ?

+1 pour le fil, j'en place souvent dans ces cas.

Merci pour la réponse

--
Céramik


maz

04/01/2012 à 09h58

même si on est pas d'accord sur l'etiologie ;p

pour le traitement : clamp unitaire incisive modifié pour que le mors vestibulaire soit plus apical (à la pince, éventuellement en le chauffant avant) et digue unitaire (à la marseillaise !)

je fais parfois des séries comme ça, sous digue
je fais le nombre de perfo correspondant au nombre de dents à traiter, puis je fais les dents une par une en changeant le clamp de dent à chaque fois

sablage, MR3, compo classique dans mon cas.


12