Cookie Consent byPrivacyPolicies.comCéramique pure - Eugenol

Céramique pure

003 penrd2 - Eugenol
Cingulum

08/09/2011 à 18h29

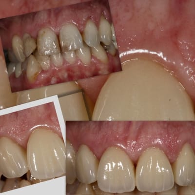
Plus ça va et plus je suis épaté par l’intégration biologique et esthétique des céramiques emax:empress...
ici à 3 ans.... :)



--
Dr Cingulum
-----Ancien interné----
----Attaché à l'apex----
http://www.clinic-all.fr/index.php formation par passion

Ccm twhpsy - Eugenol

marco17

08/09/2011 à 18h52

en effet très joli !!


LT

08/09/2011 à 18h53

la 23 n'a pas été restaurée
et il ya de la paro qui a été fait en parallèle non


Grueavatar nptrc9 - Eugenol
Le Choixpeau magique

08/09/2011 à 21h03

Superbe Cingugu, mais faudrait choisir, c'est de l'emax ou de l'empress ?


marcus

08/09/2011 à 23h56

LT écrivait:
------------
> la 23 n'a pas été restaurée
>

Sur ce forum ,

comme de toutes façons partout ailleurs en france ,

quand tu fais quelque chose dont tu es fier , y en a toujours un pour trouver quelque chose qui va pas Putain de Pays !

LT

On te demande pas de critiquer la 23 , on te montre des restaurations céramiques sur des incisives , qui sont belles ,

T'aimes ,t'aimes t'aimes pas ,t'aimes pas point barre!


200106 10150128247663588 709988587 6466236 5598391 n d7mksb - Eugenol
hallboy

09/09/2011 à 00h23

si j'ai bien suivi E max = Empress 2

penses tu qu'il puisse y avoir une difference d'integration biologique entre Emax et Zircone?

Et Emax chez moi , c'est 190 euros... Jolie zircone, 135...


Grueavatar nptrc9 - Eugenol
Le Choixpeau magique

09/09/2011 à 00h44

hallboy écrivait:
-----------------
> si j'ai bien suivi E max = Empress 2

Ce sont deux produits différents.

> Et Emax chez moi , c'est 190 euros... Jolie zircone, 135...

Jolie zircone je demande à voir....

Ton protho qui fait payer beaucoup plus cher son emax que sa zircone doit avoir des raisons qui ne sont pas que techniques (il soustraite son emax chez un mec vachement cher ?).


Smile beach jgh0a1 - Eugenol
Céramik

09/09/2011 à 00h50

Cingulum écrivait:
------------------
> Plus ça va et plus je suis épaté par l’intégration biologique et esthétique des
> céramiques emax:empress...
> ici à 3 ans.... :)
>
>
>
> --
> Dr Cingulum
> -----Ancien interné----
> ----Attaché à l'apex----
> http://www.clinic-all.fr/index.php formation par passion


Tu n'avais qu'a me demander...ça fait 15 ans que je vois que la céram c'est super bien pour la gencive !

Joli travail.

Ci-joint, cas de Empress, fait en 2001.


--
Céramik

Empress 10 ans oxc5sv - Eugenol

003 penrd2 - Eugenol
Cingulum

09/09/2011 à 16h16

emax, et empress 2 ne sont pas très éloignées, les propriétés mécanique ont un peu augmenté avec l'Emax...
Non pas touché a la 23, et pas de paro... l'amélioration de l'esthétique et du profil des restaurations ont suffi à changer les habitudes de la patiente...


--
Dr Cingulum
-----Ancien interné----
----Attaché à l'apex----
http://www.clinic-all.fr/index.php formation par passion


Images 1 vwmtnm - Eugenol
Castor

09/09/2011 à 16h59

très beau!!!


Little shop of horrors brzqjx - Eugenol
chatondecarte

09/09/2011 à 17h52

Je me demande si la qualité de la gencive autour des tout-cérams n'est pas plus à mettre sur le compte de la limite supra gingivale, plutôt que sur l'amour que le parodonte peut éprouver pour la céramique...


003 penrd2 - Eugenol
Cingulum

09/09/2011 à 20h19


Je dirais les deux mon cher Watson ;)
mais j'ai beaucoup de joint ceram auparavant, et même avec les même limites je n'avais pas ça...

--
Dr Cingulum
-----Ancien interné----
----Attaché à l'apex----
http://www.clinic-all.fr/index.php formation par passion


Smile beach jgh0a1 - Eugenol
Céramik

10/09/2011 à 01h33

Cingulum écrivait:
------------------
> emax, et empress 2 ne sont pas très éloignées, les propriétés mécanique ont un
> peu augmenté avec l'Emax...
> Non pas touché a la 23, et pas de paro... l'amélioration de l'esthétique et du
> profil des restaurations ont suffi à changer les habitudes de la patiente...
>
>
> --
> Dr Cingulum
> -----Ancien interné----
> ----Attaché à l'apex----
> http://www.clinic-all.fr/index.php formation par passion

Ayant fait de l'Empress 2 pendant un certain temps, c'est bcp plus opaque et moins beau que Empress et e-max...

Et si je me souvient, Empress-2 abandonné car la couche de surface avait tendance à se décoller de la chape.

Alors, ma p'tite Empress, c'est sur quelle dent ?

--
Céramik


Smile beach jgh0a1 - Eugenol
Céramik

10/09/2011 à 01h38

Cingulum écrivait:
------------------
>
> Je dirais les deux mon cher Watson ;)
> mais j'ai beaucoup de joint ceram auparavant, et même avec les même limites je
> n'avais pas ça...
>
> --
> Dr Cingulum
> -----Ancien interné----
> ----Attaché à l'apex----
> http://www.clinic-all.fr/index.php formation par passion

+1
Meme avec un joint sous gingival en céramique pressée, la gencive est belle, si la marge est bien lisse....


--
Céramik


chicote64

10/09/2011 à 01h51


>
> Alors, ma p'tite Empress, c'est sur quelle dent ?
>
> --
> Céramik
Je dirais la 11 mais je ne suis meme pas sure!travail magnifique 10 ans après!


Smile beach jgh0a1 - Eugenol
Céramik

10/09/2011 à 02h42

chicote64 écrivait:
-------------------
>
> >
> > Alors, ma p'tite Empress, c'est sur quelle dent ?
> >
> > --
> > Céramik
> Je dirais la 11 mais je ne suis meme pas sure!travail magnifique 10 ans après!

sutout avec endo et tenon, suite trauma.

Alors 11 ?

--
Céramik


flicflac

10/09/2011 à 05h39

La 11 bien sûr, légèrement plus de sur-contour au mésio buccal et gingival...la légère translucidité en mésio-incisif et disto-incisif de la dent naturelle 21 n'est pas imitée.


maz

10/09/2011 à 10h03

je me demande, ça viendrait pas plus du collage que de la céramique pure ?

en effet on retrouve ces superbes resultats sur empress, eMax, feldspathique pure pour les facettes ...

et l'absence d'un joint de ciment forcément moins étanche n'y est il pas pour quelque chose?

ceux qui scellent les eMax, avez vous des resultats comparables ?


Little shop of horrors brzqjx - Eugenol
chatondecarte

10/09/2011 à 11h20

J'ai tendance à coller mes céramo métal, et la gencive n'est pas aussi belle que sur du tout céram.
Par contre j'ai remarqué que la gencive à tendance à être belle au niveau de mes couronnes métal CrCo ou au niveau palatin des ccm quand il y a un bandeau lingual métalique.

Mais c'est vrai que parodontalement le tout céram c'est le top du top. Au point que je pense qu'à partir de janvier prochain, je vais augmenter le prix de ma couronne standard de 100€ et ne faire plus que du tout céram (emax ou zircone en fonction de l'indication). Sauf bien dans les cas ou je suis contraint de réaliser une richemond, ou des points de contact occlusaux en métal.


Img 2951 flo3gr - Eugenol
molinarius

10/09/2011 à 15h33

très bon choix! j'incite tout mes client à faire de même... j ai même fais des efforts tarifaire
et maintenant je remplace ni plus ni moins toute la fabrication au labo .. par exemple une ceramique zircon sur implant est au meme tarif que la zircon sur une prépa ...
Et je fais des contact zircon en occ la ou avant je faisais un contact métal...


3 76 hchzpi - Eugenol
kingkong

12/09/2011 à 15h02

Kesstufoula Shanti ?


Images eb1m5g - Eugenol
tonio

22/12/2011 à 01h40

Cingulum écrivait:
------------------
>
> Je dirais les deux mon cher Watson ;)
> mais j'ai beaucoup de joint ceram auparavant, et même avec les même limites je
> n'avais pas ça...
>
> --
> Dr Cingulum
> -----Ancien interné----
> ----Attaché à l'apex----
> http://www.clinic-all.fr/index.php formation par passion

J'ai assisté à une conf ivoclar et selon l'orateur (très sympa) d'ailleurs, la belle gueule du parodonte avec les tout céramiques (zircone et emax confondus) est lié au fait que ce soit de la céramique (ok on s'en doutait...) et par la finesse du joint de collage dento-prothétique.

De mémoire un joint acceptable se situe autour de 50-60 µ pour ne pas créer une inflammation histologique trop importante et de récidive de carie.
Une CCM simple se situe vers 50 µ, une emax à 30 µ et une zircone par CFAO à 15-20 µ.
Une CCM avec joint margine se situe à 90 µ... la cata! Bref, en voulant faire bien, on fait fuir la gencive en l'enflammant!
Donc la faible colonisation du joint avec les CCC par CFAO ou pressées contribuent à la stabilité du parodonte.
Je ne suis plus sûr à 100% des chiffres mais c'était dans ces eaux-là.

Bon à savoir, je trouve.


Grueavatar nptrc9 - Eugenol
Le Choixpeau magique

22/12/2011 à 09h44

tonio écrivait:
---------------
> Une CCM simple se situe vers 50 µ, une emax à 30 µ et une zircone par CFAO à
> 15-20 µ.

Pourquoi une CCM serait moins précise qu'une emax ?

> Une CCM avec joint margine se situe à 90 µ... la cata!

Tu veux dire butt margin ?

Là aussi faudra m'expliquer l'origine de ces différences, pourquoi un joint céram serait moins précis qu'une emax ou qu'une dent en feldspathique pure ?

> Donc la faible colonisation du joint avec les CCC par CFAO ou pressées
> contribuent à la stabilité du parodonte.
> Je ne suis plus sûr à 100% des chiffres mais c'était dans ces eaux-là.
>
> Bon à savoir, je trouve.

A condition que ça soit vrai !


vmdeugénol

22/12/2011 à 21h28

Le Choixpeau magique écrivait:
------------------------------

> Là aussi faudra m'expliquer l'origine de ces différences, pourquoi un joint
> céram serait moins précis qu'une emax ou qu'une dent en feldspathique pure ?

VM:
Une Emax réalisée par usinage aura une limite un peu plus "dentelée" qu'une vitrocéramique de type empress cad, c'est tout simplement lié à la dureté initiale et à la structure cristalline des différents matériaux.
Donc le joint sera "moins précis". On peut réduire cet effet si on fait des prépas qui facilitent l'usinage pour les limites.


maz

22/12/2011 à 22h36

le problème c'est que les systèmes usinés, malgré tous les microns qu'ils nous promettent ne sont pas aujourd'hui plus précis q'une emax "manuelle" ou qu'une bonne coulée à l'ancienne

je ne sais pas qui t'a donné ces chiffres, mais ça ne colle pas avec ceux que je connaissait