Cookie Consent byPrivacyPolicies.comorigine de l'altération - Eugenol
marco17

08/09/2011 à 18h53

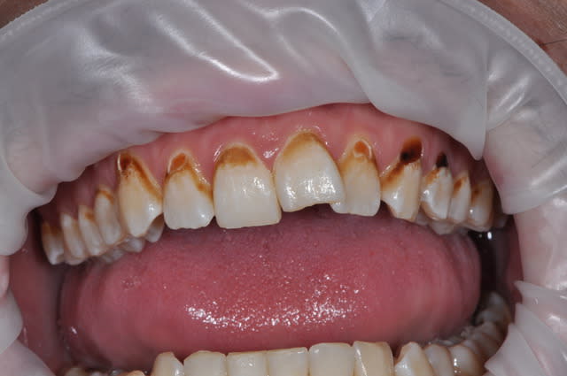
Bonjour,
pour vous c'est du à quoi ces altérations des collets ??

Dsc 0090 aui5kl - Eugenol

Photo pluton1b h9n4ea - Eugenol
pluton

08/09/2011 à 19h08

l'hygiène a l'air d'être correcte...profession? (boulanger/pâtissier/cuisinier, etc...?)


marco17

08/09/2011 à 19h39

et non j'avais aussi pensé à ça,
il est au chômage (formation en menuiserie )
je pensais plutôt à de la drogue ?


Avatar 46 aoi1yc - Eugenol
HononLulu

08/09/2011 à 20h02

Antécédent de mauvaise hygiène, tout simplement. Pourquoi pas ??


marco17

08/09/2011 à 20h09

à part les collets presque rien ailleurs,
hygiène correcte


Samy8 mgu6if - Eugenol
oliverKapaspeur

08/09/2011 à 20h23

Je pense à la toxicomanie, comme toi. J'avais un patient toxicomane qui présentait des lesions similaires.
Tu lui a pas posé la question?


aimpi

08/09/2011 à 20h25

coca + tabac?


Grueavatar nptrc9 - Eugenol
Le Choixpeau magique

08/09/2011 à 21h01

- drogue ?
- boissons sucrées (coca, jus de fruit...) ?
- médicaments asséchant la bouche style anti-dépresseurs et psychotropes divers et varies ?
- mord dans des citrons, oranges ?


Gbazylo1 fvg1vg - Eugenol
Aron

08/09/2011 à 21h12

Je ne pense pas que ce soit des acides, ils rongent plutôt préférentiellement les dents qui servent à les croquer.

Ca ressemble beaucoup plus à des caries rampantes du confiseur, du coca addict ou même du biberon.

+ une érosion mécanique genre syndome bruxisme + brosse à dent passée à la va-vite, bien horizontalement, bien fort.

Si on ajoute à ça le chômage (gros consommateurs des sucreries, les chômeurs, c'est à peu près les seuls plaisirs qu'ils peuvent s'offrir).

Donc sodas+ bonbons + brossage iatrogène + tabac/café pour les colorations, c'est le cocktail sur lequel je parie. Tiens nous au jus (sans sucre)!


marco17

08/09/2011 à 21h59

je le revois dans 15 jours,
je vous tiens au courant,
bonne soirée


prémol

08/09/2011 à 22h51

Je mise sur des sodas, avec tabac.
J'ai eu un jeune de 17 ans l'autre jour, qui avait toutes ses dents cariées au collet, comme sur cette photo, mais sans cette coloration très orangée. Je l'avais vu 2 ans avant : 1 carie occ sur 36, rien d'autre. Sinon, son hygiène était OK.
Je lui ai dit : toi, faut absolument que tu arrêtes les sodas : il m'a répondu : oui, c'est vrai, je ne bois plus que ça depuis 1 an, je suis accro....

Je crois qu'il a compris la leçon, il me dit ne pas avoir repris une goutte.

C'est donc certainement une drogue qui est responsable de ce genre de déminéralisations...après, il ya drogues dures, et drogues tout court...


king_zoulou

08/09/2011 à 23h12

La première chose à laquelle j'ai pensé en voyant la photo:
http://en.wikipedia.org/wiki/Meth_mouth


gad

08/09/2011 à 23h44

Oui , je suis assez d' accord avec vos hypothèses à tous : coca , drogue , carie du pâtissier ou mangeur de chocalatines...!
La seule chose qui m' intrigue , c'est que l' atteinte des collets soit plus prononcée d' un côté , comme un suceur de sucettes-boules ( comme Laurent Blanc ...!) qui garderait , longtemps , sa sucette-bonbon dans la bouche et toujours du même coté !
J' ai aussi vu par le passé un patient qui avait un peu les mêmes problèmes; il réparait des batteries auto
( atmosphére acide , contacts ...).
Celui qui a trouvé ... il gagne quoi ... !


king_zoulou

09/09/2011 à 01h59

Il est peut-être gaucher et brosse mieux à droite.
Ou alors il est droitier et comme il brosse agressivement à gauche, l'acide qu'il sniffe (ou les trente prises de coca par jour) a fait fondre les dents au fond des mylolyses.


Pure msn be1nue - Eugenol
drilleur

10/09/2011 à 01h42

et là vous soigneriez comment?