Cookie Consent byPrivacyPolicies.comDDM et caries cervicales - Eugenol
Grueavatar nptrc9 - Eugenol
Le Choixpeau magique

12/09/2011 à 17h45

Bonjour,
je vous soumet ce cas qui n'est pas extraordinaire mais pour lequel je n'ai pas vraiment de solution.
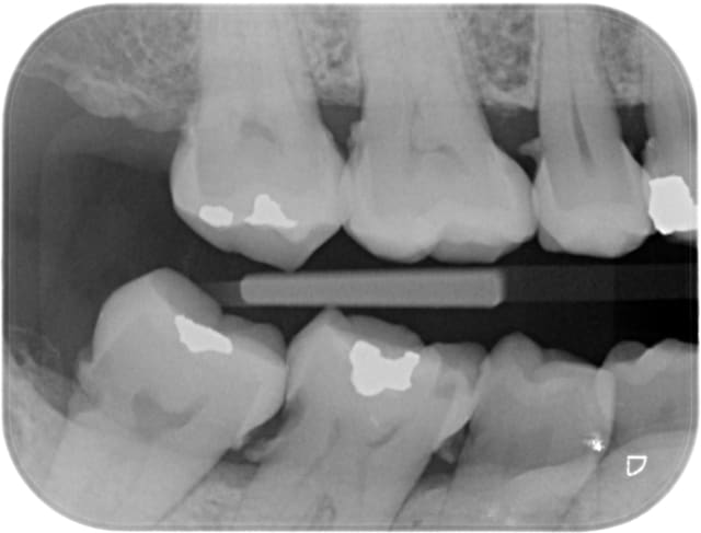
Patiente la cinquantaine, ne parlant pas français, avec DDM++, tartre, hygiène médiocre, et comme vous le voyez des caries très mal placées entre le son tartre et ses lésions infra-osseuses.
Comme vous le voyez sur la deuxième radio j'ai essayé de bidouiller mais le résultat est crade (en plus y a encore du tartre !) et non satisfaisant.
Sur l'aspect restauratif, que peut-on proposer de viable (en dehors de extrac implants) sur ce genre de cas ?

(en plus bien sûr, c'est quelqu'un de ma famille éloignée)

Cariesddm1 yu564v - Eugenol
Cariesddm2 otmza2 - Eugenol

Smile beach jgh0a1 - Eugenol
Céramik

12/09/2011 à 18h45

Salut
1-Tx paro complet
2-Contrôle hygiène
3-ensuite on verra si on passe du temps sur les caries, famille ou pas.

Bonne chance


--
Céramik


Bebe 038 nf8eum - Eugenol
danteyeah

12/09/2011 à 19h52

Tout pareil, encore du bouleau de paro en vue, puis une fois stabilisé pourquoi ne pas envisager de redresser les axes par ortho., tu soignes tes caries sans t'intéresser au point de contact, les déplacements ortho. s'en occuperont !


Smile beach jgh0a1 - Eugenol
Céramik

12/09/2011 à 21h02

danteyeah écrivait:
-------------------
> Tout pareil, encore du bouleau de paro en vue, puis une fois stabilisé pourquoi ne pas envisager de redresser les axes par ortho., tu soignes tes caries sans t'intéresser au point de contact, les déplacements ortho. s'en occuperont !

+1 ortho,
j'y avais pensé mais pas osé...


--
Céramik


Marque a3 orange fyvhyq - Eugenol
Marc Apap

12/09/2011 à 21h27

danteyeah écrivait:
-------------------
> Tout pareil, encore du bouleau de paro en vue...

Ca, c'est quand on est en Suède.
Chez nous, ça reste un p'tit boulot.


Smile beach jgh0a1 - Eugenol
Céramik

12/09/2011 à 22h19

Marc Apap écrivait:
-------------------
> danteyeah écrivait:
> -------------------
> > Tout pareil, encore du bouleau de paro en vue...
>
> Ca, c'est quand on est en Suède.
> Chez nous, ça reste un p'tit boulot.

Parce que vous ne détartrer que les 4 incisives du bas... que c'est un p'tit boulot...

;-)



--
Céramik