Cookie Consent byPrivacyPolicies.comChirurgie Apicale - Eugenol

Chirurgie Apicale

Img 1392 s73srk - Eugenol
Guttaman

13/09/2011 à 14h04

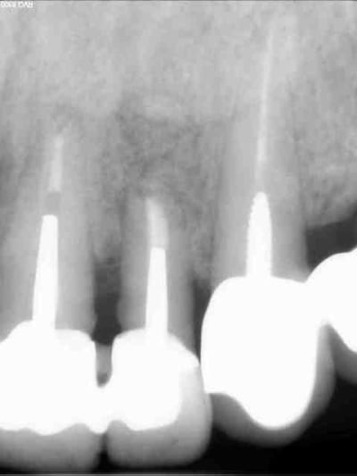
Pas trop nul à chier pour une fois :-)

Obturation a retro au MTA, beta TCP en comblement (plus de corticale osseuse vestibulaire). C'est un choix qui se discute, mais si certains ont des remarques constructives...je prend.

R1 olvs4d - Eugenol
R3 lnf2fm - Eugenol
R4 pmovt9 - Eugenol

Grueavatar nptrc9 - Eugenol
Le Choixpeau magique

13/09/2011 à 14h20

Salut, est-ce que tu n'as pas peur qu'il y ait des problèmes d'étanchéité coronaire (reprises de carie ?) dans ce cas sur la dent traitée ainsi que sur la dent d'à côté (dont l'apex n'est pas bien net non plus) ?


Smile beach jgh0a1 - Eugenol
Céramik

13/09/2011 à 14h46

Le Choixpeau magique écrivait:
------------------------------
> Salut, est-ce que tu n'as pas peur qu'il y ait des problèmes d'étanchéité
> coronaire (reprises de carie ?) dans ce cas sur la dent traitée ainsi que sur la
> dent d'à côté (dont l'apex n'est pas bien net non plus) ?

+1
Les couronnes (solidarisées semble-t-il) sont inadéquates.
Tu as combien de recul sur le cas ?
Il me semble que le comblement soit bien fait (j'aurais aussi comblé), mais
il n'y a pas encore de guérison osseuse.

C'est un futur cas d'implant....


--
Céramik


Fouilla h6plsy - Eugenol
fouilla

13/09/2011 à 15h31

Céramik écrivait:
-----------------

>
> C'est un futur cas d'implant....
>
>
> --
> Céramik

pourquoi futur ?

sans esprit de revanche vs le post sur l'absence de digue sur l'endo , ton cas relève de tout autre chose que de l'obturation a rétro et de la résec
1)manque d'étanchéité coronaire
2)ton rapport couronne racine est totalement défavorable heureusement que les ccm sont solidarisées
3)ton atteinte en mésiale remonte plus haut que ta résection.

tu as bien fait de combler pour le clou qui sera peut être à envisager.
ceci étant on voit encore pas mal de dent en extension donc pourquoi pas ...
edit la je suis pas dans le constructif
je sors
--
.


Cuisinier2 vnbbxx - Eugenol
jeff2

13/09/2011 à 16h10

Ne serait il pas plus sage en cas de résection apicale de systématiquement utiliser un laser, histoire de stériliser la zone?


Grueavatar nptrc9 - Eugenol
Le Choixpeau magique

13/09/2011 à 16h59

jeff2 écrivait:
---------------
> Ne serait il pas plus sage en cas de résection apicale de systématiquement
> utiliser un laser, histoire de stériliser la zone?

Troisième ou quatrième degré ?


Fouilla h6plsy - Eugenol
fouilla

13/09/2011 à 17h05

jeff2 écrivait:
---------------
> Ne serait il pas plus sage en cas de résection apicale de systématiquement
> utiliser un laser, histoire de stériliser la zone?


plus d'implant sans stériliser le site souillé non plus :-))

--
.


Img 1392 s73srk - Eugenol
Guttaman

13/09/2011 à 17h39

fouilla écrivait:
> sans esprit de revanche vs le post sur l'absence de digue sur l'endo , ton cas
> relève de tout autre chose que de l'obturation a rétro et de la résec
> 1)manque d'étanchéité coronaire

Alors là...MDR qu e ce soit toi qui dise ça :-)
Plus sérieusement, je vous trouve assez sévère avec l'étanchéité des couronnes. Certes, elles ne sont pas parfaites. Il y a des encoches en mésiale de 22 et distal de 21...due au passage de brossette. Il n'y a absolument pas de reprise carieuse. Ce qui, je suis d'accord aurait contre-indiqué la chirurgie en première intention.

> 2)ton rapport couronne racine est totalement défavorable heureusement que les
> ccm sont solidarisées

Je pense que c'est la raison de ne pas déposer : éviter qu'elle se retrouve tout seule. Et puis la patiente ne voulait pas tout casser.

> 3)ton atteinte en mésiale remonte plus haut que ta résection.

C'est vrai. J'ai passé du temps avec mon insert à nettoyer cette zone (et tout autour d'aileurs, notamment en palatin).

> tu as bien fait de combler pour le clou qui sera peut être à envisager.
Si ça permet ça, ce sera déjà pas mal. JY Cochet a montré à l'ADF de l'année dernière des cas sur secteur postéro-inférieur où le but était justement de regagner de l'os pour l'implant.

...Ceci dit, moi je te trouve constructif :-)


Img 1392 s73srk - Eugenol
Guttaman

13/09/2011 à 17h39

.


Cuisinier2 vnbbxx - Eugenol
jeff2

13/09/2011 à 18h08

fouilla écrivait:
-----------------
> jeff2 écrivait:
> ---------------
> > Ne serait il pas plus sage en cas de résection apicale de systématiquement
> > utiliser un laser, histoire de stériliser la zone?
>
>
> plus d'implant sans stériliser le site souillé non plus :-))
>
> --
Parce que toi, tu implantes dans un site souillé?


Fouilla h6plsy - Eugenol
fouilla

13/09/2011 à 19h24


lors d'EII avec curetage oui .

ce qui devient ahurissant maintenant (comme avant remarque bien)
au cabinet il te faut :

Microscope optique sinon pas bien
laser sinon pas bien
cone beam sinon pas bien
simplant sinon pas bien
cerec sinon pas bien

poser 200 implants par an sinon pas bien

la liste peut encore être allongée...
Arrêtez le délire les mecs il est certain que touts les technologies améliorent nos thérapeutiques mais de la à rendre les choses systématiques....

c'est vrai que c'est mieux mais pas systématiquement d'avoir la guerre des étoiles technologiques au cabinet.





--
.


Ico v for vendetta08 jzhpep - Eugenol
Arnaud Go

13/09/2011 à 21h35

La guerre des étoiles, ok mais avec le budget de Georges Lucas.
Mon cab c'est cache-misère à côté...


Smile beach jgh0a1 - Eugenol
Céramik

14/09/2011 à 14h44

fouilla écrivait:
-----------------
>
> lors d'EII avec curetage oui .
>
> ce qui devient ahurissant maintenant (comme avant remarque bien)
> au cabinet il te faut :
>
> Microscope optique sinon pas bien
> laser sinon pas bien
> cone beam sinon pas bien
> simplant sinon pas bien
> cerec sinon pas bien
>
> poser 200 implants par an sinon pas bien
>
> la liste peut encore être allongée...
> Arrêtez le délire les mecs il est certain que touts les technologies améliorent
> nos thérapeutiques mais de la à rendre les choses systématiques....
>
> c'est vrai que c'est mieux mais pas systématiquement d'avoir la guerre des
> étoiles technologiques au cabinet.
>


OK, mais tjs rester en arrière n'est pas bien non plus.
Si certain ont des laser ou d'autres trucs, faut rester ouvert, même si c'est impensable
que 100% des CD travaillent au laser.

Sinon, on reste aux exo, stellite en acrylique, et grand luxe, un amalgame au Hg, placer au pouce.

Pour revenir au sujet, si pas de lésion carieuse, et pte avisée que c'est une tentative de traitement, pourquoi pas...on a tous des cas comme celui-ci qui fonctionnent, mais c'est pas une majorité.

J'ai un cas (un seul) ou après résection apicale, via lambeau majeur au palais, d'une racine palatine d'une 24, j'ai placé une belle boule de MTA, pour bouche l'apex et l'énorme trou osseux (et oui, sorry, au microscope), et bien, 6 ans plus tard, c'est nickel.




--
Céramik


Marque a3 orange fyvhyq - Eugenol
Marc Apap

14/09/2011 à 15h19

Céramik écrivait:
-----------------
.... et bien, 6 ans
> plus tard, c'est nickel.

Du métal ? Pas bon ça !


B0007 r0bvlj - Eugenol
dentiste vignoble alsace

14/09/2011 à 17h27

et tu factures ta chir combien?


Marque a3 orange fyvhyq - Eugenol
Marc Apap

14/09/2011 à 17h43

Y a qu'ça qui t'intéresse hein ?


B0007 r0bvlj - Eugenol
dentiste vignoble alsace

14/09/2011 à 23h29

marc je t'adore.
Toujours caustique, voir trash ne change rien.
Il est toujours délicat de fixer des honoraires HN d'actes que peu d'omnipraticiens réalisent.
Tu as beau présenter ton protocole au patient, il n'y comprend rien, les matériaux utilisés et leur coût encore moins. Je ne parle même pas du temps passer pour réaliser correctement une chir apicale.
Je ne rentre pas dans la justification des honoraires car c'est de toute façon toujours trop cher pour la grande majorité de nos patients à partir du moment où il existe un reste à charge.Pourtant il me semble que ces derniers, un minimum cortiqué, comprennent le décalage entre la dérive de la prise en charge et les possibilités offertes selon les données acquises de la science. Il n'y a que les journalistes pour crier au scandale sur les dépassements d'honoraires.
Bref tout le monde ne possède pas deux fauteuils ou des correspondants qui leur adressent des endos ou chir apicales facturés 400 euros. Donc en omnipratique il me semblait intéressant de connaître la fourchette d'honoraires pratiqués parce que juste rentré dans mais frais ça me fait CH..R.
Actuellement je demande 150 euros (matos, temps passé et ce que j'estime pouvoir être rétribué sur cet acte).


Smile beach jgh0a1 - Eugenol
Céramik

15/09/2011 à 00h42

Marc Apap écrivait:
-------------------
> Céramik écrivait:
> -----------------
> .... et bien, 6 ans
> > plus tard, c'est nickel.
>
> Du métal ? Pas bon ça !


mais si, mais si, regarde tes amalgames...

--
Céramik


Smile beach jgh0a1 - Eugenol
Céramik

15/09/2011 à 00h52

dentiste vignoble alsace écrivait:
----------------------------------
> et tu factures ta chir combien?


Pour un apectomie et MTA, entre 400 et 800 $, selon le cas.
Chez un endo, c'est plus, aux USA encore plus...

A moins de 250 euro, c'est pas assez, surtout si comblement !

--
Céramik


Grueavatar nptrc9 - Eugenol
Le Choixpeau magique

15/09/2011 à 01h07

dentiste vignoble alsace écrivait:
----------------------------------
> Actuellement je demande 150 euros (matos, temps passé et ce que j'estime pouvoir
> être rétribué sur cet acte).

Tu gagnes sûrement plus (ou plutôt tu perds moins) en faisant des détartrages.


Img 1392 s73srk - Eugenol
Guttaman

15/09/2011 à 11h59

dentiste vignoble alsace écrivait:
----------------------------------
> et tu factures ta chir combien?

331.14 euros. (donc 273 euros de HN).


Marque a3 orange fyvhyq - Eugenol
Marc Apap

15/09/2011 à 12h30

Je pense que le prix est fonction du professionnalisme qu'on y met, du matériel et des compétences. Si on est sûr de son coup, 250 € me paraît être effectivement un minimum, étant donné l'enjeu et le bénéfice pour le patient. N'oublions pas que la résection apicale est inscrite à la nomenclature, mais que le matériau d'obturation a retro ne l'est pas.
Maintenant, si l'on est responsable de l'échec à cause d'une obturation douteuse, il me semble qu'un "geste commercial" devrait être opportun (à considérer au cas pas cas bien sûr).
Au fait Ceramik, j'ai dû arrêter de poser des amalgames à peu près au moment où tu es sorti de la fac. Ceci étant, beaucoup d'entre eux sont toujours là.

02 amalgame 02 puioex - Eugenol

Fresh watermelon 640x562 udulqz - Eugenol
gulguch

15/09/2011 à 12h51

Marc Apap écrivait:
-------------------
j'ai dû arrêter de poser des amalgames à peu près au moment où
> tu es sorti de la fac. Ceci étant, beaucoup d'entre eux sont toujours là.


A qu'il est beau ce viel amalgame, probablement sculpté il y a des lustres par un idéaliste tout juste sorti de la fac, puis bien sur poli dans une seconde séance.
Maintenant il s'est oxydé, l'idéaliste s'est aigri comme Apap ou transformé en businessman cynique comme vous, comme moi.
Alala!


Marque a3 orange fyvhyq - Eugenol
Marc Apap

15/09/2011 à 13h13

Je suis toujours idéaliste et c'est bien ça qui m'ennuie. Pour le reste, deux erreurs : c'est moi qui l'ai fait, mais j'étais déjà sorti de la fac depuis une bonne quinzaine d'années, voire plus, et je ne pense pas être aigri car la cupidité, la frime, la fausse science m'ont toujours débectés. La seule chose aujourd'hui, c'est que je n'ai plus honte de le dire tout haut.


Fresh watermelon 640x562 udulqz - Eugenol
gulguch

15/09/2011 à 13h26

Marc Apap écrivait:
-------------------
> Je suis toujours idéaliste et c'est bien ça qui m'ennuie. Pour le reste, deux
> erreurs : c'est moi qui l'ai fait, mais j'étais déjà sorti de la fac depuis une
> bonne quinzaine d'années, voire plus,

!!!


et je ne pense pas être aigri car la
> cupidité, la frime, la fausse science m'ont toujours débectés.

Moi, que chez les autres ça me débecte, chez moi, ça va.


Enfin, mème les marges sont encore jointives. Plus durable qu'un implant, qu'un inlay or, ne parlons mème pas des composites et compagnie. De la belle dentisterie, qui n'existe plus.


12