Tous les forums
gestion des extractions AVANT implantation
15/09/2011 à 18h24
Sinon pour la gestion des ces cas Jung a développer une "Punch-technique" intéressante.
Prevelevement epithelio conjonctif circulaire qu il suture tout autour de l'implant comme un "bouchon"
Bon resultat si bonne indication
15/09/2011 à 21h21
j'ai dis "AVANT implantation". pendant, c'est encore autre chose...
ou alors je n'ai pas bien saisi ton propos.
:)
15/09/2011 à 23h04
Si présence corticale vestibulaire, j'utilise la membrane cytoplast sans matériau. La membrane est non resorbable et l’épithélium se développe par dessus.
Si perte de la corticale vestibulaire, deux clous en vestibulaire pour creer une convexité de la membrane et remplissage avec du bioss, plus récemment du mineros.
Je retire la membrane lors de la pose de l'implant à deux mois.
16/09/2011 à 00h58
Bonsoir Michael,
Pour la conservation du volume de la crête et pour avoir assez de tissu mou c'est suffisant. Pour une néoformation osseuse, il faudrait bien sûr beaucoup plus.
Donc soit attendre soit 4 à 8 mois selon les sites, soit réintervenir à 2 mois avec pose de l'implant, autogène sur les spires qui ne sont pas au contact osseux et biomatériau lentement résorbable en périphérie pour garder la convexité gingivale.
16/09/2011 à 01h39
albert écrivait:
----------------
> Si présence corticale vestibulaire, j'utilise la membrane cytoplast sans
> matériau. La membrane est non résorbable et l’épithélium se développe par
> dessus.
le cytoplast est contaminé par les bactéries, non ?
c'est pas gênant ? j'ai lu qu'il fallait la retirer entre 21 et 25 jours.
est ce vraiment suffisant pour avoir une différenciation cellulaire pour donner une matrice ostéoide ? je ne crois pas, le tissu de granulation commence tout juste à se transformer en conjonctif. mais bon, il n'y a pas compétition cellulaire alors...
16/09/2011 à 11h25
ton intervention, albert, me rappel un cas clinique que j'aimerai partager avec vous:
1-2-3 prémolaire foutu juste à proximité d'un implant, faut donc faire gaffe aux tissus environnant.
en plus je suis sure que la corticale vestibulaire est K.O elle aussi.
4-5: eh ben oui, elle est détruite! une simple curette insérée dans l'alvéole permet de visualiser l'importance de la perte osseuse vestibulaire.
que faire ??
16/09/2011 à 11h27
"le cytoplast est contaminé par les bactéries, non ?
c'est pas gênant ? j'ai lu qu'il fallait la retirer entre 21 et 25 jours.
est ce vraiment suffisant pour avoir une différenciation cellulaire pour donner une matrice ostéoide ? "
L'un des avantages de cette membrane c'est sa capacité à être exposée sans nuire à la cicatrisation. Un peu d'ELUGEL est nécessaire pour la contamination.
En laissant la membrane 8 semaines et non pas 3 la matrice ostéoide est bien en place à la dépose.
Comme je l'ai dit à Michael, à deux mois c'est la conservation du volume et la fabrication de conjonctif.
Si tu veux un tissu plus minéralisé il faut attendre 6 à 10 mois selon les sites.
16/09/2011 à 11h42
"4-5: eh ben oui, elle est détruite! une simple curette insérée dans l'alvéole permet de visualiser la l'importance de la perte osseuse vestibulaire.
que faire ??"
C'est une excellente indication: la racine est très ovalaire, la corticale est absente, la position de l'implant sera très en dedans du boitier osseux.
Si tu poses l'implant immédiatement tu auras sans doute un bon résultat mais tu perdras la convexité vestibulaire et tu auras une fibrose au contact de la partie vestibulo-coronaire de l'implant.
Dans quelques années on parlera de periimplantite alors qu'il s'agit d'une erreur technique...que l'on peut éviter avec une membrane qui supporte l'exposition.
16/09/2011 à 14h50
ta membrane me plait bien, je l'essaierai , c'est promis.
sinon, je suis entièrement d'accord avec ton analyse. le seul hic, c'est que je déteste implanter dans des sites infectés.
alors comment ne pas perdre cette concavité vestibulaire et faire une chirurgie non iatrogène pour l’environnement implantaire ?
16/09/2011 à 15h13
vous l'achetez chez qui la cytoplast ?
--
Dr Cingulum
-----Ancien interné----
----Attaché à l'apex----
http://www.clinic-all.fr/ formation par passion
16/09/2011 à 15h22
tu peux la trouver ici:
http://www.praxisinstruments.fr/boutique/fiche_produit.cfm?ref=IN8711&type=19&code_lg=lg_fr&num=21
16/09/2011 à 15h25
merci :)
--
Dr Cingulum
-----Ancien interné----
----Attaché à l'apex----
http://www.clinic-all.fr/ formation par passion
16/09/2011 à 16h37
albert écrivait:
----------------
> Si présence corticale vestibulaire, j'utilise la membrane cytoplast sans
> matériau. La membrane est non resorbable et l’épithélium se développe par
> dessus.
> Si perte de la corticale vestibulaire, deux clous en vestibulaire pour creer une
> convexité de la membrane et remplissage avec du bioss, plus récemment du
> mineros.
> Je retire la membrane lors de la pose de l'implant à deux mois.
Mineros, j'adore, ça fonctionne super bien, on obtient de l'os dense en 3-4 mois.
J'utilise depuis 4 ans, suite formations avec Pikos.
Avec membranne (collagène) tu peux reconstruire la paroie vestibulaire, j'ai placé au moins un cas comme cela pour une 12 bien explosée...
Mais je crois pas que Mineros soit disponible en France ...
Puros est assez semblable.
Avantage de Mineros, mélande 50:50 cortical et spongieux, granules de 0.5 à 2.0 mm, ce qui rends sont utilisation très simple et quasi-universelle.
--
Céramik
16/09/2011 à 17h41
« le seul hic, c'est que je déteste implanter dans des sites infectés »
Moi aussi donc je fais en sorte qu’ils soient désinfectés :
-élimination de tout tissu mou à la curette agressive suivi d’un curetage à la fraise boule de l’os friable (tout est là on est toujours trop conservateur)
- lavage à la compresse imbibée de Bétadine. Personnellement je me sers d’eau ozonée, certains utilisent des huiles essentielles ozonées.
16/09/2011 à 17h57
Bonjour Ceramik
Bio Horizon France vends du MINEROS par l’intermédiaire de Londres. Il faut se référencer pour avoir le droit de commander, après c’est plus simple. Effectivement c’est un très bon produit mais je n’ai pas beaucoup de recul.
Puros c'est beaucoup trop cher.
Tout fonctionne mais ce qui m’intéresse c’est ce qui donne régulièrement des résultats constants. Les membranes résorbables qui disparaissent en moins de 6 mois, c’est très fréquent. Quand il faut reconstruire des volumes osseux important je préfère le non résorbable associé à un sandwich autogène puis biomatériau. Choix personnel.
16/09/2011 à 18h21
albert écrivait:
----------------
> Si présence corticale vestibulaire, j'utilise la membrane cytoplast sans
> matériau. La membrane est non resorbable et l’épithélium se développe par
> dessus.
> Si perte de la corticale vestibulaire, deux clous en vestibulaire pour creer une
> convexité de la membrane et remplissage avec du bioss, plus récemment du
> mineros.
> Je retire la membrane lors de la pose de l'implant à deux mois.
Bonjour albert,
Comment tu expliques "l'épithélium se développe par dessus" ?
Même avec des membranes Titane on a quelquefois des operculisations.
Si tu déposes la membrane à 2 mois pour poser l'implant, tu le pose dans un tissus conjonctif faiblement ossifié, cette stabilisation primaire (sans accroche apicale) te parait suffisante pour placer un pilier de cicatrisation ou est-ce que tu enfouis ton implant ?
CC.
16/09/2011 à 18h33
albert écrivait:
----------------
> Bonjour Ceramik
>
> Bio Horizon France vends du MINEROS par l’intermédiaire de Londres. Il faut se
> référencer pour avoir le droit de commander, après c’est plus simple.
> Effectivement c’est un très bon produit mais je n’ai pas beaucoup de recul.
>
> Puros c'est beaucoup trop cher.
>
> Tout fonctionne mais ce qui m’intéresse c’est ce qui donne régulièrement des
> résultats constants. Les membranes résorbables qui disparaissent en moins de 6
> mois, c’est très fréquent. Quand il faut reconstruire des volumes osseux
> important je préfère le non résorbable associé à un sandwich autogène puis
> biomatériau. Choix personnel.
J'ai des dizaines et des dizaines de cas sur 4 ans fait avec Mineros, qui est très accessible chez moi (Canada)
J'ai tjs un os dense (D2) à 4-5 mois, et très utilisable (D3) à 3 mois si le défaut n'était pas majeur. Stabilité primaire ok, pas de soucis.
Si paroie très abimée, je place membranne plus durable (Biomend extend) et des punaises (tacs). Quelques cas avec treillis titane, sur lequel je place une membranne collagène souple. Je laisse alors en place 6 mois.
Si molaire inférieur, je prends le truc de Pikos, exo, curetage ( avec fraise boule et H2O physiologique), Mineros, membranne TXT-200, sutures, dépose sutures+ membranne à 3-4 semaines. Os D2 à 4 mois.
J'ajoute du conjonctif enfoui en zone esthétique assez souvent, simple et tellement mieux ensuite pour la phase prothétique.
--
Céramik
16/09/2011 à 19h53
« Comment tu expliques "l'épithélium se développe par dessus" ? Même avec des membranes Titane on a quelquefois des operculisations. »
Oui c’est différent des membranes titane l’épithélium se développe par-dessus. C’est pourquoi certains la retire à 3 semaines.
« Si tu déposes la membrane à 2 mois pour poser l'implant, tu le pose dans un tissus conjonctif faiblement ossifié »
Oui
« cette stabilisation primaire (sans accroche apicale) te parait suffisante pour placer un pilier de cicatrisation ou est-ce que tu enfouis ton implant ? »
Je recherche toujours une accroche apicale quand c’est possible, une friction proximale autant que possible, et je sous fore en diamètre. Dans ces conditions, le plus souvent je dépasse les 45 newtons de stabilité primaire. Si la reconstruction osseuse attendue est importante ou modérée je ne mets pas de pilier de cicatrisation : ce n’est pas la stabilité primaire mais la reconstruction osseuse qui guide mon choix.
16/09/2011 à 22h10
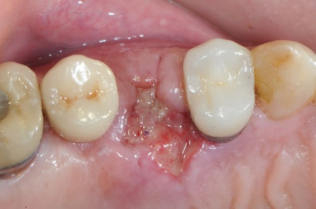
je poursuis donc mon cas clinique si vous voulez bien.
1- curette en appuie sur la face vestibulaire montrant la destruction osseuse.
2- lambeau pleine épaisseur en palatin pour aller chercher un bout de conjonctif qui soit pédiculé.
3 je décole à partit des rebords de la déhiscence osseuse et reste en contacte permanent avec la corticale osseuse tout en décollant la gencive (elle est soulevé donc)
4- comblement avec de la poudre de perlin-pin-pin
( désolé je suis pas au cabinet et je sais plus ce que j'ai mis dedans)
5-6- sutures du conjonctif pour obtenir l'étanchéité (enfin , on essaye)
7- résultat à j+7
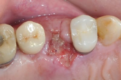
17/09/2011 à 20h19
merci céramique!
c'est peut être un hasard, mais le patient est justement passé aujourd'hui. j'en ai bien sure profité pour faire une photo...
on est ici à j+5 mois, pas de perte osseuse vestibulaire.
la pose d'implant ( flapless très certainement) est prévue pour dans 15 jours.
19/09/2011 à 04h03
dentiste57 écrivait:
--------------------
> personne ne veut poster un cas ??
bien c'est Dimanche mon ami !
Tient photo du jour, et un p'tit cas juste pour toi.
--
Céramik