Tous les forums
gestion des extractions AVANT implantation
20 678
77
drmarcus
26/09/2011 à 12h23
l adan écrivait:
----------------
>
> Sorry ;-)) j'ai utilisé le matribone plutot que novabone .Je n'avais pas vu ta
> présentation : du coup mon intervention n'apporte pas grand chose de plus !!
Bien sur que si ton intervention est importante. Il est on de savoir que l'on est pas seul à apprecier le produit et de savoir que les résultats sont constant quelque soit le protocole. C'est même très important!
--
"La vis est à l'implant ce que la carie est à la dent!" (Pozzi)
drmarcus
26/09/2011 à 15h22
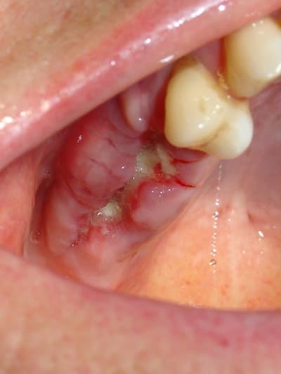
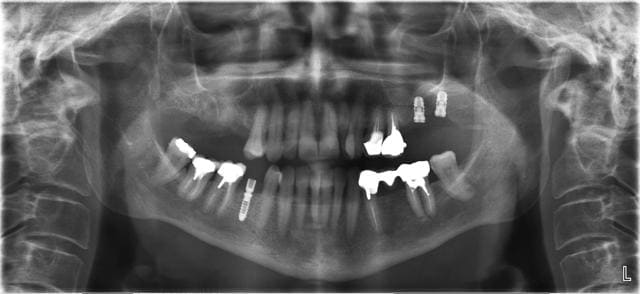
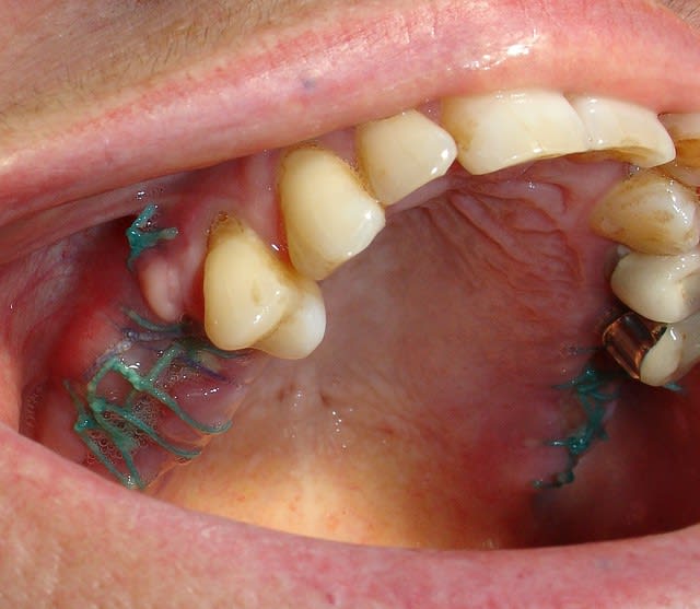
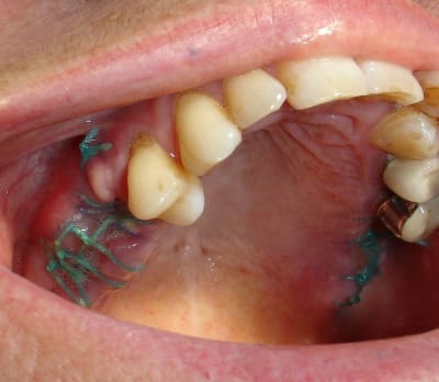
La suite des extractions et comblement par matri bone Prf.
Résultat rx et visuel à 8 jours.
Pour le moment rien que du très classique.
--
"La vis est à l'implant ce que la carie est à la dent!" (Pozzi)