Cookie Consent byPrivacyPolicies.combridge complet sur charge immediate - Eugenol

bridge complet sur charge immediate

reno

19/09/2011 à 18h57

juste pour info combien coute un bridge complet pour une charge immediate (cas sur 6 implant ?


RC Concept

19/09/2011 à 19h12

Le provisoire résine ou le définitif ? Marque des implants ?
Si provisoire avec renfort coulé ou non? Avec ou sans montage?(ré-indexation de la prothèse existante...)


reno

19/09/2011 à 20h03

bridge pro sur 6 implants nobel active pas de renfort coulé ( une horreur aucune passivitée !! )


reno

19/09/2011 à 20h04

avec montage , travail realisé dans la journee


RC Concept

19/09/2011 à 20h28

Aucune passivité? Pas dans le cas d'un renfort télescopique non connecter au pilier provisoire, juste noyer dans la résine... (ça rend bien service dans certaine situation...)

Pour le tarifs autour de 800€...


reno

19/09/2011 à 21h08

merci , pour les renforts coulés j ai eu plusieurs cas de labo lyonnais qui s amusent à souder au laser sur les pilliers !! resultat aucune passivité et un travail à refaire


Img 2951 flo3gr - Eugenol
molinarius

01/10/2011 à 16h23

bon en même temps c'est un travail à réaliser dans la journée c.a.d 3 ou 4 heures , une fois déduit le temps de fabriquer les modèle , mise en articu etc etc , donc au sein d un labo c'est
chaud de trouver une solution adaptée pour un avoir un résulta optimum . la solution de la soudure laser me semble être la plus judicieuse avec cette contrainte de temps... dommage
que le résultat obtenue ne soit pas concluant .


Img 2951 flo3gr - Eugenol
molinarius

01/10/2011 à 16h31

reno écrivait:
--------------
> bridge pro sur 6 implants nobel active pas de renfort coulé ( une horreur aucune
> passivitée !! )

petite question..
6 nobel active donc connection interne , donc pas de provisoire transvissé , il existe
des connectiques non rotationnelles sur ces derniers?
je pensais que sur les mise en charge immédiate , on passait toujours sur du transvissé ?

merci


3f3boxni50k58rq7e9ce9ddqrxgk - Eugenol
dentiste57

01/10/2011 à 18h44

molinarius écrivait:
--------------------

> je pensais que sur les mise en charge immédiate , on passait toujours sur du
> transvissé ?
>

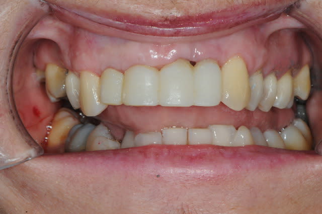
tu peux aussi bien planter tes implant et directement utiliser les piliers du commerce...


ici bridge sur 4 implant avec mise en charge immédiate sur des piliers angulés

(pour l'instant c'est affreux, mais la patiente est contente)

Dsc 2997 schjeo - Eugenol
Dsc 2998 g1jdmu - Eugenol
Dsc 3024 a6yps5 - Eugenol
Dsc 2994 k9hum6 - Eugenol
Dsc 3238 koqcte - Eugenol

Img 2951 flo3gr - Eugenol
molinarius

01/10/2011 à 21h30

merci de l'info ,

j'ai eu l occasion de travailler sur du nobel active récemment , et j ai eu pas mal de problème pour faire le pilier étant donné l'enfouissement de ce derniers et vis de cica trop tubulaire. galère pour sortir un profil d'émergence correcte par rapport à la dent à réaliser ( une 24 ) . ça c'est terminé par un coup de bistouri et le praticien ma demandé de lui faire des vis de cicatrisation sur mesure pour ses prochain cas ..
Et en ce moment j ai un autre cas avec 6 implants strauman bone lvl c'est bien foutu je trouve ( point de vue coté labo ) alternance connection interne et base externe .
si tu peux nous faire partager l 'évolution de ce cas ce serait intéressant.


reno

01/10/2011 à 23h35

L idéal avec le Nobel active c est de faire une charge immédiate. Je réduis toute la partie du cylindre qui est en sous gingivale ( une radio est nécessaire pour vérifier que la connections est nickel !). Pour le profil d émergences tu fais revenir ton patient et tu travail ton collet avec de la résine auto tu pourras ainsi redessiner sans problème la gencive et faire remonter tes papilles. Tu peux faire du trans vissé sans problème


ndecer

03/10/2011 à 16h21

> ici bridge sur 4 implant avec mise en charge immédiate sur des piliers angulés
>
> (pour l'instant c'est affreux, mais la patiente est contente)

Juste une question sur ce cas, pourquoi avoir tenu a mettre 4 implants, avec un implant de moins voire 2 il aurait été possible d'aligner les collets avec une greffe de conjonctif enfoui au niveau de l'inter.
Je ne veux pas critiquer le cas qui est chouette par ailleurs au niveau du positionnement des implants.


003 penrd2 - Eugenol
Cingulum

03/10/2011 à 16h43

reno écrivait:
--------------
souder au laser sur les pilliers !! resultat aucune passivité et un
> travail à refaire

La passivité en mise en charge immédiate, est ce important ?
Je dis pas mal adapté, je dis ça force un peu....

--
Dr Cingulum
-----Ancien interné----
----Attaché à l'apex----
http://www.clinic-all.fr/ formation par passion


reno

08/10/2011 à 21h17

c est primordiale


Cuisinier2 vnbbxx - Eugenol
jeff2

08/10/2011 à 21h23

le peu d’expérience que j'ai comme poseur de prothèse sur de l'Active, c'est systématiquement sous anesthésie, même pour déposer des provisoires et systématiquement coup de bistouri mésial et distal au contact osseux lors de la pose.


3f3boxni50k58rq7e9ce9ddqrxgk - Eugenol
dentiste57

09/10/2011 à 12h01

ndecer écrivait:
----------------
> > ici bridge sur 4 implant avec mise en charge immédiate sur des piliers angulés
> >
> > (pour l'instant c'est affreux, mais la patiente est contente)
>
> Juste une question sur ce cas, pourquoi avoir tenu a mettre 4 implants, avec un
> implant de moins voire 2 il aurait été possible d'aligner les collets avec une
> greffe de conjonctif enfoui au niveau de l'inter.

parce que la patiente ne supportait plus son appareil provisoire et que seule une mise en esthétique immédiate permettait cela. bien sur il était hors de question de faire cela sur 2 implants.

maintenant, la gestion de l'esthétisme en générale est effectivement beaucoup plus facile avec 2 implants uniquement.


3f3boxni50k58rq7e9ce9ddqrxgk - Eugenol
dentiste57

09/10/2011 à 12h01

.