Cookie Consent byPrivacyPolicies.comDemande avis pour extraction/implantation JEUDI - Eugenol

Demande avis pour extraction/implantation JEUDI

Gutgut

19/09/2011 à 22h58

Bonjour !

Situation pour jeudi matin :

- 11 : extraction et implantation 11 rhyzalysée et mobile
- 21 : céramique pure sur 21.

Espaces mesio distaux : 8mm

Prévus implant Zimmer (finir les stocks) ou Legacy (j'en vois déja un venir...:) ) de 4,1 mm ou 4,2, longueur au moins 11,5 faisable

Wax-up fait (photos demain midi) : est prévu de fermer béance antérieure 11+21

Radios demain midi.

Pas de guide

Pas de recouvrement, occlusion inversée secteur 1/4, bout a bout incisif.

Questions :
- Feriez vous extraction/implantation + mise en esthétique immédiate ? Risques ? Pourquoi risquer ? Taux de réussite ?

- Avez vous trucs ou astuces pour créer une provisoire pour mise en esth immédiate : matériaux, type de piliers provisoires, fraises à polir, marques, résine auto ou composite ?

- Zircone/pas zircone ?

Img 3308 puuozt - Eugenol
Img 3305 ixzkoi - Eugenol

Photo pluton1b h9n4ea - Eugenol
pluton

19/09/2011 à 23h43

Gutgut écrivait:
----------------
> Bonjour !
>
> Situation pour jeudi matin :
>
> - 11 : extraction et implantation 11 rhyzalysée et mobile
> - 21 : céramique pure sur 21.
>
> Espaces mesio distaux : 8mm
>
> Prévus implant Zimmer (finir les stocks) ou Legacy (j'en vois déja un venir...:)
> ) de 4,1 mm ou 4,2, longueur au moins 11,5 faisable
>
> Wax-up fait (photos demain midi) : est prévu de fermer béance antérieure 11+21
>
> Radios demain midi.
>
> Pas de guide
>
> Pas de recouvrement, occlusion inversée secteur 1/4, bout a bout incisif.
>
> Questions :
> - Feriez vous extraction/implantation + mise en esthétique immédiate ? Risques ?
> Pourquoi risquer ? Taux de réussite ?
>
> - Avez vous trucs ou astuces pour créer une provisoire pour mise en esth
> immédiate : matériaux, type de piliers provisoires, fraises à polir, marques,
> résine auto ou composite ?
>
> - Zircone/pas zircone ?


pfff, au lieu de venir avec tes photos, fallait venir avec tes moulages/wax-up....et tu serais reparti avec un cas "bétonné"...

que tu poses des zimmer ou legacy, çà reviendra au même ou quasi...
il te faut: les 2 implants, 2 piliers plastiques provisoires et 2 analogues

faire sans guide...c'est un risque...t'as pas encore "beaucoup d'heures de vol"...et même moi pour des cas esthétiques, je ne m'en prive pas (et t'as même vu que pour des cas postérieurs, j'en utilise toujours...)

pour EII avec MCI, çà m'a l'air d'être une bonne indication. Le biotype gingival a l'air sympa...
seul truc à bien faire pour la chir: sous occluser les provisoires...aucun contact travaillant/non travaillant même si çà fait pas top pour l'esthétique...
chir si possible flapless...

pour les diamètres d'implants, il est préférable d'avoir un peu de gap vestibulaire que pas du tout...donc c'est mieux de poser un poil plus petit en diamètre que trop vouloir "coller" au diamètre des racines...et si besoin combler avec un biomat (TCP ou mieux biooss qui préservera encore plus le volume...)

pour les prov, je t'aurais fait un guide souple en copyplast moulé au biostar qui t'aurais guidé pour ta chir et permis de faire impec tes prov (un coup de compo flow et zou...) temps de réalisation du guide dans mon labo: moins de 10 minutes...pfff...

te restes plus qu'a me téléphoner et ramener tes fesses au cab avant jeudi...


Blason dql7mj - Eugenol
growler

20/09/2011 à 00h53

tu peux aussi évider la couronne naturelle pour réaliser ta provisoire.


Gutgut

20/09/2011 à 14h48

Voilà la suite.

Le cas sera illustré.

Plan de traitement modifé par les conseils toujours affutés de Pluton :

- jeudi : extraction + implantation 11 pour MCI avec petit guide chirurgical maison en résine thermoformée pour le passage du foret initial et la confection de la provisoire en compo flow.

Utilisation d'un pilier pro sur analogue pour monter ou polir le compo.



- la suite : taille 21 pour tout céram une fois la phase de cicat de 11 passée.

A suivre

(les platres sont un peu usés car utilisés pour gouttières de blanchiment)

Img 4342 luxzcc - Eugenol
Img 4345 qglil8 - Eugenol
Img 4360 jco6hh - Eugenol
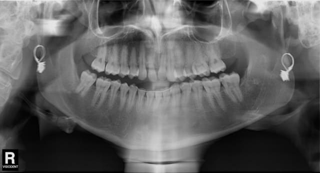
Pano znwidz - Eugenol
Retro edtq7l - Eugenol

Avatar ow44t3 - Eugenol
Chicot

20/09/2011 à 15h24

Penses quand même à traiter 37

Sinon ton plan de traitement parait sympa.

Tu peux aussi préparer la centrale pour faire un 'bridge provisoire cantilever 2 dents' si tu peux pas faire l'EII+MCI

--
;O)


Gutgut

20/09/2011 à 15h26

Yes

C'est ce que j'ai prévu. Meme peut etre avec une atelle collée + fibre de verre sur 13


Pour 37, il faut que je vérifie ! Merci j'etais concentré sur 11/21

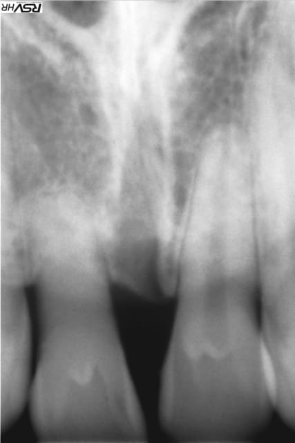
Par contre par rapport à ça, j'ai souvent eu des images à la pano type carie au niveau des points de contacts, qui n'ont pas été confirmées à la retro et à l'examen clinique...


Smile beach jgh0a1 - Eugenol
Céramik

22/09/2011 à 01h45

Gutgut écrivait:
----------------
>>
> Pour 37, il faut que je vérifie ! Merci j'etais concentré sur 11/21
>
> Par contre par rapport à ça, j'ai souvent eu des images à la pano type carie au
> niveau des points de contacts, qui n'ont pas été confirmées à la retro et à
> l'examen clinique...

Pour moi c'est un peu l'inverse...si carie visible sur pano, c'est très gros en bouche...



--
Céramik


Gutgut

22/09/2011 à 18h42

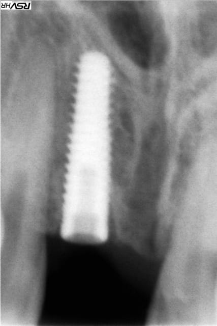
Implant posé ce matin

Le guide n'a pas été utilisé. Pas assez stable, délicat pour la visibilité, me sentais moins bien avec que sans : l'axe me paraissait pas correspondre, peur de fraiser de la résine.

Extraction simple, hauteur racine 10mm.
Alvéole propre, "boulevard" pour implanter.

Premier forage légerement en palatin, trop car petite excursion dans canal retro incisif.

Reprise de l'axe finalement au fond de l'alvéole.

Implant Legacy (ayé) 3 4,2x16mm

Bonne stabilité primaire, saignement abondant.

Utilisation pilier provisoire résine plateforme 4.7, injection de flow et polissage pour galber mais pas trop pour que la gencive revienne.

Pas de sutures, pas besoin.

Les critiques (productives et modérées) sont les bienvenues

Img 4379 gvjvjh - Eugenol
Imp tqlx4t - Eugenol
Img 4387 zkwzhu - Eugenol
Img 4363 qumon0 - Eugenol
Img 4386 chf4qz - Eugenol
Img 4366 jaycbd - Eugenol
Img 4377 qm9sis - Eugenol

Avatar ow44t3 - Eugenol
Chicot

22/09/2011 à 21h09

attention, il ne faut pas de point de contact avec les dents controlaterales car elles risquent de provoquer des micromouvements lors de leurs déplacements lors de la mastication

en distal ça serre pas trop ?


--
;O)


3f3boxni50k58rq7e9ce9ddqrxgk - Eugenol
dentiste57

22/09/2011 à 21h20

well done!

toutefois, je pense que tu as été légèrement dévié par l'alvéole. pour éviter d'être trop ennuyé prévois un CA bague rouge et une fraise type lindeman pour créer ton axe d'implantation.


Photo pluton1b h9n4ea - Eugenol
pluton

22/09/2011 à 23h16

Gutgut écrivait:
----------------
> Implant posé ce matin
>
> Le guide n'a pas été utilisé. Pas assez stable, délicat pour la visibilité, me
> sentais moins bien avec que sans : l'axe me paraissait pas correspondre, peur de
> fraiser de la résine.

oui et bien il faut que je te montre quel matériau utiliser et çà ira mieux...;-)
>
> Extraction simple, hauteur racine 10mm.
> Alvéole propre, "boulevard" pour implanter.
>
> Premier forage légerement en palatin, trop car petite excursion dans canal retro
> incisif.
>
> Reprise de l'axe finalement au fond de l'alvéole.
>
> Implant Legacy (ayé) 3 4,2x16mm
>
> Bonne stabilité primaire, saignement abondant.

et alors? t'as trouvé çà bien ou pas...?
juste une toute petite remarque: je l'aurais un poil plus enfoui cet implant 1/3 de tour (0.6mm) histoire d'anticiper la résorption osseuse post extractionnelle...et de bénéficier pleinement du concept de plateform switching que t'offre le legacy3 en 4.2mm...mais bon...et comme les copains, tu t'es un peu trop laissé diriger par ton alvéole...mais çà le fera quand même...
>
> Utilisation pilier provisoire résine plateforme 4.7, injection de flow et
> polissage pour galber mais pas trop pour que la gencive revienne.

NON!!!! t'as pas fait çà!!!!
regarde les photos...le pilier prov pour le legacy3 en 4.2mm DOIT être un pilier 3.5!!!!
pourquoi? le 3.5 a un cône (à 44°) le 4.5 (pour implant 4.7 et 5.2) a une plateforme plate suivie d'un cône lui aussi à 44°...
bien sûr l'hex est identique (2.5mm) MAIS en utilisant ce pilier:
- tu ne portes que sur une "arrête" de plastique et non sur tout le cône...
- ton hex en plastique ne descend pas à fond dans l'hex de l'implant!!!!!!!!!!

bilan: tu n'as pas d'étanchéité, très peu de stabilité et c'est la vis qui encaisse tout!!!!!
refais très vite ta prov en utilisant le bon pilier, sinon prie pour pas qu'il y ait de casse!!!!

Pilier 3 - Eugenol
Pilier 4 - Eugenol

Gutgut

22/09/2011 à 23h45

Je ne pense pas avoir été dévié par l'alvéole mais plutot trop foré volontairement en palatin en me disant à tors que l'axe de la racine était trop vestibulé.

Pluton j'ai rajouté une photo avec un analogue 4,7 et la provisoire.
Effectivement on a pas été rigoureux la dessus.
Penses tu qu'une correction à la fraise fine une fois la couronne dévissée et revissée sur un analogue 3,7 peut suffire ou faut til tout refaire ?

Le risque de fracture de la vis s'éleve à combien sur une échelle de 1 à 10 ? :)


Photo pluton1b h9n4ea - Eugenol
pluton

23/09/2011 à 00h05

refais (vite) toute ta prov, tu mettras moins de temps qu'a essayer de recréer un cône régulier sur un analogue...

en tentant de modifier, ton étanchéité sur une échelle de 1 à 10...2 au grand max...et c'est important si tu veux une belle gencive et une belle cicat...
ta stabilité prothétique sur la même échelle...3
ton risque de dévissage de la prov...8
ton risque de facture de la vis...entre 8 et 10...

le risque de refaire dans les jours qui viennent (si c'est demain c'est encore mieux) la provisoire... 1

re-contactes vite ton patient...dis lui qu'après vérification du matériel utilisé pour faire ton compte rendu op tu t'es aperçu qu'il y avait une erreur sur la référence du pilier utilisé et qu'il faut que tu lui refasses (gratuitement bien sûr) et le plus rapidement possible sa provisoire pour éviter tout problème...


Gutgut

23/09/2011 à 00h13

Ah ! :)


Photo pluton1b h9n4ea - Eugenol
pluton

23/09/2011 à 00h27

bon, c'est une erreur facilement corrigeable...et puis tu t'es fait prendre une fois...et on ne t'y reprendra plus...;-)

mais les codes couleurs des plateformes prothétiques, c'est pas pour les chiens...
bleu ciel: plateforme 3mm...on n'utilise que des éléments prothétiques 3mm
vert: plateforme 3.5mm...on n'utilise que des éléments prothétiques 3.5mm
violet: plateforme 4.5 idem, que du 4.5
jaune: plateforme 5.7mm et là encore que du 5.7

chez ID, ces codes couleurs se retrouvent sur tous les conteneurs et parfois les pièces, si tu ouvres bien les yeux, c'est impossible de ce tromper...

bon sinon, t'en as pensé quoi du legacy3?


Gutgut

23/09/2011 à 00h49

Reste à trouver de la place dans un planning full et l'agenda de la patiente. Je la revois dans 3 semaines de toute façon.

Content de mon cas quand meme, ma dose de stress vient d'atteindre 10/10 (Cf. Echelle précédente) en moins de 30 minutes...

Je revois mes photos en zommant au max : le "joint" pilier pro/analogue me parrait convenable...Bon plus j'en dis, moins je parais rigoureux mais bon. On apprend toujours...

Récapitulons. Une plateforme 3.5 pour un implant 4,2 doit correspondre à un pilier plateforme 3,5. Déja, quelle est l'influence de la hauteur du col : 1, 2 ou 3 chez Zimmer ?
Ensuite quelle est l'influence de l'angulation du col.
Par ex pour les coiffes de cicat : 3/3, 3/5, 5/4, 5/5, je me perds là (besoin cours particulier).
Là, j'ai mis une plateforme 4,5. Elle dépasse donc de 0.5 mm de l'implant.


Bon sinon Legacy ça à l'air bien. J'ai sous foré (os type 3) en passant à longueur moins 3 mm le dernier foret de la trousse Zimmer pour les implants 4,1. Bonne impression de mordant dans l'os avec le tourne vis.


Quel est l'intéret d'utiliser du "plastic non engaging", ou du "plastic engaging" ?


Photo pluton1b h9n4ea - Eugenol
pluton

23/09/2011 à 01h13

Gutgut écrivait:
----------------
> Reste à trouver de la place dans un planning full et l'agenda de la patiente. Je
> la revoit dans 3 semaines de toute façon.

à 3 semaines...çà commence à plus vraiment être le bon moment pour ré-intervenir...

>
> Content de mon cas quand meme, ma dose de stress vient d'atteindre 10/10 (Cf.
> Echelle précédente) en moins de 30 minutes...

désolé...:-(...mais j'ai (encore) une bonne vue...et découvrant ton erreur...qu'aurai-je du faire? ne rien te dire et te laisser te débrouiller...ou te dire la vérité...

> Je revoit mes photos en zommant au max : le "joint" pilier pro/analogue me
> parrait convenable...Bon plus j'en dis, moins je parrait rigoureux mais bon. On
> apprend toujours...

oui, mais çà va forcément bouger, s'user, se dévisser...et au final çà risque de casser...ton joint "immédiat" est bon, mais il va très vite ne plus l'être...

> Récapitulons. Une plateforme 3.5 pour un implant 4,2 doit correspondre à un
> pilier plateforme 3,5. Déja, quelle est l'influence de la hauteur du col : 1, 2
> ou 3 chez Zimmer ?

l'influence, c'est simple, c'est une surface de contact ce cône...là tu n'as qu'un cercle de contact...le titane va user le plastique...c'est sûr...et comme ton hex en plastique n'est pas au fond de l'hex de l'implant, tu auras rapidement une possibilité de mouvement vertical du pilier, comme s'il était dévissé...tu comprends donc qu'a la moindre anicroche...c'est la vis qui prend...
> Ensuite quelle est l'influence de l'angulation du col.
> Par ex pour les coiffes de cicat : 3/3, 3/5, 5/4, 5/5, je me perd là (besoin
> cours particulier).

je t'expliquerai vendredi prochain...;-)

> Là, j'ai mis une plateforme 4,5. Elle dépasse donc de 0.5 mm de l'implant.


mais pas que...cf plus haut...

> Bon sinon Legacy ça à l'air bien. J'ai sous foré (os type 3) en passant à
> longueur moins 3 mm le dernier foret de la trousse Zimmer pour les implants 4,1.
> Bonne impression de mordant dans l'os avec le tourne vis.
>
>
> Quel est l'intéret d'utiliser du "plastic non engaging", ou du "plastic
> engaging" ?

plastic non engaging, c'est le même pilier mais sans l'hexagone...donc pour faire des bridges prov transvissés
et le pilier engaging, c'est celui avec l'hex antirotationnel donc pour les unitaires...;-)


Logo m4n3gc - Eugenol
drmarcus

26/09/2011 à 12h32

...... tu te serais as trompé avec du Leone.... en plus tu n'aurais pas eu peur d'enfouir etc.... :-)))
Bravo Pluton encore une fois tu prouves que l'on peut réellement compter sur toi.
Merci encore merci.

--
"La vis est à l'implant ce que la carie est à la dent!" (Pozzi)


Gutgut

28/09/2011 à 00h27

Chicot écrivait:
----------------
> Penses quand même à traiter 37
>
> Sinon ton plan de traitement parait sympa.
>
> Tu peux aussi préparer la centrale pour faire un 'bridge provisoire cantilever 2
> dents' si tu peux pas faire l'EII+MCI
>
> --
> ;O)


J'ai vérifié, la 37 avait été traitée entre temps.

Pour ceramik : il s'agissait bien de ça à la radio :)


Gutgut

06/01/2012 à 01h26

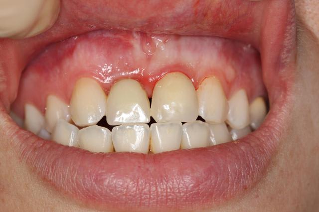
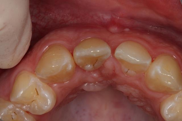
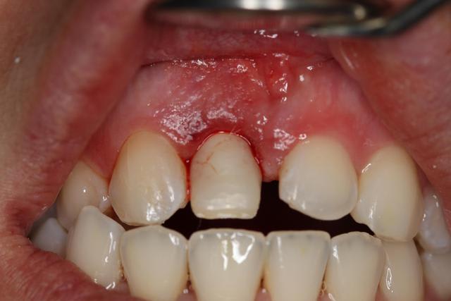
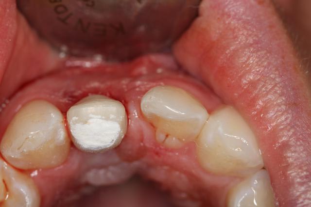
Provisoires

Gencive légèrement moins galbée sur implant

Img 4698 inlwge - Eugenol
Img 4769 zvapvj - Eugenol

Photo pluton1b h9n4ea - Eugenol
pluton

06/01/2012 à 01h42

joli...;-)
mais tu devrais un poil augmenter l'épaisseur au collet en épaississant le composite...çà va refouler ta gencive en vestibulaire et comme en même temps çà va la faire remonter un peu, tu auras les collets plus alignés...;-)
dommage en tout cas, ton implant, un tout petit peu plus enfoui et çà aurait été parfait...


Avatar ow44t3 - Eugenol
Chicot

06/01/2012 à 09h03

pluton écrivait:
----------------
> joli...;-)
> mais tu devrais un poil augmenter l'épaisseur au collet en épaississant le
> composite...çà va refouler ta gencive en vestibulaire et comme en même temps çà
> va la faire remonter un peu, tu auras les collets plus alignés...;-)
> dommage en tout cas, ton implant, un tout petit peu plus enfoui et çà aurait été
> parfait...

+1 et élargi la face mésiale de 11 pour avoir un profil de la papille centrale plus symétrique

--
;O)


Smile beach jgh0a1 - Eugenol
Céramik

06/01/2012 à 13h49

Gutgut écrivait:
----------------
> Provisoires
>
> Gencive légèrement moins galbée sur implant

Ajout de conjonctif ? Avec un peu de bioss...et un peu de travail sur les provisoires, attente de qq mois et couronnes e.max sur pilier zircone.


--
Céramik