Cookie Consent byPrivacyPolicies.comfacettes - Eugenol

facettes

Maroc 02 l0ohhm - Eugenol
FAT09

20/09/2011 à 10h33

Bonjour!!
Je cherche un bon laboratoire pour les facettes et je compte sur vous pour m'aider.
Merci d'avance
PS: je suis sur Paris


Grueavatar nptrc9 - Eugenol
Le Choixpeau magique

20/09/2011 à 12h23

Good luck, ça m'intéresse aussi.
Perso je continue ma quête du laboratoire emax de mes rêves, pour l'instant ça donne souvent ça "ah oui, bien sûr on fait de l'e.max depuis quelques mois, mais vous savez dans la plupart des cas In-ceram/Procera/Zircone (rayez les mentions inutiles) c'est bien mieux", d'accord, je vais réfléchir...


003 penrd2 - Eugenol
Cingulum

20/09/2011 à 12h31

pourquoi pas un demander au commercial de chez Ivoclar, ils savent bien quels labo consomment les lingotins Emax...


--
Dr Cingulum
-----Ancien interné----
----Attaché à l'apex----
http://www.clinic-all.fr/ formation par passion


Grueavatar nptrc9 - Eugenol
Le Choixpeau magique

20/09/2011 à 12h43

Cingulum écrivait:
------------------
> pourquoi pas un demander au commercial de chez Ivoclar, ils savent bien quels
> labo consomment les lingotins Emax...

Déjà essayé, ils t'envoient une liste dans ton coin.
Sur 6 noms, trois n'existaient plus, deux je les connaissais déjà pour la piètre qualité de leurs CCM, et le dernier j'ai fait quelques travaux avec lui mais comme beaucoup il avait commandé quelques lingotins MO pour essayer mais son expertise s'arrêtait là... Je lui ai demandé de me faire une couronne monobloc en postérieur il m'a dit que ça n'existait pas, qu'il fallait absolument stratifier... sa maîtrise de l'occlusion était à l'avenant...


zebigtouff

20/09/2011 à 13h22

tout le monde sait qu'à Paris c'est un désert médical!
Exilez_vous, venez en Tarentaise!

--
Zebigtouff


vmdeugénol

20/09/2011 à 13h34

Trouves toi un vieux Cerec 3D d'ocaze et tu seras étonné......


RépondreCiter
003 penrd2 - Eugenol
Cingulum

20/09/2011 à 13h54

vmdeugénol écrivait:
--------------------
> Trouves toi un vieux Cerec 3D d'ocaze et tu seras étonné......

moi ça va me prendre un jour :)


--
Dr Cingulum
-----Ancien interné----
----Attaché à l'apex----
http://www.clinic-all.fr/ formation par passion


Smile beach jgh0a1 - Eugenol
Céramik

20/09/2011 à 14h29


Pourquoi pas en Chine, ils en font des milliers par semaine...


--
Céramik


frenchlabo

20/09/2011 à 14h54

vmdeugenol si tu arrives a faire une belle facette avec un cerc tu es tres fort ce n est pas assez precis


arno

20/09/2011 à 15h18

Elle est bien bonne celle là!

frenchlabo écrivait:
--------------------
> vmdeugenol si tu arrives a faire une belle facette avec un cerc tu es tres fort
> ce n est pas assez precis


Avatar ow44t3 - Eugenol
Chicot

20/09/2011 à 15h33

Va voir sur le site oraldesign.fr rubrique galerie photos et tu verras de jolis cas de facettes Emax.

Ce Labo avec lequel je travaille pour les cas d'Esthetique travail avec des Parisiens, ils ont la logistique pour le ramassage-livraison. Les tarifs sont pas donnés mais la qualité se paye

--
;O)


vmdeugénol

20/09/2011 à 16h57

Cette remarque est très pertinente, il serait utile de définir le cahier des charges des facettes.
La précision du Cerec dépend de la version du logiciel et de l'entretient de l'unité d'usinage.

Elle dépend aussi de la qualité de la préparation, on va préparer différemment pour de la cfao usinée ou pour de la pressée.

La prépa pour cfao marche pour la pressée, l'inverse NON.

La précision dépend aussi de la qualité de l'empreinte optique ( 19 microns)en terme de poudrage des surfaces, d'axe de modélisation.

La précision de la machine (7 microns selon les pas d'usinage) a pour but d'optimiser l'exactitude de la restauration en accord avec la préparation.

Cette exactitude est définie par la surface de la préparation à laquelle on DOIT soustraire un joint dento-prothétique.

Ce JDP doit être plus "mince" en périphérie qu'à l'intérieur de la restauration. Cela pour des raisons de respect des règles fondamentales de l'assemblage par collage.

Avec un Cerec3D et le bon logiciel, la bonne prépa, une facette est réalisable de AàZ en 30' sans se stresser.
On peut compliquer avec une stratification partielle ou totale, cela marche aussi très bien.

Pas de transitoire......il suffit de savoir comment çà marche.
Ne va pas croire que parce qu'on fait du Cerec on n'a jamais fais de dentisterie classique et le reproche de la précision est, si je me souviens, bien celui que je faisais le plus souvent à mon labo qui n'était pas plus mauvais qu'un autre mais qui n'était pas capable de me fournir des facettes minces, esthétiques et précises de façon constante et prévisible.

Il ne s'agit pas d'être très fort mais simplement de faire l'effort d'apprendre, de pratiquer soi-même et ensuite d'émettre un avis éclairé.
Maintenant si on préfère continuer à chercher le labo miracle pourquoi pas, en attendant on fait pas de facettes....

frenchlabo écrivait:
--------------------
> vmdeugenol si tu arrives a faire une belle facette avec un cerc tu es tres fort
> ce n est pas assez precis


Grueavatar nptrc9 - Eugenol
Le Choixpeau magique

20/09/2011 à 17h21

frenchlabo écrivait:
--------------------
> vmdeugenol si tu arrives a faire une belle facette avec un cerc tu es tres fort
> ce n est pas assez precis

Le problème surtout c'est qu'elle intérêt d'utiliser un technique de CFAO pour une facette qui devrait normalement être stratifiée ?


Grueavatar nptrc9 - Eugenol
Le Choixpeau magique

20/09/2011 à 17h25

Chicot écrivait:
----------------
> Va voir sur le site oraldesign.fr rubrique galerie photos et tu verras de jolis
> cas de facettes Emax.
>
> Ce Labo avec lequel je travaille pour les cas d'Esthetique travail avec des
> Parisiens, ils ont la logistique pour le ramassage-livraison. Les tarifs sont
> pas donnés mais la qualité se paye


Je suis bien d'accord, mais maintenant Jean Marc Etienne ça doit être les prix d'Ubassy !
Par ailleurs sur son site il ne parle nulle part d'emax mais plutôt de procera et vaguement de vitro, avec une préférence pour la creation CP qui si je ne dis pas de bêtise a des propriétés mécaniques en retrait.


vmdeugénol

20/09/2011 à 18h35

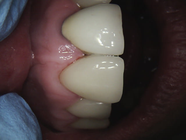
Pendant qu'on discute je viens de faire la 11 en facette à coté d'une ancienne CCM (plutot moyenne), la 21.

Temps de travail 25' café et 4heure compris (pendant les 7' d'usinage), même si ce n'est pas du grand art digne des stars du showbizz, la patiente est absolument ravie ( pour la petite histoire, elle a refusé la stratification par condensation de poudre céramique sur armature spinelle que le lui proposait....)

@+

S1w01220 gwa4gb - Eugenol

003 penrd2 - Eugenol
Cingulum

20/09/2011 à 19h25

franchement, c'est pas terrible, aprés que le patient soit ravi c'est pas un critére
tiens mon patient que je viens de voir pendant que tu faisais ta facette...
"rdv de controle car je pars a l'etranger et je voudrais pas avoir des problemes... et j'ai un peu d'aliment qui se coince en haut a gauche..."

véridique... :=)


--
Dr Cingulum
-----Ancien interné----
----Attaché à l'apex----
http://www.clinic-all.fr/ formation par passion

Tout va bien wxwkob - Eugenol

003 penrd2 - Eugenol
Cingulum

20/09/2011 à 19h27

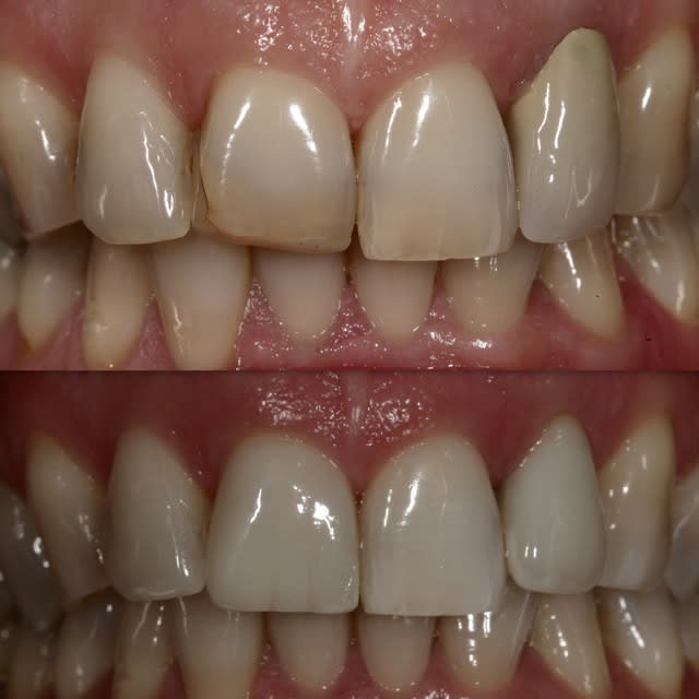
et un cas avec une facette comme la centrale....
et blanchiment.
Mais je suis d'accord on peut faire des belles choses en Cerec, même antérieur..;


--
Dr Cingulum
-----Ancien interné----
----Attaché à l'apex----
http://www.clinic-all.fr/ formation par passion

Facette xbw76i - Eugenol

vmdeugénol

20/09/2011 à 19h56

A force de vouloir être élitiste dans les choix thérapeutiques que certains imposent aux patients on se retrouve dans des situations comme celles-ci, celles de la panoramique.

A toujours vouloir être le plus fort, le plus beau et le plus habile des dentistes, on oubli trop souvent les patients.

Même pour l'esthétique et juger de ce qui est beau ou bon pour eux la vanité de certains peut les conduire vers des tourments dentaires ou financiers.

La demande du patient reste toujours la plus importante :
une dame de 50ans qui a 900 Euros par mois pour survivre et une dent de devant noirâtre est très heureuse de voir sa dent conservée vivante, recouverte d'une céramique pure collée à distance du sulcus et qu'en plus elle ne jure pas avec la voisine CCM qu'elle n'a pas les moyens de changer et qui du coup devient moins vilaine.

Elle préfère cela à une classique combinaison de composites à deux balles dont elle sait qu'ils sont la cause de sa CCM.

Préserver durablement le potentiel dentaire des patients en accords avec leurs souhaits et leurs possibilités ou leur imposer la perfection de l'art prothétique ?

La facette, acte suprême selon certains de l'esthétique, ne serait donc réservée qu'à une élite?

Bien évidement que ce cas de facette est fait pour provoquer des réactions et peut-être une forme de réflexion.

@+ et bon courage pour la suite


RépondreCiter
003 penrd2 - Eugenol
Cingulum

20/09/2011 à 20h19

Tu as raison,
et je n'impose rien à personne...
Combien factures tu la facette Cerec,
pour ma part c'est entre 370 et 450€ selon le nombre de facette.... je parie que tu es plus rentable que moi... ;)

Si il y a quelque chose que j'impose en terme de résultat, c'est à moi même...
Pour moi un dent c'est une restauration emax, car cela reproduit l'aspect la fonction et l'usure d'une dent...


--
Dr Cingulum
-----Ancien interné----
----Attaché à l'apex----
http://www.clinic-all.fr/ formation par passion


Avatar ow44t3 - Eugenol
Chicot

20/09/2011 à 21h56

Le Choixpeau magique écrivait:
------------------------------
> Chicot écrivait:
> ----------------
> > Va voir sur le site oraldesign.fr rubrique galerie photos et tu verras de
> jolis
> > cas de facettes Emax.
> >
> > Ce Labo avec lequel je travaille pour les cas d'Esthetique travail avec des
> > Parisiens, ils ont la logistique pour le ramassage-livraison. Les tarifs sont
> > pas donnés mais la qualité se paye
>
>
> Je suis bien d'accord, mais maintenant Jean Marc Etienne ça doit être les prix
> d'Ubassy !
> Par ailleurs sur son site il ne parle nulle part d'emax mais plutôt de procera
> et vaguement de vitro, avec une préférence pour la creation CP qui si je ne dis
> pas de bêtise a des propriétés mécaniques en retrait.

va voir galerie photos, cas N° 13. J'ai mis en place les protocoles avec lui pour l'Emax stratifié

--
;O)


Logo qw3xdt - Eugenol
dds

21/09/2011 à 01h35

Cingulum écrivait:
------------------
> Tu as raison,
> et je n'impose rien à personne...
> Combien factures tu la facette Cerec,
> pour ma part c'est entre 370 et 450€ selon le nombre de facette.... je parie que
> tu es plus rentable que moi... ;)
>
> Si il y a quelque chose que j'impose en terme de résultat, c'est à moi même...
> Pour moi un dent c'est une restauration emax, car cela reproduit l'aspect la
> fonction et l'usure d'une dent...

Pour une facette entre 370 & 450€ tout est compris?
Etude, wax-up, mock-up, Provisoire, etc?
Ou bien il y a des suppléments et c'est un prix d'appel?
Parce que là, moi perso vu le prix de mes factures de facettes Emax chez le prothésiste, à ce prix là, je fais juste les charges, et encore...


freeman

21/09/2011 à 03h07

dds écrivait:
-------------
> Cingulum écrivait:
> ------------------
> > Tu as raison,
> > et je n'impose rien à personne...
> > Combien factures tu la facette Cerec,
> > pour ma part c'est entre 370 et 450€ selon le nombre de facette.... je parie
> que
> > tu es plus rentable que moi... ;)
> >
> > Si il y a quelque chose que j'impose en terme de résultat, c'est à moi même...
> > Pour moi un dent c'est une restauration emax, car cela reproduit l'aspect la
> > fonction et l'usure d'une dent...
>
> Pour une facette entre 370 & 450€ tout est compris?
> Etude, wax-up, mock-up, Provisoire, etc?
> Ou bien il y a des suppléments et c'est un prix d'appel?
> Parce que là, moi perso vu le prix de mes factures de facettes Emax chez le
> prothésiste, à ce prix là, je fais juste les charges, et encore...

Cerec.


Smile beach jgh0a1 - Eugenol
Céramik

21/09/2011 à 04h29

Encore une fois...
Une courone, une facette...c'est la même chose.
Étude, modèle, wax- up, taille, empreinte ( optique ou pas), collage, ( provisoire ou pas)'
Méme prix.

Même chose en postérieur, peu importe le matériel, onlay, couronne, même travail sous digue, méme prix. Je fais du e-Max 95% du temps.



--
Céramik


Logo qw3xdt - Eugenol
dds

21/09/2011 à 11h20

Céramik écrivait:
-----------------
> Encore une fois...
> Une courone, une facette...c'est la même chose.
> Étude, modèle, wax- up, taille, empreinte ( optique ou pas), collage, (
> provisoire ou pas)'
> Méme prix.
>
> Même chose en postérieur, peu importe le matériel, onlay, couronne, même travail
> sous digue, méme prix. Je fais du e-Max 95% du temps.
>
>
>
> --
> Céramik

Céramik, je suis bien d'accord avec toi, et j'ai la même politique dans mon cabinet.
C'est pour cela que je m'étonnais du tarif aussi faible des facettes de cingulum.


Logo qw3xdt - Eugenol
dds

21/09/2011 à 11h20

Céramik écrivait:
-----------------
> Encore une fois...
> Une courone, une facette...c'est la même chose.
> Étude, modèle, wax- up, taille, empreinte ( optique ou pas), collage, (
> provisoire ou pas)'
> Méme prix.
>
> Même chose en postérieur, peu importe le matériel, onlay, couronne, même travail
> sous digue, méme prix. Je fais du e-Max 95% du temps.
>
>
>
> --
> Céramik

Céramik, je suis bien d'accord avec toi, et j'ai la même politique dans mon cabinet.
C'est pour cela que je m'étonnais du tarif aussi faible des facettes de cingulum.


12