Cookie Consent byPrivacyPolicies.comfacettes - Eugenol

facettes

003 penrd2 - Eugenol
Cingulum

21/09/2011 à 11h58

Je suis pas cher du tout et j'assume et c'est pour ça que je m'emporte un peu sur les histoires de dentisterie élitiste de VM... Mais ç'est moi qui ai commencé, j'avais passé une mauvaise journée et j'ai été agressif, c'etait pas le but... Méaculpa VMDeugenol

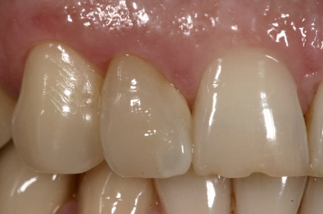
Pour les facettes Si j'en fait 1 :
470€, cout du cabinet hors frais de labo 190€/h, temps passé 45 minutes prep empreinte pro, 45 minutes collage (large). ça demande bien sur un labo qui assure au niveau régularité et ne pas perdre de temps en moulte essayage...

Frais de labo = 150€, reste 320€ pour 1h30, soit 213€ de l'heure ... en dessous du ratio, je vous l'accorde... mais il y a pire ...

Si j'en fait 4, le calcul est plus complexe, mais je met pas 4 fois le temps... disons 1 heure prep empreinte pro, et 1heure pour les coller... soit 2 heures... faites le calcul...

Quelques précisions:
1. Je met rarement la digue pour coller les facettes, je pense que ça apporte plus d'emmerde que de gain.... notamment au niveau du crampon dans le sulcus qu'on se donne tant de mal à préserver...

2. les facettes sont à 95% inclus dans un plan de traitement ou il y a autre chose...(couronne, blanchiment...) il est très rare de ne faire qu'une facette...

3. Je pense que c' est une technique qui ne devrait pas être élitiste, car c'est bon pour la dent, et c'est bon pour le patient.

4. En faisant souvent, les patients viennent d'eux même pour des facettes (ils se trompent cependant souvent sur l'indication...)




--
Dr Cingulum
-----Ancien interné----
----Attaché à l'apex----
http://www.clinic-all.fr/ formation par passion

Img 9342 kitvel - Eugenol
Img 9594 eemx8j - Eugenol
Img 9831 l4pfve - Eugenol

Logo qw3xdt - Eugenol
dds

21/09/2011 à 12h29

Cingulum écrivait:
------------------

> Pour les facettes Si j'en fait 1 :
> 470€, cout du cabinet hors frais de labo 190€/h, temps passé 45 minutes prep
> empreinte pro, 45 minutes collage (large). ça demande bien sur un labo qui
> assure au niveau régularité et ne pas perdre de temps en moulte essayage...
>

Tu fais des wax-up & mock-ups pour tester l'esthétique de la facette, et montrer au patient ce qu'il pourra avoir? Ou tu choisis l'apparence pour eux?


> Frais de labo = 150€, reste 320€ pour 1h30, soit 213€ de l'heure ... en dessous
> du ratio, je vous l'accorde... mais il y a pire ...
>
> Si j'en fait 4, le calcul est plus complexe, mais je met pas 4 fois le temps...
> disons 1 heure prep empreinte pro, et 1heure pour les coller... soit 2 heures...
> faites le calcul...
>
> Quelques précisions:
> 1. Je met rarement la digue pour coller les facettes, je pense que ça apporte
> plus d'emmerde que de gain.... notamment au niveau du crampon dans le sulcus
> qu'on se donne tant de mal à préserver...
>

Pourquoi ne pas poser la digue sur toute la bouche, fixée uniquement avec des crampons au niveau des molaires. Tu évites ainsi d'attaquer le sulcus des dents antérieures.

> 2. les facettes sont à 95% inclus dans un plan de traitement ou il y a autre
> chose...(couronne, blanchiment...) il est très rare de ne faire qu'une
> facette...
>

Certes tu fais ton blanchiment en même temps, mais c'est également une procédure qui nécessite beaucoup de contrôles et donc qui nécessite la facturation appropriée... J'espère que tu te rattrapes dessus alors...

> 3. Je pense que c' est une technique qui ne devrait pas être élitiste, car c'est
> bon pour la dent, et c'est bon pour le patient.
>

C'est une technique qui est forcément plus élitiste qu'une couronne car moins remboursée, nécessitant des protocoles de préparation plus rigoureux.
De plus la facette accepte moins les imperfections de préparation qu'une couronne.
Tout ceci pour dire que s'il faut faire plus attention, sur l'ensemble du travail, et que la facture du prothésiste est plus élevée que pour une couronne, alors le tarif doit suivre. Et donc on passe dans l'élistisme.

Enfin comme toute préparation de dent, on ne peut pas dire que cela soit "bon" pour le patient car forcément plus mutilant que pour un composite...
Après, le résultat n'est pas le même non plus...

> 4. En faisant souvent, les patients viennent d'eux même pour des facettes (ils
> se trompent cependant souvent sur l'indication...)
>

ok


003 penrd2 - Eugenol
Cingulum

21/09/2011 à 12h51


>
> Tu fais des wax-up & mock-ups pour tester l'esthétique de la facette, et montrer
> au patient ce qu'il pourra avoir? Ou tu choisis l'apparence pour eux?

Oui wax up, si nécessité de changer la forme position...



> Pourquoi ne pas poser la digue sur toute la bouche, fixée uniquement avec des
> crampons au niveau des molaires. Tu évites ainsi d'attaquer le sulcus des dents
> antérieures.

En général tu es obligé de mettre un crampon et de coller dent par dent... même avec une ligature, difficile pour moi de maintenir la digue en position surtout avec des dents contiguë... j'ai fait les deux... si tu y arrives tant mieux.



>
> Certes tu fais ton blanchiment en même temps, mais c'est également une procédure
> qui nécessite beaucoup de contrôles et donc qui nécessite la facturation
> appropriée... J'espère que tu te rattrapes dessus alors...

Je me rattrape sur rien, chaque traitement à sa propre rentabilité... je fais beaucoup de blanchiment sans traitement a coté aussi...
Maintenant forcément des traitements rapportent plus que d'autres...


>
> C'est une technique qui est forcément plus élitiste qu'une couronne car moins
> remboursée, nécessitant des protocoles de préparation plus rigoureux.

Je suis pas d'accord du tout. Utiliser une fraise sur une dent demande de la rigueur, que ce soit pour un compo, une couronne, ou une facette... ça c'est une idée commune!
Tu sais faire ou pas faire, c'est la seule différence, comme tu sais poser un implant, ou faire une endo.... tout ce que l'on fait demande de la rigueur...
Les règles de préparation doivent tenir compte de paramètres différent que pour une couronne, mais si tu prépares pas assez en occlusal, en cervical, que tu es trop ci, trop ça... avec ta couronne ça n'a pas de conséquences à ton avis ?





>et que la facture du prothésiste est plus élevée que pour une couronne,

oui, 10€ d'écart...




> pour le patient car forcément plus mutilant que pour un composite...

tu as raison, mais dans le cas de la facette rentre en compte le rendu esthétique, la stabilité dans le temps.
Le jour ou j'arriverai a faire pareil en compo qu'avec une ceram, je ne ferais plus de facette.... Mais je vois pas beaucoup de joli compo sur le secteur antérieur a 5 ans.... les miens sont dedans aussi....
le souci c'est quand c'est soit compo, soit couronne... parce qu'on sait pas faire de facette/onlay.... Il y a des indications pour les compo, les restaurations partielles, et les restaurations périphériques....







--
Dr Cingulum
-----Ancien interné----
----Attaché à l'apex----
http://www.clinic-all.fr/ formation par passion


Logo qw3xdt - Eugenol
dds

21/09/2011 à 13h07

.


Logo qw3xdt - Eugenol
dds

21/09/2011 à 13h07

Cingulum écrivait:
------------------
>
> >
> > Tu fais des wax-up & mock-ups pour tester l'esthétique de la facette, et
> montrer
> > au patient ce qu'il pourra avoir? Ou tu choisis l'apparence pour eux?
>
> Oui wax up, si nécessité de changer la forme position...
>
>

ok donc pas d'essayage préop?


>
> > Pourquoi ne pas poser la digue sur toute la bouche, fixée uniquement avec des
> > crampons au niveau des molaires. Tu évites ainsi d'attaquer le sulcus des
> dents
> > antérieures.
>
> En général tu es obligé de mettre un crampon et de coller dent par dent... même
> avec une ligature, difficile pour moi de maintenir la digue en position surtout
> avec des dents contiguë... j'ai fait les deux... si tu y arrives tant mieux.
>
>

Pour la digue, je te joins la méthode à laquelle je pensais pour la pose.

Digue bccmhi - Eugenol

Logo qw3xdt - Eugenol
dds

21/09/2011 à 13h15

Cingulum écrivait:
------------------
>

>
> Je me rattrape sur rien, chaque traitement à sa propre rentabilité... je fais
> beaucoup de blanchiment sans traitement a coté aussi...
> Maintenant forcément des traitements rapportent plus que d'autres...

Ok, tu mettais plus haut que les facettes étaient faites avec d'autres actes, ce qui sous-entendait que tu te rattrapais sur autre chose...

>
>
> >
> > C'est une technique qui est forcément plus élitiste qu'une couronne car moins
> > remboursée, nécessitant des protocoles de préparation plus rigoureux.
>
> Je suis pas d'accord du tout. Utiliser une fraise sur une dent demande de la
> rigueur, que ce soit pour un compo, une couronne, ou une facette... ça c'est une
> idée commune!
> Tu sais faire ou pas faire, c'est la seule différence, comme tu sais poser un
> implant, ou faire une endo.... tout ce que l'on fait demande de la rigueur...
> Les règles de préparation doivent tenir compte de paramètres différent que pour
> une couronne, mais si tu prépares pas assez en occlusal, en cervical, que tu es
> trop ci, trop ça... avec ta couronne ça n'a pas de conséquences à ton avis ?
>
>

Je suis d'accord qu'il faut être rigoureux quelque soit l'acte. Je dis juste que la facette tolère moins les erreurs que la couronne c'est tout.

>
>
>
> >et que la facture du prothésiste est plus élevée que pour une couronne,
>
> oui, 10€ d'écart...
>
>
>
>
> > pour le patient car forcément plus mutilant que pour un composite...
>
> tu as raison, mais dans le cas de la facette rentre en compte le rendu
> esthétique, la stabilité dans le temps.
> Le jour ou j'arriverai a faire pareil en compo qu'avec une ceram, je ne ferais
> plus de facette.... Mais je vois pas beaucoup de joli compo sur le secteur
> antérieur a 5 ans.... les miens sont dedans aussi....


Les miens aussi, il est clair qu'un repolissage est souvent nécessaire lors des rendez-vous de contrôle.


> le souci c'est quand c'est soit compo, soit couronne... parce qu'on sait pas
> faire de facette/onlay.... Il y a des indications pour les compo, les
> restaurations partielles, et les restaurations périphériques....
>

Là je suis tout à fait d'accord.


003 penrd2 - Eugenol
Cingulum

21/09/2011 à 13h17


Pour la digue comme ça j'ai jamais essayé, mais on est plus très loin d'un ecarteur auto avec des cotons en vestibulaire...
mais prochaine fois j'essaye la technique Ceramik ;)

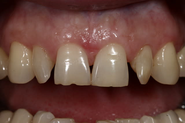
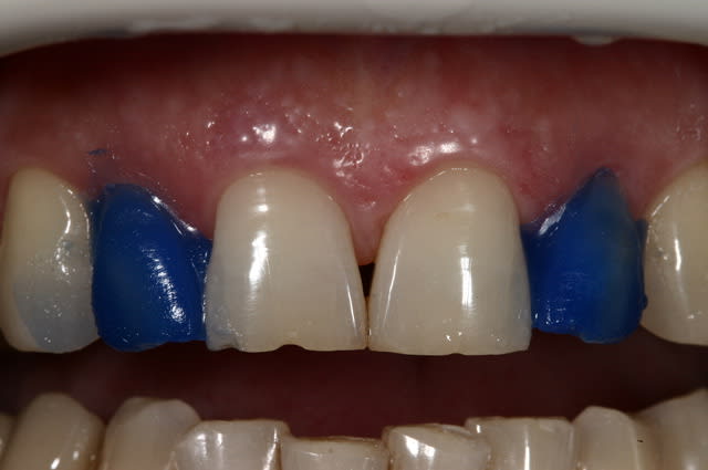
pour les essayages avant prép, mockup en bouche je le fais...,
on peut laisser le mockup en bouche et préparer en épaisseur contrôlée à travers le mockup...
là un mock up bleu a titre didactique..

mais cela représente très peu de cas... souvent il faut retoucher la dent pour faire le mockup...



--
Dr Cingulum
-----Ancien interné----
----Attaché à l'apex----
http://www.clinic-all.fr/ formation par passion

Img 9410 htxpis - Eugenol
Img 9412 efyapo - Eugenol

Smile beach jgh0a1 - Eugenol
Céramik

21/09/2011 à 14h29

dds écrivait:
-------------
> Cingulum écrivait:
> ------------------
> >
> > >

>
> Pour la digue, je te joins la méthode à laquelle je pensais pour la pose.


+1 la digue pour vous 2...

Je pose souvent, mais pas tout le temps.
Optragate et AD c'est suffisant pour un cas simple, patient très facile.

Pour cas plus complexe, etc, j'utilise la technique comme sur la photo,
depuis 2002.

Cingulum, tu es plus rapide, je prend plus de temps...
faudrait que je me décide d'aller te voir bosser...




--
Céramik


Smile beach jgh0a1 - Eugenol
Céramik

21/09/2011 à 14h32

Cingulum écrivait:
------------------
>
> Pour la digue comme ça j'ai jamais essayé, mais on est plus très loin d'un
> ecarteur auto avec des cotons en vestibulaire...
> mais prochaine fois j'essaye la technique Ceramik ;)
>

oh là, pas d'acord, c'est 10X mieux que des cottons + écarteur...


--
Céramik


003 penrd2 - Eugenol
Cingulum

21/09/2011 à 14h45

tu m'as convaincu ! ;)


--
Dr Cingulum
-----Ancien interné----
----Attaché à l'apex----
http://www.clinic-all.fr/ formation par passion


Logo qw3xdt - Eugenol
dds

21/09/2011 à 15h39

Céramik écrivait:
-----------------
> Cingulum écrivait:
> ------------------
> >
> > Pour la digue comme ça j'ai jamais essayé, mais on est plus très loin d'un
> > ecarteur auto avec des cotons en vestibulaire...
> > mais prochaine fois j'essaye la technique Ceramik ;)
> >
>
> oh là, pas d'acord, c'est 10X mieux que des cottons + écarteur...
>
>
> --
> Céramik


Merci ceramik, sans toi il n'aurait pas été convaincu .


003 penrd2 - Eugenol
Cingulum

21/09/2011 à 15h56

lol


--
Dr Cingulum
-----Ancien interné----
----Attaché à l'apex----
http://www.clinic-all.fr/ formation par passion


Maroc 02 l0ohhm - Eugenol
FAT09

22/09/2011 à 12h36

Merci à chacun pour sa réponse, directe ou en mp!
Chicot, je retiens le nom de votre prothésiste
Cingulum, comment se nomme le votre?
Merci


12