Cookie Consent byPrivacyPolicies.comFacettes Emax & Co - Eugenol
Avatar ow44t3 - Eugenol
Chicot

22/09/2011 à 15h29

Merci ceramik de ton post, je vois que tu es encore plus exigent que moi !!!

Pour le collage, la digue individuel a ses avantages: la colle ne va pas dans les embrassures ou se coller sur les dents adajacentes. Pas de strip à placer

regarde pour un IO A1 (un autre fan du blanc).....

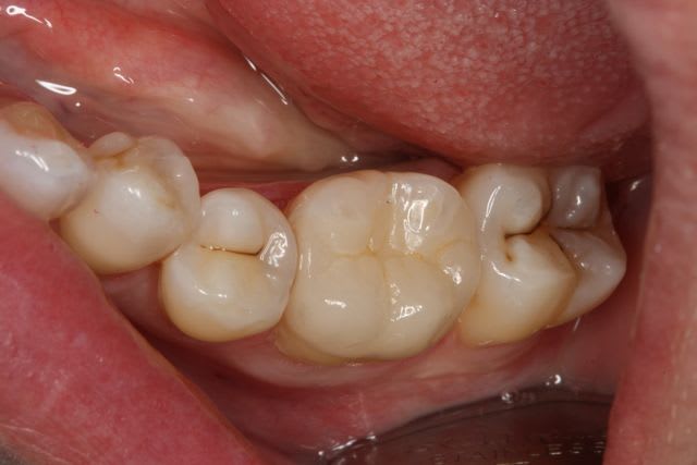
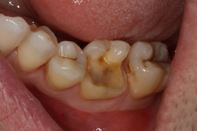
photo 1 taille
photo 2 - 3 labo
photo 3 après sablage
photo 4-5 après collage


--
;O)

Img 3985 kzbzqs - Eugenol
Img 3987 m2ogol - Eugenol
Img 3982 vw5jii - Eugenol
Img 3983 obhmy1 - Eugenol
Img 3988 zlmyg3 - Eugenol
Img 3989 wnykne - Eugenol

Smile beach jgh0a1 - Eugenol
Céramik

23/09/2011 à 03h51

Sur ta molaire (bon choix de tx), c'est facile la digue unitaire, il y a récession paro, donc plein de place !

Sur ce cas, j'aurais tenté une transition plus harmonieuse au buccale pour cacher un peu le joint, mais c'est pour trouver une critique !

Aussi, tu devrais ouvrir les sillons de la 7 (même de la 5),
je te gage 100 euro que la 7 est cariée..

Diagnodent, microscope, fraise ultra fine et/ou abrasion et/ou laser , collage. Un beau cas de mico-dentisterie.


--
Céramik


Ico v for vendetta08 jzhpep - Eugenol
Arnaud Go

23/09/2011 à 03h55

J'aime bien blanc de blanc. Pour une femme ça donne une touche excitante, type star du porno.

Sur la molaire j'aurais préféré une prépa vestibulaire plus apicale. Je sais que c'est un peu opposé au principe de moindre multilation de l'onlay mais ça aurait recréé un collet à hauteur "normale".

Bravo pour ton boulot.
- Les prépa sont écartées de la limite gingivale et pourtant on ne perçoit pas vraiment esthétiquement l'interface, les facettes une fois collées. Quid ?
- Pour la digue comment procèdes-tu pour bien dégager le dernier mm cervical, ma digue ne veut jamais y aller ?
- Le Foke-up (désolé!) c'est quoi comme résine que tu lui fourres en bouche ?
- Les provisoires, quel matériau, comment tu fais tenir la chose ?


Smile beach jgh0a1 - Eugenol
Céramik

23/09/2011 à 04h01

Provisoire, clée de silicone et moulage.
Ça tient tout seul, pas de ciment provisoire, tu laisse durcir en place...attention quand même d'enlever les excès après 2 ou 2 1/2 minutes.


--
Céramik


Avatar ow44t3 - Eugenol
Chicot

23/09/2011 à 22h59

Arnaud Go écrivait:
-------------------
> J'aime bien blanc de blanc. Pour une femme ça donne une touche excitante, type
> star du porno

LOL

>
> Sur la molaire j'aurais préféré une prépa vestibulaire plus apicale. Je sais que
> c'est un peu opposé au principe de moindre multilation de l'onlay mais ça aurait
> recréé un collet à hauteur "normale".

Ben oui tout le problème est la, on peut aussi faire une CCC

> Bravo pour ton boulot.
> - Les prépa sont écartées de la limite gingivale et pourtant on ne perçoit pas
> vraiment esthétiquement l'interface, les facettes une fois collées. Quid ?

Non c'est juxta et comme la gencive kif la céram et que le collage est précis avec ici une colle transparente, on voit rien

> - Pour la digue comment procèdes-tu pour bien dégager le dernier mm cervical, ma
> digue ne veut jamais y aller ?

Fil dentaire, spatule a bouche et crampon sous gingival

> - Le Foke-up (désolé!) c'est quoi comme résine que tu lui fourres en bouche ?
> - Les provisoires, quel matériau, comment tu fais tenir la chose ?

Moke up avec résine compo 3M bicomposant classique, provisoire idem mais contrairement à Ceramik j'ose pas laisser telquel alors je me fait ch... à retirer les facettes provisoires pour les polir, retoucher puis sceller avec un ciment spécial dont j'ai oublié le nom
ps: je suis en Sicile sur mon Iphone loin de mon cab de lorraine pour une semaine...;0)))

Courage à ceux qui bossent

--
;O)