Cookie Consent byPrivacyPolicies.comLime cassée ! - Eugenol

Lime cassée !

Utilisateur banni

26/09/2011 à 21h38

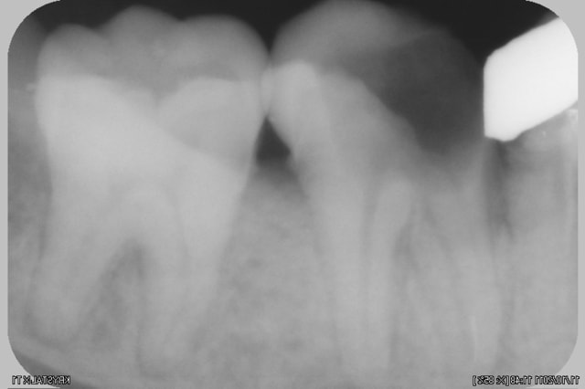
Ton instrument est completement gainé sur 10mm. Il n'a rien à faire si loin. Il faut travailler en appui parétal et evaser davantage.
Mais je vois que de toute façon y a pas de digue alors pas la peine de te fatiguer.......


dentalvirus

26/09/2011 à 22h37

Guttagirl écrivait:
-------------------

> Mais je vois que de toute façon y a pas de digue alors pas la peine de te
> fatiguer.......

pffff.....


flodec

26/09/2011 à 23h39

flicflac écrivait:
------------------
> La lime S1 est aussi super efficace et se fait avec longueur de 19-25et31. C'est
> d'ailleurs la seule lime Protaper que j'utilise. Pour ce qui est de la serie F
> je trouve que l'apex n'est pas assez agrandie.

Pourquoi tu veux agrandir ton apex ??? c'est justement la zone du canal qu'il faut respecter à tout prix, il faut revenir un peu aux fondamentaux avant de balancr n'importe quoi.


120 81 mdkvjo - Eugenol
Monaco

27/09/2011 à 01h01

Guttagirl écrivait:
-------------------
> Ton instrument est completement gainé sur 10mm. Il n'a rien à faire si loin. Il
> faut travailler en appui parétal et evaser davantage.
> Mais je vois que de toute façon y a pas de digue alors pas la peine de te
> fatiguer.......

Merci je sais pour la digue.. mais en rempla on ne choisit pas forcement le matos avec lequel on bosse.

Pour le fait qu'il est gainé.. C'est à dire ? Que j'ai trop forcé directement ?
Merci.

PS: je ne cherche pas un jugement, je sais que je ne fais pas les choses forcément correctement mais le sens de ma démarche ici est d'apprendre et essayer de ne pas reproduire les mêmes bétises. Je suis surement à blamer mais je ne vous apprendrai rien en vous disant qu'en sortant de la faculté on est vraiment des "bleus" dans le métier. Voilà.


Gutgut

27/09/2011 à 01h56

Agrandir l'apex (dans certaines limites) permet de nettoyer l'extrémité apicale dans les cas de retraitements et d'ouvrir les canaux accessoires. Certains endodontistes préconisent un élargissement à 30 ou 35 en plus de la conicité de 6% permettant une irrigation efficace.


Dans ce cas : la radio est vraiment démonstrative, genre ça saute aux yeus (d'ou l'interet de poster ses radios) : la lime est completement courbée à l'opposé de la paroi correspondante au canal. Il "suffit" donc de supprimer completement le triangle de dentine empechant la lime d'être plus axée dans le canal, idéalement contre la paroi oposée à la courbure : ainsi on supprime cette 3eme contrainte mécanique entrainant les fractures.

Méthodes : Gates, SX, Endoflare, inserts endo, ou plus simplement zekria endo.

Pour ma part, generalement, je consacre 2/3 du temps à la cavité d'accès (dans 80% des cas les fractures d'instruments sont dus à une mauvaise cavité d'accès). Ca évite bien des problemes.

Méthode simple et logique (c'est tout de la logique tout le reste) : il faut que dans ton miroir placé en distal de la dent en vision indirecte, que toutes tes entrées canalaires apparaissent rondes et dépouillées de tout surplomb de paroi, et que tu puisse voir le départ de ton canal, 3 ou 4 mm. (après il faut un microscope :) )

Dans l'ideal de chez idéal : passer les limes manuelles fines avant les niti : 8 10 15 20, sans jamais aller plus loin avec les niti que ce qu'on a atteint avec la lime acier. Cela évite tout blocage dans la portion apicale de l'instrument.

Dire de mettre la digue c'est precher du vent mais ça fait toujours bien dans les posts :)

'fin bon dans ce cas là, c'est pas la faute de la digue.

A la fac, il faut savoir se tourner vers les bons enseignants, ou se bouger soi meme pour évoluer.
Que le titulaire n'ai pas de digue ne justifie pas de ne pas la mettre : il suffit de lui faire commander.
Plateau technique de base : 4 crampons : papillon, molaire x2, prémolaire + pince a trous, pince porte crampon, digues BUDGET = 400 euros sans chercher plus que ça.

Petit rajout : achète des loupes au moins 2,5 de grossissement ça te servira pas qu'un peu, pour tous les types de soins. et pour toute ta vie BUDGET = 200 euros en chine (connais pas la durée de vie), 1300 pour des Heine, plus pour d'autres marques.

Les miennes : SMT, 2,5G, distance de travail 320mm 1300 euros.

Ce cas peut etre relativement facile à rattraper: améliore la cavité d'accès, passe à coté de l'instrument cassé avec une lime 10, puis un racleur 10 éventuellement, mais pas de niti (ils vont peter), et encore moins de lentulo (c'est quoi ce truc) + renouvellement irrigation (eau, edta, hypo, peu importe tant que c'est "sterile" ou propre et sous digue et que tu renouvelle et que quand t'a tout nettoyé tu passes au moins 20 min d'hypo + edta 1 minute + hypo final)

Ps : je ne fais que recracher ce qu'on m'a appris. Mais ça marche :)


Si difficile finalement (ya qu'en le faisant qu'on voit), direction chez l'endodontiste ou extraction, car sans digue le pronostic est nul.

Ah au fait : tu petera des instruments dans des dents toute ta vie. A la fac, on t'as appris à avoir honte de ça et a te blamer pour ça :) on apprend plein de choses inutiles a la fac. Par contre on t'as pas appris comment l'éviter, le réparer, ou simplement en prendre du recul. Donc no soucy

Tiens nous au courant !


pointG

27/09/2011 à 10h14

Aah!Gutgut doit etre un jeune praticien,car il ne connait pas la technique du Lentulo!Cela fait appel à l'ancienne technique d'obturation canalaire,(encore utilisé):on enduit le canal avec
de la pate canalaire au lentulo et on place après un cone de gutta pour faire compression;la punition habituelle si le canal n'est pas alésé,étant la rupture du lentulo(dite vis sans fin).La deuxième punition enseigné à la fac est d'essayer de retirer le lentulo avec un autre lentulo que l'on coince;on espère un effet tire-bouchon et retirer le premier lentulo cassé!Autant dire que la punition est souvent double;et on se retrouve avec deux lentulos casseés dans le canal;une technique à oublier
et à ne pâs utiliser pour retirer un Niti pour ne pas compliquer le problème!Autrement,les conseils Gutgut pour enlever le Niti semblent sensés!!!!


Rorschachwhite tx6rqr - Eugenol
Candide Candida

27/09/2011 à 12h28

Trés joli post de Gutgut : sympa, agréable à lire, pédagogique, pas donneur de leçon et qui répond à l'op.

Merci.

Pour ajouter un peu au niveau de la fracture du violet (j'ai été utilisateur de Mtwo depuis sa sortie) : c'est malheureusement ultra classique, il faut l'utiliser avec bcp de précautions, jamais quand on n'y voit pas, jamais en cathétérisme, jamais en le laissant tourner sur place et le jeter dés que la pointe est bizarre.

Le système Mtwo est trés exigeant sur le glide path + gel d'EDTA et préparation du 1/3 coronaire (introfile ou évaseur quelconque Gates 3 par exemple) par contre une fois le blanc à la LT c'est plutôt facile de finir.

Pour la recup de l'instrument fracturé, dégage bcp le 1/3 coronaire autour (US, fraise fine : attention aux perfos), l'instrument gainé signifie qu'il plaque sur toute sa longueur, l'idéal en Rot continue c'est de faire travailler l'instrument sur une partie seulement de sa longueur dans son insertion, si les spires mordent sur une portion trop importante c'est blocage et fracture en torsion.

La règle (en simplifiant hein ..) c'est plus un instrument est fin mieux il résiste en fatigue cyclique (il est plus élastique et passe mieux les coudures) mais moins il résiste en fracture en torsion (parce qu'il est fin), plus il est large moins il résiste en cyclique (il est moins élastique) mais plus il résiste en torsion.

Essaie de le sortir en 1. puis voir après..

CC.


Gutgut

27/09/2011 à 15h04

Merci, mais il faut s'appliquer sur eugenol sinon on se fait descendre. De toute façon je recrache tout ce que m'ont appris SBal, FBoussetta, WPertot et SSimon :)

Quand on arrive à appliquer tout ça, on se fait plaisir en endo, et on y va moins à l'aveugle (microscope bien utile quand meme mais qui ne fait pas tout).

Par contre eternelle frustration du patient qui n'est pas conscient du mal qu'on se donne dans cette matière. Mais je tiendrai bon.


Je suis (presque) sur que rien qu'en alignant la paroi distale à la courbure du canal, l'instrument peut se retirer à la précelle.

Bon courage !

Enlever tout  a cf9vza - Eugenol

120 81 mdkvjo - Eugenol
Monaco

28/09/2011 à 00h08

Merci pour vos conseils je tacherai de les mettre en oeuvre.


120 81 mdkvjo - Eugenol
Monaco

07/10/2011 à 19h07

Pour vous donner la suite des événements, patient vu par le titulaire aujourd'hui, qui n'a pas réussi non plus à retirer l'instrument. Le patient ne se plaint plus de douleurs. ( Mais je présume que c'est du à la sous occ due à la dépose de l'amalgame volumineux et la mise en place du Cavit à la place). Rdv pris dans 3 mois pour voir évolution.


Amibien

07/10/2011 à 19h29

une mauve tu la pulvérises au laser YAP 1.34 nm en deux minutes, et tu n'as besoin de rien dire au patient.

Pour cesser de casser tes instruments tu dois travailler à très faible vitesse, avec un réducteur de couple et ne jamais forcer, le mieux est d'avoir de loupes et de vérifier à chaque retrait si ta lime commence à se déformer. travailler à l'envers ça aide aussi... Si une se déforme alors c'est que ton canal risque de déformer toutes les suivantes et donc passe à la manuelle en priorité si tu veux éviter la casse surtout dans les molaires avec racines coudées... Mets du glyde...


Avatar transparent iqadnc - Eugenol
adhoc

07/10/2011 à 20h36

>La règle (en simplifiant hein ..) c'est plus un instrument est fin mieux il résiste en fatigue cyclique (il est plus élastique et passe mieux les coudures) mais moins il résiste en fracture en torsion (parce qu'il est fin), plus il est large moins il résiste en cyclique (il est moins élastique) mais plus il résiste en torsion.<

----> donc, plus il résiste, moins il résiste.
Je blaaague, candida, ton post est parfait:-)


azerty

07/10/2011 à 23h58

on s'emablle bien vite pour un instrument cassé!
bon on essaie de le retirer. la séparation radiculaire est vouée a l'echec.
et puis, il en cassera bien d'autres....
faire une déclaration a l'assurance me semble peu utile, mais bon si cela fait plaisir. l'envoyer chez l'endo exclusif est parfait pour affoler le patient de base qui prendra un malin plaisir a se retourner contre la praticien, qui en prendra forcément plein la gueule.
d'ou une augmentation de nons primes d'assurances en passant. pour info ,une perfo lors d'une coloscopie est un aléa , un bout de métal pété dans une dent est une faute...

imaginons que nous fassisions un traitement endo parfait 5 etoiles avec digue et tout le toutim,on pose une superbe couronne , que le patient déménage, et paf 2 ans après une belle peche. vous êtes le nouveau dentiste, vous faites quoi?
reponse un :retournez vous contre le praticien d'il y a deux ans collez lui un procès, et vous gagnerez.
réponse deux: c'est pas grave ça arrive, on reprend le truc. (ok on fait payer).
vous choisissez la quelle? moi perso la réponse 2, sans hésiter.


Rorschachwhite tx6rqr - Eugenol
Candide Candida

08/10/2011 à 00h11

adhoc écrivait:
---------------
>
> ----> donc, plus il résiste, moins il résiste.
> Je blaaague, candida, ton post est parfait:-)

On dirait le maire de Champignac :-))

CC.


Amibien

08/10/2011 à 17h58

Ce matin dans le mv d'une 36, je casse 3 mm du protaper jaune, je dis à la patiente, zut un pulpolithe... je branche le laser, j'élargis le canal au piézo, je vois le bout l'instrument, la fibre noire du laser YAP bien centrée sur lui et je tire à fond, jaillissement d'étincelles et plus de lime...


flodec

08/10/2011 à 19h20

Amibien écrivait:
-----------------
> Ce matin dans le mv d'une 36, je casse 3 mm du protaper jaune, je dis à la
> patiente, zut un pulpolithe... je branche le laser, j'élargis le canal au piézo,
> je vois le bout l'instrument, la fibre noire du laser YAP bien centrée sur lui
> et je tire à fond, jaillissement d'étincelles et plus de lime...

Wouahou !!! bravo


120 81 mdkvjo - Eugenol
Monaco

08/10/2011 à 21h45

Amibien écrivait:
-----------------
> Ce matin dans le mv d'une 36, je casse 3 mm du protaper jaune, je dis à la
> patiente, zut un pulpolithe... je branche le laser, j'élargis le canal au piézo,
> je vois le bout l'instrument, la fibre noire du laser YAP bien centrée sur lui
> et je tire à fond, jaillissement d'étincelles et plus de lime...



Moi qui pensais naivement que laser en dentaire = pipeau ..

C'est incroyable qu'on ait pas au moins une formation théorique là dessus à la fac.

On s'en sert facilement? Ca nécessite une formation ?


Amibien

09/10/2011 à 14h42

Surtout tu t'achètes un d'occasion, c'est inusable ce truc, quoiqu'en disent les vendeurs, c'est INUSABLE, essaye de trouver un de la première génération, ils travaillent en 10 Watts. Le mode d'emploi suffit, tu t'entraînes sur de vieilles limes et tu verras comment elles s'évaporent... Dans les coudures il faut y aller petit à petit en étant sûr de bien toucher la lime avec ta fibre, sinon tu perfores la racine en prenant la tangente et là tu es bon pour l'apectomie...

Les pointes d'argent résistent !

INUSABLE ne veut pas dire INCASSABLE


8653193 lczwzf - Eugenol
screetch59

10/10/2011 à 19h14

je supose que c'est le lokki dont tu parles, ou un autre?


Aymen

11/10/2011 à 15h19

voila une lime cassée qui a engendré un probleme
est ce reparable?? si on va tenter du MTA, comment localiser spatialement la lesion????
merci

--
Nahoo!!!

Nabil yu8key - Eugenol
Nabil1 bghzhr - Eugenol

Blondie

12/10/2011 à 00h12

Je ne comprends pas pourquoi tu voudrais utiliser du MTA. Sur la première radio on dirait que la limes est en dehors de la racine, le pronostic de la dent ne me parait pas très bon...


Aymen

12/10/2011 à 12h04

Blondie écrivait:
-----------------
> Je ne comprends pas pourquoi tu voudrais utiliser du MTA. Sur la première radio
> on dirait que la limes est en dehors de la racine, le pronostic de la dent ne me
> parait pas très bon...

evidement MTA pour la reparation de la perfo
--
Nahoo!!!


Salamandre

12/10/2011 à 14h24

Pendant que je cherchais des infos surle bicarbonate sur un autre fil, je suis tombé sur une these en ligne. C'est assez génial je trouve, nancy et nantes mettent leur theses à dispo sur le net. Une mine d'infos.
Thèse sur les fractures des instrument niti.
http://www.scd.uhp-nancy.fr/docnum/SCDPHA_TD_2010_EBLE_ARNAUD.pdf


12