Cookie Consent byPrivacyPolicies.comZircone, Empress, Inceram ou Emax??? - Eugenol

Zircone, Empress, Inceram ou Emax???

Smile beach jgh0a1 - Eugenol
Céramik

01/10/2011 à 17h08

Pour moi, l'e-max est bcp plus utile et fréquent que la zircone.

Après avoir fait de la zircone depuis 2004-2005, je réserve en zone postérieur, ou bridge. Il y a aussi bcp plus de décollement de la couche de céramique de surface avec la zircone, tout système confondu. J'ai des cas ce Cercon, Lava, Nobel, Zirkonzhan, Ivoclar, plusieurs dizaines de chaque, avec des labo différents et le % de casse est tjs présent et plus élevé qu'avec les autres produits.

Aussi, avec la zircone, le collage étant fable, il faut tailler toute la dent, ce qui réduit bcp les indications si on désire faire mieux et économiser le tissue dentaire. Voir les travaux de Magne entre autre.

Dommage que certains labo n'offre qu'une solution, et aussi dommage que certains CD n'offre qu'une solution...celle du labo ou bien celle qu'ils ont appris il y a 10-20 ans...

On attend tjs la photo du cas qui a lancé ce fil...





--
Céramik


Logo qw3xdt - Eugenol
dds

01/10/2011 à 17h17


+1

Alors là si tu attaques toi aussi molinarius... ;-)



--
Normal is not something to aspire to, it's something to get away from


Img 2951 flo3gr - Eugenol
molinarius

01/10/2011 à 17h33

je preferes de loin discuter de la sorte , tes arguments et ton point de vue semble plus "open" que certains...

Il est évident qu'une armature brute en zircone est bien moins esthétique . cependant elle est recouverte de céramique , donc si le résultat finale est décevant c'est plus un problème de montage de poudre et non du noyaux en zircone qui je le rappel peu être réaliser en zircone "classic" ou translucide à éviter sous des IC donc tu en conviendra NON OPAQUE.

Maintenant j'ose croire que vous ne parlez de couronnes types "full zircone" pour comparer car la éffectivement cela n a rien a voir ....

Pour les cosmétiques , nous n'avions , comme je l ai déjà dit d'en d autres postes , jusqu'à présent que des céramiques modifiées et dérivées de la ceramo métal . ce qui aujourd'hui n'est plus le ças . nous avons des céramiques dédiées et élaborées spécifiquement pour être montée sur de la zircone .

Je n'ai rien contre l'emax bien au contraire je pense acheter un troisième four à céramique de chez ivoclar qui aura la pressé ... j ai d'ailleurs reçu le techniciens il y a 15 jours , nous avons passé la journée à monter de la poudre , presser etc lui il s'est amusé à modéliser et usiner ,et m'expliquer que l'avantage de l'emax était de pouvoir faire des céramique par des personne non spécialisé dans mon labo ( pas besoin de former un céramiste ) un simple armaturié sachant bien sculpter une couronne faisant l'affaire ... le céramiste lui s'activant à la réalisation de travaux plus délicat type "facettes"..
Donc vois tu je ne pense pas être inculte en la matière

Ce spécialiste à même reconnu que de pressé de l'emax sur de l'armature zircone était pour lui une parfaite alliance ... passivité d'une armature usinée , et esthétique de son produit l'Emax...
Quand à mais clients , ils sont venus , utilisé et adopté le système , la plupart son un peu réfractaire quand à la manière de coller l'emax.. pour qui pour quoi cane semble pas être insurmontable mais bon ...
Oui le système que j ai acquis couvre un champ d'application très important , comme tu l as dit , pilier zircone , barre , passivité 0 etc etc

Mais il n'en reste pas moins qu'on ne peu pas dire que le zircone est moche mais plutôt
oups ma céramique sur zircone est moche ! mais qu'elle marque de céramique utilise mon labo ?
ou bien , il me semble que si mon labo passait aux armatures zircone teintée sans doute que le résultat s'en ressentirait

Mais certainement pas un LA ZIRCONE EST MOCHE POINT BAR !


Img 2951 flo3gr - Eugenol
molinarius

01/10/2011 à 17h54

Céramik écrivait:
-----------------
> Pour moi, l'e-max est bcp plus utile et fréquent que la zircone.
>
> Après avoir fait de la zircone depuis 2004-2005, je réserve en zone postérieur,
> ou bridge. Il y a aussi bcp plus de décollement de la couche de céramique de
> surface avec la zircone, tout système confondu. J'ai des cas ce Cercon, Lava,
> Nobel, Zirkonzhan, Ivoclar, plusieurs dizaines de chaque, avec des labo
> différents et le % de casse est tjs présent et plus élevé qu'avec les autres
> produits.
>
> Aussi, avec la zircone, le collage étant fable, il faut tailler toute la dent,
> ce qui réduit bcp les indications si on désire faire mieux et économiser le
> tissue dentaire. Voir les travaux de Magne entre autre.
>
> Dommage que certains labo n'offre qu'une solution, et aussi dommage que certains
> CD n'offre qu'une solution...celle du labo ou bien celle qu'ils ont appris il y
> a 10-20 ans...
>
> On attend tjs la photo du cas qui a lancé ce fil...
>
>
>
>
>
> --
> Céramik

absolument !
c'est d'ailleurs pour ces raisons , que nous élaborons maintenant toutes les armatures en réduction homothétique et que nous utilisons des céramiques dédiées à ce matériau .

L'homothétie nous permet d'équilibrer les couches de céramique et évite la cassure de tout une partie de la ccc (souvent mésiale )
Et la céramique dédiée mieux adaptée au niveau du cf de la zircone .
Il y a 4 ou 5 ans ! c'est une eternité !! ça bouge beaucoup
Sachez que le principal problème venait que nous élaborions nos armature avec les mêmes caractéristique que les armature métal (embrasures etc etc ) chose qui n'est plus d'actualité

Mais dit moi quand tu fais une prepa pour une emax, tu adaptes cette dernière en fonction?
et bien pourquoi ne pas faire la même chose pour une zircone ?
je serais surpris de savoir qu'aucune emax en postérieur n'est jamais cassé sur une prépa mal adaptée ..

DDS : je ne me sent pas attaquer , je m'offusque de voir de tels arguments simplistes "la zircone c'est moche , point bar ! "

:)




maz

01/10/2011 à 18h01

molinarius écrivait:
--------------------

> Ce spécialiste à même reconnu que de pressé de l'emax sur de l'armature
> zircone était pour lui une parfaite alliance ... passivité d'une armature usinée
> , et esthétique de son produit l'Emax...

cette phrase montre bien que tu ne vois pas le problème comme nous

une Emax collée n'a rien a voir avec une zircone scellée, c'est très différent.

une Emax sur zircone est un non-sens de ce point de vue là.

essaie juste un peu de t'intéresser à la différence entre collage et scellement, à la transmission de la lumière que ça permet, et aux préparations partielles (les facettes n'en étant qu'un exemple) que ça permet de faire.


Img 2951 flo3gr - Eugenol
molinarius

01/10/2011 à 18h14

maz écrivait:
-------------
> molinarius écrivait:
> --------------------
>
> > Ce spécialiste à même reconnu que de pressé de l'emax sur de l'armature
> > zircone était pour lui une parfaite alliance ... passivité d'une armature
> usinée
> > , et esthétique de son produit l'Emax...
>
> cette phrase montre bien que tu ne vois pas le problème comme nous

>
> une Emax collée n'a rien a voir avec une zirconne scellée, c'est très différent.
oui pour des facettes le collage à son importance et je n'ai jamais préconiser autre chose
que de l'emax dans ce ça la
>
> une Emax sur zircone est un non-sens de ce point de vu là.
oui pour des facette quid d'une postérieur ou d'un bridge
>
> essaie juste un peu de t'intéresser à la différence entre collage et scellement,
> à la transmission de la lumière que ça permet, et au préparations partielles
> (les facettes n'en étant qu'un exemple) que ça permet de faire.
je m'interesse ! en ce moment je suis dans le collage des embases titane sur mes piliers zircone teinté (multilink auto photo) opaque ou translucide , pour éviter l'aspect grisé des piliers ..

je ne suis pas hermétique ! je ne suis pas un commercial de zirkonzhan ! la céramique que j'utilise est la noritaké ... par contre pour la zircone oui j e préfère bosser avec les meilleurs
heureusement d'ailleurs , étant donné les charges que je me prend sur le forum !! si en plus je me fournissait en chine !! :):)


maz

01/10/2011 à 18h28

molinarius écrivait:

> je m'interesse ! en ce moment je suis dans le collage des embases titane sur
> mes piliers zircone teinté (multilink auto photo) opaque ou translucide , pour
> éviter l'aspect grisé des piliers ..

je parle du collage à la dent

mais si ça peut te rassurer, les dentistes qui font de l'Emax sont une minorité, encore moins nombreux sont ceux qui les collent
je pense qu'en l'état de la nomenclature (qui ne rembourse que les couronnes) et de la dentisterie en France, tu as raison la zircone est un bien meilleur investissement que l'emax

juste savoir que d'un point de vu travail esthétique, l'emax n'est pas la référence pour rien
pour t'en convaincre, regarde les cas de facettes avec des limites supragingivales invisibles qui sont postées sur le forum par cingulum ou ceramik par exemple
on ne peut pas faire ça avec du scellé (zircone, inceram, procera ou CCM idem)
et non, je ne parle pas de l'emax que pour les facettes, c'est la même chose si c'est une couronne emax, un onlay emax, une facettonlay ou ce que tu voudras (sauf bridge)


Img 2951 flo3gr - Eugenol
molinarius

01/10/2011 à 18h36

maz écrivait:
-------------
> molinarius écrivait:
>
> > je m'interesse ! en ce moment je suis dans le collage des embases titane sur
> > mes piliers zircone teinté (multilink auto photo) opaque ou translucide , pour
> > éviter l'aspect grisé des piliers ..
>
> je parle du collage à la dent

j avais compris ! mais je ne m amuses pas a coller de la dent au labo ...mais je te
montre que je m y intéresse ..


> juste savoir que d'un point de vu travail esthétique, l'emax n'est pas la
> référence pour rien
> pour t'en convaincre, regarde les cas de facettes avec des limites
> supragingivales invisibles qui sont postées sur le forum par cingulum ou ceramik
> par exemple

Mais oui encore une fois concernant les facettes ... rien a redire ...

> on ne peut pas faire ça avec du scellé (zircone, inceram, procera ou CCM idem)

Je n'ai jamais dit ça bien au contraire !


> et non, je ne parle pas de l'emax que pour les facettes, c'est la même chose si
> c'est une couronne emax, un onlay emax, une facettonlay ou ce que tu voudras
> (sauf bridge)

tout a fait d'accord

JE NE FAISAIT QUE REPONDRE A TON CONFRERE QU IL EST UN PEU SIMPLISTE DE DIRE
: LA ZIRCONE C EST MOCHE POINT BAR !"

!!!!


Smile beach jgh0a1 - Eugenol
Céramik

01/10/2011 à 18h52

dds écrivait:
-------------
>
> +1
>
> Alors là si tu attaques toi aussi molinarius... ;-)
>
>
>
> --
> Normal is not something to aspire to, it's something to get away from


Je n'attaque personne.
La solution unique n'existe pas.

J'attends tjs les photo...

--
Céramik


Logo qw3xdt - Eugenol
dds

01/10/2011 à 18h55

Céramik écrivait:
-----------------
> dds écrivait:
> -------------
> >
> > +1
> >
> > Alors là si tu attaques toi aussi molinarius... ;-)
> >
> >
> >
> > --
> > Normal is not something to aspire to, it's something to get away from
>
>
> Je n'attaque personne.
> La solution unique n'existe pas.
>
> J'attends tjs les photo...
>
> --
> Céramik

Je sais. C'était juste une blague ...

--
Normal is not something to aspire to, it's something to get away from


Logo qw3xdt - Eugenol
dds

01/10/2011 à 18h58

maz écrivait:
-------------
>
> mais si ça peut te rassurer, les dentistes qui font de l'Emax sont une minorité,
> encore moins nombreux sont ceux qui les collent
> je pense qu'en l'état de la nomenclature (qui ne rembourse que les couronnes) et
> de la dentisterie en France, tu as raison la zircone est un bien meilleur
> investissement que l'emax

+1


--
Normal is not something to aspire to, it's something to get away from


Img 2951 flo3gr - Eugenol
molinarius

01/10/2011 à 19h05

pas de photos , on est samedi , tout est au labo je ne vais quand même pas y retourner pour vos beau yeux ! :) :)
mais n 'est crainte j'en posterai

et quand même céramik je doute que tu poses des céramiques sur zircones "moche"?
donc je suis sure que tu as de belles photos de cas de céramiques sur zircone.... ;)


Smile beach jgh0a1 - Eugenol
Céramik

01/10/2011 à 19h07

Désolé pour la prochaine affirmation:

En 6-7 ans et plus de mille e-max, zéro casse.

Des centaines de zircone, avec des labo hyper qualifiés, et
plusieurs casses.

Juste ma petite expérience

PS je colle souvent les zircone, pas pour la couronne (aucun effet réel) mais pour la dent, ainsi mieux "scellée"
au niveau de la dentine.


Aussi, plus de 15 ans avec Empress (autant en antérieur qu'en postérieur, quelques milliers de cas, moins de casse qu'avec la zircone...et pourtant, Empress, c'est pas mal moins solide sur papier, mais le technique monobloc et collage, c'est super solide. J'ai des centaines de 2e molaire en Empress collées, pas de soucis, mais collage sous digue et respect des préparations.


Bon la question était l'aspect esthétique, la zircone c'est OK, e-max, c'est mieux, Empress encore mieux. Pour Procera, c'est bien, mais pas de collage possible, donc, j'en ai fait très peu. Encore faut voir la situation clinique et le niveau de résultat visé.







--
Céramik


Smile beach jgh0a1 - Eugenol
Céramik

01/10/2011 à 19h58

Tient, parce qu'il pleut chez moi...
montage photo d'un bridge zircone vs bridge CCM

Je pense que la zircone évolue , et qu'elle est utile dans certain cas.

Mais sur dents unitaires, le meilleur reste l'e-max, pour la versatilité (Facette, onlay, couronne, petit bridge), la beauté et le collage.

--
Céramik

Ccm vs zircone  2008  nbijz0 - Eugenol

Img 2951 flo3gr - Eugenol
molinarius

01/10/2011 à 21h17

merci , as tu un cliché du même cas avec éclairage ?


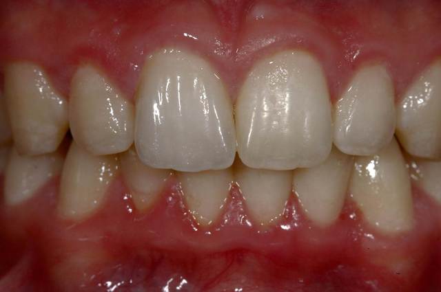
Smile beach jgh0a1 - Eugenol
Céramik

01/10/2011 à 21h53

molinarius écrivait:
--------------------
> merci , as tu un cliché du même cas avec éclairage ?


Éclairage bleu, tu n'aimes pas ?

--
Céramik


Smile beach jgh0a1 - Eugenol
Céramik

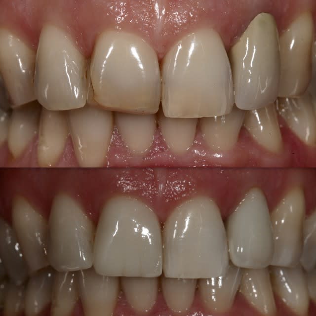
01/10/2011 à 22h14

Tient, montage fait juste pour toi...

Histoire du cas clinique.
Bridges CCM multiples faits en 1999 (de 17 à 25)
Fracture et perte du secteur 21 à 24 en 2007
Pose implants 21-23-24 avec ROG
Bridge ZirkonZahn posé en 2008

--
Céramik

Montage ccm zircone 2  wlksql - Eugenol

003 penrd2 - Eugenol
Cingulum

01/10/2011 à 23h06

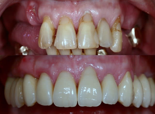
Quand on dit que la zircone c'est moche, en fait c'est des personnes compétentes (Ueli Grunder, Gil Tirlet, Stephen Koubi) qui disent qu'esthétiquement ça pose problème....


Pour revenir à la question posée, je proposerai chez une patiente exigeante : implant et couronne unitaire en Emax.

Aprés concernant la Zircone:
une question, quelle est la teinte de la patiente et son age ?
On peut faire du joli en Zircone mais:
1. l'opacité arrive très vite avec l'épaisseur, entre 8/10eme et 5/10eme de zircone on a l'équivalent d'un noyau MO Middle opacity en Emax de 8/10 eme (sachant qu'il y a HO qui est l'opaque, le LT pour Low Translucent et le HT pour très translucide)

2. La zircone n'est pas fluorescente. Il va donc falloir compenser beaucoup au montage par de la céramique adaptée, surtout en cervicale, or en cervicale si peu de place, peu de fluorescence...

3. Il va falloir teinter dans la masse la Zircone

4. La cohésion Zircone-Cosmétique est balbutiante, on n'a pas de liaison chimique. On peut avoir en cas de coefficient de dilatation mal coordonnés des éclats dans le cosmétique. La solution de presser de l'emax sur la zicrone, puis de stratifier par cut back est un choix technique très séduisant qui devra etre valider par le vivant....

5. la collage de la chappe Zircone est très mauvais, on oublie donc les facettes Zircone, et les couronnes avec peu de rétention...

6. Attention aux armatures zircone vissées en plurale sur implant avec une connexion cone morse, la variabilité d'enfoncement inhérent au cone morse induit des contraintes qui contre indique la zircone dans ces cas.... (en plurale)

J'ai déja vu de jolie Zircone (pas plus tard qu'hier à Aixpo) mais cela demande une grande maitrise de l'épaisseur, et de la stratification. Le résultat est à ce jour en deça de ce que l'on peut obtenir avec l'Emax, sur des dents jeunes et lumineuse.... surtout bien sur dans la zone cervicale

en PJ un cas 4 facettes Emax,
un cas une facette et un couronne Emax et blanchiment,
et un cas tout Zircone sur dent et implant...

pour ajouter, comme j'y répond en MP, la Zircone est masquante. On peut très bien faire de la zircone sur pilier métallique, sans opaque et sans craindre un grisé dans la dent. Tout est une question d'épaisseur. La Zircone translucide n'est pas un produit, c'est une épaisseur de chape, que l'on ne peut pas faire dans toute les situations...
Pour schématiser au dessus de 0.8mm c'est masquant
entre 0.5 et 0.8mm on a un passage de lumière mais manque de luminosité
en dessous de 0.4 ça devient intéressant... mais quid de la mise en oeuvre et de la résistance...

je vous conseille : Propriétés Optiques des systèmes céramocéramique: implications cliniques. Margossian, Laborde, Koubi, Mariani. Réalité Clinique Vol 21 N°3 Septembre 2010 p197

vous voulez en savoir plus ?

http://www.clinic-all.fr/conference.php?id=7

:)



--
Dr Cingulum
-----Ancien interné----
----Attaché à l'apex----
http://www.clinic-all.fr/ formation par passion

Facettes 2 zp9u95 - Eugenol
Facette 1 ong7jr - Eugenol
Hautbas sqhfce - Eugenol

Tweed

03/10/2011 à 15h22

Céramik écrivait:
-----------------
> Pour moi, l'e-max est bcp plus utile et fréquent que la zircone.
>
> Après avoir fait de la zircone depuis 2004-2005, je réserve en zone postérieur,
> ou bridge. Il y a aussi bcp plus de décollement de la couche de céramique de
> surface avec la zircone, tout système confondu. J'ai des cas ce Cercon, Lava,
> Nobel, Zirkonzhan, Ivoclar, plusieurs dizaines de chaque, avec des labo
> différents et le % de casse est tjs présent et plus élevé qu'avec les autres
> produits.
>
> Aussi, avec la zircone, le collage étant fable, il faut tailler toute la dent,
> ce qui réduit bcp les indications si on désire faire mieux et économiser le
> tissue dentaire. Voir les travaux de Magne entre autre.
>
> Dommage que certains labo n'offre qu'une solution, et aussi dommage que certains
> CD n'offre qu'une solution...celle du labo ou bien celle qu'ils ont appris il y
> a 10-20 ans...
>
> On attend tjs la photo du cas qui a lancé ce fil...
>
>
>
>
>
> --
> Céramik


merci ceramik pour la reponse
là vraimment je vois les choses plus claires...
en tout cas si j'ai bien compris apres tout ce qui a été dit que les resultats esthetiques sont pareils pour les zircone ou l'Emax.sinon l'indication de l'une ou de l'autre se fera selon la situation
j'essaierais de vous poster les photos bientot


003 penrd2 - Eugenol
Cingulum

03/10/2011 à 15h55

Tweed écrivait:
---------------

> en tout cas si j'ai bien compris apres tout ce qui a été dit que les resultats
> esthetiques sont pareils pour les zircone ou l'Emax


heu.... on a pas lu la même chose alors :)

--
Dr Cingulum
-----Ancien interné----
----Attaché à l'apex----
http://www.clinic-all.fr/ formation par passion


Smile beach jgh0a1 - Eugenol
Céramik

03/10/2011 à 16h34

Cingulum écrivait:
------------------
> Tweed écrivait:
> ---------------
>
> > en tout cas si j'ai bien compris apres tout ce qui a été dit que les resultats
> > esthetiques sont pareils pour les zircone ou l'Emax
>
>
> heu.... on a pas lu la même chose alors :)
>
> --
>

heu, exact, on a tous dit que l'e-max est devant la zircone pour l'esthétque...



--
Céramik


Img 2951 flo3gr - Eugenol
molinarius

04/10/2011 à 00h12

oui mais pas que la zircone est "moche" pour preuve les clichés que céramik à bien
voulu poster :o)
N'en déplaise à certains !

m'enfin


003 penrd2 - Eugenol
Cingulum

04/10/2011 à 00h31

Les goûts et les couleurs :)
Moche c'est caricaturale...

Après, tout est une question d’exigence...
Même si notre exigence est supérieure à celle de certain patient, avec la zircone tu ne pourras satisfaire celle de beaucoup d'autre...

Le cas que j'ai posté avec la 11 et 22 en céramique et la 12, 21 naturelle... je pense qu'avec de la zircone tu ne t'en sort pas... la patiente ne sera pas satisfaite...

Un autre cas en PJ, où tu n'auras pas la même luminosité naturelle....

Qui peut le plus peut le moins... La zircone se colle moins bien, donne de moins bon résultat esthétique, est plus chère et entraîne plus de risque de casse de cosmétique...

Ne pas se laisser embarquer par une mode économique...

La zircone à ses indications : réalisation de bridge dento ou implanto porté... en sachant que les bridges dento porté doivent se faire rare...



--
Dr Cingulum
-----Ancien interné----
----Attaché à l'apex----
http://www.clinic-all.fr/ formation par passion

Image1 vju4w6 - Eugenol
Image2 hdzsvi - Eugenol

frenchlabo

04/10/2011 à 16h30

l avis dun prothesiste . Pour cette 11 ne pas trop increminer le zircone . Il aurait fallu d une part, abaisser la valeur a l aide de dentine opaque et surtout faire un etat de surface plus mat ( glacage moindre ou polissage mecanique)


12