Cookie Consent byPrivacyPolicies.comapplication de vernis fluoré - Eugenol

application de vernis fluoré

sow

10/10/2011 à 14h05

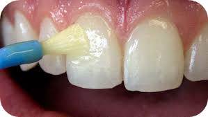
Je souhaite appliquer chez les jeunes patients à risque du vernis fluoré 2 à 4 fois /an selon la denture. Comment coter ce soin prophy ?


endoz

10/10/2011 à 14h47

HN ni plus ni moins.


Leholia

15/11/2011 à 20h43

Bonjour,


Combien vous le faites payer dans vos cabinet? merci


Ico v for vendetta08 jzhpep - Eugenol
Arnaud Go

16/11/2011 à 02h02

90 et on a tord de ne pas le proposer tout comme l'EHO et les coiffes pédo.

On sait que c'est bien donc on le propose et libre au praticien d'accepter de tronquer ou non sa proposition de traitement optimal pour les bouts de chou.


guttapercha

11/01/2012 à 17h29

Bonjour,

Concernant les vernis fluorés connaissez-vous un bon produit ?

Merci !


Avatar hjdsnm - Eugenol
TiGabi

13/01/2012 à 20h39

guttapercha écrivait:
---------------------
> Bonjour,
>
> Concernant les vernis fluorés connaissez-vous un bon produit ?
>
> Merci !

Duraphat de Colgate.

Img 1033 dtwn34 - Eugenol

Ico v for vendetta08 jzhpep - Eugenol
Arnaud Go

14/01/2012 à 08h01

Tigabi, j'aimerais bien que tu me donnes tes réf. de clamps.

Crampons que je n'utilise pas d'ailleurs pour les fluorations dont j'étale le produit sur toutes les dents temporaires comprises.

Le Duraphat, c'est celui qui revient le plus souvent, j'ai l'Ivoclar, j'ignore s'il y en a un mieux que l'autre.
Dans une conf' récente tout comme dans le mode d'emploi, ils préconisent une application tous les six mois.

Alors c'est vrai que quand il y a plein de caries, il est facile d'établir et d'expliquer l'étiologie évidente du syndrome polycarieux : sucre-hygiène. Pas besoin de tests pour ça mais quid de problèmes d'origine salivaire qu'on analyse jamais ?

Sans compter l'aspect pro et objectif qui frappera peut-être plus les esprits que le discours même efficace. Accessoirement le cours d'hygiène payant (70€) peut passer comme abusé au pays du tout-gratuit mais étonnamment beaucoup acceptent, plus que je ne l'aurais cru. C'est probablement le meilleur investissement financier qu'ils ne feront jamais chez le dentiste et le meilleur service que je ne leur donnerai jamais.
Faire ça gratos et rapidement comme je faisais avant n'est pas, à mon sens, leur rendre un vrai service.

Je vais introduire les diagnostics de cariogénicité dans les EHO tant pour les risques carieux chez les enfants que chez l'adulte, ils parlaient dans cette conf' du GC Saliva Check et Ivoclar le CRT Buffer pour évaluer le pouvoir tampon et le débit salivaire, Ivoclar a le CRT Bacteria qui quantifie le nombre de streptos et de lactobacilles après 2 jours de mise en culture, et enfin il y a le GC Tri Plaque ID Gel qui différencie la plaque selon sa maturité (je vais essayer car je trouve que le Dento Plaque classique de chez Inava est à chier).


Avatar hjdsnm - Eugenol
TiGabi

14/01/2012 à 19h02

Arnaud Go écrivait:
-------------------
> Tigabi, j'aimerais bien que tu me donnes tes réf. de clamps.

Ce sont des crampons Hygenic 12A (sect. II et IV) et 13A (sect. I et III) : les mords dentelés sont particulièrement adaptés aux dents temporaires ou aux premières molaires permanentes en début d'éruption.

Le Fluor Protector est moins concentré que le Duraphat.


Ico v for vendetta08 jzhpep - Eugenol
Arnaud Go

15/01/2012 à 03h51

Merci beaucoup Tigabi !


Björn

15/01/2012 à 20h10

TiGabi écrivait:
----------------

> Ce sont des crampons Hygenic 12A (sect. II et IV) et 13A (sect. I et III) : les
> mords dentelés sont particulièrement adaptés aux dents temporaires ou aux
> premières molaires permanentes en début d'éruption.
>


J'utilise ces clamps pour tout et c'est très rare qu'ils sautent.


Grueavatar nptrc9 - Eugenol
Le Choixpeau magique

15/01/2012 à 23h00

Par contre pour le coup les vernis fluorés sont quand même une des rares procédures où non seulement la présence de salive n'est pas gênante, mais est même la bienvenue car elle permet de faire durcir le vernis !


guttapercha

16/03/2012 à 02h32

Merci à tous pour les infos !


aterman

16/03/2012 à 07h10

Application tous les 6 mois de Duraphat Colgate chez les patients à risque, et 1 an chez les autres.Surtout au niveau des caries initiales de l'émail inter proximales si elles ont été idetifiées sur les btw. Sealants systématiques à 6 ans et 12 chez patients à risque ou avec des molaires aux sillons profonds.
Très bon résultats. 80% des patients qui a 18 ans ont 1 ou moins d une restauration pour cause de carie.


Marque a3 orange fyvhyq - Eugenol
Marc Apap

16/03/2012 à 09h00

Absolument ! Je place le Duraphat entre les dents avec une seringue munie d'une aiguille à intraseptale en faisant attention de ne pas piquer. Le Duraphat en carpule était excellent. Je regrette qu'on ne le retrouve plus sous cette forme.
La prévention chez les sujets "normaux" est tellement simple que c'est dramatique qu'on ne l'instaure pas systématiquement en France.


maz

16/03/2012 à 09h08

Marc Apap écrivait:
-------------------

> La prévention chez les sujets "normaux" est tellement simple que c'est
> dramatique qu'on ne l'instaure pas systématiquement en France.

+1


guimauve

23/03/2012 à 23h50

Bonjour Marc Apap,
C'est qui le "on" qui va avec dramatique?
Les dentistes?
La sécu?
...?


guimauve

23/03/2012 à 23h59

Les dentistes doivent instaurer la prévention de façon systématique dans leur cabinet?
La sécurité sociale doit instaurer la prévention de façon systématique dans la nomenclature?
Les assurances privées doivent instaurer la prévention de façon systématique dans leurs contrats?
L'Ordre doit s'assurer que la prévention est instaurée de façon systématique dans les cabinet?
Les universités doivent enseigner la prévention de façon systématique aux futures dentistes?
Les médias doivent s'insurger car la prévention n'est pas faite de façon systématique dans les cabinets, ni enseignée dans les facultés, ni intégrée dans les contrats des assurances privées, ni reconnues par les assurances publiques?
E
Et ce
Et j'en


Marque a3 orange fyvhyq - Eugenol
Marc Apap

23/03/2012 à 23h59

Bonne question ! Je pensais aux instances dirigeantes évidemment, et pourquoi pas la sécu.
Une véritable prévention au niveau d'un pays ne se conçoit pas à l'échelle d'un cabinet privé.


guimauve

24/03/2012 à 00h32

Les instances dirigeantes doivent instaurer la prevention de façon systématique dans les cabinets dentaires
Nicolas Sarkozy doit instaurer la prévention systématique dans les cabinets dentaires,
Roselyne Bachelot doit instaurer la prévention systématique dans les cabinets dentaires,
Xavier Bertrand doit instaurer la prévention de façon systématique dans les cabinets dentaires,
...
Mister Bananas doit instaurer la prévention de façon systématique dans les cabinet dentaires,
...
Les seules personnes capables d'instaurer la prévention de façon systématique sont quelques chirurgiens.
...
Et quand un nombre suffisant le fera, les choses changeront peut-être.
...
...


Tozzi

24/03/2012 à 09h55

Que pensez-vous des vernis à la chlorhexidine (type Cervitec) ?
Les indications sont-elles les mêmes que pour un vernis fluoré ?


Marque a3 orange fyvhyq - Eugenol
Marc Apap

24/03/2012 à 10h02

Moins documenté Plus faiblement efficace à mon avis
Voir ce qui a été écrit sur les vernis sur le site Evidence Based Dentistry


Logo gcfr pt8bej - Eugenol
Gc France

14/04/2015 à 11h46

Bonjour,

Je rebondis assez tardivement sur le sujet.
Un vernis fluoré de nouvelle génération est sorti récemment, il a participé au prix de l'innovation cette année (MI VARNISH).En plus des 22600 ppm de fluor, il contient du RECALDENT (CPP-ACP), un reminéralisant amélaire.

Gc mi varnish 2 sfscf0 - Eugenol
Gc mi varnish 1 kbj9ch - Eugenol