Cookie Consent byPrivacyPolicies.comResorption externe - Eugenol

Resorption externe

jouk

15/10/2011 à 11h41

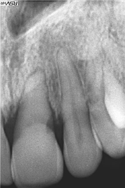
Bonjour à tous, patiente de 25 ans se présentant avec une mobilité de la 21.Je prends la Rx et constate cette resorption+disparition pulpe(trt ortho? ,n'a pas de souvenir d'un choc).J'ai proposé une contention et une surveillance (avec plus tard pose d'implant)/
Et vous dans un tel cas ,que faites vous?
Merci pour vos réponses

Resorp1 w1vzws - Eugenol
Resorp2 tqi5sp - Eugenol

Photo pluton1b h9n4ea - Eugenol
pluton

15/10/2011 à 12h51

implant avant qu'elle fasse un abcès...
si le biotype gingival le permet, EII avec MCI...
j'ai un cas fini similaire...mais photos/radios au cab...donc pas avant lundi...


Bagheera tudzjy - Eugenol
bagheerra

15/10/2011 à 14h49

Si le patient ne veut pas d'implant : lambeau, curetage, obturation IRM. (et prévenir que ce n'est qu'une "prolongation").


Photo pluton1b h9n4ea - Eugenol
pluton

15/10/2011 à 15h18

bagheerra écrivait:
-------------------
> Si le patient ne veut pas d'implant : lambeau, curetage, obturation IRM. (et
> prévenir que ce n'est qu'une "prolongation").

si la dent est mobile, çà va être de très courte durée...et tu risque qu'une chose, perdre du précieux nonos pour l'implant...


Bagheera tudzjy - Eugenol
bagheerra

15/10/2011 à 16h00

Oups, j'ai "zappé" que la dent est mobile. Effectivement ça sent le roussi. Dans ce cas toute temporisation même par une contention = perte d'os, amha.
Bilan radio indispensable car si ça vient de l'ortho il n'y a pas de raison que ce soit la seule...


Photo pluton1b h9n4ea - Eugenol
pluton

15/10/2011 à 16h26

sur la première radio, il me semble aussi que la 11 est touchée (en distal) et de toutes façons la racine est elle aussi bien rhizalysée...
pour moi, c'est bien parti pour être un cas avec 2 implants 11 et 21 en EII et MCI...
et faire çà simultanément, çà permet de plus facilement gérer le niveau des collets...

+1 pour un bilan radio approfondit...même déjà simplement une pano...


Avatar 46 aoi1yc - Eugenol
HononLulu

15/10/2011 à 16h35

Bonjour, il semblerait qu'il existe un sérieux problème parodontal au vu des pertes d'attaches des 11 et 21, à 25 ans.
Penses-tu que ce n'est pas à considérer avant de se focaliser sur 21 et traitement implantaire ?


jouk

15/10/2011 à 21h37

Patiente vu seulement hier, je lui ai donc prescrit une Rx pano que je vous montrerai samedi prochain. Pour la paro, elle a des antécédents héréditaire . Merci pour vos avis


jouk

22/10/2011 à 17h30

Comme promis la Rx pano,je la revois dans 15 jours pour un détartrage.J'ai expliqué à la patiente ce qu'il en était,je vais essayer de temporiser un peu vu qu'elle n'en souffre pas....

Dscf1123 urapps - Eugenol

Photo pluton1b h9n4ea - Eugenol
pluton

22/10/2011 à 17h40

pas vraiment de problèmes paro...mais l'ortho à laissé des "traces"...:-(


Smile beach jgh0a1 - Eugenol
Céramik

22/10/2011 à 20h51

pffft...les DDS pas encore enlevées...


--
Céramik


Ylfwcw979cz1jnx9gfqeaxndiuzk - Eugenol
Algi

23/10/2011 à 14h59

Cas similaire sur une canine y'a presque 10 ans (pas de radios, sorry), dent était perdue selon paro exclusif (et pas le plus nul par chez moi). Laser nd yap + h202 (protocole gerard rey) car zone accessible par la gencive au sondage, réalisé sans lambeau. J'ai en plus dépulpé la dent et laserisé la dentine resorbée, La dent est toujours là depuis et support de stellite en plus.

--
"On a toujours le choix! Mais entre quoi et quoi?
Vas-y boulégue et l'avenir te le dira!"