Cookie Consent byPrivacyPolicies.comQu'est ce que c'est ? - Eugenol

Qu'est ce que c'est ?

mat2t

19/10/2011 à 17h38

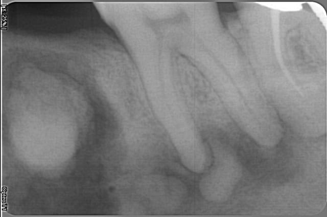
Patiente de 50 ans en bonne santé.
J'ai demandé un scan.
37 vivante.

Ostéome ?
Conduite à tenir?

Pano znfsmb - Eugenol
Per aahpkm - Eugenol

G-P

19/10/2011 à 20h17

.


marcus

20/10/2011 à 00h21

.


Rien !
( en l'absence de symptomes)

"primum non nocere"


Blondie

20/10/2011 à 01h09

Ca pourrait ressembler à une dysplasie cémento-osseuse floride vu l'atteinte du secteur 4. Au niveau du secteur 3 on pourrait également penser à un cémentoblastome.
Ce serait bien de faire un scanner puis de virer la grosse patate (qui semble présenter un liseré inflammatoire) afin d'avoir un retour d'histologie. Les formations apicales je n'y toucherais pas. La patiente est-elle d'origine africaine ?


Canin

20/10/2011 à 08h35

Blondie écrivait:
-----------------
> Ca pourrait ressembler à une dysplasie cémento-osseuse floride vu l'atteinte du
> secteur 4. Au niveau du secteur 3 on pourrait également penser à un
> cémentoblastome.
> Ce serait bien de faire un scanner puis de virer la grosse patate (qui semble
> présenter un liseré inflammatoire) afin d'avoir un retour d'histologie. Les
> formations apicales je n'y toucherais pas. La patiente est-elle d'origine
> africaine ?

+1

pareil mais je dirais une sorte de DCF modérée.

CAT pareil

--
Canin


mat2t

20/10/2011 à 20h28

Blondie écrivait:
-----------------
> Ca pourrait ressembler à une dysplasie cémento-osseuse floride vu l'atteinte du
> secteur 4. Au niveau du secteur 3 on pourrait également penser à un
> cémentoblastome.
> Ce serait bien de faire un scanner puis de virer la grosse patate (qui semble
> présenter un liseré inflammatoire) afin d'avoir un retour d'histologie. Les
> formations apicales je n'y toucherais pas. La patiente est-elle d'origine
> africaine ?

Oui la patiente est africaine.
C'est donc à priori bénin ?


mat2t

20/10/2011 à 20h42

J'ai trouvé ca
http://www.sop.asso.fr/admin/documents/ros/ROS0000280/La_dysplasie_cemento-osseuse_floride_-_ROS_tome_39_3_2010.pdf

Le scanner était donc inutile. Et il faut donc uniquement surveiller.


Blondie

20/10/2011 à 21h49

Je ne dirais pas ça.

Le diagnostic de certitude, c'est l'histologie qui te le donne.

A priori ca ressemble à une DCOF (Cf ton article).

Cependant, tu n'es sur de rien, le diagnostic différentiel doit potentiellement se faire avec un cémentoblastome ou encore une ostéite condensante notamment secteur 3. La lésion présentant un halo inflammatoire important.

Donc oui, moi je ferais un scanner pour mieux objectiver l'image, contrôler l'intégrité des corticales.

Si tu surveilles, ton scanner te servira de référence précise en cas de doute sur l'évolution par la suite.

Si tu interviens, ton scanner te permettra de guider ta chirurgie.





01 ukhwbq - Eugenol
Bobby

20/10/2011 à 23h53

mat2t écrivait:

>
> Oui la patiente est africaine.
> C'est donc à priori bénin ?

Non, béninois...