Cookie Consent byPrivacyPolicies.comQH sur V de lait - Eugenol

QH sur V de lait

Charlie tn4wmz - Eugenol
lordofthedam

27/10/2011 à 10h34

Utilisez vous régulièrement des QH posés sur les V de lait? Les utilisez vous dans les cas de classe 2 et les articulés inversés uni et bilatéral? Y a-t-il des précautions spéciales? Laissez vous les bagues ensuite jusqu'à la chute ou les retirez-vous? Avez-vous des photos?
J'ai pas mal de cas que je ne voudrais pas faire attendre du fait des risques encourus et je voudrais en savoir un max avant de me lancer.
Merci par avance pour l'aide que vous pourrez m'apporter.


Picture1111 zburnd - Eugenol
saidkholoki

27/10/2011 à 20h36

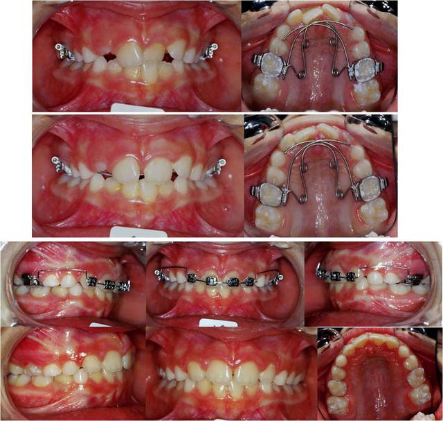
Oui j'utilise tres regulierement le QH sur les V. Dès que la face distale de la 6 n'est pas totalement degagée, et l'etat general des V le permet, je place mes bagues sur les V. J'utilise les mêmes bagues molaires avec les tubes vestibulaires et le fourreau palatin de chez RMO, mais en petites tailles. Je commande une taille sur deux afin de minimiser mon stock et ça marche presque toujours.
Theoriquement on conseille de faire le QH en .032 Elgiloy bleu sur les dents de lait, mais ceci laisse un jeu important dans le tube palatin destiné à recevoir un fil .036 replié sur lui même. Si on fait le QH soudé ce probleme n'existe plus donc il est toujours conseillé de le faire en .032 Elgiloy bleu.
Personellement, je fais mes QHs moi-même, en amovible, donc j'ai choisi de les faire en .036 Elgiloy bleu, et jusqu'à maitenent je n'ai jamais eu de probleme. Il est vrai que ceci accelere la chute des V mais sans grand souci car souvent les 5 sont deja là, ou bien je dois encore travailler le sens transversal donc je place un nouveau QH sur les 6 ce qui maintient la place pour les premolaires sans aucun probleme.
J'active le QH posé sur les V exactement comme si je le pose sur les 6, même indications, même regles de fabrication, même fonctions mecaniques et même contrôle clinique.
J'epuise les V jusqu'au bout, ça m'est arrivé plusieurs fois d'extraire les V en voulant deposer le QH. il ne faut pas s'affoler ou paniquer, mais plutot penser si des nouvelles bagues sont à mettre sur les 6 si un nouveau QH est toujours necessaire.
Je mets dans certains cas mon arc de base sur les V, ce qui evite d'avoir des mouvements parasites sur les 6 si un tip-backe est necessaire pour ingresser les incisives sup. Que les V se versent un peu cela ne me derrange pas sachant qu'elles vont tomber bientot.
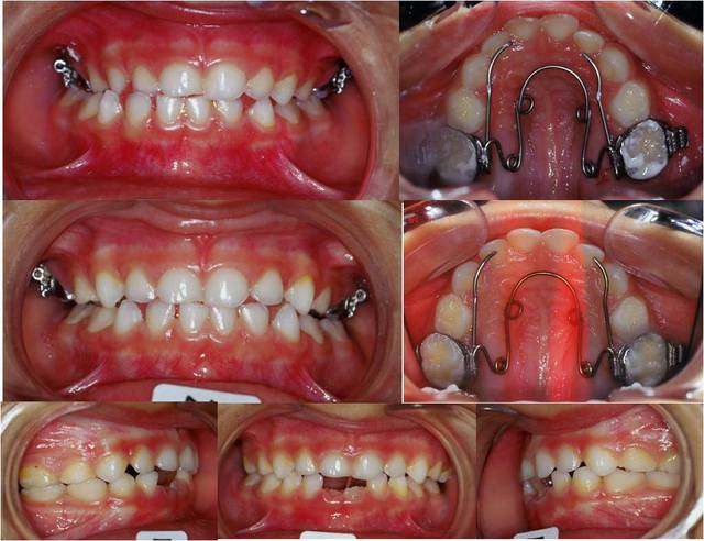
Voici qqs cas de QH et arc de base sur les V.
En esperant que ceci repond aux questions posées.

Desolé le cas numero 1 est passé en double§

--
A suivre...
Said

Cas 1 r1nvwm - Eugenol
Cas 1 wfb67o - Eugenol
Cas 2 sry7w1 - Eugenol
Cas 3 lohjof - Eugenol

Ico v for vendetta08 jzhpep - Eugenol
Arnaud Go

28/10/2011 à 12h07

De la vraie interception ça s'appelle.
Tu as parlé de l'avantage en cas de besoin de tip-back.
Y a-t-il d'autres avantages ? Je vois une utilisation plus précoce de la croissance, cela en vaut-il la peine à quelques mois de 6 opérationnelles ? Ou le placement de quad helix sur 6 est un des restes de l'ortho conventionnelle sur denture adulte.

Question générale sur les quad helix.
Vu l'anatomie générale du palais, insères-tu bien en dehors de la bouche ? En me l'imaginant l'insérer en bouche je vois le palais enfoncé.
Je présume que tu utilises l'Elgi bleu également pour les 6 (la couleur n'est pas précisée dans l'autre post).


Charlie tn4wmz - Eugenol
lordofthedam

28/10/2011 à 19h16

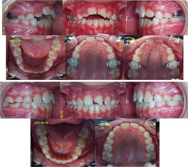
voilà mon nouveau cas, articulé croisé gauche, 6 aux apex ouverts, QH amovible labo en 0.32. Les boucles touchaient le palais j'ai donné un coup de pince trois becs de chaque coté pour l'écarter, je redresserait dans 2 mois quand je le réactiverais. Quant penses-tu?
Merci pour ton aide.

Photo 019 uqw0ve - Eugenol

Picture1111 zburnd - Eugenol
saidkholoki

28/10/2011 à 21h53

lordofthedam écrivait:
----------------------
> voilà mon nouveau cas, articulé croisé gauche, 6 aux apex ouverts, QH amovible
> labo en 0.32. Les boucles touchaient le palais j'ai donné un coup de pince trois
> becs de chaque coté pour l'écarter, je redresserait dans 2 mois quand je le
> réactiverais. Quant penses-tu?
> Merci pour ton aide.
ca l'aire tres bien, juste deux petits points: Il faut bien arrondir les bouts des bras, et en deux ligaturer le QH autour des fourreaux si il y a un jeu important 'le QH est en .032). Il faut attendre que ça travaille.


Arnaud Go écrivait:
-------------------
> De la vraie interception ça s'appelle.
> Tu as parlé de l'avantage en cas de besoin de tip-back.
> Y a-t-il d'autres avantages ?
>Je vois une utilisation plus précoce de la croissance, cela en vaut-il la peine à quelques mois de 6 opérationnelles ? Ou le placement de quad helix sur 6 est un des restes de l'ortho conventionnelle sur denture adulte.

Il y'en a certainement mais le plus grand avantage pour moi c'est que je fais une bonne partie du travail en m'appyuant sur une dent qui va tomber et en laissant les finitions pour un QH sur les 6. Cette methode n'est valable que si les germes des 5 sont presents. En cas d'agenesie et si mon choix est de garder les V il ne surtout pas les solliciter de cette façon.La croissance est le meilleur moyen therapeutique, je profite de cet avantage dès que possible et au maximum.

> Question générale sur les quad helix.
> Vu l'anatomie générale du palais, insères-tu bien en dehors de la bouche ? En me l'imaginant l'insérer en bouche je vois le palais enfoncé.

Oui j'insere le QH apres avoir scellé les bagues. C'est un coup de main à apprendre ni plus ni moins.

> Je présume que tu utilises l'Elgi bleu également pour les 6 (la couleur n'est pas précisée dans l'autre post).

Le QH est toujours en Elgiloy Bleu pour ces qualités metallurgiques. J'ai essayé de le faire en TMA .036, c'est un peu difficile à fabriquer, risque de casser assez souvent, beaucoup plus cher et tres souple à mon avis pour obtenir une action orthopedique et alveolo-dentaire. J'ai renoncé depuis.



--
A suivre...
Said


perleblanche

31/10/2011 à 19h53

salut theoriquement c est bien d utiliser les V mais en pratique je crois que la maturation est inportante pour commencer et encore la duree je suis de plus en plus convaincu de pas commencer avant 8-9 ans surtout que les plupart des problemes sont dus au sucion de pouce qui recidive beaucoup ( selon mon experience )


Picture1111 zburnd - Eugenol
saidkholoki

31/10/2011 à 20h08

perleblanche écrivait:
----------------------
> salut theoriquement c est bien d utiliser les V mais en pratique je crois que la
> maturation est inportante pour commencer et encore la duree je suis de plus en
> plus convaincu de pas commencer avant 8-9 ans surtout que les plupart des
> problemes sont dus au sucion de pouce qui recidive beaucoup ( selon mon
> experience )

Ce qu'on voit depend de ce qu'on a l'habitude de regarder, et ce qu'on regarde depend de nos priorités. Il semblerait qu'on n'a pas la même experience, on n'a pas les mêmes priotités et on n'a pas la même vision des choses. Un confrère disait" Plus on commence tard plus on a besoin de bagues mais plus on commence tôt plus on a besoin de bagage"
Ce bagage peut etre scientifique, psychologique, relationnel ou tout autre moyen à notre disposition pour reussir nos traitements.
Gugino dit: "Plus on commence tôt plus la face s'adapte à notre traitement, plus on commence tard plus notre traitement doit s'adapter à la face".
En tout cas c'est ton experience et ta façon de voir les choses qui te conduisent tes actions therapeutiqua. Bonne chance
--
A suivre...
Said


perleblanche

31/10/2011 à 20h21

pareil que toi c est ton experience et ....... je suis tout a fait d accord avec GUGINO mais avant le pic de croissance t as entre 6 ans jusqu a 11 ans donc le fait de commencer a 6 ans c est surement mieux mais n empeche qu on a plus des problemes cote psychologique..........


ne te sens pas toujours offenser des que on te donne une autre idee mon but n est pas de te contrarier mais de donner un autre point de voir les choses et d en discuter ............


Picture1111 zburnd - Eugenol
saidkholoki

31/10/2011 à 20h47

perleblanche écrivait:
----------------------
> ne te sens pas toujours offenser des que on te donne une autre idee mon but n
> est pas de te contrarier mais de donner un autre point de voir les choses et d
> en discuter ............

Je ne prends jamais les choses d'une façon personnelle. Peut etre c'est ma maniere de m'exprimer. Comme je l'ai dit precedement si tu trouves que ta methode to donne satisfaction et repond à tes objectifs tu es libre,ça n'engage que toi. Tout comme ma façon de travailler n'engage que moi-même.

--
A suivre...
Said


perleblanche

31/10/2011 à 20h50

pas la peine de changer de sujet je suis pas en train de donner ma facon de voir les choses je suis en train de discuter avec tout le monde les desavantages de tt tres precoce il n est pas question d engagement ou non un point de vu c est tt on a le droit non?


Picture1111 zburnd - Eugenol
saidkholoki

31/10/2011 à 21h00

perleblanche écrivait:
----------------------
> pas la peine de changer de sujet je suis pas en train de donner ma facon de voir
> les choses je suis en train de discuter avec tout le monde les desavantages de
> tt tres precoce il n est pas question d engagement ou non un point de vu c est
> tt on a le droit non?

Bien sure tu as le droit, mais quand on donne un point de vue, et on veut en discuter il faut avoir de quoi justifier ce point de vue. Dire d'apres mon experience je trouve telle ou telle chose, ce n'est pas valable, scientifiquement parlant. Sinon n'importe qui peut dire n'importe quoi. Dans ce cas et pour pouvoir discuter avec toi de ton point de vue,j'aimerais bien savoir tes arguments.
--
A suivre...
Said


perleblanche

31/10/2011 à 21h04

ah bon ?


Picture1111 zburnd - Eugenol
saidkholoki

31/10/2011 à 21h22

perleblanche écrivait:
----------------------
> ah bon ?

En ce qui me concerne, je trouve toujours un grand plaisir de travailler avec desenfants de 6-7 ans. je n'ai aucun probleme de communication. Toujours pour moi, pour commencer un cas en orthodontie précoce il me faut trois elements: Probleme orthodontique ou orthopedique dignostiqué, maturation suffisante de l'enfant et les elemnts dentaires, lactéales ou permanentes, necessaires pour commencer. La maturation peut changer d'un enfant à un autre.Ca m'arrive dans certains cas d'attendre volontairement avant de comencer. Mais c'est assez rare, c'est l'exception à la regle.
--
A suivre...
Said


1 p3qrc4 - Eugenol
Bjc.

01/11/2011 à 00h41

En cas d’inversé d’articulé en denture lactéale, souvent unilatéral, si les III sont en inversé d’articulé, cela me dérange de ne rien faire car la croissance va être bloquée d’une manière asymétrique avec des conséquences squelettiques.

Je commence par des meulages des III. cela ne marche qu’une fois sur deux, car les dents lactéales peuvent égresser et annuler mes meulages

Si c’est le cas, je mets un Q.H. sur les V, si la maturation de l’enfant le permet. C’est souvent, plutôt, une maturation des parents qu’il faut considérer.

Je rejoins Saïd

@+ Bjc.


perleblanche

01/11/2011 à 05h42

salut j ai pas dit non mais le probleme de maturation est la que ca vient des parents ou l enfant mais c est une chose qu on doit prendre en consideration

je te rejoint BJC


perleblanche

01/11/2011 à 06h03

etant pas orthodontiste , avec un tres bon bagage scientifique , certains cas d ortho qui ont besoin d un tt preventif surtout venant d un sucion de pouce ...peuvent attendre l age de 8-9 ans sans avoir des problemes de croissance vue que les enfants d age de 6-7 ans sont pas assez matures pr supporter un QH qui n est pas facile a porter surtout qu il est encore pas evident a enlever pour le reactiver durant les RV et qu a partir de 8-9 ans l enfant peut comprendre mieux le purquoi du tt et l importance d arreter de sucer le pouce a savoir si on arrive a l age de 6-7 ans de convaincre l enfant d arreter mes habitudes on gagnera du fait des muscles une enorme amelioration

maintenant , pour les problemes d articules croisee et problemes du sens transversals malgre que le meulage ne marche pas qu 1 sur 2 le fait de diriger et de controler et de diagnostiquer peut corriger une bonne partie et si on commence a l age de 8-9 est ce qu on peut pas adapter le visage au tt on a encore jusqu a la croissance entre 2-3 ans .

la duree du tt joue encore un role commencer a 6-7 ans pour 1 ans de tt pus controle avec des appareils de maitien ou ....jusqu a la sortie des canines definitives donc ca m amene a 5 ans de controle et de suivi que je trouve pour moi si je le reduit sans que je perd l avantage d un tt precoce est bien qu en pense tu BJC
j aime bien prendre des avis et pr cela j ecris sur le forum mais j aime pas l attitude d attaquer des que qlq a une autre idee on a tous eu nos diplomes et nos experiences et nos observations et en echangeant on evolue et ce qui est vrai hier sera peut etre pas demain

qd j ai lu sur le QH sur les V je voulais donner une idee venue d une certaine experience et pas la peine de s enerver et de prendre cet attitude pour cela


1 p3qrc4 - Eugenol
Bjc.

01/11/2011 à 11h48

"""salut j ai pas dit non mais le probleme de maturation est la que ca vient des parents ou l enfant mais c est une chose qu on doit prendre en consideration

je te rejoint BJC"""



j'ai volontairement oublié la maturation du praticien

;-))


1 p3qrc4 - Eugenol
Bjc.

01/11/2011 à 12h16

Voici mon expérience


dans les cas de succion du pouce, l’âge est 7 ans (6 à 8 ans), c’est l’âge de raison
je demande à l’enfant de 6 ans s’il veut arrêter. La moitié me dit non. Je revois ceux là tous les 4 mois, et je leur repose la question, (si les parents les ramènent au Rdv). C’est ainsi que j’arrive à un oui. Il ne faut pas oublier l’importance de la coopération.

Pour les Pbs. du sens transversal, cela se règle en 6 mois. Et il n’y a pas besoin de maintient, surtout pas, maintient qui bloquerait la croissance stimulée par les mouvements de latéralité. Si on n’aime pas le Q.H., on peut faire des pulpec. des III, et les meuler radicalement pour libérer les mouvements de latéralité

Dans les deux cas, on supprime les causes précocement et on aura des résultats plus stables que si on traite tardivement. C’est le principe de restauration des formes d’arcades physiologiques par déverrouillage, et suppression des habitudes parasites.

@+ Bjc.


Picture1111 zburnd - Eugenol
saidkholoki

01/11/2011 à 13h55

Bjc. écrivait:
--------------
> Si on n’aime pas le Q.H., on peut
> faire des pulpec. des III, et les meuler radicalement pour libérer les
> mouvements de latéralité

BJC, est-ce que tu as déjà fait ça? Est-ce que tu as un seul cas à nous montrer?
--
A suivre...
Said


1 p3qrc4 - Eugenol
Bjc.

01/11/2011 à 14h09

"""BJC, est-ce que tu as déjà fait ça? Est-ce que tu as un seul cas à nous montrer?"""

Je l’ai déjà fait : pulpo sur les III, c’est pas compliqué, et on déverrouille

C’est un peu radicale, je le reconnais, mais il y a dans ma région, des patients qui viennent de loin, qui vivent sur le fleuve, (comme on dit chez nous). Ils ne peuvent pas descendre en cas de Pbs. de Q.H. c’est trop cher de voyage
C’est tellement simple que je n’ai pas de documents

Je vais peut être en faire une prochainement, je te ferai des photos si tu veux, mais l’intérêt est le résultat à 2 ans
Il te faudra attendre

@+ Bjc.



Picture1111 zburnd - Eugenol
saidkholoki

01/11/2011 à 14h58

perleblanche écrivait:
----------------------
> etant pas orthodontiste ,

Dans d'autre poste tu dis que tu optes pour les appareils prefabriqués pour surmonter les problemes de fabrication!! Alors tu fais de l'ortho ou pas??

> certains cas d ortho qui ont besoin d un tt preventif surtout venant d un sucion de pouce ...peuvent attendre l age de 8-9 ans sans avoir des problemes de croissance

Ce n'est pas vrai, je peux vous montrer des cas à l'age de 6 ans avec une classe II complete due à la succion de pouce, ou avec un maxillaire hyper etroit du à un probleme respiratoire et/ou lingual.

> vue que les enfants d age de 6-7 ans sont pas assez matures pr supporter un QH qui n est pas facile a porter

C'est genant pendant 3 à 5 jours, ensuite il fait partie de la bouche et l'enfant l'oublie totalement. J'en ai posé jusqu'à maintenant des centaines de QH à cet age sans rencontrer des problemes particuliers.


> surtout qu il est encore pas evident a enlever pour le reactiver durant les RV

Si on arrive à poser le QH au premier RDV je ne vois pas pourquoi on ne peut pas le deposer pour l'activer en dehors de la bouche par la suite. Qui peut faire le plus peut faire le moins.

> et qu a partir de 8-9 ans l enfant peut comprendre mieux le purquoi du tt et l importance d arreter de sucer le pouce a savoir si on arrive a l age de 6-7 ans de convaincre l enfant d arreter mes habitudes on gagnera du fait des muscles une enorme amelioration

Je n'ai pas compris le sens clinique de ta derniere phrase!!!

> maintenant , pour les problemes d articules croisee et problemes du sens transversals malgre que le meulage ne marche pas qu 1 sur 2 le fait de diriger et de controler et de diagnostiquer peut corriger une bonne partie

Ce ne marche pas parce que dans laplupart de temps il y a une mauvaise position en plus de l'egression. CARDONNET disait toujours" Il est plus elegant de corriger la mauvaise position d'une dent que de la meuler tout de suite". Le meulage sans remettre la dent, les canines en particulier, dans une position fonctionnelle ne donnera pas les effets recherchés du meulage. Placer la dens dans une position correcte, meuler ensuite si besoin et ça va mieux marcher.

> et si on commence a l age de 8-9 est ce qu on peut pas adapter le visage au tt on a encore jusqu a la croissance entre 2-3 ans.

une deformation squelettique sur 8-9 ans ne peut pas se corriger en 2-3 ans. Pas toujours en tout cas!!

> la duree du tt joue encore un role commencer a 6-7 ans pour 1 ans de tt pus controle avec des appareils de maitien ou ....jusqu a la sortie des canines definitives donc ca m amene a 5 ans de controle et de suivi que je trouve pour moi si je le reduit sans que je perd l avantage d un tt precoce est bien

Il est vrai que la surveillance est longue en durée mais il s'agit d'un RDV de qqs minutes tous les 3 à 6 mois. On peut voir l'evolution de l'enfant, on peut travailler le côtè hygienne buccale, on peut faire l'examen general et soigner ou referrer le patient pour les soins ordinaires si besoin et enfin faire les demandes de surveillance afin de garder les droits de l'enfant d'une deuxieme phase si necessaire.

> qu en pense tu BJC j aime bien prendre des avis et pr cela j ecris sur le forum mais j aime pas l'attitude d attaquer des que qlq a une autre idee on a tous eu nos diplomes et nos experiences et nos observations et en echangeant on evolue et ce qui est vrai hier sera peut etre pas demain

No comment!!!!!


> qd j ai lu sur le QH sur les V je voulais donner une idee venue d une certaine experience et pas la peine de s enerver et de prendre cet attitude pour cela

Ma reponse etait prfaitement adaptée à la question posée avec une attitude confraternelle, respectueuse et scientifique avec des cas à l'appui.


--
A suivre...
Said


perleblanche

01/11/2011 à 17h33

qu en pense tu BJC j aime bien prendre des avis et pr cela j ecris sur le forum mais j aime pas l'attitude d attaquer des que qlq a une autre idee on a tous eu nos diplomes et nos experiences et nos observations et en echangeant on evolue et ce qui est vrai hier sera peut etre pas demain

No comment!!!!!

> qd j ai lu sur le QH sur les V je voulais donner une idee venue d une certaine experience et pas la peine de s enerver et de prendre cet attitude pour cela

Ma reponse etait prfaitement adaptée à la question posée avec une attitude confraternelle, respectueuse et scientifique avec des cas à l'appui.

--
A suivre...
Said

si tu le dis


1 p3qrc4 - Eugenol
Bjc.

01/11/2011 à 23h55

"""CARDONNET disait toujours" Il est plus elegant de corriger la mauvaise position d'une dent que de la meuler tout de suite"""

(l’élégant CARDONNET parlait de dents permanentes).

Une fois que l’on a replacé une (deux) canines de lait en ayant corrigé l’inversé d’articulé, on n’a pas besoin de meuler autant que pour faire passer l’inversé d’articulé,
C’est vrai mais :

L’idéal n’étant pas toujours possible,(pour des raisons de proximité), je préfère faire une pulpec des III, mettre les canines de lait en bout à bout, libérer les mouvements de latéralité, plutôt que de ne rien faire, et laisser la situation empirer.

@+ Bjc.

P.S.: je n'ai pas que des gens aisés dans ma patientelle, j'ai des gens modestes, qui viennent de loin et à qui le voyage en pirogue coute cher


Picture1111 zburnd - Eugenol
saidkholoki

02/11/2011 à 08h09

Bjc. écrivait:
--------------
> """CARDONNET disait toujours" Il est plus elegant de corriger la mauvaise
> position d'une dent que de la meuler tout de suite"""
>
> (l’élégant CARDONNET parlait de dents permanentes).

Puisque l'occlusion est un moyen extraordinaire pour la croissance maxillo-faciale, et chaque âge à son occlusion, pourquoi cette regle ne pas s'appliquer à l'occlusion lactéale comme à la dentition permanente? C'est la raison pourlaquelle tu veux meuler tes III, n'est-pas???

> Une fois que l’on a replacé une (deux) canines de lait en ayant corrigé l’inversé d’articulé, on n’a pas besoin de meuler autant que pour faire passer l’inversé d’articulé, C’est vrai mais :
> L’idéal n’étant pas toujours possible,(pour des raisons de proximité), je préfère faire une pulpec des III, mettre les canines de lait en bout à bout, libérer les mouvements de latéralité, plutôt que de ne rien faire, et laisser la
situation empirer.
>
> @+ Bjc.
>
> P.S.: je n'ai pas que des gens aisés dans ma patientelle, j'ai des gens modestes, qui viennent de loin et à qui le voyage en pirogue coute cher

Ca s'appelle un travail avec systeme D " se Derouiller avec", et cela n'a rien de scientifique, le deverrouillage n'est absolument pas assuré et les resultats ne sont pas garantis. On peut L'accepter comme une solution bien particuliere à ton ile et à ta riviere. Mais on ne peut pas l'accepter en France car ce probleme geographique d'eloignement n'existe pas, à mes connaissance!!!


--
A suivre...
Said


perleblanche

02/11/2011 à 11h27

j aimerais bien savoir qui l a appele systeme D et qui sont ( on accepte et on accepte pas )


12