Cookie Consent byPrivacyPolicies.comLa tenteriez vous? - Eugenol

La tenteriez vous?

flicflac

03/12/2011 à 03h25

quel est l'age du patient?
est-elle symptomatique? perso je pense que non
est-elle sondable en bouche? perso je pense que non
le patient est-il boxeur? probabilité faible
de toute facon je réfère...


flicflac

03/12/2011 à 05h42

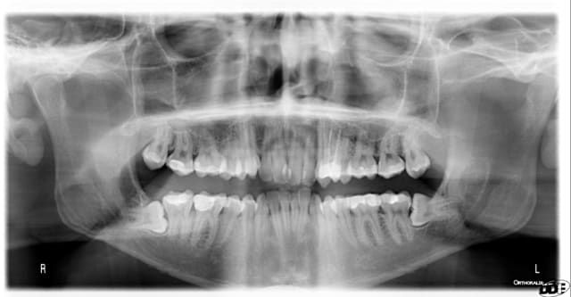
Changement en 4 ans de 17ans à 21 ans?
que faites-vous communication en bouche dent 38 , pas de sondage distal 47
;a seconde radio

Image000 hhqycd - Eugenol

Smile beach jgh0a1 - Eugenol
Céramik

03/12/2011 à 16h15

--
Céramik


Smile beach jgh0a1 - Eugenol
Céramik

03/12/2011 à 16h19

Comprend pas ton post
Faut la 2e radio ?


Dans mon cas, c'est juste pour rire, les DDS sont juste une découverte radio.
Le patient voulait des implants pour.
C'est chaud pour le bas.
Des trucs ?
Au scan moins de 5 mm d'os...

--
Céramik


flicflac

03/12/2011 à 21h29

c'était écrit la seconde à suivre.
Ton panorex céramik est extraordinaire, j'aurais mis le titre: potentielle d'éruption dans la branche montante
Pépé mettrait un disque implant peut-être

4 ans post nrq8x9 - Eugenol
Image000 jc9p2x - Eugenol

Smile beach jgh0a1 - Eugenol
Céramik

03/12/2011 à 21h59

flicflac écrivait:
------------------
> c'était écrit la seconde à suivre.
> Ton panorex céramik est extraordinaire, j'aurais mis le titre: potentielle
> d'éruption dans la branche montante
> Pépé mettrait un disque implant peut-être

Excellent exemple d'un cas où il fallait agir...
J'aurais enlever dans la 1er pano, 100%, aucune hésitation.
Dans la 2e pano, j'adresse et le pauvre patient aura des emmerdes.




--
Céramik


aldo74

03/12/2011 à 23h10

bonjour,tu dois parler des huit du haut sans doute ???
car chez nous pour 85€ se lancer sur des huit du bas horizontales il faut avoir le bénévolat dans l'âme .
perso je ne fait les germes qu'au jeune patient que je suis depuis l'enfance.


Smile beach jgh0a1 - Eugenol
Céramik

03/12/2011 à 23h36

aldo74 écrivait:
----------------
> bonjour,tu dois parler des huit du haut sans doute ???
> car chez nous pour 85€ se lancer sur des huit du bas horizontales il faut avoir
> le bénévolat dans l'âme .
> perso je ne fait les germes qu'au jeune patient que je suis depuis l'enfance.

Dans la 1er pano, j'enlève toutes les 8
Dans la 2e pano, je touche pas.

4 DDS incluses, c'est 600-800 euro chez moi...
désolé pour toi...
et même à ce tarif, 75% des CD ne les font pas, ils adressent, car ils n'aiment pas la chirurgie, moi j'adore les DDS, 95 % du temps je les fais sans soucis.
Sinon, nous avons des "maxillo-facial", qui font cela.

Je trouve par contre classique le fait que ce patient ai attendu...trop longtemps...comme bcp ne font pas de dds, pas bcp de recommandation d'enlever, et pas bcp de suivi pano...
Par contre, il y a aussi les patients qui décident de remettre et de remettre cela et d'attendre la douleur, ou bien les conséquences...


Note: il y a une obturation sur la 18 ????????



--
Céramik


flicflac

04/12/2011 à 02h49

la 18 et 28 sont en occlusion avec le tiers distal des 37-47..


Smile beach jgh0a1 - Eugenol
Céramik

04/12/2011 à 17h22

flicflac écrivait:
------------------
> la 18 et 28 sont en occlusion avec le tiers distal des 37-47..


Pas grave, ça pousse la bouffe au distal des 37 et 47, et tu as là des 48 et 38 bien mal placées.

Enlève déjà les 18 et 28.




--
Céramik


Canin

04/12/2011 à 17h59

Céramik écrivait:
-----------------
> flicflac écrivait:
> ------------------
> > la 18 et 28 sont en occlusion avec le tiers distal des 37-47..
>
>
> Pas grave, ça pousse la bouffe au distal des 37 et 47, et tu as là des 48 et 38
> bien mal placées.
>
> Enlève déjà les 18 et 28.
>
>
>
>
> --
> Céramik


Vu le niveau d'hygiène du patient quand on compare le nombre d'obturations entre 17 et 21 ans, la malposition...on peut probablement prédire une complication ifectieuse sur 38-48 dans les années

Concernant les 18-28 sont simples à enlever, en une séance et le tour est joué.

Concernant les 38-48 il n'y a en principe pas de difficulté opératoire mais à présent il ne faudra les enlever que si y'a des symptômes infectieux récurrents.


--
Canin


flicflac

04/12/2011 à 18h02

pas d'accord pour la 38 communication en bouche indication formelle d'extraire, ne pas attende infection à 50 ans et perdre la 37 du même coup.


Smile beach jgh0a1 - Eugenol
Céramik

04/12/2011 à 19h25

flicflac écrivait:
------------------
> pas d'accord pour la 38 communication en bouche indication formelle d'extraire,
> ne pas attende infection à 50 ans et perdre la 37 du même coup.


Et la 48, ne pas attendre non plus, car ça sera la même chose.

Illico, exo des 4 dds.

Le haut c'est 15 minutes, le bas, ça dépend de ton expérience...

--
Céramik


B0007 r0bvlj - Eugenol
dentiste vignoble alsace

04/12/2011 à 21h45

38 et 48 à extraire ou alors tu vas jouer à la roulette russe pour le maintien des 7.
Demande un dentascan pour la 48 pour programmer une éventuelle coronectomie.


12