Cookie Consent byPrivacyPolicies.comDépassement apical - Réimplantation - Eugenol

Dépassement apical - Réimplantation

Ico v for vendetta08 jzhpep - Eugenol
Arnaud Go

03/11/2011 à 20h04

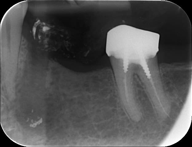
Patient vu à l'instant pour infection traitée il y a 3 semaines sur 35 et joyeux dépassement maintenant douloureux.

Le patient ne veut pas attendre scan et intervention apicale donc zou! dans la poubelle la vilaine.

Mais j'ai eu un remord : si on curette juste la zone apicale causale, cela doit valoir la peine de tenter la réimplantation.
Certains d'entre vous ont-ils déjà procédé de la sorte et un tel procédé n'est-il pas généralisable à toutes les monoradiculées ?

P riapexp  3  p7arwk - Eugenol
P riapexp  1  pa6tgn - Eugenol
P riapexp  2  zvnbvc - Eugenol

Bagheera tudzjy - Eugenol
bagheerra

03/11/2011 à 20h29

J'ai déjà vu ça lors d'une conférence d'un endo exclusif. En l'occurence, la patiente n'avait pas les moyens de payer les honoraires de la reprise d'endo. Il a extrait une 37 (de mémoire), fait la résection apicale, la préparation et l'obturation a retro, et réimplantation dans la séance. Avec quelques années de recul tout ce passe bien. Sa conclusion : "ce ne sera jamais un traitement de routine, on est d'accord !".


Avatar hjdsnm - Eugenol
TiGabi

03/11/2011 à 20h34

Vu aussi au dernier congrés SFOP lors d'une communication intitulée "Zorrodontologie" : avulsion d'une 46, retrait d'un instrument fracturé, obturation canalaire, réimplantation.


Fresh watermelon 640x562 udulqz - Eugenol
gulguch

03/11/2011 à 21h56

Qu'est ce qu'il avait besoin de scan? encore une victime du principe de précaution.


Salamandre

03/11/2011 à 23h19

Moi je l'ai fait. Patiente que j'avais adressé à deux chir pour résection apicale pour une 46, ils ont refusé. Mobilité 3. Beau foyer apical. RTE du tiers apical impossible.
La patiente voulait vraiment la conserver.
Je me suis souvenu des regles de réimplantation: extraction rapide avec luxation verticale. J'ai prevenu la patiente sur les probabilité de réussite.
Je l'ai extraite, fait la résection apicale dans la main, réimplantée, même pas de contention. Je vous raconte pas les yeux de l'assistante que je n'avais pas prévenu...
Un an après, pas d’ankylose, guérison totale du foyer apical.
A défaut de savoir planté des implants, je me console comme je peux.
J’essaierais de retrouver les radios.


Avatar hjdsnm - Eugenol
TiGabi

04/11/2011 à 00h17

Je trouve ce sujet vraiment intéressant, je me demande si des études ont déjà été réalisées.

On peut noter que "Extraction chirurgicale d'une dent permanente incluse, traitement radiculaire éventuel, réimplantation, contention" existe dans la NGAP et est coté DC100. Je me demande si un assimilation pour dent non incluse serait tolérée avec demande préalable.


Ico v for vendetta08 jzhpep - Eugenol
Arnaud Go

04/11/2011 à 03h59

Si le patient n'avait pas été psy, suffisamment pour avoir droit à l'ALD, cela aurait valu le coup d'essayer.

Pour la DEP par assimilation faut vraiment que le DC soit bien embouché ou à un mois de la retraite. Il y a une liste d'assimilations nationales et en dehors, walou, mais on peut essayer ! Tu as en tout cas le droit de compter un DC100 en faisant une DEP sans attendre son retour si tu es comme ici dans un cas d'urgence, le patient doit accepter d'éventuellement s'assoir sur le remboursement.
Il y a aussi une autre DEP par assimilation moins élevée tentable, inscrite au tableau des assimilations :
"Mise en place et contention d’une dent permanente expulsée par traumatisme : SC 40 / Assimilation à Attelle métallique dans les parodontopathies." Mais le mot traumatisme empêche l'automatisme de l'assimilation.
À noter que les assimilations sont toutes opposables, donc soit on tente le DC100 soit on opte pour le HN.


Salamandre

04/11/2011 à 09h45

J'ai coté HN 350 E. En disant à la patiente que j'encaisserais seulement si ça prend. Faut bien avouer que c'etait inhabituel comme intervention. L'intervention m'a pris 15 min max.
On sous estime souvent le potentiel cica de la nature je pense.
PS: hygiène et paro de la patiente très bonnes.


Ico v for vendetta08 jzhpep - Eugenol
Arnaud Go

04/11/2011 à 12h41

Les réimplantations après expulsion traumatique fonctionnent alors que la dent est souvent mal conservée voire tombée par terre, dans l'absolu pourquoi cela ne marcherait-il pas beaucoup mieux ?

Notre formatage clinique en l'occurrence pour les résections nous oriente parfois davantage que le bon sens dont tu n'as pas manqué.


Gutt-A

04/11/2011 à 13h19

Arnaud Go écrivait:
-------------------
> Patient vu à l'instant pour infection traitée il y a 3 semaines sur 35 et joyeux
> dépassement maintenant douloureux.




Douleurs même avec anti-inflammatoires et antibios?


Ico v for vendetta08 jzhpep - Eugenol
Arnaud Go

04/11/2011 à 19h46

Difficile vu le dépassement d'être sûr de la fin des douleurs mais j'ai peut-être tord et je suis demandeur de retour sur de telles situations à la mandibule.
Le contexte général et la demande du patient était un règlement certain et immédiat de son problème et la perspective en cas d'échec d'une résection amenait naturellement à la voie du davier.


king_zoulou

04/11/2011 à 23h43

Merci pour ce topic. Je n'aurai JAMAIS pensé à ça, je suis heureux d'avoir ajouté aujourd'hui une solution à mon arsenal thérapeutique.

Ce qui, après une journée particulièrement merdique, est particulièrement réjouissant :)


Aymen

29/11/2011 à 10h45

TiGabi écrivait:
----------------
> Vu aussi au dernier congrés SFOP lors d'une communication intitulée
> "Zorrodontologie" : avulsion d'une 46, retrait d'un instrument fracturé,
> obturation canalaire, réimplantation.
est ce qu'on a procédé à l'obturation canalaire par voie ortho grade et la dent est entre les mains du praticiens, ou bien une boturation à retro tout en laissant les canaux vides???
merci de me repondre


--
Nahoo!!!