Cookie Consent byPrivacyPolicies.comComment proposer un devis esthétique ? - Eugenol

Comment proposer un devis esthétique ?

DocJ

16/11/2011 à 19h20

Je suis en train d' étudier une proposition pour ma patiente en composite esthétique mais ce seront des cotations sécu en SC mais je veux faire un wax up et mock up pour lui montrer ce que ça va donner. Comment le facturer ?

Merci


Rorschachwhite tx6rqr - Eugenol
Candide Candida

16/11/2011 à 19h32

"Etude et planification esthétique"

- photos
- modèles d'étude
- planification esthétique par cire ajoutée
- validation du projet esthétique par essayage d'une maquette prévisionnelle

Tu peux faire deux lignes pour le devis et distinguer d'un côté les frais de laboratoire (wax-up et mock-up) et de l'autre côté tes honoraires.

Le tout en HN.

Si le projet ne conviens pas à la patiente prévoit un maximum de deux ou trois propositions pour le même prix (ou pas : en ne refaisant payer alors que les frais du labo par exemple).

...

Après qques cas où je gérais tout cela gratuitement, j'ai finit par inclure tout cela dans une consultation esthétique (Hn of course) qui me permet de prendre le temps des explications (blanchiment, facettes, orthodontie) et qui ne me fait pas perdre de temps avec les patients peu motivés (ergo : ceux qui ne veulent pas payer la consultation...).

CC.


Cuisinier2 vnbbxx - Eugenol
jeff2

16/11/2011 à 19h34

Il faut faire très attention à ce que cela soit très justifié.
fait des photos et envoie.
Le HN a plus de sécurité, mais si tu es certains que tes composites vont tenir plus de 10 ans , (délai légal) tu peux le faire, sinon couronne tout.


RépondreCiter
003 penrd2 - Eugenol
Cingulum

16/11/2011 à 19h37

jeff2 écrivait:
---------------

> Le HN a plus de sécurité, mais si tu es certains que tes composites vont tenir
> plus de 10 ans , (délai légal) tu peux le faire, sinon couronne tout.
>

ça sort d'où ça ?


--
Dr Cingulum
-----Ancien interné----
----Attaché à l'apex----
http://www.clinic-all.fr/ formation par passion


Ico v for vendetta08 jzhpep - Eugenol
Arnaud Go

16/11/2011 à 20h48

Les compos sont en opposables, l'étude préalable d'un projet esthétique est en pure HN.
C'est la seule manière à ma connaissance de beurrer les épinards en étant dans les clous.
Sinon les restes à charge en HN sur compo sont risqués, ça te tombe sur la gueule en cas de blème.


Avatar ow44t3 - Eugenol
Chicot

20/11/2011 à 15h17

Et puis tu peux aussi faire des facettes


--
;O)


G-P

20/11/2011 à 18h57

Le mock-up pour montrer à la patiente ce que ça peut donner n'est pas une bonne idée. Met toi à la place de la patiente, un bout de résine c'est pas très joli.
Tu n'as pas des photos de cas que tu as déjà réalisé ? Beaucoup plus valorisant à mon avis.


Bebe 038 nf8eum - Eugenol
danteyeah

22/11/2011 à 15h29

G-P écrivait:
-------------
> Le mock-up pour montrer à la patiente ce que ça peut donner n'est pas une bonne
> idée. Met toi à la place de la patiente, un bout de résine c'est pas très joli.

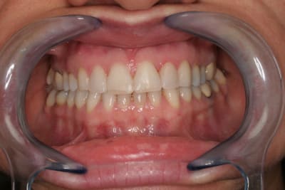
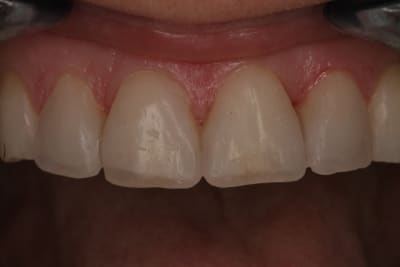
On a pas le droit d'écrire un truc pareil, j'ai que ce cas en photo, d'autres nonolien ont peut du stock pour te montrer que tu fais erreur.
Là c'est de la résine Micérium (pas du compo.) en "enamel" uniquement, alors imagine avec du composite polymérisé à travers une clé silicone transparent.....

> Tu n'as pas des photos de cas que tu as déjà réalisé ? Beaucoup plus valorisant
> à mon avis.

C'est bien, mais en vrai dans la bouche c'est mieux, essaye!!!!

Mockup1 gztxd2 - Eugenol
Mockup 2 pstl4m - Eugenol
Mockup4 emsu5c - Eugenol
Mockup 3 mvqhom - Eugenol
Mockup5 lzoi6r - Eugenol