Cookie Consent byPrivacyPolicies.comConduite à tenir - Eugenol

Conduite à tenir

Milady

18/11/2011 à 12h25

Jeune femme venue en urgence pour des douleurs en haut, en bas, à gauche et à droite.
Elle se brosse les dents au mieux une fois par jour et boit des jus de fruits/sodas toute la journée à la paille (manifestement positionnée en regard des 12 et 13: son sourire est merveilleux)

Elle vient pour que je gère ses douleurs sachant qu'elle est enceinte de 7 mois et demi mais n'a pas jugé bon de consulter plus tôt car les douleurs passaient toutes seules.

Pour l'instant j'ai ouvert la 27 qui semblait la plus douloureuse et lui ai demandé de revenir en soins sans sa gamine de 2 ans qui a chouiné tout le long du soin. Je suis un peu désabusée devant ce genre de cas. Que feriez-vous

P1 jtc5yd - Eugenol

Photo pluton1b h9n4ea - Eugenol
pluton

18/11/2011 à 13h05

Milady écrivait:
----------------
Que feriez-vous

la soigner et ensuite la motiver...puis la réhabiliter...


Bagheera tudzjy - Eugenol
bagheerra

18/11/2011 à 13h10

pluton écrivait:
----------------
> Milady écrivait:
> ----------------
> Que feriez-vous
>
> la soigner et ensuite la motiver...puis la réhabiliter...


+1
et en se dépêchant pour éviter de se rapprocher plus du terme. Je pense qu'il faut faire au moins les endos + obturations coronaires étanches, sinon elle va être embêtée tout le temps et toi aussi.


king_zoulou

18/11/2011 à 13h36

Faire jouer la fibre maternelle en lui expliquant que son bébé va naître avec une bouche stérile, qu'il va récupérer toutes les bactéries de la bouche de la mère et que vu l'état de celle-ci, le gosse aura des problèmes dentaires toute sa vie vu le cocktail explosif qui l'attend à chaque bisou.
"Que vous vous en foutiez de vos dents, c'est votre problème. Mais pensez à vos gosses".
Tu peux en rajouter une couche avec l'article taiwanais qui vient de prouver que deux détartrages par an diminuait de 23% le risque d'accident cardiaque, lui parler de cette étude qui fait le lien entre AVC de cause inconnue et les binding protein des streptococcus mutans, ou encore de celle associant parodontites et fausses couches ou encore etc etc etc "Que vous vous en foutiez de votre santé, c'est votre problème. Mais pensez à tous les problèmes de santé qu'auront vos gosses à cause de l'état de vos dents, et oui madame !"

Bon, en le tournant de manière diplomatique off course ^^

Et puis sinon, comme bagherra, 7 mois de grossesse ou pas, le foetus aura plus de problèmes si on laisse tout ça comme c'est que si on fait un grand nettoyage de printemps.


Image001 e0kg9q - Eugenol
clemsdent

18/11/2011 à 14h23

Ne te fatigues pas, c'est le genre de personnes qui ne revient pas au prochain rendez-vous.


perso, je donne un 2e rdv "test" pour la prochaine fois, pour voir evolution brossage et motivation patient. Ou alors je dis: rappelez nous pour votre rdv ! (ça permet de juger la motivation)



levm

18/11/2011 à 14h45

-4 pulpites + absence d’hygiène .
-La patient qui ne vient que si épisode douloureux .

La motivation est donc proche de 0 .
C'est une certitude , tu la reverras une fois voir 2 mais plus .


Grueavatar nptrc9 - Eugenol
Le Choixpeau magique

18/11/2011 à 14h46

clemsdent écrivait:
-------------------
> Ne te fatigues pas, c'est le genre de personnes qui ne revient pas au prochain
> rendez-vous.

J'ai pas osé le marquer de peur de passer pour un gros réac, mais c'est la première pensée qui m'est venue à l'esprit.

Maintenant que Clemsdent a ouvert la voie, je rallie son panache blanc !

(et avoue tout, elle a la CMU ?)


Gbazylo1 fvg1vg - Eugenol
Aron

18/11/2011 à 17h53

Bah oui c'est un cas soc, c'est pas une raison pour pas essayer de la soigner, au moins une fois, et avec la règle du rdv manqué=dehors clairement énoncée.

Commencer par de petits rdv pour pas risquer le gros lapin, et faire verser des acomptes au plus tot.

Comme choixpeau, je penche pour une CMU.

La corde maternelle a peu de chance de jouer: pour commencer tu fais pas de gamins à cet age avec une situation professionnelle vraisemblablement de merde si tu as une corde maternelle.
M'enfin bon, laissons lui une chance.


Img 3657 cwjvqm - Eugenol
alapex

18/11/2011 à 18h13

pluton écrivait:
----------------
> Milady écrivait:
> ----------------
> Que feriez-vous
>
> la soigner et ensuite la motiver...puis la réhabiliter...



Ça c'est quand on est jeune...)))
Les plus vieux font pareils , mais ils sont vieux les pauvres...
L'état bucco dentaire à gérer pendant une grossesse dans une bouche où il manque des dents , où des soins urgents (ou à venir) sont nécessaires , où le remplacement des dents manquantes n'a pas été fait , le sera encore moins après l'accouchement car la patiente sera fort occupée et ne prendra pas le temps de le faire , ou prendra cela comme la meilleure des excuses pour rester en état actuel . Enfin état actuel moins LA dent que tu vas soigner . Le prochain soin se fera pendant la grossesse suivante .
Donc , ne te prends pas trop la tête , fait ton boulot , motive et tu verras , restons optimistes , faisons notre métier...)))


Milady

18/11/2011 à 18h25

Merci pour vos avis.

Comme la majorité, je pense qu'elle n'ira jamais jusqu'au bout de ses soins (j'espère déjà qu'elle ira au début...)et j'avoue en avoir assez de me battre pour des gens qui s'en fichent.

Mon souci c'est que des cas de ce type j'en ai plein. Celle-ci n'est pas CMU mais ne comprend pas non plus que son 100% pour cause de grossesse ne prenne pas en charge un blanchiment... bon bref, c'est pas gagné

Je vais quand même tenter la culpabilisation vis à vis de ses enfants. Elle est venue au rendez-vous avec son autre gamin car elle "ne voulait pas le laisser à quelqu'un qu'elle ne connait pas! Ce n'est pas responsable". Y'a peut-être un moyen de la faire réfléchir...



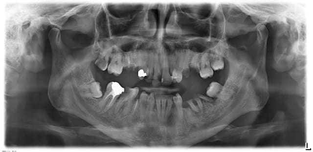
Sur ce, je vais essayer de me motiver pour mon prochain patient dont voici la pano.
PS: depuis que je le traite, je progresse nettement en endo
PPS: il est effectivement CMU celui-là et il a 26 ans...

Cmu du soir espoir mm2csn - Eugenol

Gbazylo1 fvg1vg - Eugenol
Aron

18/11/2011 à 18h56

"Cmu du soir espoir"

Le détail qui fait mouche!

Sinon, je ne comprends pas: je ne vois pas beaucoup d'endos à faire ici, mais des extractions, là oui!


Au fait dis donc tu soignes dans quel coin pour avoir des GIG (rescapés de Guerre) comme ça?

Verdun? Waterloo? La Marne?


Grueavatar nptrc9 - Eugenol
Le Choixpeau magique

18/11/2011 à 19h05

La culpabilisation à mon avis ça ne marchera pas, ni avec elle ni avec personne, vous croyez qu'elle ne sait pas que sa bouche est un chantier ?
Il y a beaucoup de patients qui ne vont pas chez le dentiste parce qu'ils ont trop peur de sa réaction et justement de recevoir un sermon. Le renforcement positif "vous avez bien fait de venir, félicitations", est probablement beaucoup plus efficace.


Bagheera tudzjy - Eugenol
bagheerra

18/11/2011 à 20h41

Dans le même style : 20 ans, CMUc, a accouché en avril dernier et découvre en octobre une grossesse de 4 mois, fume un paquet par jour...
J'ai extrait la 18, dépulpé la 35, et comme ça l'a soulagé je ne l'ai jamais revu.

Cmu uickbi - Eugenol

Jack 2 wm3tqs - Eugenol
trepo

18/11/2011 à 20h57

Je dois vivre sur une autre planète, ou au tiers monde, mais des panos comme ça j'en ai au moins 4 à 5 par semaine et des chantiers du même style qui trainent également (mêmes conditions CMU ou pas enceinte ou pas, 18 ans ou 70 ans). C'est pour dire que parfois certaines considérations du fofo me passent parfois au dessus du cigare ... oO Mais ça fait du bien d'avoir envie d'avancer :)


Canin

20/11/2011 à 12h04

pour ma part les cas présentés et dans les conditions de première consultation toujours en urgence c'est assez classique.

à mon sens, toute la bonne volonté du monde ne va rien changé à la situation.

il est inutile de se fatiguer et de perdre son temps. si y'en a 1 sur 100 qui veut vraiment s'en sortir c'est déjà bien, celui là il rappelle pour un nouveau rdv et il vient à l'heure.

faut extraire le maximum de dents, éviter les soins, tu ne vas rien retarder, dans 6 mois ton boulot sera ravager.

--
Canin


samsam28

20/11/2011 à 20h00

salut tout le monde
et que diriez vous à une patiente qui vous ramène sa fille de 14 ans qui à déjà 4 dents à extraire le reste cariée et la tête pleins de poux visibles à l'oeil nu et qui sautent partout? soins ou renvoi?


Canin

20/11/2011 à 20h42

samsam28 écrivait:
------------------
> salut tout le monde
> et que diriez vous à une patiente qui vous ramène sa fille de 14 ans qui à déjà
> 4 dents à extraire le reste cariée et la tête pleins de poux visibles à l'oeil
> nu et qui sautent partout? soins ou renvoi?


toi je sais pas mais le coiffeur il renvoit.

--
Canin