Cookie Consent byPrivacyPolicies.comréhabilitation complète bruxomane - Eugenol

réhabilitation complète bruxomane

Pure msn be1nue - Eugenol
drilleur

19/11/2011 à 20h26

Bonsoir tout le monde.
j'aurais aimé vous faire partager un cas prothèse débuté today...

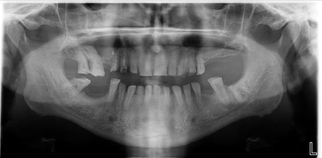
Patient de 70 printemps, en pleine forme, encore actif, aucun traitement médical.
Il vient pour des sensibilités au froid, et envisage une réhabilitation globale.

-hygiène correcte
-Masseters puissants
-ATM fatigue
-les dents sont totalement ancrées dans l'os (pas une ne bouge)
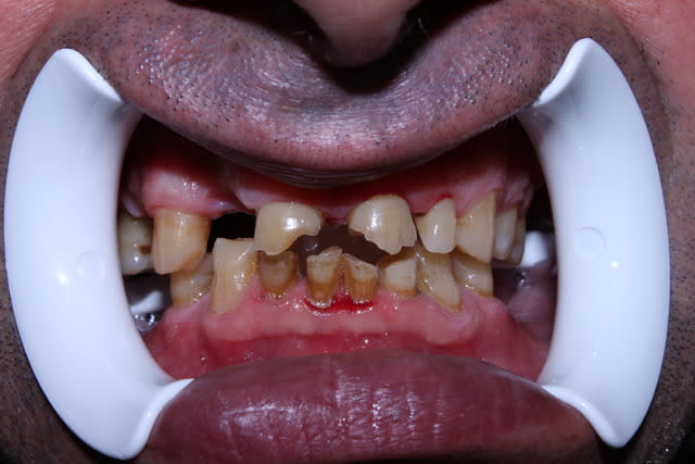
-faces masticatoires bien usées, (sans doute perte de DVO)
-présence de multiples mylolyses du collet

J'en suis encore qu'aux modèles en plâtre que je vais monter en simulateur avec wax up.

J'envisage un bridge complet haut et bas... premier cas aussi lourd pour moi, mais il faut bien commencer un jour.

Pour le moment je vous poste l'OPT. Si ce cas vous interesse j'essaierai de poster régulièrement l'évolution.

001 vabd3s - Eugenol

legars

19/11/2011 à 20h39

Bridge complet sur dents vivante avec du metal en lingual et sur les cuspides d'appuis au maxillaire pour pas qu'il te detruise tes ceramiques ..


Pure msn be1nue - Eugenol
drilleur

19/11/2011 à 21h09

legars écrivait:
----------------
> Bridge complet sur dents vivante avec du metal en lingual et sur les cuspides
> d'appuis au maxillaire pour pas qu'il te detruise tes ceramiques ..

Sur dents vivantes? ça ne m'enchante guère car on voit très bien par transparence la dentine réactionnaire, la pulpe n'est pas loin.

par contre oui pour le métal, je pense faire en CIV maxillaire, CIV mandibulaire en demandant au prothésiste de réduire le contact des cuspides d'appuis mandib (histoire de diminuer les contraintes sur la céramique)


Cuisinier2 vnbbxx - Eugenol
jeff2

19/11/2011 à 21h23

Si a 70 ans il arrive comme ça dans mon cabinet et qu'il me demande une réhabilitation complète la première question, c'est à quand remonte votre dernière visite chez le dentiste?
Une réhabilitation comme la votre c'est minimum 25000 euros (devis dissuasif)
a t-il des problèmes médicaux?
de digestion? etc etc
ce truc sent le coup fouré, tant qu'il ne t'auras pas répondu "j'ai gagné au loto" ou un truc comme ça, je ne touche pas.


RépondreCiter
Nouveau image bitmap fz77zh - Eugenol
Sethef

19/11/2011 à 21h45

J'ai un cas assez similaire en cours actuellement; mais patient 20 ans de moins, autant dire qu'il faut que ça dure.

-Pas de risque à bosser sur dents vivantes, n'oublie pas que tu n'auras dans tous les cas pas besoin de tailler en hauteur; la question se pose par contre de la rétention: si ta hauteur de couronne clinique est trop faible, tu risques des descellements partiels...
Si le problème est effectivement celui de la hauteur clinique, dans ce cas ça pousse à l'IC.

- La gestion psychologique de l'affaire doit être prévue. Le jour de l'augmentation de DV, il va rentrer chez lui avec un truc énorme dans la bouche, sa femme va se foutre de lui parce qu'il a des grandes dents... Il doit être prévenu que ça va le changer, et que ça va se voir. Éventuellement surcorriger très légèrement, lorsque tu diminueras la DV de 1mm ou 2 il aura une sensation d'amélioration. Le revoir à 2 jours.

-Si tu n'es pas sur d'un pilier, tu le dégages; pas d'extension; dans ton cas, prévoir donc implants ou amovible en post.

- Blinder le devis: c'est un cas à emmerdes, donc se mettre dans des bonnes conditions pour le faire; dans mon cas, 21k, avec 2 jeux de provisoire et un stellite post.

-Prévoir ton plan de tt, séance par séance; ne rien laisser au hasard.


@+ Sethef

@+ Sethef


smilley75

19/11/2011 à 22h05

Bonsoir!
dents vivantes? pas du tout!!


01 ukhwbq - Eugenol
Bobby

19/11/2011 à 22h08

Sethef écrivait:
----------------
Le jour de
> l'augmentation de DV, il va rentrer chez lui avec un truc énorme dans la bouche.

Il me semblait qu'il n'y avait pas de perte de DV dans les cas de bruxisme (sauf proglissement mandibulaire?), et qu'il fallait gagner par gingivectomie et/ou élongations coronaires selon la hauteur de gencive attachée disponible.
C'est fréquent dans ce type de cas d'avoir à y retoucher?
(Je n'ai pas d’expérience de réhabilitation globale chez un patient bruxomane.)

Merci




Nouveau image bitmap fz77zh - Eugenol
Sethef

19/11/2011 à 22h30

Effectivement, c'est ce que m'avait dit un dentiste qui en avait traité un paquet; ce n'est pas toujours le cas.
En particulier, dans mon cas, la DV aura été augmentée de plus d'1cm en première intention; actuellement j'en suis au stade où je diminue la hauteur mm par mm afin d'arriver à la DV optimale.
Esthétiquement, je pense qu'on est bien, mais on va probablement diminuer encore d'1mm ou 2 pour qu'il se sente confortable.

Pour le choix de la nouvelle DV, je l'ai choisie comme pour des complets: cire d'occ et plaque de Fox.


@+ Sethef


Nouveau image bitmap fz77zh - Eugenol
Sethef

19/11/2011 à 22h36

Photos du cas en cours, pour montrer que des fois l'augmentation de DV est nécessaire. (photos au début et avec le 2° jeu de provisoires.)

Je posterai le cas quand il sera fini, laissez moi encore 2-3 mois.


@+ Sethef

Au d part m95zxb - Eugenol
Avant augmentation de dv ijpavs - Eugenol
Apr s augmentation zk8hwu - Eugenol

king_zoulou

19/11/2011 à 23h00

Sur le devis, indiquer noir sur blanc (pour le consentement éclairé et tout):
-Prise en charge psychologique du bruxisme obligatoire pour assurer la pérennité du traitement
-Port d'un NTI-Tss (c'est quand même moins encombrant qu'une gouttière) obligatoire tous les soirs, à vie, pour assurer la pérennité du traitement.

J'avais feuilleté un bouquin vraiment bien foutu, impossible de le retrouver sur amazon.
J'essaie de vous retrouver ça la semaine prochaine.


200106 10150128247663588 709988587 6466236 5598391 n d7mksb - Eugenol
hallboy

20/11/2011 à 00h05

NTI long terme il pourrait bien y laisser ses menisques en absence de calage post. plutot gouttiere donc...


Smile beach jgh0a1 - Eugenol
Céramik

20/11/2011 à 01h16

Bon, c'est pas dans un bouquin qu'on apprend a faire ce genre de cas, ni sur internet, faut se former, avoir du soutien (mentor ou autre)

+1 pas de Nti, c'est vilain pour les atm

Pas d'IC, pas d'endo en 1er intention
Surtout que je sors d'une rencontre avec Pascal Magne.

La perte de DV est présente, c'est un mythe que la dv reste la même avec cette usure dentaire...

Tu penses remplacer les secteurs édentés avec quoi ?

Devis de 25,000 euro ? avec des implants ?
Pour le haut seulement ?



--
Céramik


legars

20/11/2011 à 02h26

hallboy écrivait:
-----------------
> NTI long terme il pourrait bien y laisser ses menisques en absence de calage
> post. plutot gouttiere donc...
Sans compter le risque d'egression .. D'apres maitre Unger , pas plus de 8 jours le NTI


Smile beach jgh0a1 - Eugenol
Céramik

20/11/2011 à 03h47

legars écrivait:
----------------
> hallboy écrivait:
> -----------------
> > NTI long terme il pourrait bien y laisser ses menisques en absence de calage
> > post. plutot gouttiere donc...
> Sans compter le risque d'egression .. D'apres maitre Unger , pas plus de 8 jours
> le NTI


+ 10


--
Céramik


Nouveau image bitmap fz77zh - Eugenol
Sethef

20/11/2011 à 09h55

Je pense qu'on est tous d'accord: Pas de NTi.

Un mentor/ ami/ proche/ titulaire dentiste de haut vol serait effectivement appréciable pour t'aider à gérer le cas; n'hésite pas à aller soumettre le cas autour de toi pour affiner la réflexion, avoir d'autres avis... Dans un cas comme ça, tu auras pas mal de possibilités différentes de traitement: à voir celle qui te conviendra le mieux.

Je le répète: prévois tes étapes à l'avance, par écrit, ça t'aidera à voir les incohérences éventuelles, les erreurs, les manques...

Pas d'IC me semble compliqué dans le cas présent: quand on voit la pano, on se dit qu'il ne doit pas y avoir gd chose qui dépasse des gencives.
Il faut quand même un minimum de rétention pour pouvoir se contenter de tailler sur dents vivantes; sur les incisives, je ne vois pas comment s'accrocher sans mettre de tenon: c'est plat, la dentine doit être hyper-minéralisée ce qui ne facilite pas le collage... et la hauteur de couronne clinique ne doit pas dépasser 2mm.

Je n'aime pas plus que ça dévitaliser des dents pour raisons prothétiques, mais là je le ferais par défaut d'autre solution(et ça m'emballerais d'autant moins qu'aller chercher le canal là-dessous, j'en connais un qui va se faire chier...).

Sur une photo on en saurait peut-être plus?


@+ Sethef


maz

20/11/2011 à 14h30

ça marche aussi très bien de coller des onlay/overlay en composite partout, pas besoin de gagner en retention, pas besoin de dévitaliser ni de mutiler plus les dents

ça me semble indispensable sur les patients jeunes chez qui tout couronner me parait une aberration, mais ça peut se faire aussi à 70 ans

par contre comme jeff, je me demande depuis combien de temps il n'est pas allé chez le dentiste est si il est réellement motivé

valide un devis avant d'y passer trop de temps, quitte à faire un devis pour l'étude préalable


Pure msn be1nue - Eugenol
drilleur

20/11/2011 à 15h39

le modele d'étude me fournira plus d'information, et je vous posterai tout ça. je dois le revoir dans 10j.
D'abord réhabilitation maxillaire, puis mandibulaire. pour le moment le plan de traitement envisagé est :

-modèle d'étude : empreinte primaire, arc facial, simulateur wax up...

-évaluation DVO : 2 jeux de provisoires maxillaire, j'en poserai un au début, tout le long des bio (que je rescellerai après chaque bio).

-je dois gagner en couronne clinique : bio et tfm (de plus les dents sont bien sensibles, je ne veux pas prendre de risque sous un tel bridge)

- bridge de 17 à 11 et 21 à 26. exodontie éventuelle des 14 15. cantilever 26.

en ce qui concerne le devis : j'ai encaissé 1000€ en justifiant les deux jeux de provisoires, cela me permet donc de faire sereinement toute l'analyse préprothétique et peaufiner le plan de traitement.


Smile beach jgh0a1 - Eugenol
Céramik

20/11/2011 à 16h13

drilleur écrivait:
------------------
> bridge de 17 à 11 et 21 à 26. exodontie éventuelle des 14 15. cantilever 26.

Je te déconseille le cantiliver, surtout distal, surtout avec ce patient.

-----------------

>évaluation DVO : 2 jeux de provisoires maxillaire

et pour la mandibule ?





--
Céramik


Nouveau image bitmap fz77zh - Eugenol
Sethef

20/11/2011 à 18h55

Evite l'extension à tout prix: tu vas appliquer des forces de flexion en distal de ton armature, qui vont se répercuter sur les piliers antérieurs: casse de céram ou descellements à prévoir...

De la même manière, tu n'arriveras jamais à gérer l'occlusion et la DV si tu ne réalise que le haut d'abord. Pour tester ta DV, tu auras besoin de l'avoir complètement relevée d'abord, donc au moins les provisoires haut et bas: après, rien ne t'empêchera de réaliser les définitives maxillaires en premier, avec une empreinte de ton antagoniste.

Enfin, déposer et reposer ton provisoire, en enlevant le ciment pro à chaque fois, ça va te prendre un paquet de temps, sans compter l'étanchéité douteuse des couronnes pro durant toute la durée du traitement.

Avis perso qui s'inspire de ce que je suis en train de faire:
- Réaliser d'abord les bio là où elles sont nécessaires (pas partout quand même, juste là ou il te manque de la hauteur), en étanchéifiant avec des verres ionomères;
- puis tailler avec les CVI en place pour la pose de ton premier bridge pro.
- Une fois que la DV a été validée,,et seulement à ce moment là, tu prépares tes logements de tenon, prends l'empreinte, et la semaine d'après tu poses tes IC avec les pro de seconde génération; comme ça tu ne restes qu'une seule semaine avec tes traitements de racine moins bien protégés.
Ca me semble plus prédictible, et plus facile à gérer.
J'imagine bien que tu as envie de lui mettre des provisoires rapidement, mais ça doit quand même faire quelques années qu'il est dans cet état...


@+ Sethef


ndecer

20/11/2011 à 19h55

Sethef écrivait:
----------------
> J'ai un cas assez similaire en cours actuellement; mais patient 20 ans de moins,
> autant dire qu'il faut que ça dure.
>
> -Pas de risque à bosser sur dents vivantes, n'oublie pas que tu n'auras dans
> tous les cas pas besoin de tailler en hauteur; la question se pose par contre de
> la rétention: si ta hauteur de couronne clinique est trop faible, tu risques des
> descellements partiels...
> Si le problème est effectivement celui de la hauteur clinique, dans ce cas ça
> pousse à l'IC.

Franchement en général il y a élongation coronaire, et le gain de rétention va se faire par cela, de plus vu le nombre de piliers le risque du manque de rétention est assez faible. Toutes les études montrent un plus grand taux de lésions apicales sur les dents dépulpées. Le risque n'est pas plutôt de faire des endos partout et d'avoir des lésions. Moi je suis plus sûr d'une taille sur dent vivante avec hybridation, que d'une endo sur une molaire. De plus il est souvent aussi simple de passer à travers un bridge pour faire une endo qu'un RTE dans les mêmes conditions
Après sur un patient de 70 ans là je suis plus faire l'endo parcequ'il est très compliqué et que le risque d'être iatrogène est tellement important qu'il vaut mieux ne pas avoir d'éléments qui puissent fausser la vision des axes.

J'ai un cas de 16 couronnes sur dents pulpées fini il y a 4 ans et il n'y a aucune lésions et aucune douleur.

Bonne soirée. Cordialement.


Pure msn be1nue - Eugenol
drilleur

20/11/2011 à 20h13


>
> Je te déconseille le cantiliver, surtout distal, surtout avec ce patient.
>
> -----------------
>
> >évaluation DVO : 2 jeux de provisoires maxillaire
>
> et pour la mandibule ?
>

Le mieux serait de rectifier la DVO en retouchant à la fois la mandibule et le maxillaire...

Malheureusement le plan de traitement est trop onéreux pour qu'il puisse le faire en une fois, donc je suis obligé de commencer par le haut, sans pouvoir toucher à la mandibule.

Ne serait t'il pas possible de sous évaluer la DVO lors de la conception du bridge maxillaire, pour ensuite la récupérer en mandibulaire ?

ok pour le cantilever, j'aurais imaginé qu'il aurait tenu.

Merci pour vos conseils.


Nouveau image bitmap fz77zh - Eugenol
Sethef

20/11/2011 à 20h48

à ndecer:

Tout comme toi, je n'aime pas dépulper des dents quand je peux l'éviter. Et si effectivement l'option élongation coronaire est retenue, je n'en dépulperais aucune en première intention (d'autant plus que le passage par les bridges pro permettra de vérifier que les sensibilités disparaissent comme prévu).
Néanmoins, si il ne touche pas au parodonte (ce qui a été le cas pour mon cas en cours), je ne vois pas comment se passer d'un ancrage radiculaire, au moins dans le secteur antérieur. A regret, certes...


Par contre, (et je ressors là les anciens de la prothèse, en particuliers les bouquins de Shilingburg qui me semblent tout à fait adaptés pour la gestion de ce genre de cas), la rétention se doit d'être équivalente sur tous tes piliers. Sinon, descellement partiel (égale catastrophe).

@+ Sethef


Nouveau image bitmap fz77zh - Eugenol
Sethef

20/11/2011 à 21h12

drilleur écrivait:
------------------
> Malheureusement le plan de traitement est trop onéreux pour qu'il puisse le
> faire en une fois, donc je suis obligé de commencer par le haut, sans pouvoir
> toucher à la mandibule.
>
> Ne serait t'il pas possible de sous évaluer la DVO lors de la conception du
> bridge maxillaire, pour ensuite la récupérer en mandibulaire ?


En oubliant le risque qu'il décide que le haut lui suffira bien...

Comment comptes-tu équilibrer ton occlusion du bridge maxillaire sur les chicots restants en bas? Il est parti pour mastiquer sur 1 ou 2 dents... et tout casser.
Plus le risque de se planter sur la DV.

Eventuellement, insiste sur le fait que son traitement risque de prendre facile 6 mois si tout se passe bien (et si pas d'implants), donc que les règlements peuvent être étalés sur cette période+ quelques mois.

C'est à mon avis typiquement LE cas où tu ne peux pas te permettre de compromis, c'est déjà suffisamment compliqué à gérer comme ça sans en rajouter.


@+ Sethef
(chouette cas néanmoins, on espère bien avoir la suite)


Grueavatar nptrc9 - Eugenol
Le Choixpeau magique

20/11/2011 à 21h30

drilleur écrivait:
------------------
> Malheureusement le plan de traitement est trop onéreux pour qu'il puisse le
> faire en une fois, donc je suis obligé de commencer par le haut, sans pouvoir
> toucher à la mandibule.
>
> Ne serait t'il pas possible de sous évaluer la DVO lors de la conception du
> bridge maxillaire, pour ensuite la récupérer en mandibulaire ?

La position des dents maxillaires est dictée par l'esthétique et pas par la DVO. Tu places les dents maxillaires où elles doivent être placées, point.


Grueavatar nptrc9 - Eugenol
Le Choixpeau magique

20/11/2011 à 21h34

Sethef écrivait:
----------------
> Comment comptes-tu équilibrer ton occlusion du bridge maxillaire sur les chicots
> restants en bas? Il est parti pour mastiquer sur 1 ou 2 dents... et tout casser.
> Plus le risque de se planter sur la DV.

C'est pour ça qu'il faut passer par des provisoires.


12