Cookie Consent byPrivacyPolicies.comOnlay puis nécrose - Eugenol

Onlay puis nécrose

003 penrd2 - Eugenol
Cingulum

21/11/2011 à 13h46

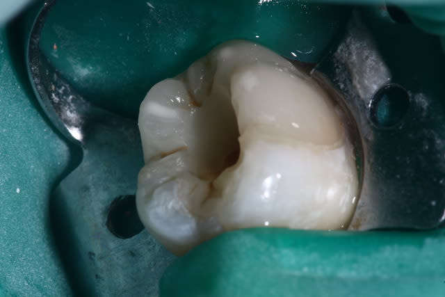
Pour tout ceux qui demandent souvent, si je fais des onlays je vais avoir des nécroses !
ça peut arriver. Cela doit rester exceptionnel si les indications sont bien posées...

Quand ça arrive, et bien on passe a travers comme si la dent était intacte ...
On fait l'endo et on referme avec un compo.
J'explique au patient qu'en cas de casse a la suite de tout ça on refera gracieusement....

Remarquez que l'onlay explose pas quand on le fraise, ni se décolle quand on le clamp....




--
Dr Cingulum
-----Ancien interné----
----Attaché à l'apex----
http://www.clinic-all.fr/ formation par passion

Img 0253 tgpesg - Eugenol
Img 0254 zftouu - Eugenol
Img 0250 wpye78 - Eugenol
Img 0251 yvrdfl - Eugenol

Grueavatar nptrc9 - Eugenol
Le Choixpeau magique

21/11/2011 à 14h12

A mon avis ce qui serait intéressant dans ton cas serait de savoir par où les bactéries sont passées. Car si la zone non étanche est toujours là, tu risques une percolation de ton endo par la suite, non ?


003 penrd2 - Eugenol
Cingulum

21/11/2011 à 14h19

C'est pas un problème d'étanchéité au niveau de l'onlay, mais de lésion trop juxta pulpaire.
L'onlay date d'il y a 5 mois...



--
Dr Cingulum
-----Ancien interné----
----Attaché à l'apex----
http://www.clinic-all.fr/ formation par passion


Björn

21/11/2011 à 14h26

Cingulum écrivait:
------------------
> C'est pas un problème d'étanchéité au niveau de l'onlay, mais de lésion trop
> juxta pulpaire.


On fait comment pour en être certain?


RépondreCiter
003 penrd2 - Eugenol
Cingulum

21/11/2011 à 14h38

Si tu as un problème d'étanchéité au collage:
- on aurait eu des sensibilités post op... là ça fait plus penser à une nécrose
- l'onlay aurait pu se barrer quand je l'ai fraisé si il était pas bien collé....

Maintenant pour être certain, faudrait demander aux bactéries...
On est rarement certain...


--
Dr Cingulum
-----Ancien interné----
----Attaché à l'apex----
http://www.clinic-all.fr/ formation par passion


Grueavatar nptrc9 - Eugenol
Le Choixpeau magique

21/11/2011 à 14h49

Cingulum écrivait:
------------------
> C'est pas un problème d'étanchéité au niveau de l'onlay, mais de lésion trop
> juxta pulpaire.
> L'onlay date d'il y a 5 mois...

Comment tu as fait le diagnostic de nécrose ?
Si tu as une pathologie apicale, tu as des bactéries, or elle sont bien passées quelque part.
Ce n'est pas forcément au niveau de ton onlay, on est d'accord, mais on ne peut pas écarter complètement cette possibilité.
Perso j'aurais préféré tout démonter pour plus de sécurité, dans ce genre de circonstances tu as le droit de te planter une fois, pas deux !


003 penrd2 - Eugenol
Cingulum

21/11/2011 à 15h13

Je suis ok avec ton raisonnement Choipeau ...
Tu es certain que l'onlay est pas étanche ?
Et alors est ce que toi tu es certain de faire mieux en démontant tout ?
Si ça se trouve il est bien collé, et le prochain sera mal collé :)
(bon je me fais mon propre avocat, mais des fois tu cherches vraiment la petite bête...)

Est ce que tu es pas mieux pour faire l'endo avec l'onlay en place, qu'en retirant tout ?

L'entrée canalaire est obturée, et l'étanchéité est obtenu au moins 1.5mm autour de l'entrée des canaux.. (CVI en fond de cavité + Compo)



--
Dr Cingulum
-----Ancien interné----
----Attaché à l'apex----
http://www.clinic-all.fr/ formation par passion


01 ukhwbq - Eugenol
Bobby

21/11/2011 à 16h02

Cingulum écrivait:
------------------

> Est ce que tu es pas mieux pour faire l'endo avec l'onlay en place, qu'en
> retirant tout ?

Ça, c'est de la reconstitution pré-endo de luxe! ^^

Même en faisant tout bien comme il faut, la dentine n'est pas stérile quand on obture ou pose un onlay. La seule chose dont on est sûr, c'est qu'il ne s'agit pas de génération spontanée...


01 ukhwbq - Eugenol
Bobby

21/11/2011 à 16h10

Cingulum écrivait:
------------------
> Pour tout ceux qui demandent souvent, si je fais des onlays je vais avoir des
> nécroses !
> ça peut arriver.

Ben voilà, ça craint les onlays. Je suis sûr qu'avec un composite, il n'y aurait pas eu de problème. ^^
La question, ça devrait plutôt être: "Et si je ne fais pas l'endo, je risque d'avoir des nécroses? "
Dans ce cas, la réponse sera toujours oui, et le corollaire, c'est qu'il faudrait faire les endos de toutes les dents, même saines, pour se prémunir d'un tel risque.


Blocperso talon jer3sl - Eugenol
mrquentin

21/11/2011 à 17h52

super ta sculpture de compo.... gspr que t'as vu juste et que ton reglage d'occlusion va pas tout bousiller, ca serait con!
tu cotes sc7 ou meme pas à cause de l'onlay?


003 penrd2 - Eugenol
Cingulum

21/11/2011 à 18h05

mrquentin écrivait:
-------------------
> super ta sculpture de compo.... gspr que t'as vu juste et que ton reglage
> d'occlusion va pas tout bousiller, ca serait con!
> tu cotes sc7 ou meme pas à cause de l'onlay?

SC7 + SC34 d'endo ...
Enceinte de 2 mois, donc je ferai le z6 plus tard...
Et pour la sculpture, je suis plutôt bien tombé ;)



--
Dr Cingulum
-----Ancien interné----
----Attaché à l'apex----
http://www.clinic-all.fr/ formation par passion


Grueavatar nptrc9 - Eugenol
Le Choixpeau magique

21/11/2011 à 18h18

Bobby écrivait:
---------------
> Même en faisant tout bien comme il faut, la dentine n'est pas stérile quand on
> obture ou pose un onlay.

Bien sûr que la dentine n'est pas stérile... mais tu sais on a montré à de multiples reprises que même si il y avait de la carie sous le collage, bah les bébêtes se retrouvent étouffées et ne font plus rien.

Je cherche pas à t'emmerder Cingulum, tu le sais bien, mais le coup de la dent qui se nécrose parce que le collage est trop près de la pulpe, ça me laisse sur ma faim.

Peut être que ce que tu as pris pour une hyperhémie pulpaire était en fait une pulpite irréversible. Peut être que la pulpe n'a pas supporté toutes ces opérations, fraisage, retrait de la temporisation, etc... Peut être que la pulpe était déjà en voie de nécrose quand tu es intervenu la première fois. Peut être que la dent est fêlée. Sauf grosse percolation évidente, tu n'as aucun moyen de savoir.

Moi dans ton cas j'aurais fait l'endo, fait tout sauter, puis recouvert le tout.


003 penrd2 - Eugenol
Cingulum

21/11/2011 à 18h28

Le Choixpeau magique écrivait:
------------------------------
ébêtes se retrouvent étouffées et ne font plus rien.
>
> Je cherche pas à t'emmerder Cingulum, tu le sais bien, mais le coup de la dent
> qui se nécrose parce que le collage est trop près de la pulpe, ça me laisse sur
> ma faim.

J'ai jamais dit que le collage était trop près et responsable...
je suis comme toi, j' y crois pas au "méfait du collage"



> Peut être que ce que tu as pris pour une hyperhémie pulpaire était en fait une
> pulpite irréversible. Peut être que la pulpe n'a pas supporté toutes ces
> opérations, fraisage, retrait de la temporisation, etc... Peut être que la pulpe
> était déjà en voie de nécrose quand tu es intervenu la première fois. Peut être
> que la dent est fêlée. Sauf grosse percolation évidente, tu n'as aucun moyen de
> savoir.


Il n'y a jamais eu d'hyperhémie,
Mon avis qu'il était déjà trop tard pour cette dent, et que la nécrose était surement partielle quand je suis intervenu.
C'est le problème des pluri radiculé qui peuvent avoir une symptomatologie mixte...

>
> Moi dans ton cas j'aurais fait l'endo, fait tout sauter, puis recouvert le tout.

t'es pas fun :p

--
Dr Cingulum
-----Ancien interné----
----Attaché à l'apex----
http://www.clinic-all.fr/ formation par passion


Img 3657 cwjvqm - Eugenol
alapex

21/11/2011 à 18h29

Oui , moi j'aurais fait un onlay pour reboucher l'onlay , et je l'aurais poussé avec les doigts .
Je sors...)))


Toriko ucqp9i - Eugenol
Giantcoco

21/11/2011 à 18h35

tout collage est une agression pour la pulpe qui des lors qu'elle est a proximité peut se nécroser. il s'agit alors d'une pulpite puis d'une nécrose chimique et pas septique. les bactéries arrivent après.


Grueavatar nptrc9 - Eugenol
Le Choixpeau magique

21/11/2011 à 19h13

Cingulum écrivait:
------------------
> Mon avis qu'il était déjà trop tard pour cette dent, et que la nécrose était
> surement partielle quand je suis intervenu.
> C'est le problème des pluri radiculé qui peuvent avoir une symptomatologie
> mixte...

C'est vrai et c'est très chiant.

> t'es pas fun :p

Moh si !


Grueavatar nptrc9 - Eugenol
Le Choixpeau magique

21/11/2011 à 19h15

Giantcoco écrivait:
-------------------
> tout collage est une agression pour la pulpe qui des lors qu'elle est a
> proximité peut se nécroser. il s'agit alors d'une pulpite puis d'une nécrose
> chimique et pas septique. les bactéries arrivent après.

Salut, je n'y crois pas une seule seconde, est-ce que tu as des données scientifiques qui prouvent l'existence de cette pulpite chimique ?

Il y a 20 ans, on ne mordançait pas la dentine car ça allait agresser la pulpe.
Les superstitions ont la vie dure.


003 penrd2 - Eugenol
Cingulum

21/11/2011 à 19h41

Le Choixpeau magique écrivait:
------------------------------
> Giantcoco écrivait:
> -------------------
> > tout collage est une agression pour la pulpe qui des lors qu'elle est a
> > proximité peut se nécroser. il s'agit alors d'une pulpite puis d'une nécrose
> > chimique et pas septique. les bactéries arrivent après.
>
> Salut, je n'y crois pas une seule seconde, est-ce que tu as des données
> scientifiques qui prouvent l'existence de cette pulpite chimique ?
>
> Il y a 20 ans, on ne mordançait pas la dentine car ça allait agresser la pulpe.
> Les superstitions ont la vie dure.

surtout comment expliquer l'action cicatrisante de l'HoCa qui est de la chaux vive, ph 12...ou du laser qui vitrifie la dentine... ou du MTA, ou biodentine... ?




--
Dr Cingulum
-----Ancien interné----
----Attaché à l'apex----
http://www.clinic-all.fr/ formation par passion


Marque a3 orange fyvhyq - Eugenol
Marc Apap

21/11/2011 à 20h03

Ecoutez Cingulum et arrêtez vos conneries : ça arrive d'avoir une nécrose sous un onlay, même un en or scellé, au ciment.
Ce n'est pas le collage ou la résine qui provoque ça.
La nécrose n'est pas forcément due à une infiltration, mais bien à un état pulpaire déjà déficient, aggravé par les manoeuvres de fraisage, empreintes, provisoires, proximité pulpaire, etc.. Ca peut très bien se traiter et tenir le coup longtemps, la preuve :
La 36 dont je poste la radio, je lui ai posé un inlay onlay le 20/4/2000.
Le 15/6/2001, le patient revient avec un abcès vestibulaire et une nécrose. Ouverture, puis traitement canalaire classique en laissant la face distale en métal, bien content que j'étais de poser la digue et travailler proprement.
Le 18/11/2003, le reste de l'inlay se descelle. Je le recolle avec une résine adhésive (M Bond, Tokuyama). La cavité occlusale est évidement obturée en composite.
Je vois le patient tous les ans pour un détartrage et contrôle
Ci-joint, la dernière radio, fait le 8/11/2011, soit dix ans après le traitement canalaire.
RAS sur toute la ligne. Pas de réinfiltration ni de réinfection.

36 zoqnoi - Eugenol

baroud69

21/11/2011 à 21h42

La question que me pose n'est ps de savoir si ça peut arriver (on peut aussi avoir un début de stade III indolore, ou une irritation occlusale..) mais quelle est la différence de fréquence de ce genre de complication par rapport à

- amalgame
- amalgame + IRM en PDP
- composite
- CVI
- onlay résine
- onlay métal
- onlay céramique
- etc.....

?


Ico v for vendetta08 jzhpep - Eugenol
Arnaud Go

21/11/2011 à 23h57

Nécrose septique/collage VS aseptique/irritation.

Il aurait fallu faire une analyse microbiologique de la pulpe pour avoir le fin mot de l'histoire.

Merci pour le cas d'école en tout cas.


Smile beach jgh0a1 - Eugenol
Céramik

22/11/2011 à 00h29

baroud69 écrivait:
------------------
> La question que me pose n'est ps de savoir si ça peut arriver (on peut aussi
> avoir un début de stade III indolore, ou une irritation occlusale..) mais quelle
> est la différence de fréquence de ce genre de complication par rapport à
>
> - amalgame
> - amalgame + IRM en PDP
> - composite
> - CVI
> - onlay résine
> - onlay métal
> - onlay céramique
> - etc.....
>
> ?

Je ne te répond pas pour les amalgames, les CVI, ni les onlay métal, que je ne pose plus depuis 15 + ans.

Je fais des centaines de céram et compo sur dents vivants par an, et moins de 0.5 % de retour
pulpaire. En fait, plus je fais de collage, moins je fais d'endo.

Les cas comme celui de cingulum sont rares, mais existent. La bonne façon de faire, c'est de préserver le plus possible la vitalité des dents, et de faire l'endo de temps en temps.

Faire des test pulpaires pré-tx peut aider.

Pascal Magne parle de ces concepts en détail avec le biomimétisme.
J'ai eu la chance d'échanger avec lui il y a 2 jour après sa superbe présentation autour d'un verre.


--
Céramik