Cookie Consent byPrivacyPolicies.comLes mystères de l'endo.... - Eugenol

Les mystères de l'endo....

Tom1974

21/11/2011 à 14h37

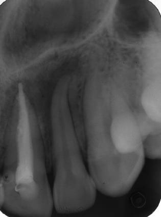
Endos sur 13-12 faites il y a 1 mois suite a un abcès avec fistule, mobilité ++++ des 2 dents, grosse image apicale, endos qui se sont droulés sans problème en condensation latérale, pas de radio contrôle faites ce jour là

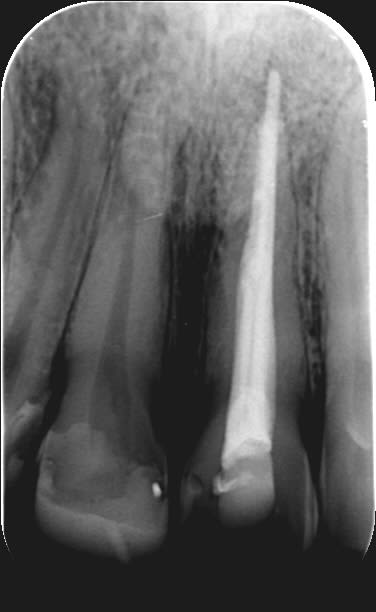
j'ai revu aujourd'hui, mobilité nulle, gencive tiptop, plus de problèmes, je refais une radio contrôle et vois ça....

001864 x 00000907 3 ekjksv - Eugenol
001864 x 00000936 3 uujnhv - Eugenol

13032010401 x5ttkk - Eugenol
annapavel

21/11/2011 à 15h04

Svp, c'est quoi le fil autour du canal? un canal laterale?


Tom1974

21/11/2011 à 15h12

Bonne question, je pense que c'est un cône de gutta dans un canal latéral et dans la fistule....


 mg 0207 xwjxcl - Eugenol
Tillc

21/11/2011 à 16h55

Un truc comme ca j'opere d'emblé moi . Tu vas faire quoi la ? temporiser ?


Tom1974

21/11/2011 à 17h01

je vais temporiser pour le moment comme tout les signes cliniques ont disparu, contrôle dans 6 semaines de nouveau.
Tu ferais tout de suite une résection apicale?


Grueavatar nptrc9 - Eugenol
Le Choixpeau magique

21/11/2011 à 18h29

Je subodore qu'il faisait plutôt allusion à un davier. C'est toujours fun de tenter l'endo, mais il faut quand même évaluer la valeur des dents à sauver.


Ico v for vendetta08 jzhpep - Eugenol
Arnaud Go

22/11/2011 à 00h25



Comment de la gutta aurait pu se trouver là sans que tu le saches ?
Si c'en est, réimplantation intentionnelle (?!) ou résection. Vos expériences vous laissent-elles à penser que de la gutta pourrait rester asymptomatique ?


kingofdogs

22/11/2011 à 00h35

Je demande, et je n'en sais rien du tout : ça ne serait pas juste un petit dépassement qui se serait "noyé" dans la fistule et "recollé" sur la dent?


Pure msn be1nue - Eugenol
drilleur

22/11/2011 à 01h05

C'est qui qui a fait l'endo?

L'os peut cicatriser aussi vite ? en un mois?

Sondage à la gutta, en forçant un peu trop?

Jolie tentative!!


Tom1974

22/11/2011 à 08h58

J'ai pas fait de radio post-op, car il n'y avait rien d'anormal lors de l'obturation et c'est pas obligatoire chez nous. Je pense que c'est un cône de gutta accesoire ou du ciment qui a fusé à travers un canal latéral.
Je trouve ça quand même un peu choquant que certains veulent tout de suite prendre le davier en voyant la radio pré-op...quand même une grosse différence de prix pour le patient entre 2 endos et 2 extractions avec rtg +2 implants + 2 couronnes.
Wait and see, on verra dans qques mois qui aura eu raison


Grueavatar nptrc9 - Eugenol
Le Choixpeau magique

22/11/2011 à 09h48

Arnaud Go écrivait:
-------------------
> NGAP 3è partie - Titre I - Chapitre I :
> "Article premier. Pour donner lieu à remboursement, tout acte de radiodiagnostic
> doit comporter..."
> Cela signifie implicitement que des radios peuvent être comptées sans être
> remboursées.

Je n'ai pas dit le contraire, la sécu a même prétendu que les clichés liés à des actes HN devaient être HN, ce que d'autres on contesté.

> Le Z6 : Examen radiographique intrabuccal à images numérisées par capteur, par
> dent ou groupe de deux ou trois dents contiguës, au cours d'une même séance de
> diagnostic ou de traitement.
>
> Dans le premier cas l'examen couvre tous les clichés réalisés, dans le deuxième
> la cotation est par dent/groupe de dents mais il n'est pas indiqué expressément
> que des clichés non pris en charge ne pourraient être facturés.

Tu peux aussi lire la partie sur le Z4

Premier cliché d'un examen radiographique intrabuccal rétroalvéolaire, par dent ou groupe de deux ou trois
dents contiguës, au cours d'une même séance de diagnostic ou de traitemen

Le terme stratégique étant à mon sens "examen radiographique", opposé à "cliché". Il faut comprendre l'examen comme un acte global.


 mg 0207 xwjxcl - Eugenol
Tillc

22/11/2011 à 12h13

On a dévié du sujet la .
Oui en effet pour un cas comme ca j'attend 3 mois et apres j'opere avec une resection apicale si je n'ai pas de probleme au sondage parodontale .

Pour moi un "vieux" granulome , surement avec une parois kystique
de volume relativement important
avec un corps étrangé dans la lésion ( ton dépassement )
sont autant de motifs pour ne pas attendre 1 an une potentielle guerison.


33.2 - Eugenol
scuba06

22/11/2011 à 15h26

Tom1974 écrivait:
-----------------
> Je pense que c'est un cône de
> gutta accesoire ou du ciment qui a fusé à travers un canal latéral.
>

Je pense pour ma part, que c'est de la gutta qui a fusé puis remonté dans la lésion.

Mais pour en être certain, une seule chose à faire : Prendre 2 radio de cette dent; la première perpendiculaire au capteur, et la seconde décalée (mésialement ou distalement sans bouger le capteur : règle de Clarck)


Smile beach jgh0a1 - Eugenol
Céramik

22/11/2011 à 17h06

scuba06 écrivait:
-----------------
> Tom1974 écrivait:
> -----------------
> > Je pense que c'est un cône de
> > gutta accesoire ou du ciment qui a fusé à travers un canal latéral.
> >
>
> Je pense pour ma part, que c'est de la gutta qui a fusé puis remonté dans la
> lésion.
>
> Mais pour en être certain, une seule chose à faire : Prendre 2 radio de cette
> dent; la première perpendiculaire au capteur, et la seconde décalée (mésialement
> ou distalement sans bouger le capteur : règle de Clarck)


non, non impossible, pas 2 radio dans le même séance...
;-)

--
Céramik


Olieve

22/11/2011 à 18h58

Cela me rappelle un cas sympa....

Première rx en 2003, 2ème à l'obturation, 3ème à 6 mois, 4ème en 2007.

Si j'ai bonne mémoire, beau gonflement en vestibulaire de 22, sans être pour autant en phase aigüe.

Obturation pâte au lentulo et gutta, sous digue quand même :-)
Pas de chirurgie apicale, juste une incision de drainage.

1 zuqhrj - Eugenol
2 dpucws - Eugenol
3 yubnrd - Eugenol
4 qymv7z - Eugenol

Gutt-A

22/11/2011 à 19h56

Wow ca c'est de l'obturation! :)))


Ico v for vendetta08 jzhpep - Eugenol
Arnaud Go

22/11/2011 à 23h01

Sinon réimplantation intentionnelle, je ne connaissais pas l'expression, Endomontreal avait l'air de bien connaître, et racontait que les Japonais sont des précurseurs dans ce domaine.

Et une monoradiculée, c'est tellement plaisant à retirer, pour une fois qu'elle ne finit pas à la poubelle. La Ngap ne dit pas si on peut compter une extraction...


Pierre2 tep0nh - Eugenol
endomontreal

11/12/2011 à 05h22

Tom1974 écrivait:
-----------------
> Endos sur 13-12 faites il y a 1 mois suite a un abcès avec fistule, mobilité
> ++++ des 2 dents, grosse image apicale, endos qui se sont droulés sans problème
> en condensation latérale, pas de radio contrôle faites ce jour là
>
> j'ai revu aujourd'hui, mobilité nulle, gencive tiptop, plus de problèmes, je
> refais une radio contrôle et vois ça....

J’aurais aimé pouvoir compter sur quelques tests pulpaires au préalable ( sur la canine et sur la latérale), mais, à vue d’œil , en admettant que les deux dents ne répondaient ni au test thermique ni au vitalomètre, il y a possibilité que ce soit peut être une nécrose au niveau de la latérale, de la canine (j’en doute) et un kyste fissuraire latéral concomitant. Ne le penses tu pas? Le site pour un tel kyste est le bon et les deux dents semblent refoulées par la lésion. Peut-être n’as tu réglé que la moitié du problème en ne faisant que l’endo ?


roro

13/12/2011 à 16h44

A mon sens la paro aurait aussi à être gérée dans ce cas ...
Le tartre est toujours là : réservoir à microbes.
L'entièreté du problème n'est pas "endo-paro" comme le montrent les radios, etc...
Une partie du problème a été traité par l'endo ...une partie du problème a été résolue ... CQFD ...


 mg 0207 xwjxcl - Eugenol
Tillc

13/12/2011 à 17h06

endomontreal écrivait:
----------------------

ni au test thermique ni au vitalomètre, il y a possibilité que ce

Le vitalomètre :) j'adore le canada !