Cookie Consent byPrivacyPolicies.comExpansion, bone splitting, apposition? - Eugenol

Expansion, bone splitting, apposition?

Gbazylo1 fvg1vg - Eugenol
Aron

23/11/2011 à 18h55

Que feriez vous dans ce cas là?

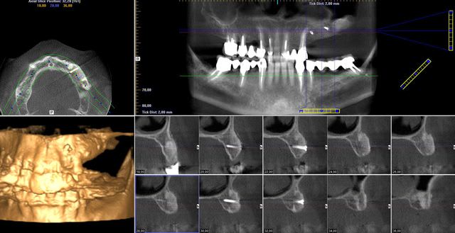
On est en 13 14 15, patiente d'une soixantaine d'années, sans antécédents médicaux ni dentaires. Un peu frileuse pour les grosses chirs mais elle était néanmoins partante pour les implants.

(J'ai déjà refait ou prévu de refaire les soins et les prothèses qui n'allaient pas, 17 16 44 45, 1 implant en 46 etc...)


N'hésitez pas pour les questions

Merci

Photos211111 045 eolmkl - Eugenol
Photos211111 047 i7olzh - Eugenol
Photos211111 043 fw1yww - Eugenol
Photos211111 044 omrdsp - Eugenol
Photos211111 046 eamjwd - Eugenol
Photos211111 048 rhicbv - Eugenol

Blason dql7mj - Eugenol
growler

23/11/2011 à 20h51

il semble y avoir une belle perte en hauteur aussi en distal de 12 sur la pano mais qu'on voit moins sur les coupes.

Pour moi c'est greffe onlay, mais j'aimerais bien voir exactement les coupes juste en distal de 12.

par exemple regarde ce qu'on obtient dans un cas un peu similaire (ici greffon Biobank, c'est le premier cas de greffe en onlay réalisé par un Confrère après avoir discuté ensemble du cas clinique)

5 mois post op vewvnl - Eugenol

Gbazylo1 fvg1vg - Eugenol
Aron

23/11/2011 à 21h02

Ancien site d'extraction, la pano est vieille.

Ce sont les dernières coupes qui correspondent au site de la 13


Blason dql7mj - Eugenol
growler

23/11/2011 à 21h12

ok, perso greffe en onlay qui te permettra de rattraper également au mieux la résorption centripète et donc de placer au mieux les implants par la suite dans le bon couloir prothétique.

regarde la présentation de la classification i.r.g.h. page 68

http://implanto-logic.fr/classification.html


Avatar ow44t3 - Eugenol
Chicot

23/11/2011 à 21h12

+ 1 greffe car le sinus est pas loin


--
;O)


DMD

23/11/2011 à 22h12

Osteotomie segmentaire de G Khoury :D


DMD

23/11/2011 à 22h12

Osteotomie segmentaire de G Khoury :D


S2y2o1v7q53ws4r5wy6ou8czrpom - Eugenol
pxav

24/11/2011 à 00h27

1,2, ou 3 séance d'ostéotension, puis expansion cool et pose des implants en simultané.
bien sur greffe d'onlay possible, mais pas forcement mieux en résultat.
Pas fan (dans ce cas là) de l'Osteotomie segmentaire de Khoury
--
xbk
"Si tous ceux qui croient avoir raison n'avaient pas tort, la vérité ne serait pas loin" Dac Pierre


Smile beach jgh0a1 - Eugenol
Céramik

24/11/2011 à 02h47

Bof, fait un zoli all-on-6 au maxillaire, vire moi les dents..
;-)

Greffe pour moi, car l'expension seule, comme dit Growler, ne te donneras pas l'axe prothétique idéal.


--
Céramik


Gbazylo1 fvg1vg - Eugenol
Aron

24/11/2011 à 13h54

Bon ben merci pour ces différents approches, je vais potasser les review pour avoir une idée des pourcentages de succès.


loukoummm

24/11/2011 à 21h10

Bjr,

Je me permets d'intervenir et de détourner un peu le sujet afin de solliciter votre aide... Auriez vous des références biblio à me transmettre pour en apprendre un peu plus sur le bone splitting, expansion,...

D'avance merci

une future consoeur


flicflac

25/11/2011 à 13h48

pourquoi pas une simple ROG. l'os spongieux est au rendez-vous entre les 2 corticales


Gbazylo1 fvg1vg - Eugenol
Aron

25/11/2011 à 17h28

Je ne comprends pas. Comment tu fais ta ROG, sur quoi tu l'assois? Tu veux dire en per-implantaire?


flicflac

25/11/2011 à 22h46

ROG regénération osseuse guidé...sur des vis d'ostéointégrations et le volume du greffon plus membrane et tacks au besoin.


Gbazylo1 fvg1vg - Eugenol
Aron

26/11/2011 à 11h44

Oui donc c'est pas une simple ROG mais une greffe d'apposition avec ROG autour. Ça confirme plusieurs avis.


flicflac

26/11/2011 à 13h39

il n'y a pas de bloc d'APPOSITION, les vis sont la pour maintenir l'espace sous la membrane


Gbazylo1 fvg1vg - Eugenol
Aron

29/11/2011 à 15h02

Ah, ok, pardon.

Donc une sorte de tente remplie d'os de comblement? Tu as des cas?