Cookie Consent byPrivacyPolicies.comcollaborateur roumain???? - Eugenol

collaborateur roumain????

Ico v for vendetta08 jzhpep - Eugenol
Arnaud Go

31/12/2011 à 05h13

Ils n'ont surtout pas à payer Urssaf, retraite voir un autre post où on avait donné les références des textes de loi. Et je pense que les impôts doivent aussi se toucher s'ils ne prennent pas racine sur le territoire.


Salamandre

31/12/2011 à 05h36

"La concurrence est salutaire!
Grâce à elle, on se remet en question, on se forme, on progresse."

Moi qui croyais que cela provoquait une baisse des tarifs puis par conséquence une baisse des couts de production (délocalisation en chine, matos de second choix, ttt bâclé).
N'est ce pas ce qu'il s'est produit avec l'industrie?


sico

31/12/2011 à 16h41

salut a mes confreres francais.
je suis un practicien roumain et je travaille comme collaborateur depuis 3 ans. je vais m'associer l'anne prochaine.
j'ai apris a l'ecole en roumanie pleins des choses mai j'ai apris peut etre plus a la maison dans des livres etrangeres d'habitude. il y a partout des taches...meme entre les dentistes francais. chacun a un dentist aux alentours qui fait n'importe quoi dans les bouches des nos patients.

JE PAYE LE MEME IMPOT,URSSAF,RETRAITE. ne parlez pas si vous ne connaissez pas.
c'est vrai,il y a pas concurs de langue pour bosser en france ,il y a un simple entretien avec le conseil d'ordre. je sais pas ecrire comme un vrai francais mais j'arrive quand meme a parler. et en plus je parle anglais et allemand a la perfection.(ca m'aide avec les touristes britanniques,mes collegues de cabinet en parle pas).
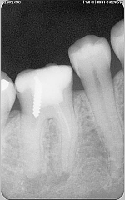
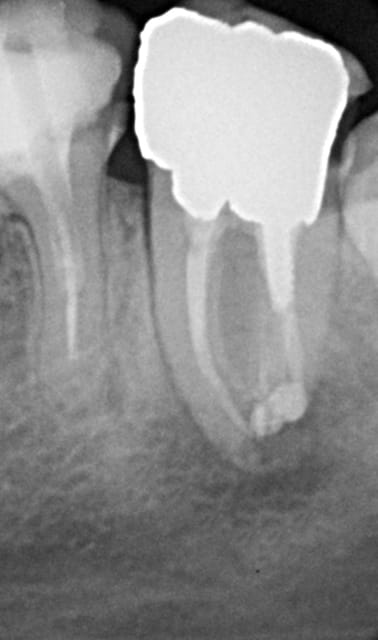
voila quelques traitements,modestes mais je suis encore jeune....
aaa et nèoubliez pas de visiter mon site photo
www.bondarisilviuphotography.com

P1 plunpn - Eugenol
Bert o2pwyo - Eugenol
Bert1 ejzdn1 - Eugenol
Cro bkkhwi - Eugenol
Cro2 fqozfj - Eugenol
V2 pjddqe - Eugenol
Vat olqccb - Eugenol
Vat2 do9gtp - Eugenol
Post ptumlj - Eugenol
Pre uozkq8 - Eugenol
 dsc1920 e6hvrv - Eugenol
4 quwwwr - Eugenol
Emp 3 cuvrzk - Eugenol
Emp 5 cdhuju - Eugenol
Da 2 gworvj - Eugenol
Da 3 obpp3z - Eugenol
Da 5 a2siu9 - Eugenol
Dair kq8kix - Eugenol
Dair3 qgnqn3 - Eugenol
Da 1 ijnxip - Eugenol

sico

31/12/2011 à 16h49

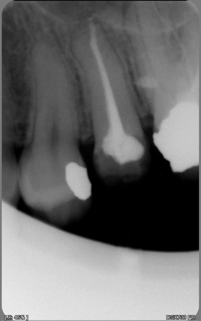
encore des radios,peut-etre assez moyen comme traitement...mais je vu pire...

les dernieres radios. patient en urgence ,abces... il voulait pas extraire la dent. j'ai lui bien explque et il a choisi de essayer de garder la dent. retrait,pas d'isolation avec la digue donc pas de tenon fibree,amalgam et screw post.traitement fait il ya 2 ans je crois.patient fidel de cabinet maintenent.
j'ai jamais utilise en roumanie l'amalgam et ca s'utilise pas du tout dans le cabinet du roumanie.

Do afzcnc - Eugenol
Do1 jsu0tq - Eugenol
Fi nzirfc - Eugenol
Fi1 vxhltt - Eugenol
Jo azmnde - Eugenol
Jo1 tgswtd - Eugenol
I 1 tkxude - Eugenol
I 3 igzfyb - Eugenol
I 9 wntdst - Eugenol
I 16 imasge - Eugenol
Post qlw87x - Eugenol
Pre peukdo - Eugenol

G-P

31/12/2011 à 17h27

Euh... félicitations ?


johnnybegood

31/12/2011 à 18h33

Eh ben .... y a pas mal de dentiste francais qui vont rougir en voyant tes traitements


sico

31/12/2011 à 18h44

johnnybegood écrivait:
----------------------
> Eh ben .... y a pas mal de dentiste francais qui vont rougir en voyant tes
> traitements
je sent un peu l'ironie... :)
je sais que j'ai encore du boulot a faire...


king_zoulou

31/12/2011 à 18h44

La question qui me turlupine: si tu parles beaucoup mieux l'allemand et l'anglais que le français, pourquoi être venu te noyer en France ?
Tu aurais été tellement mieux accueilli et rémunéré en Angleterre, en Allemagne ou en Autriche.


sico

31/12/2011 à 18h50

king_zoulou écrivait:
---------------------
> La question qui me turlupine: si tu parles beaucoup mieux l'allemand et
> l'anglais que le français, pourquoi être venu te noyer en France ?
> Tu aurais été tellement mieux accueilli et rémunéré en Angleterre, en Allemagne
> ou en Autriche.

noyer? j'ai pas dit ca. moi je suis tres content de mon place de travaille de mes collegues(super) et de les rencontres et les amis que j'ai maintenent ici.
le sistem anglais de sante est different(pire avec leurs points a faire toutes les mois sauf si tu travaille dans un cabinet privee mai la c'est dificile de arriver) de cel francais surtout au niveau de dentist.
en allemagne la mer est moche :)
en realite je suis en france parce'que j'aime la france ,un de plus beau pays du monde.c'est domage que ce sont les etrangers qui remarque ca et pas vous meme.


king_zoulou

31/12/2011 à 18h56

J'ai visité beaucoup de pays, et je ne trouve pas que la France soit le plus beau, loin de là.
Après, cela vient surement du fait que mes préférences vont pour les déserts ou les mégalopoles futuristes :)


Marque a3 orange fyvhyq - Eugenol
Marc Apap

31/12/2011 à 19h02

king_zoulou écrivait:
---------------------
> J'ai visité beaucoup de pays, et je ne trouve pas que la France soit le plus
> beau, loin de là.
> Après, cela vient surement du fait que mes préférences vont pour les déserts ou
> les mégalopoles futuristes :)

D'un autre côté, si tu bosses dans le désert, tu es payé avec des dattes (ou des nèfles, si tu préfères. Et dans les mégalopoles futuristes, ils ne t'ont pas attendu.


Roger federer 300x217 eqdnuv - Eugenol
Patatrasse

31/12/2011 à 19h23

Cher confrère roumain , tu as sans doute remarqué que lorsque tu réalises de superbes endos sur molaires ( félicitations au vue des radios) tu es rémunéré généreusement par ton patient un peu plus de 80 euros le traitement complet .
Comme tu as pu le constater dans ton beau pays, les soins conservateurs qui représentent 70% de notre activité journalière sont au bas mot remboursé le double , triple voir le quadruple en l'occurrence pour une bio sur molaire ( 100 euros le canal sur certains sites qui font leur pub sur Eugénol ).
De plus , au vu de la qualité de tes traitements tu dois être fortement intéressé par l'implantologie qui s'est développé dans ton pays à la vitesse de l'éclair au point d'avoir plus de cabinets dentaires dans certaines rues que de boutiques de fringues ou de restos.
Peut être trouves tu les tarifs de ces implants un peu bas dans ton pays, mais vu qu'ils sont rémunérés pour la totalité en billets de 100 euros par des touristes avides de "bonnes affaires", que les compagnies d'assurance ne te demandent rien pour exercer ton métier car une fois payé en billets, rien ne pourra prouver que c'est toi qui a posé ces implants.
De même , pas d'Urssaf, pas d'impôts et pas de caisse de retraite avec des tarifs de prothésistes 80% moins cher qu'en France et des salaires identiques pour ta réceptionniste ,tes 3 assistantes et ton rabatteur de touristes, tu gardes finalement un sacré pactole à la fin de ta journée , alors ma question est très simple :
Qu'est ce que tu es venu te noyer en France ???????????????
Tu ne serais pas un peu couillon ( bête) sur les bords ?????????????


sico

31/12/2011 à 19h48

Patatrasse écrivait:
--------------------
> Cher confrère roumain , tu as sans doute remarqué que lorsque tu réalises de
> superbes endos sur molaires ( félicitations au vue des radios) tu es rémunéré
> généreusement par ton patient un peu plus de 80 euros le traitement complet .
> Comme tu as pu le constater dans ton beau pays, les soins conservateurs qui
> représentent 70% de notre activité journalière sont au bas mot remboursé le
> double , triple voir le quadruple en l'occurrence pour une bio sur molaire ( 100
> euros le canal sur certains sites qui font leur pub sur Eugénol ).
> De plus , au vu de la qualité de tes traitements tu dois être fortement
> intéressé par l'implantologie qui s'est développé dans ton pays à la vitesse de
> l'éclair au point d'avoir plus de cabinets dentaires dans certaines rues que de
> boutiques de fringues ou de restos.
> Peut être trouves tu les tarifs de ces implants un peu bas dans ton pays, mais
> vu qu'ils sont rémunérés pour la totalité en billets de 100 euros par des
> touristes avides de "bonnes affaires", que les compagnies d'assurance ne te
> demandent rien pour exercer ton métier car une fois payé en billets, rien ne
> pourra prouver que c'est toi qui a posé ces implants.
> De même , pas d'Urssaf, pas d'impôts et pas de caisse de retraite avec des
> tarifs de prothésistes 80% moins cher qu'en France et des salaires identiques
> pour ta réceptionniste ,tes 3 assistantes et ton rabatteur de touristes, tu
> gardes finalement un sacré pactole à la fin de ta journée , alors ma question
> est très simple :
> Qu'est ce que tu es venu te noyer en France ???????????????
> Tu ne serais pas un peu couillon ( bête) sur les bords ?????????????

Tu as plutôt raison...
Peut être on va voir des dentistes français en Roumanie ... Oops mais ça existe et ils viennent quelque fois par mois dans des grandes cabinet pour poser des implants à 500 euros.
Mon prothésiste en Roumanie coutais 40-50 euro et la courrone chez moi c'était 100 euro. Ca existe encore les courrones métallo-résine...
La plus part de travaille en Roumanie est payé au black... Donc d'ici les problèmes économique.
Mais la réalité est que il y a trop de cabinets dentaire et pas bcp d'argent.
Il faut comprendre l'arrivé des roumains mais bien sur on ne peut pas comprendre la manque de sélectivité de conseil d'ordre et biensur la manque des connaissance de certains de mes confrère qui part de Roumanie pour gagner leur vie...


sico

31/12/2011 à 19h53

Bonne année à tous et PARTY :)


johnnybegood

31/12/2011 à 20h32

sico écrivait:
--------------
> johnnybegood écrivait:
> ----------------------
> > Eh ben .... y a pas mal de dentiste francais qui vont rougir en voyant tes
> > traitements
> je sent un peu l'ironie... :)
> je sais que j'ai encore du boulot a faire...


aucune ironie je le pense; à savoir que les cas présentés sur eugenol ne sont pas du tout representatif de la qualité de soins des dentistes francais


Dog wwyerg - Eugenol
TTDAM

01/01/2012 à 02h35

Salut Sico et bienvenue,

Tu n'as pas besoin de moi pour te défendre; tes traitements parlent d'eux-mêmes.

Il y a toujours les mêmes craintes de la nouveauté et des concurrents de n'importe quelle nationalité.
Avant les roumains, c'étaient les belges, les polonais, les italiens, les espagnols.

Les ODF spécialistes ont peur des généralistes qui pratiquent l'ODF;
Les dentistes ont peur des hygiénistes ou des denturologues.

Les libéraux ont peur des mutualistes.

Les prothésistes français ont peur du cerec, puis des chinois.

Et pourtant, notre secteur continue sa progression (macro économie).
Certains ont des problèmes, et donc rejettent la faute ou leur inquiétude sur un bouc émissaire facile, au lieu de réfléchir et de se remettre en question
(Bonne résolution de l'année 2012: Réfléchir)


--
TTDAM


Roger federer 300x217 eqdnuv - Eugenol
Patatrasse

01/01/2012 à 11h19

Pour ma part , je posais juste une question de bon sens à notre ami roumain : qu'est il venu faire dans un pays où les charges représentent 50% de ton activité avant les frais classiques et surtout où les tarifs de soins sont dignes du 1/3 monde .
À moins de faire de la merde, ce qui est loin d'être le cas au vu des cas postés par notre ami roumain, je ne vois pas l'intérêt de venir en France.
Sa réponse a été très claire, il ne peut assumer la concurrence qui existe dans son pays car ils sont nombreux et il n'y a pas d'argent ( j'ai un doute au vu des reportages que l'on voit depuis 6 ans sur les cabinets flambants neufs en Roumanie et ces liasses de billets qui s'échangent en fin de traitement sans aucune vergogne sur le comptoir de l'accueil )
Par contre , je n'ai peur que d'une seule chose : perdre ma liberté d'exercer lorsqu'on voit que des syndicats majoritaires signent n'importe quoi avec les caisses et surtout avec les mutuelles !!!!!
Le reste , les cabinets mutualistes et compagnie , je m'en tape comme de ma dernière chemise .

Bonne année quand même


sico

01/01/2012 à 11h41

Ttdam,merci.
Patatrasse tu as encore une fois raison... Mais c'est pas exactement mon motif de venir en france mais le motif de la plus part des dentistes roumains.
90% des cabinets en Roumanie ne sont pas comme celle que tu as vu au télé. Ça veut dire pas que ils sont horrible . Mais en réalité le fait d'avoir une radio en cabinet c'est assez rare à cause de législation. Par contre il y a de centres de radiologie qui marche très bien :)


Utilisateur banni

01/01/2012 à 13h31

Bordel, ça veut dire que les radiologues français vont se barrer en Roumanie?!!


king_zoulou

01/01/2012 à 17h40

Patatrasse, les cabinets roumains que l'on voit à la télé soignent principalement des étrangers (avec souvent des employés étrangers d'ailleurs).
C'est assez difficile de travailler dans ce genre de cabinet, il faut envoyer un CV de 150 pages avec tes cas cliniques, tes 15 pages de diplômes (j'exagère à peine).


7313935 les metaux lourds roche et rouleau devil cornes main signe avec un bracelet en cuir noir cloutes yoxyzx - Eugenol
kinetic

02/01/2012 à 13h13

En ce qui concerne les dentistes roumains, voici mon "expérience"

- Quand j'étais encore étudiant, en 4eme année, donc il y a environ 5/6 ans, nous avions à la fac une assistante hospitalo-universitaire roumaine. Formée en roumanie, diplome roumain. Elle devait encadrer les étudiants au même titre qu'un assistant francais. Seule restriction, elle n'avait en théorie pas le droit de toucher un patient.

Dans la pratique dés que c'était un peu complexe elle n'intervenait pas. Je me rappelle encore de mon gutta condensor cassé avec un dépassement de 5mm de l'apex (et oui on fait tous des erreurs...). Son aide m'a été trés précieuse, elle a juste su me dire de l'enlever comme je pouvais avec une lime de 15 puis est partie prendre sa pause déjeuner...

J'ai eu aussi l'occasion de voir une de ses préparations pour une couronne. La mise de dépouille de quelques degrés, était plutot une depouille de quelques dizaines de degrés. Un chapeau chinois.

- Des étudiants roumains sont venus passer un semestre dans notre fac. Pas de radios pour les endos, et obturation avec au moins 20 ou 30 cones. Tant qu'il y avait de la place ils mettaient des cones pour remplir le canal jusqu'à son entrée. Cela faisait un joli bouquet de fleur...

- Certains d'entre nous sont partis en roumanie. L'absence de radios n'étant pas une légende, ils se sont cotiser pour acheter un localisateur d'apex avant de partir là bas.




Aujourd'hui j'ai un patient de mon cabinet qui fait ses études en roumanie. J'aurais l'occasion de voir comme ils bossent là bas. Mais d'aprés lui, certains enseignants sont francais, les cours sont en francais, toute sa promo est composée d'étudiants francais. reste à voir les méthodes de soins, sa premiere année étant purement théorique et trés générale.



Mais en france on ne vaut pas forcement mieux. J'ai encore souvenir d'un des mes profs à l'hosto qui est venu m'aider pour ma premiere extraction : à main nue, les doigts plein d'encre du midi olympique...


Roger federer 300x217 eqdnuv - Eugenol
Patatrasse

02/01/2012 à 13h35

si c'est de l'encre du Midol ,il est excusé ton prof ;o)
Pour le reste,ça confirme qu'ils bossent sans radios sauf peut être pour poser les implants car là il faut être balèzes pour s'en dispenser !


Coanda

03/01/2012 à 13h13

Bonne Annee chers confreres et je suis heureux de me joindre a vous sur ce site .
Je travaille au Havre ....je sais ce n'est pas la COTE par definition mais il y a une penurie de dentistes importante et j ai eu l'occasion de rencontrer 2 dentistes roumain charmants tres bien integrees et competemts.Notre metier, comme vous le savez est un metier manuel qui iplique une bonne dose de talent et non pas qu'une excelente connaissance theorique.Il est vrai cependant que le talent sans les connaissances :impossible.Je ne pense pas que les stomatos formees en Roumanie , actuellement apelees dentistes avec l'entree en UE de la Roumanie , sont pires que nous. Je connais l'enseignement Roumain car j ai eu l occasion de faire qq conferences a Iasi et je le trouve bient structure et competitif ....sauf pour les etudiants etrangers qui beneficie de clemence dans les universitees locales. En therme de qualitee de formation seuls les enciennes universitees d etat sont excelentes , puisque depuis 15 ans de nombreuses universitees sans tradition et experience sont apparus .


Krystina

03/01/2012 à 14h07

Bonjour à tous,

Je suis une consœur d’origine roumaine qui, après avoir lu ce sujet, aimerait apporter mon expérience à propos du niveau des enseignements roumain, respectivement français.
Étant arrivée en France fin des années 90, j’ai du refaire le cursus PCEM1-5-6 années pour avoir l’équivalence de mon diplôme. Et même si je n’avais jamais fait auparavant des radios retro-apicales (en Roumanie la tache était confié au personnel paramédical formé) je me souviens qu’au bout de 5 minutes j’avais compris la technique.
Aujourd’hui, dans mon cabinet, je me fais souvent remplacer par des étudiants français ou roumains ; mais je n’ai jamais pensé à poster sur le forum des cas avec des endos à refaire. Il me semble normal d’aider les confrères plus jeunes et pas de les critiquer.
Chaque pays forme ses citoyens avec les moyens dont il dispose. Mais en aucun de cas ce n’est pas la faute des étudiants de l’insuffisance du matériel ; il y a des bons et des moins bons, comme partout…des motivés et des moins ambitieux. Et la question la plus simple qui suit est : « A leurs place vous auriez fait quoi ? Renoncer aux études car pas assez des moyens ? »
Déjà le titre de ce sujet me semble aberrant : il sanctionne d’emblée une communauté entière, alors que ça part d’un cas isolé et non éloquent.
Heureusement que dans mon parcours professionnel en France j’ai rencontré des profs, des confrères et des patients qui, de par leur attitude, m’ont permis d’avancer à pas égaux par rapport à des praticiens français.
Et notre confrère Sico, n’est pas un cas isolé : il suffit d’aller sur le site eugenol.ro pour admirer toute une nouvelle génération des dentistes roumains passionnés de leur métier.
La concurrence, même si elle dérange dès fois, elle est bien là et partout avec ou sans les confères roumains.
Moi, je vous salue tous, dans un esprit totalement confraternel,
Bonne Année 2012 !


flodec

03/01/2012 à 21h28

Je ne vois pas où demeure le problème quand un confrère des pays de l'Est vient travailler dans un système communiste ( Aie ! Ameli ne va pas être content).
et bonne année à tous.


123...