Cookie Consent byPrivacyPolicies.comPour Cingulum - Eugenol

Pour Cingulum

Squash u44zd8 - Eugenol
steph

26/11/2011 à 19h06

Et parce que c'est demandé si gentiment...
A suivre.

 mg 3114   copie b6ci1g - Eugenol
 mg 3117   copie xowwnz - Eugenol
 mg 3119   copie dar81l - Eugenol
 mg 3130   copie rcmlnd - Eugenol

003 penrd2 - Eugenol
Cingulum

26/11/2011 à 19h46

Merci :)
C'est joli, et tes photos sont très bien ...
Il faudra voir ce que donnera le glaçage sur la 8 dans le temps.
J'ai un peu peur de l'abrasivité de la zircone contre une dent naturelle en face...

a suivre :)


--
Dr Cingulum
-----Ancien interné----
----Attaché à l'apex----
http://www.clinic-all.fr/ formation par passion


Squash u44zd8 - Eugenol
steph

26/11/2011 à 20h01

Je sais pas si je peux polir la surface de zircone avec une pâte à polir diamantée, ou des cupules ?
Je le revoie dans 8j pour contrôler l'occlusion, m'assurer que ce soit bien équilibré.
RDV dans quelques mois


87 ujotte - Eugenol
Spatouille

26/11/2011 à 20h39

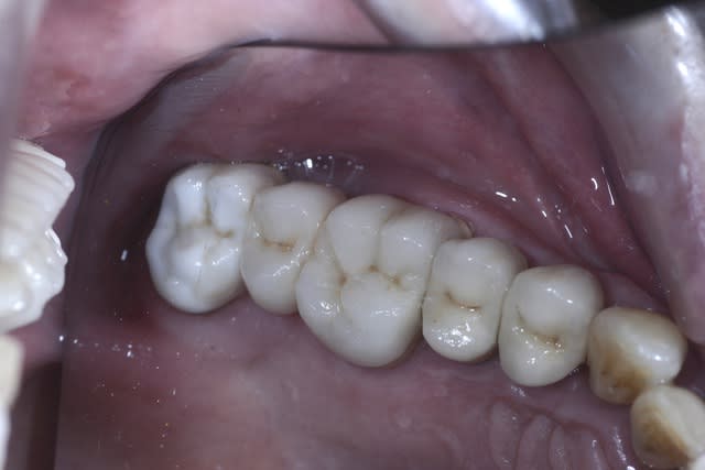
l'état de surface sous le pontic à l'air "strange" ... c'est la photo où bien ?


Img 2951 flo3gr - Eugenol
molinarius

26/11/2011 à 23h27

dmg que la zircone ne soit pas teintée dans la masse , surtout pour la full zircone ..
il n y aurait pas autant de différences de teinte ..
en revanche , jolie céramique ..


Img 2951 flo3gr - Eugenol
molinarius

27/11/2011 à 02h05

steph écrivait:
---------------
> Je sais pas si je peux polir la surface de zircone avec une pâte à polir
> diamantée, ou des cupules ?
> Je le revoie dans 8j pour contrôler l'occlusion, m'assurer que ce soit bien
> équilibré.
> RDV dans quelques mois

pour polir la zircone aucun souci .. appel komet ..
ils ont tout ce qu'il faut polissoir rose en premier ensuite le gris et la tu vas voir
la haute brillance de la zircone .. seul hic , dans ton cas , la zircone est maquillée en surface
donc quand tu vas polir ca va devenir blanc de chez blanc .... ( mieux vaut opter pour de la zircone teintée dans la masse) c est pas plus cher et c'est plus jolie !!


Squash u44zd8 - Eugenol
steph

27/11/2011 à 12h08

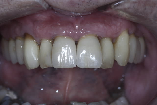
Sans doute, mais c'est sur une 28, ce n'est pas tellement l'esthétique qui m'importe mais le comportement de la full zircone à terme.
Mais c'est bien de savoir que je peux polir la zircone.


Logo qw3xdt - Eugenol
dds

27/11/2011 à 12h46

molinarius écrivait:
--------------------
> mieux vaut opter pour de la zircone teintée dans la masse c est pas plus cher et c'est plus jolie !!


-> L'objectif premier de la zircone étant de servir d'infrastructure, on demande plutôt à la céramique d'être jolie qu'à la zircone...


--
Normal is not something to aspire to, it's something to get away from


87 ujotte - Eugenol
Spatouille

27/11/2011 à 13h58

OUI mais quand ça peu etre les deux, pourquoi s'en priver ?


Logo qw3xdt - Eugenol
dds

27/11/2011 à 15h53

Spatouille écrivait:
--------------------
> OUI mais quand ça peu etre les deux, pourquoi s'en priver ?

Ça peut être les 2, mais la zircone sera quand même cachée, après ça change juste le montage de la céramique dessus.
Mais dans tous les cas, ta zircone reste opaque.

--
Normal is not something to aspire to, it's something to get away from


87 ujotte - Eugenol
Spatouille

27/11/2011 à 16h07

pas dans ce cas puisque le dernier pilier est en full zircone.
il existe aussi des zr translucides .


Logo qw3xdt - Eugenol
dds

27/11/2011 à 16h20

Spatouille écrivait:
--------------------
> pas dans ce cas puisque le dernier pilier est en full zircone.
> il existe aussi des zr translucides .

En effet le pilier n'est qu'en zircone, comme le disait cingulum: reste à voir le résultat de l'antagoniste après.
Les Zircones "translucides" que j'ai vu pour l'instant n'avaient pas la translucidité d'une emax. A suivre

--
Normal is not something to aspire to, it's something to get away from


aldo74

27/11/2011 à 20h57

c'est joli,mais la concavité mésiale du pilier posterieur me laisse un peu songeur.surtout si le polissage est difficile
cette zone sera très difficile à entretenir.


Img 2951 flo3gr - Eugenol
molinarius

27/11/2011 à 21h17

tiens tiens y avait longtemps que le mot emax n'était pas revenu sur le tapis ... :)

bon je suppose que le choix d une dent 100% zircone n'est pas un hasard? remplace t'elle
une dent metal ? sur une 7 on peu l'envisager ?
C'est toujours plus jolie qu'une CC ? plus robuste et apte à supporter les forces à cet endroit ?
L'abrasion: ok à voir dans le temps ..... y aura t il un jour une étude "indépendante" qui pourra mettre fin à ce débat ... méchante zircone qui casse et qui abrase tout ... ;)
En revanche ceux qui n'ont de cesse de dire que la zircone est opaque , arretez !! vous
etes resté sur les débuts du materiau!! because aujourd'hui ZR translucide .
Avez vous déjà posé une ceramique sur une base en zircone translucide teintée dans la masse ??
Pour ma part au labo, je m arrache la tête sur certaines teintes car le materiau est même trop translucide !!!



Squash u44zd8 - Eugenol
steph

27/11/2011 à 21h34

Sur le même patient, ça vaut bien des e.max, non?

 mg 3123   copie rzuqmq - Eugenol

Img 2951 flo3gr - Eugenol
molinarius

27/11/2011 à 23h23

ca s'intègre très bien ..
beau cas

steph que peux tu dire sur la zircone et la gencive?


Smile beach jgh0a1 - Eugenol
Céramik

28/11/2011 à 00h04

et le e.max pressé sur zircone ?


--
Céramik


Squash u44zd8 - Eugenol
steph

28/11/2011 à 00h40

molinarius écrivait:
--------------------

> steph que peux tu dire sur la zircone et la gencive?

C'est fabuleux, le comportement de la gencive est stable, à court et moyen terme sur ce genre de cas.
Les photos postées sont celles du jour de la pose.
Il y a 3 mois de maturation gingivale avec les provisoires (même si pas de chir paro), ce qui explique cela.
Mais pour des cas unitaires : avec des céramo-métal, les seuls réels succès (je veux dire stabilité dans le temps) l'ont été sur dents vivantes, alors que là de très rares cas de récessions gingivales.
Je travaille avec des double fils, de l'impregum en monophase et des provisoires en résine auto pressée.


le dabe

06/01/2012 à 14h10

Sorry, je prends le train en route et je viens de découvrir ce forum. Au travers de vos conversations, un paramètre semble avoir été oublié : celui d'utiliser le bon matériau pour la bonne indication.
On se pose souvent la question de savoir quel préparation ou quel matériau en fonction de telle ou telle habitude de travail ou de tel ou tel prothésiste ( ce qu'il a au catalogue du labo).
Je pense que vu la validité des différents produits à notre disposition, la seule question qui s'impose c'est quoi utiliser en fonction de la préparation à appliquer sur une dent. Le panel de matériau est assez large pour quasiment tout permettre, alors pourquoi s'en priver?... Il ne reste qu'à envisager ensuite comment le faire et comment le poser.
La logique qui veut qu'on utilise systématiquement le matériau le plus dur ou le plus opaque quelle que soit l'indication et, me semble-t-il, plutôt réducteur.
Je fais 80% de tout céramique et je pense que c'est grâce à cette démarche...